• 2023年第48卷第11期文章目次
    全 选
    显示方式: |
    • >综 述
    • 肿瘤相关成纤维细胞在甲状腺癌增殖、侵袭与治疗中的作用

      2023, 48(11):1277-1281. DOI: 10.13406/j.cnki.cyxb.003344

      摘要 (181) HTML (96) PDF 778.47 K (257) 评论 (0) 收藏

      摘要:甲状腺癌是最常见的内分泌恶性肿瘤之一。肿瘤相关成纤维细胞(cancer-associated fibroblasts,CAFs)是甲状腺癌肿瘤微环境中重要的细胞成分,其细胞起源、表型和功能均具有异质性。CAFs和肿瘤细胞之间的相互作用不断促进肿瘤的进展。CAFs可以通过改变胞外基质(extracellular matrix,ECM)结构功能、促进上皮向间充质转化(epithelial to mesenchymal transition,EMT)和增强细胞因子分泌释放等方式,直接或间接促进甲状腺癌的发生发展。根据甲状腺癌中CAFs的特点目前已提出了一些可能的治疗策略。现结合文献对CAFs与甲状腺癌进展的研究进展进行综述。

      • 0+1
    • >综  述
    • 免疫治疗在EGFR突变非小细胞肺癌中的研究进展

      2023, 48(11):1282-1289. DOI: 10.13406/j.cnki.cyxb.003365

      摘要 (132) HTML (36) PDF 603.33 K (225) 评论 (0) 收藏

      摘要:表皮生长因子受体酪氨酸激酶(epidermal growth factor receptor,EGFR)驱动基因突变的非小细胞肺癌患者,使用EGFR抑制剂(epidermal growth factor receptor inhibitors,EGFR-TKIs)是标准治疗模式,但获得性耐药不可避免。对于一线EGFR-TKIs耐药的非小细胞肺癌(non-small cell lung cancer,NSCLC)患者,目前没有标准的治疗方式。免疫治疗联合含铂双药化疗、血管内皮生长因子(vascular endothelial growth factor,VEGF)抑制剂的治疗模式显示出了一定的疗效。本文通过综述不同程序性死亡蛋白1(programmed cell death 1,PD-1)/PD-1配体(PD-1 ligand,PD-L1)免疫检查点抑制剂在EGFR突变的NSCLC患者的研究现状,并探讨针对EGFR突变的NSCLC患者更加合适的治疗方式。

    • 己糖胺生物合成途径代谢酶与OGT介导的O-GlcNAc修饰在肿瘤中的研究进展

      2023, 48(11):1290-1295. DOI: 10.13406/j.cnki.cyxb.003374

      摘要 (183) HTML (93) PDF 931.09 K (272) 评论 (0) 收藏

      摘要:细胞代谢异常和能量失调被认为是癌症的重要标志。己糖胺生物合成途径(hexosamine biosynthetic pathway,HBP)在多数肿瘤中异常激活。葡萄糖、脂肪酸、氨基酸和谷氨酰胺等是肿瘤生长的重要营养物质,并作为HBP的底物用于合成尿苷二磷酸N -乙酰氨基葡萄糖胺(uridine diphosphate N-acetylglucosamine,UDP-GlcNAc)。UDP-GlcNAc是蛋白质发生氧连接的氮乙酰葡萄糖胺(O-linked N-acetylglucosamine,O-GlcNAc)修饰的供体底物,其被认为在细胞中扮演着“营养感受器”的角色。近年来,HBP代谢酶在癌症病理生理学中的作用被广泛研究,HBP介导的O-GlcNAc糖基化修饰与癌细胞的增殖、存活和转移密切相关。本文对HBP及其在肿瘤中的重要作用进行了综述,并且讨论了靶向HBP治疗癌症的潜在策略。

      • 0+1
    • 维生素D3信号与干扰素应答在疾病中的关系研究进展

      2023, 48(11):1296-1301. DOI: 10.13406/j.cnki.cyxb.003351

      摘要 (102) HTML (42) PDF 596.86 K (178) 评论 (0) 收藏

      摘要:维生素D3(vitamin D3,VD3)介导的生物学效应和适度的干扰素(interferon,IFN)应答反应是机体健康的必备条件。但在多种疾病(包括微生物感染与肿瘤等)发生与进展中均有观察到VD3缺乏/不足与IFN应答受损等现象,且VD3和IFN联合所取得的临床疗效因病种及涉及到的靶器官或细胞不同而有显著差异,提示VD3信号与IFN应答间的互调模式及机制极为复杂。本文就该主题进行概述,以期为该领域基础和临床转化研究提供有益的参考依据。

      • 0+1
    • p53基因与女性生殖关系的研究进展

      2023, 48(11):1302-1307. DOI: 10.13406/j.cnki.cyxb.003370

      摘要 (100) HTML (86) PDF 620.41 K (184) 评论 (0) 收藏

      摘要:p53基因是重要的抑癌基因,在女性生殖中扮演重要角色,其异常活性与诸多生殖疾病的发生有关,例如习惯性流产、不孕症等。近年研究发现p53基因在女性生殖系统广泛表达、参与某些生殖过程、与某些生殖疾病密切相关。本文基于近年来国内外的研究,对p53基因在女性生殖中发挥的作用及其与某些生殖疾病的关系进行总结综述,以期为生殖领域的研究提供理论依据与新思路。

    • DYRK2在肿瘤发生发展及预后中的研究进展

      2023, 48(11):1308-1313. DOI: 10.13406/j.cnki.cyxb.003339

      摘要 (115) HTML (60) PDF 569.37 K (206) 评论 (0) 收藏

      摘要:双特异性酪氨酸磷酸化调节激酶2(dual-specificity tyrosine-phosphorylation-regulated kinase 2,DYRK2)属于DYRK家族,是真核生物中一种进化保守的酶。DYRK2在不同组织及肿瘤中的表达具有较大差异。既往关于DYRK2在肿瘤中的作用报道表明DYRK2通过延长G1期、促进细胞凋亡及抑制上皮-间充质转化来延缓肿瘤生长。近年来研究发现DYRK2亦可通过促进细胞有丝分裂、抗肿瘤凋亡、促进细胞侵袭、迁移及增强耐药而发挥促癌作用。本文就DYRK2的结构、功能及其在肿瘤发生发展中的作用及预后价值进行综述。

    • >基础研究
    • 敲低RBX1通过下调PHF5A抑制胰腺癌细胞增殖,迁移和侵袭并促进凋亡

      2023, 48(11):1314-1322. DOI: 10.13406/j.cnki.cyxb.003347

      摘要 (139) HTML (66) PDF 8.13 M (274) 评论 (0) 收藏

      摘要:目的 研究环盒蛋白1(ring-finger protein 1,RBX1)对胰腺癌(pancreatic adenocarcinoma,PAAD)细胞增殖、凋亡、迁移和侵袭的作用及其潜在的作用机制。方法 利用基因表达谱交互式分析网站(gene expression profile interactive analysis website,GEPIA),实时荧光定量聚合酶链反应(quantitative reverse transcription-polymerase chain reaction,qRT-PCR)、Western blot检测RBX1在PAAD组织、细胞中的表达和预后价值。使用细胞计数试剂盒-8(cell counting kit-8,CCK-8)、细胞克隆形成能力实验、脱氧核糖核苷酸末端转移酶介导的缺口末端标记法(terminal deoxynucleotidyl transferase dUTP nick end labeling,TUNEL)、细胞划痕实验、Transwell实验检测RBX1敲低对胰腺癌-1(pancreatic carcinoma-1,PANC-1)细胞增殖、凋亡、迁移和侵袭的影响。通过LinkedOmics网站研究PAAD中RBX1和PHD锌指结构域蛋白5A(plant homodomain finger-like domain-containing protein 5A,PHF5A)的相关性。qRT-PCR和Western blot检测RBX1敲低后PHF5A的表达,进行功能拯救实验。结果 RBX1在PAAD组织和细胞系中高表达,与不良预后相关(P<0.05)。RBX1敲低抑制PANC-1细胞增殖、迁移和侵袭,促进细胞凋亡(P<0.05)。RBX1和PHF5A在PAAD中具有相关性(r=0.692),且RBX1正向调控PHF5A表达(P<0.05)。功能拯救实验表明PHF5A过表达部分逆转了RBX1敲低对PANC-1细胞增殖、迁移、侵袭和凋亡的作用(P<0.05)。结论 RBX1敲低通过下调PHF5A表达抑制PANC-1细胞增殖、迁移和侵袭,促进凋亡。

      • 0+1
      • 1+1
      • 2+1
      • 3+1
      • 4+1
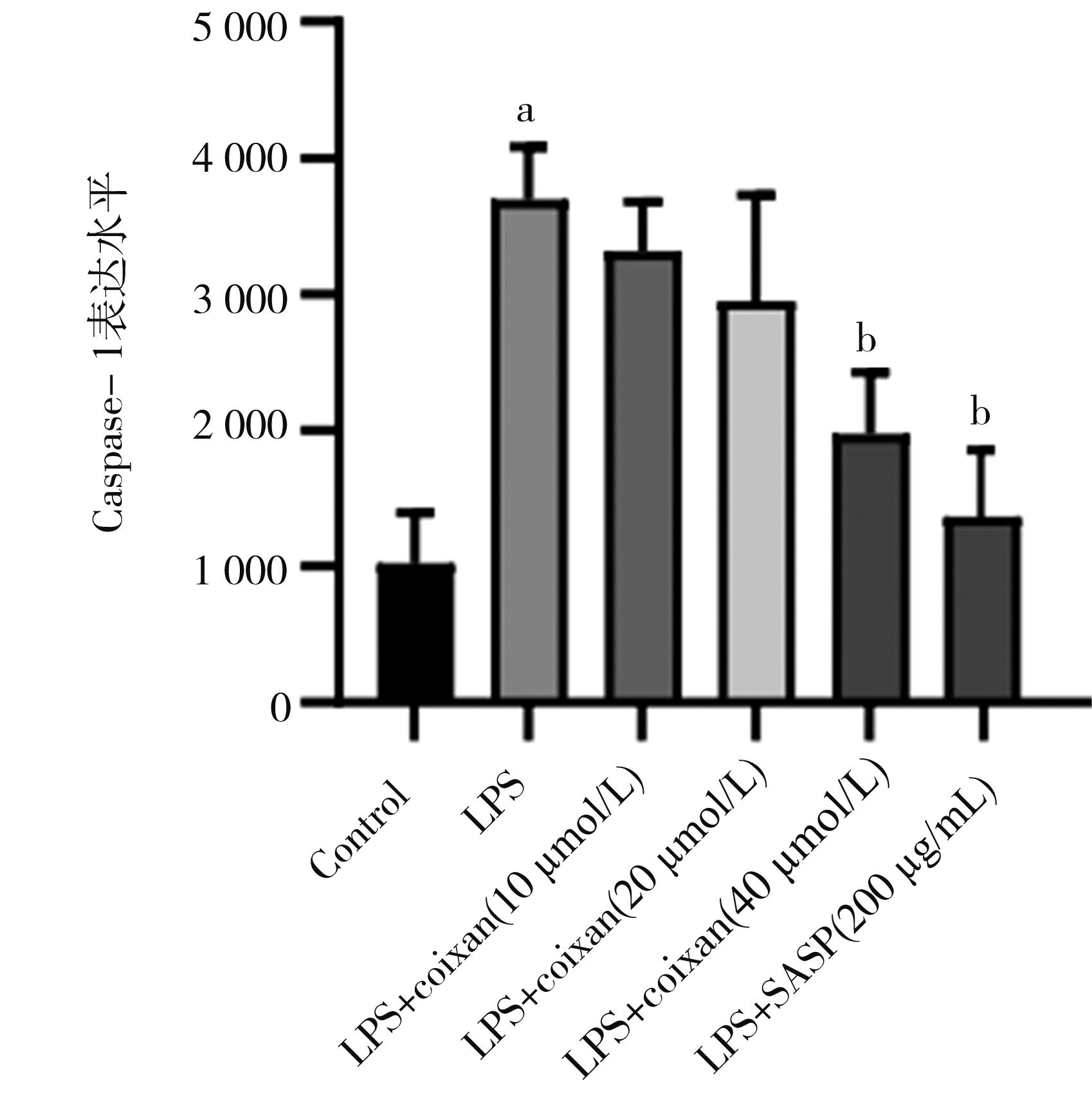
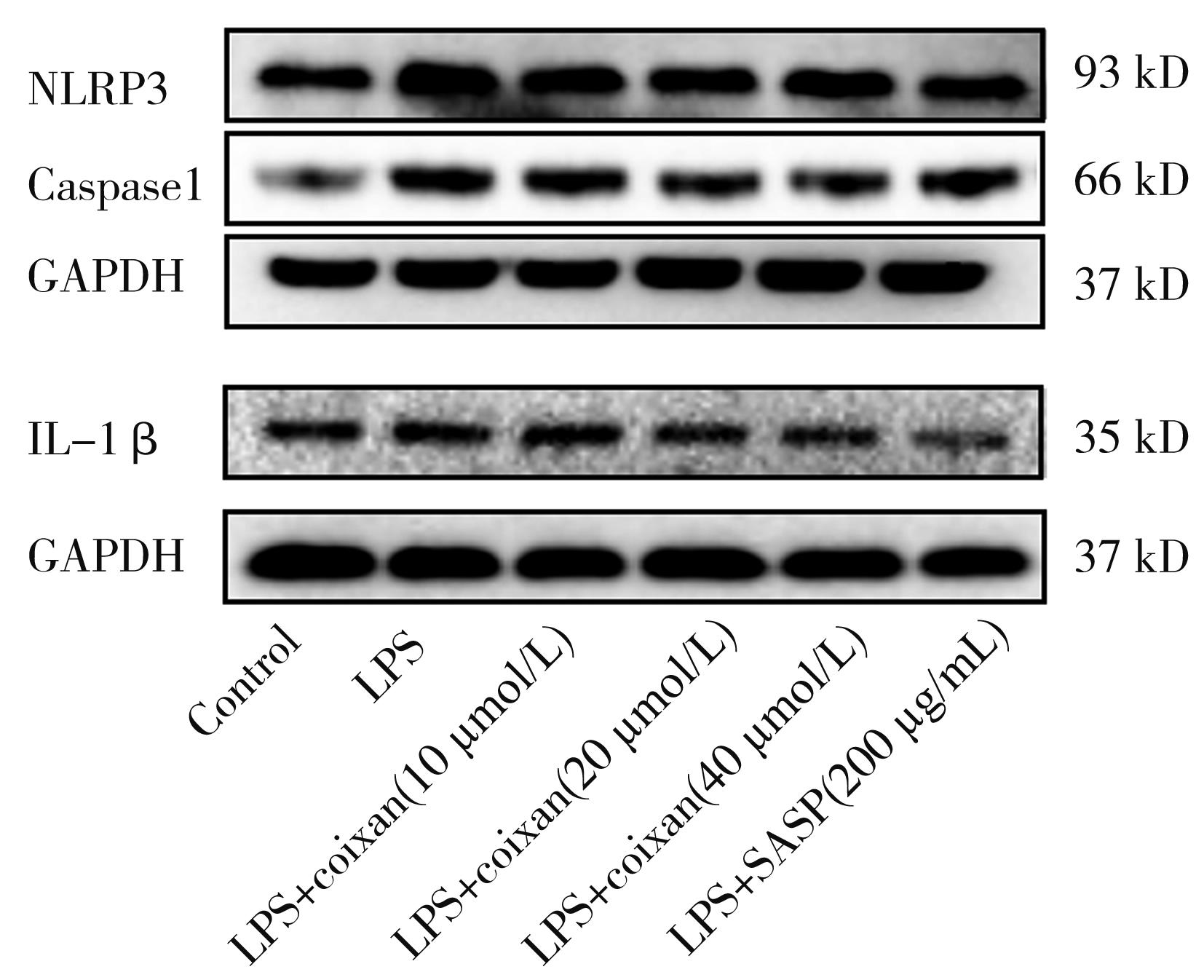
    • 基于NLRP3/Caspase-1通路探讨薏苡仁多糖对溃疡性结肠炎体外炎症模型的干预作用及机制

      2023, 48(11):1323-1330. DOI: 10.13406/j.cnki.cyxb.003376

      摘要 (167) HTML (89) PDF 2.61 M (210) 评论 (0) 收藏

      摘要:目的 从炎症理论角度出发,探讨薏苡仁多糖(Coixan)对溃疡性结肠炎(ulcerative colitis,UC)体外炎症模型的干预作用及其机制。方法 体外培养NCM460细胞,采用不同剂量(0、2.5、5、10、20和40 μg/mL)脂多糖(lipopolysaccharide,LPS)诱导NCM460细胞,筛选出最佳诱导剂量(20 μg/mL);用不同浓度(0、5、10、20、40和80 μg/mL)的Coixan 诱导NCM460,筛选出最佳促增殖浓度(10、20、40 μg/mL)。实验随机设为空白组、模型组(LPS诱导)、LPS+Coixan低、中、高剂量(10、20、40 μmol/L)组,LPS+柳氮磺吡啶(sulfasalazine,SASP)(200 μg/mL)组,除空白组外用LPS(20 μg/mL)刺激48 h建立UC体外细胞炎症模型后,分别以薏苡仁多糖及SASP进行48 h干预治疗后,ELISA法检测细胞上清液中炎症因子白细胞介素-1β(interleukin-1β,IL-1β)、肿瘤坏死因子-α(tumor necrosis factor-α,TNF-α)水平;免疫荧光检测焦亡相关蛋白Caspase-1荧光的表达量;采用qRT-PCR技术检测各组NCM460中NLRP3/Caspase-1通路中焦亡相关NLRP3、Caspase-1、GSDMD-N、IL-1β基因表达水平的影响;Western blot技术检测各组焦亡相关NLRP3、Caspase-1、IL-1β蛋白表达水平的影响。结果 与0 μg/mL比较(20 μg/mL)LPS诱导48 h对NCM460细胞生长抑制较为适中(P<0.01),同时,干预48 h时,炎症因子IL-1β、TNF-α含量明显升高(P<0.01),因此,选择(20 μg/mL)LPS诱导48 h作为造模方式。与0 μmol/L的Coixan相比,当Coixan浓度为10、20,40 μmol/L时,细胞存活率增高,特别是Coixan浓度为10、20 μmol/L(P<0.05)。与正常对照组比较,模型组中炎症因子IL-1β、TNF-α的含量,NLRP3、Caspase-1β、IL-1β蛋白和NLRP3、Caspase-1、GSDMD-N、IL-1β基因表达均显著升高(P<0.01);与模型组比较,药物干预组中,中、高剂量组和柳氮磺吡啶组中细胞IL-1β、TNF-α分泌量减少,差异有统计学意义(P<0.01);与模型组比较,药物干预组中,高剂量组和柳氮磺吡啶组中焦亡相关蛋白Caspase-1表达水平明显下调(P<0.01);与模型组比较,药物干预组中,低、中、高剂量组和柳氮磺吡啶组中NLRP3、Caspase-1蛋白和基因表达明显降低(P<0.05或P<0.01),药物干预组中,高剂量组、柳氮磺吡啶组中GSDMD-N、IL-1β基因表达均显著降低(P<0.01);与模型组比较,药物干预组中,中、高剂量组和柳氮磺吡啶组中焦亡相关蛋白(NLRP3,Caspase-1,IL-1β)表达水平明显下调(P<0.01)。结论 薏苡仁多糖可能通过下调焦亡相关因子NLRP3、Caspase-1、GSDMD-N、IL-1β的表达水平,从而抑制人结肠上皮细胞的细胞焦亡,发挥人结肠上皮细胞保护作用。

      • 0+1
      • 1+1
      • 2+1
      • 3+1
      • 4+1
      • 5+1
      • 6+1
      • 7+1
      • 8+1
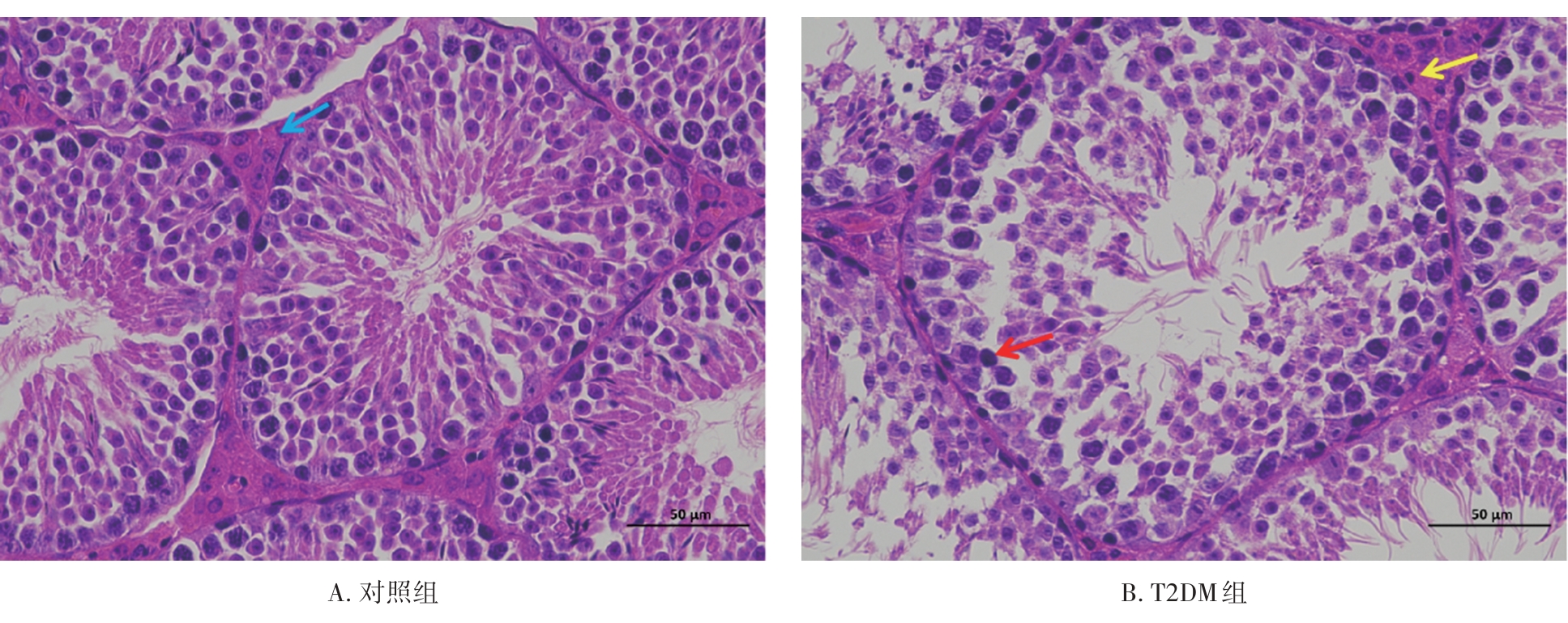
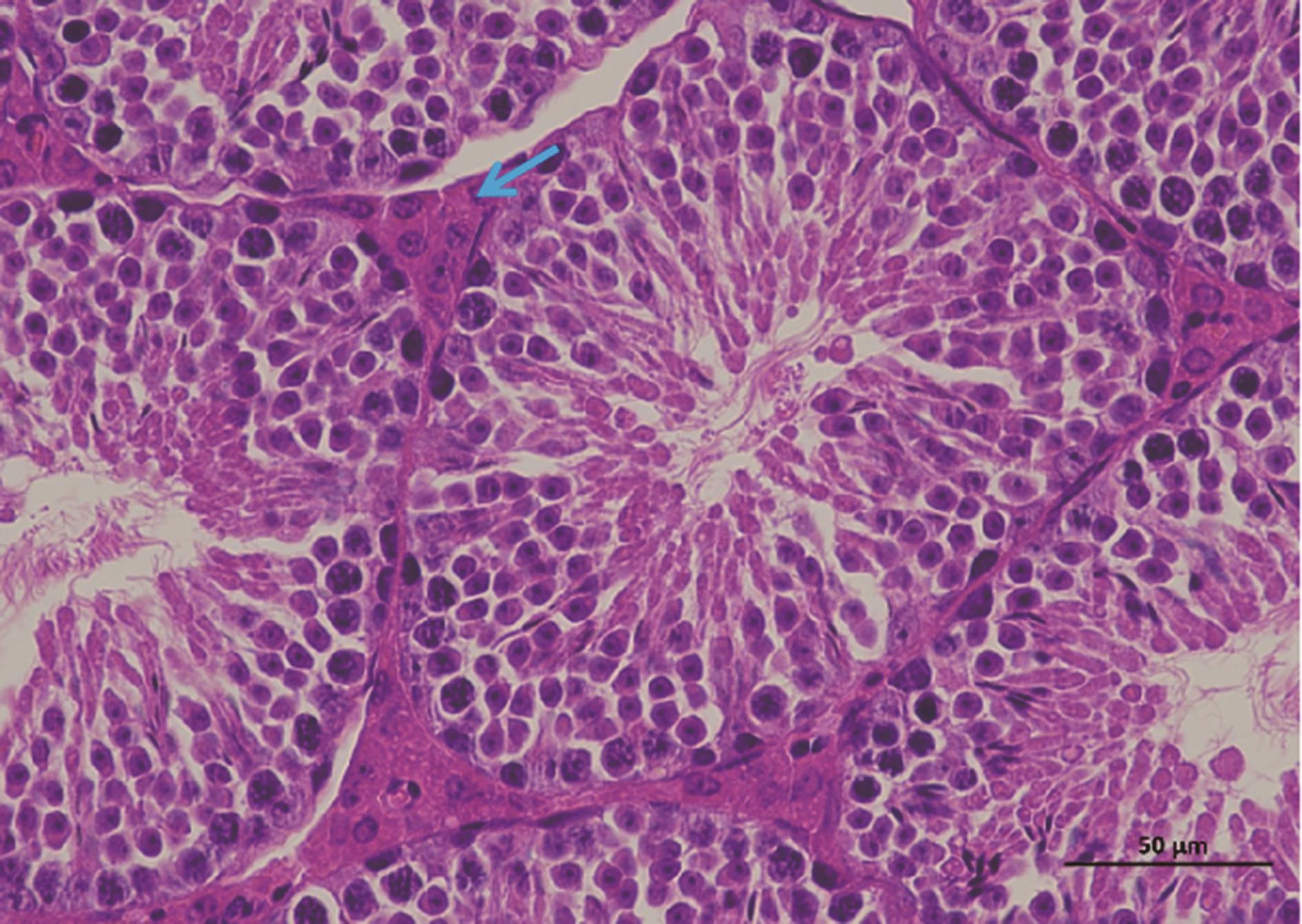
    • 2型糖尿病雄性小鼠生殖细胞形态学改变及凋亡机制研究

      2023, 48(11):1331-1336. DOI: 10.13406/j.cnki.cyxb.003368

      摘要 (108) HTML (47) PDF 2.62 M (201) 评论 (0) 收藏

      摘要:目的 通过构建2型糖尿病(type 2 diabetes mellitus,T2DM)雄性小鼠模型探究2型糖尿病对睾丸组织形态学、睾酮分泌、精子生成等方面的影响。方法 将24只8周龄C57BL/6J雄性小鼠随机分为2组:对照组10只和T2DM组14只。对照组小鼠基础饲料喂养,T2DM组给予高脂喂养。8周后对照组小鼠腹腔注射柠檬酸盐缓冲液,T2DM组小鼠腹腔注射60 mg/kg链脲佐菌素(streptozocin,STZ),持续5 d。饲养小鼠4周后断颈处死,分离出小鼠的血清、睾丸、附睾。通过精子计数、睾酮水平检测评估雄性小鼠生殖细胞生精功能;HE染色分析睾丸组织形态学变化;TUNEL染色检测睾丸生殖细胞的凋亡情况。ELISA检测雄性小鼠血清中超氧化物歧化酶(superoxide dismutase,SOD)、丙二醛(malondialdehyde,MDA)、血红素加氧酶-1(heme oxygenase-1,HO-1)水平;Western blot检测雄性小鼠睾丸组织中B细胞淋巴瘤/白血病-2(B cell lymphoma/leukemia-2,Bcl-2)、Bcl-2相关X蛋白(Bcl-2-associated X protein,BaX)、半胱氨酸天冬氨酸蛋白酶-3(cysteinyl aspartate specific proteinase-3,Caspase-3)蛋白表达水平。结果 与对照组相比,T2DM组小鼠体质量(26.00±2.85) g、精子数目(4.15±1.01)×106个/L、睾酮水平(0.99±0.41) ng/mL均降低(P=0.000,P=0.009,P=0.041);TUNEL结果显示:T2DM组小鼠睾丸生精小管各级生精细胞都有不同程度的凋亡,凋亡细胞数量(21.60±5.11,P=0.033)增加;ELISA结果显示:T2DM组小鼠血清氧化应激SOD(4.42±0.47) pg/mL和HO-1(2 968.00±536.10) pg/mL表达水平增加(P=0.000,P=0.008)。Western blot检测发现BaX(1.270±0.059)、Caspase-3(1.94±0.47)蛋白表达水平增加(P=0.008,P=0.041),且BaX与Bcl-2比值增大。结论 2型糖尿病雄性小鼠血清睾酮含量显著降低,生精细胞凋亡增加,成熟精子数量减少,影响生殖能力。

      • 0+1
      • 1+1
      • 2+1
      • 3+1
      • 4+1
      • 5+1
      • 6+1
      • 7+1
      • 8+1
      • 9+1
      • 10+1
      • 11+1
      • 12+1
      • 13+1
      • 14+1
    • >临床研究
    • 银川市下呼吸道感染住院患儿中人鼻病毒的流行病学及临床特征分析

      2023, 48(11):1337-1343. DOI: 10.13406/j.cnki.cyxb.003367

      摘要 (78) HTML (34) PDF 963.70 K (160) 评论 (0) 收藏

      摘要:目的 回顾性分析银川市下呼吸道感染患儿中人鼻病毒的流行病学及临床特征,为儿童预防人鼻病毒(human rhinovirus,HRV)及临床诊疗提供理论依据。方法 采集2018至2019年因下呼吸道感染就诊于银川市妇幼保健院儿科的989例住院患儿的下呼吸道分泌物,采用多重PCR方法检测标本中病毒检出情况,分析人鼻病毒病例的基本情况、临床特征及实验室检查指标。结果 本研究989例下呼吸道感染患儿中,HRV总检出率为38.3%,HRV单纯感染率为9.5%,混合其他病毒感染率为28.9%;感染HRV的男患儿有221例(58.3%),女患儿有158例(41.7%);HRV感染常年都有发生,但主要流行在夏季和秋季;HRV感染患儿87.3%被诊断为肺炎,13.7%为支气管和毛细支气管炎;90.2%的感染患儿为小于6岁的儿童。HRV感染和非HRV感染患儿相比,HRV感染组发热和呕吐症状明显(P<0.05),而咳嗽、喘息、喘憋、闻及喘鸣音等临床特征方面没有统计学差异(P>0.05),在实验室检查指标分析中,血红蛋白、红细胞计数、谷草转氨酶、谷丙转氨酶以及乳酸酶含量均存在明显差异(P<0.05);结论 HRV是银川地区常见的下呼吸道感染病原体,6岁以下儿童极易感染,以发热为主要症状,且HRV感染会引发肺炎、支气管炎及毛细支气管炎下呼吸道感染疾病;HRV常与其他病毒混合感染;具有以夏、秋季为感染高峰的明显的季节性流行。

      • 0+1
      • 1+1
      • 2+1
      • 3+1
      • 4+1
      • 5+1
    • 机器人辅助单边双通道内镜行腰椎减压融合内固定术的回顾性研究

      2023, 48(11):1344-1350. DOI: 10.13406/j.cnki.cyxb.003352

      摘要 (81) HTML (49) PDF 4.76 M (179) 评论 (0) 收藏

      摘要:目的 通过与经皮脊柱内镜下腰椎减压融合内固定术进行比较,探讨机器人辅助单侧双通道内镜在腰椎减压融合内固定术中的运用及优势。方法 回顾性分析2021年2月至2022年6月甘肃省中医院脊柱疾病诊疗中心收治的26例需行腰椎减压融合术的患者,根据手术方式分为机器人辅助单侧双通道内镜行腰椎减压融合内固定术(Robot-assisted unilateral biportal endoscopy for lumbar interbody and fusion,R-ULIF)、经皮脊柱内镜辅助下腰椎减压融合内固定术(endoscopic lumbar interbody fusion,Endo-LIF)2组,R-ULIF组采用R-ULIF,Endo-LIF组采用Endo-LIF。分析并比较2组患者一般资料、2组透视次数、手术时间、出血量、术后住院时间、置钉优良率、融合率、并发症发生率、术后疼痛视觉模拟评分(visual analogue scale,VAS)、Oswestry功能障碍指数评分(oswestry dysfunction index,ODI)、MacNab标准疗效评价等指标。结果 所有患者均顺利完成手术。R-ULIF组13例,其中男6例,女7例,年龄(53.92±9.86)岁;病程33.0(6.1,81.0)个月,手术时间(187.85±10.18) min,透视次数(7.92±0.95)次,术中出血量(54.54±4.72) mL,术后住院时间(3.92±0.86) d,置钉准确率98.1%(51/52),融合率92.3%,无并发症发生(0%);Endo-LIF组13例,其中男5例,女8例,年龄(52.38±10.89)岁;病程48.0(6.0,120.0)个月,手术时间(175.15±23.81) min,透视次数(13.77±1.48)次,术中出血量(104.31±6.81) mL,术后住院时间(5.23±1.01) d,置钉准确率76.9%(40/52),融合率84.6%,1例男性患者发生了硬膜撕裂,1例女性患者发生了融合器下沉,并发症发生率为15%。2组患者相比,R-ULIF组透视次数、术中出血量、术后住院时间小于Endo-LIF组(P<0.05)。2组患者的VAS评分和ODI评分在各时间点均明显降低(P<0.05);R-ULIF组患者术后1个月和3个月时ODI评分优于Endo-LIF组(P=0.017/P=0.047),在术前、术后1周组间差异无统计学意义(P>0.05)。术后6个月采用 MacNab标准评价疗效,R-ULIF组获优9例、良2例、中1例、差1例,优良率84.6%;Endo-LIF组获优7例、良3例、中2例,差1例,优良率76.9%。结论 机器人辅助单边双通道内镜行腰椎减压融合术治疗腰椎间盘突出合并腰椎失稳,短期内临床疗效安全可靠,置钉成功率高,辐射暴露少,术中出血量少,患者住院时间少,值得临床推广。

      • 0+1
      • 1+1
      • 2+1
      • 3+1
      • 4+1
      • 5+1
      • 6+1
      • 7+1
      • 8+1
      • 9+1
      • 10+1
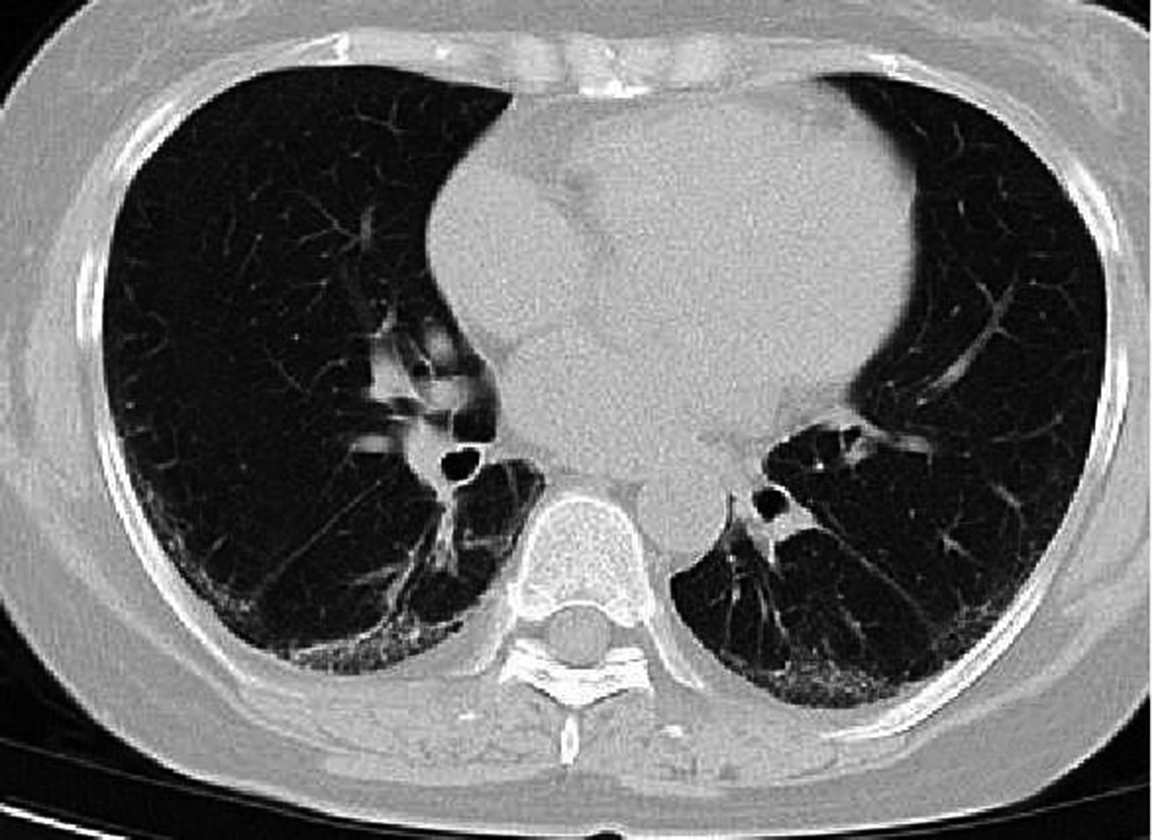
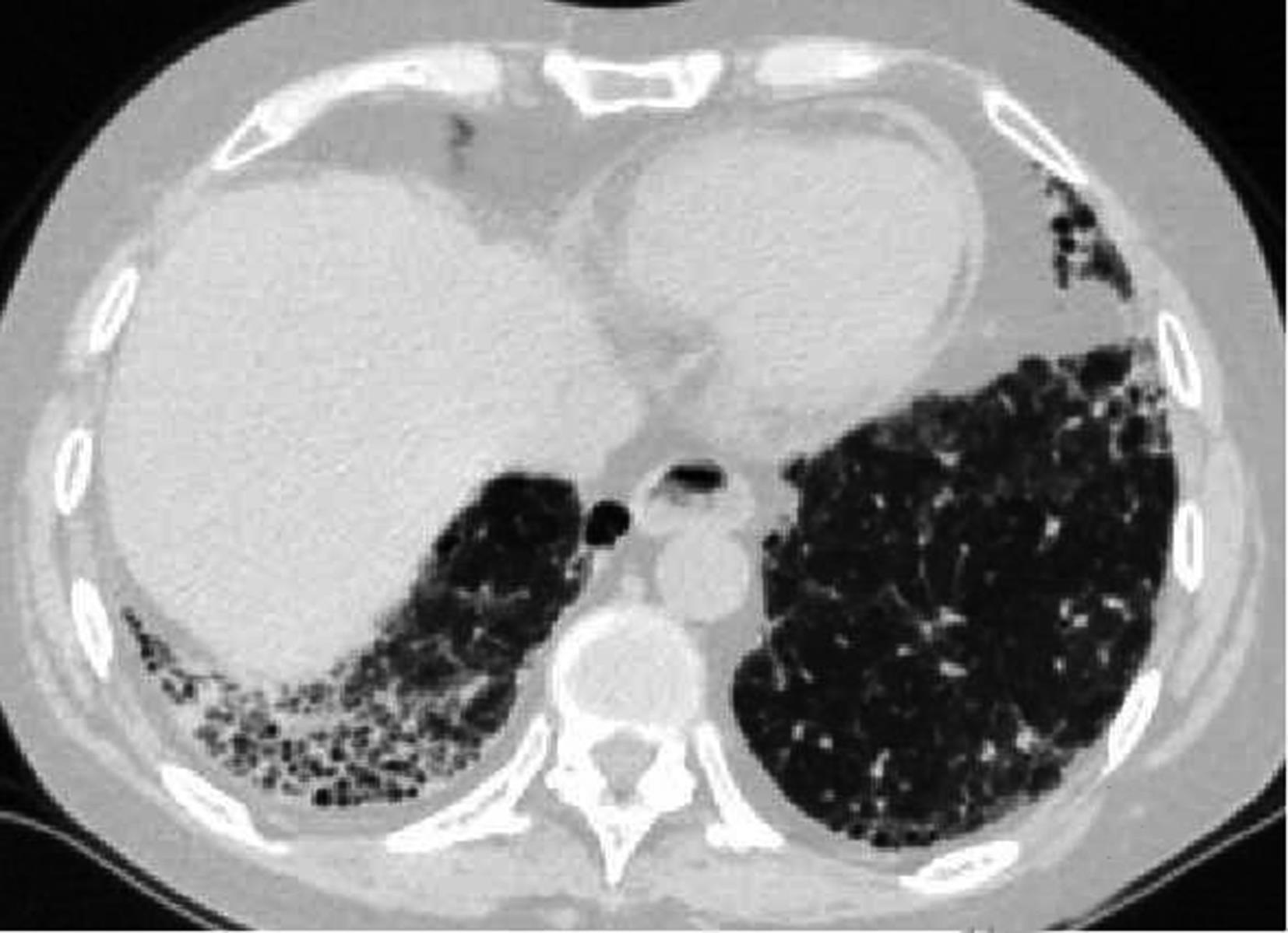
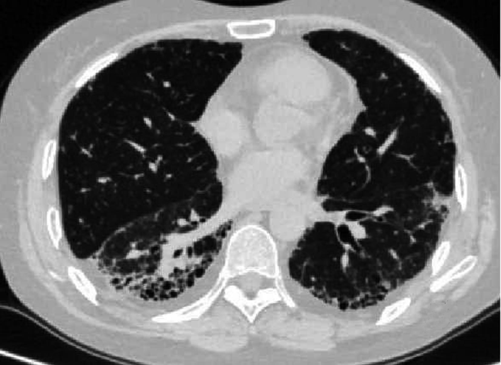
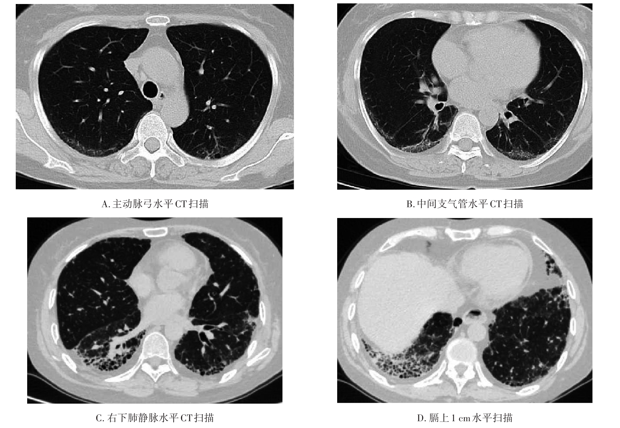
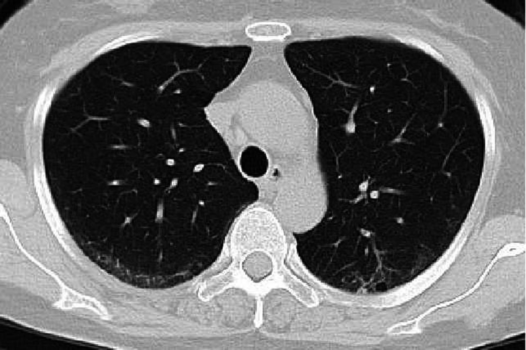
    • 系统性红斑狼疮患者肺部影像学特征与疾病活动度相关性研究

      2023, 48(11):1351-1355. DOI: 10.13406/j.cnki.cyxb.003353

      摘要 (94) HTML (39) PDF 1.35 M (174) 评论 (0) 收藏

      摘要:目的 探讨系统性红斑狼疮合并间质性肺病的CT特征与疾病活动度的相关性。方法 纳入131例系统性红斑狼疮相关间质性肺病患者。分析其疾病活动度评分、影像学特征及高分辨CT(high resolution computed tomography,HRCT)肺间质纤维化Kazerooni评分。采用Spearman秩和相关系数检验分析各评分之间的相关性。结果 Kazerooni评分法中的磨玻璃评分与系统性红斑狼疮疾病活动度-2000评分(systemic lupus erythematosus disease activity index-2000,SLEDAI-2000)呈正相关,差异有统计学意义(rs=0.388,P<0.001)。而纤维化评分与SLEDAI-2000评分之间差异无统计学意义(P=0.837)。弥漫性肺泡损伤(diffuse alveolar damage,DAD)组磨玻璃评分得分最高,寻常型间质性肺炎(usual interstitial pneumonia,UIP)组纤维化评分得分最高,差异有统计学意义(均P<0.001)。比较不同间质性肺病(interstitial lung disease,ILD)类型之间SLEDAI-2000评分差异无统计学意义(P>0.05)。结论 胸部HRCT可有助于更全面地评估系统性红斑狼疮疾病情况,对制定治疗方案具有重要意义。

      • 0+1
      • 1+1
      • 2+1
      • 3+1
      • 4+1
      • 5+1
    • 剖宫产术后再次妊娠阴道试产影响因素探讨

      2023, 48(11):1356-1362. DOI: 10.13406/j.cnki.cyxb.003373

      摘要 (99) HTML (53) PDF 543.63 K (175) 评论 (0) 收藏

      摘要:目的 探讨剖宫产术后再次妊娠阴道分娩(vaginal birth after cesarean section,VBAC)成功率的影响因素,指导剖宫产术后再次妊娠阴道试产(trial of labor after cesarean,TOLAC)临床决策,提高VBAC成功率,减少不良母婴结局的发生。方法 回顾性分析2020年1月至2022年10月于重庆医科大学附属妇女儿童医院(重庆市妇幼保健院)产科中心TOLAC孕妇共452例,其中VBAC孕妇342例,TOLAC失败孕妇110例,根据最终分娩方式从各随机选取110例孕妇分为VBAC组和TOLAC失败组。采用单因素分析和多因素Logistic回归分析VBAC的影响因素,并比较2组孕产妇的妊娠结局。结果 ①总体VBAC率为75.67%(342/452),TOLAC失败率为24.33%(110/452)。②产前影响因素单因素分析发现,VBAC组与TOLAC失败组孕妇的孕周分别为(38.44±2.13)、(38.96±1.34)周,既往因不良孕产史行引产分别为11.82%、2.80%,存在妊娠合并症为32.73%、20.56%,比较差异有统计学意义(均P<0.05)。入院时宫颈Bishop评分(5.15±1.69、3.71±1.52),既往阴道分娩史(32.73%、20.56%),自然临产(86.36%、17.76%)分别比较,差异也有统计学意义(均P<0.001)。③母婴妊娠结局单因素分析发现,新生儿体质量分别为(3 191.82±489.00)、(3 334.15±375.9) g,产后24 h出血量分别为(408.75±142.31)、(560.85±168.61) mL,VBAC组均低于TOLAC失败组,差异有统计学意义(均P<0.05)。TOLAC失败组中有7例不全子宫破裂。2 组妊娠结局中输血、产褥感染、新生儿5 min Apgar评分的分别比较,差异无统计学意义。无孕产妇及围产儿死亡病例。④多因素Logistic回归分析显示,入院时宫颈Bishop评分(OR=0.122,95%CI=0.010~1.441)、既往阴道分娩史(OR=0.034,95%CI=1.297~715.194)、早产(OR=186.54,95%CI=2.225~15 638.578)及自然临产(OR=52.37,95%CI=8.949~306.517)均是VBAC的影响因素。结论 VBAC的影响因素为孕妇的孕周、既往阴道分娩分娩史、既往因不良孕产史引产、存在妊娠合并症、入院时宫颈Bishop评分、自然临产、早产史。VBAC组产后24 h出血量低于TOLAC失败组。

    • 剖宫产术后非计划妊娠人工流产术中大出血的高危因素分析

      2023, 48(11):1363-1368. DOI: 10.13406/j.cnki.cyxb.003369

      摘要 (98) HTML (100) PDF 515.40 K (151) 评论 (0) 收藏

      摘要:目的 分析剖宫产术后非计划宫内妊娠人工流产术中发生大出血的高危因素。方法 采用前瞻性队列研究,纳入2022年1月至2023年4月在重庆市人民医院妇产科门诊接受人工流产手术的228例剖宫产术后非计划宫内妊娠患者的临床信息和影像学资料,采用单因素分析和多因素Logistic回归分析人流术中发生大出血的危险因素。结果 228例病例中,术中大出血59例,占25.87%。单因素分析结果显示:生产次数、剖宫产次数、孕囊最大直径、孕囊距离子宫切口瘢痕距离、胚胎停育以及妊娠时间是剖宫产术后非计划宫内妊娠人工流产术中发生大出血的危险因素(P<0.05)。多因素Logistic回归分析结果显示:剖宫产次数、孕囊最大直径、孕囊距离子宫切口瘢痕距离,胚胎停育以及妊娠时间是剖宫产术后非计划宫内妊娠人工流产术中发生大出血的独立危险因素(P<0.05)。结论 降低剖宫产率,落实剖宫产后高效避孕,有助于降低该类人群人流术中大出血发生风险。

    • 阴囊脓肿24例临床特征与疗效研究

      2023, 48(11):1369-1374. DOI: 10.13406/j.cnki.cyxb.003366

      摘要 (101) HTML (66) PDF 7.40 M (218) 评论 (0) 收藏

      摘要:目的 探讨并分析阴囊脓肿患者的临床特点,为临床诊疗提供依据。方法 借助电子病案系统对重庆医科大学附属第二医院2016年1月至2021年9月收治的阴囊脓肿患者的临床资料进行回顾性分析总结。结果 共纳入24例阴囊脓肿患者,平均年龄(49.29±17.05)岁。主要症状包括阴囊胀痛、红肿、破溃流脓甚至全身发热症状。合并疾病以附睾炎为主(7例,29%)。16例患者行脓液培养,其中11例为阳性(69%),致病菌主要为大肠埃希氏菌、葡萄球菌及厌氧菌等。患者用抗生素保守治疗者4例(17%);行脓肿切开引流+抗生素治疗者20例(83%),其中4例进行了病灶探查切除,3例术后病理活检示结核性肉芽肿性炎,予调整为抗结核药物治疗(13%)。24例患者病情均明显好转出院,平均住院时间为(12.96±7.53) d。1例患者痊愈出院3年后复发。结论 阴囊脓肿一旦确诊应尽早行切开引流并给予强有力的抗感染治疗。对患者加强健康卫生观念教育有助于预防此类疾病发生。

      • 0+1
      • 1+1
      • 2+1
      • 3+1
      • 4+1
    • 胰十二指肠切除术后早期肠内生态免疫营养对患者的影响

      2023, 48(11):1375-1380. DOI: 10.13406/j.cnki.cyxb.003354

      摘要 (62) HTML (27) PDF 543.65 K (161) 评论 (0) 收藏

      摘要:目的 探讨早期肠内生态免疫营养对胰十二指肠切除术后患者全身营养状况、术后并发症发生率及免疫功能的影响。方法 按纳入标准选择2019年1月至2022年12月在西安交通大学第一附属医院老年外科行胰十二指肠切除术患者,通过Excel自带程序简单随机分组,190 例患者完成研究,研究组和对照组各95 例。研究组术后第1天启动个性化肠内生态免疫营养,对照组给予以肠外营养为主的传统常规营养方案。检测各组术前、术后3、7、10、14 d血清白蛋白、前白蛋白、尿素、肌酐、血红蛋白、总胆固醇及淋巴细胞计数(比例),观察术中红细胞悬液、血浆使用量,术后通气时间、住院时间、药费及费用,住院药占比。分析两组之间术后并发症、上述指标差异,广义线性回归分析并发症相关因素。结果 发现术后并发症,研究组15例(15.79%),对照组36例(37.89%),两组之间存在统计学差异(χ2=12.095,P=0.001)。术后7、10 d 血清白蛋白水平,术后7、10、14 d 血清前白蛋白水平,术后10、14 d淋巴计数,术后7、10、14 d淋巴比例,术后3、10、14 d血红蛋白水平,术后10 d血清总胆固醇均明显高于对照组(均P<0.05);广义线性回归分析显示术后并发症与女性、体质指数、营养评分、病毒性肝炎、通气时间、血浆输注量正相关、与营养治疗负相关。结论 给予胰十二指肠切除术后患者早期肠内生态免疫营养可显著改善患者营养状况,降低术后并发症发生,提高患者免疫功能。

    • 3种骶2髂骨螺钉置钉技术准确性的比较研究

      2023, 48(11):1381-1386. DOI: 10.13406/j.cnki.cyxb.003371

      摘要 (66) HTML (38) PDF 1.13 M (179) 评论 (0) 收藏

      摘要:目的 比较传统徒手置钉,3D打印模板引导技术(three-dimensional printed template guided technique,TGT)和ball tip置钉技术在置入骶2髂骨(s2 alar-iliac,S2AI)螺钉的准确性。方法 回顾分析接受S2AI螺钉放置的145例患者,按置钉技术不同将其分为徒手技术组(36例)、TGT技术组(48例)和ball tip技术组(61例)。所有患者术前行骨盆CT确认最佳S2AI螺钉的最佳轨道参数,术后CT扫描评估螺钉轨迹的准确性,比较3种技术的置钉准确性。结果 3组患者S2AI螺钉的最佳轨道参数差异均无统计学意义(P>0.05);3组患者共置入S2AI螺钉290枚。其中,传统徒手技术组72枚,TGT技术组96枚,ball tip技术组122枚。传统徒手组置钉不准确率为18.1%(13/72),TGT技术组置钉不准确率3.1%(3/96),ball tip组置钉不准确率为4.1%(5/122):TGT技术组置钉准确性高于传统徒手技术组,差异有统计学意义(P<0.05);ball tip技术组置钉准确性也高于传统徒手技术组,差异有统计学意义(P<0.05);TGT技术组置钉准确性虽高于ball tip技术组,但差异无统计学意义(P>0.05)。结论 TGT技术和ball tip技术均为S2AI螺钉置入的可靠技术,二者的准确性均明显高于徒手技术,但ball tip技术操作简单。

      • 0+1
      • 1+1
    • 阻塞性睡眠呼吸暂停低通气综合征合并超重或肥胖的临床特征及影响因素研究

      2023, 48(11):1387-1392. DOI: 10.13406/j.cnki.cyxb.003372

      摘要 (110) HTML (41) PDF 538.21 K (179) 评论 (0) 收藏

      摘要:目的 比较有无超重或肥胖的阻塞性睡眠呼吸暂停低通气综合征(obstructive sleep apnea-hypopnea syndrome,OSAHS)患者的临床特征和睡眠结构差异,并分析其影响因素。方法 回顾性分析2020年1月至2021年4月在重庆医科大学附属第一医院就诊的458例OSAHS患者临床资料和多导睡眠监测(polysomnography,PSG)结果,根据体质指数(body mass index,BMI)分为单纯OSAHS组和OSAHS合并超重或肥胖组,单纯OSAHS组91例(19.9%),OSAHS合并超重或肥胖组367例(80.1%)。比较两组患者的临床资料和PSG结果,采用单因素分析和回归分析超重或肥胖患者发生OSAHS的影响因素。结果 两组患者在颈围、腰围、OSAHS严重程度、日间嗜睡评分、高血压史、2型糖尿病史、呼吸暂停低通气指数(apnea hypopnea index,AHI)、微觉醒指数、夜间平均氧饱和度(mean oxygen saturation,MSaO2)和夜间最低氧饱和度(lowest oxygen saturation,LSaO2)比较,差异有统计学意义(P<0.05);OSAHS合并超重或肥胖患者的多因素回归分析结果显示BMI(t=2.639,P=0.009)、家族打鼾史(t=-2.521,P=0.001 2)、微觉醒指数(t=12.813,P=0.000)和LSaO2t=-7.407,P=0.000)是主要影响因素。结论 有无超重或肥胖的OSAHS患者在临床特征和睡眠结构间具有差异性。BMI升高、有家族打鼾史、微觉醒指数增加及夜间LSaO2降低是超重或肥胖患者合并OSAHS的独立危险因素。

主管单位 :重庆市教育委员会

主办单位 :重庆医科大学

编辑部 :《重庆医科大学学报》编辑部

主编:黄爱龙

编辑部主任 :唐秋姗

国际标准刊号:ISSN 0253-3626

国内统一刊号:CN 50-1046/R

  • 浏览排行
  • 引用排行
  • 下载排行
按检索
检索词