• 2021年第46卷第11期文章目次
    全 选
    显示方式: |
    • >认知障碍心理评估
    • 神经心理评估的新进展:认知功能与脑淀粉样蛋白沉积的关系

      2021, 46(11):1287-1290. DOI: 10.13406/j.cnki.cyxb.002921

      摘要 (104) HTML (528) PDF 2.23 M (222) 评论 (0) 收藏

      摘要:阿尔茨海默病(Alzheimer's disease,AD)是一种退行性疾病。在早期阶段,AD的特征是大脑中β淀粉样蛋白(β amyloid,Aβ)和tau蛋白的聚集和记忆力减退。本文总结了脑内Aβ与认知功能的关系,对当前Aβ如何影响认知功能(记忆、执行、语言)的研究进行了综述,同时对今后研究趋势进行展望,为Aβ沉积的识别提供新思路。

      • 0+1
    • 剑桥语义测验在语义性痴呆患者中的应用研究

      2021, 46(11):1291-1295. DOI: 10.13406/j.cnki.cyxb.002908

      摘要 (111) HTML (444) PDF 2.21 M (224) 评论 (0) 收藏

      摘要:目的: 检测剑桥语义测验(Cambridge semantic memory test battery,CST)在语义性痴呆(semantic dementia,SD)患者中的研究应用。 方法: 对26例SD患者、25例正常对照组受试者均进行语言量表及其他包括简易精神状态检查量表(mini-mental state examination,MMSE)和蒙特利尔认知评估(Montreal cognitive assessment,MoCA)在内的全面的神经心理学测评。 结果: ①SD组整体测评结果均差于正常对照组(P<0.001);②CST的4个分项测验在检测SD患者与正常对照组时的AUC值分别为0.984(95%CI=0.951~1.000)、0.915(95%CI=0.826~1.000)、0.898(95%CI=0.808~0.988)、0.857(95%CI=0.733~0.980)(P<0.001)。③采用双变量分析CST结果与MMSE、MoCA及综合性认知评估、日常生活能力量表(activity of daily living scale,ADL)、临床痴呆评定量表(clinical dementia rating scale,CDR)等结果在0.01层面具有显著相关性(P<0.001);④SD组患者核磁显示SD患者具有明显的颞叶前下部萎缩,且侧重于左侧,并与相关神经心理学量表测评结果相符。 结论: CST可用于筛查SD患者。

      • 0+1
      • 1+1
      • 2+1
    • 认知评估新技术在痴呆诊断中的探索与进展

      2021, 46(11):1296-1301. DOI: 10.13406/j.cnki.cyxb.002927

      摘要 (82) HTML (354) PDF 2.69 M (214) 评论 (0) 收藏

      摘要:大脑功能减退的临床表现复杂多样,而传统认知量表评估内容单一,忽略了很多行为细节,在痴呆诊断中具有局限性。随着人工智能与医学交叉的研究不断增加,不断有新的评估方法出现,语音、书写过程、步态、眼动等特征分析及虚拟现实(virtual reality,VR)技术、可穿戴设备在认知评估中的探索成为热点。本文重点对以上认知评估新技术在认知评估中的探索和运用进行综述,并讨论认知评估新技术相对于传统量表评估的优势及前景,为今后此类评估方法在临床应用中的探索提供指导。

      • 0+1
    • 可逆的认知衰弱老年人神经心理学表现

      2021, 46(11):1302-1305. DOI: 10.13406/j.cnki.cyxb.002913

      摘要 (94) HTML (461) PDF 2.06 M (199) 评论 (0) 收藏

      摘要:目的: 研究可逆的认知衰弱老年人神经心理学表现,并比较其与正常、单独主观认知下降、单独衰弱老年人的差异。 方法: 选取2015年1月至2018年6月在首都医科大学附属复兴医院门诊及其周边社区招募的老年人166例,年龄≥60岁且无明显认知受损。收集人口学及一般临床资料,并进行衰弱及认知功能评估,按是否衰弱及主诉记忆下降分为正常对照、单独主观认知下降、单独衰弱及可逆的认知衰弱4组,研究不同组间的神经心理学表现。 结果: 从正常到可逆的认知衰弱,4组的记忆、语言功能相关测验得分依次减低。在可逆的认知衰弱与正常对照组之间,听觉词语学习测验的即刻回忆(P=0.036)和短延迟回忆(P=0.020)、词语流畅性测验(P=0.032)及交替流畅性测验(P=0.011)差异有统计学意义。 结论: 从正常到主观认知下降、衰弱及可逆的认知衰弱,记忆和语言功能呈逐渐下降趋势,并在可逆的认知衰弱者与正常对照之间有统计学差异。

      • 0+1
    • 人工智能自然语言处理在阿尔茨海默病中的应用

      2021, 46(11):1306-1309. DOI: 10.13406/j.cnki.cyxb.002919

      摘要 (129) HTML (372) PDF 983.22 K (249) 评论 (0) 收藏

      摘要:阿尔茨海默病(Alzheimer's disease,AD)是一种不可逆的神经系统退行性病变,主要表现为记忆、执行、语言等方面的损害,早期发现并干预可延缓疾病的进展。目前,临床上常用传统纸笔式神经心理量表评估患者认知功能,但其具有一定的主观性及局限性。人工智能自然语言处理(natural language processing,NLP)是一种融合语言学、计算机学及机器学习的认知评估工具,通过更加客观的分析人类语言来评估患者认知功能下降的程度,可以帮助临床医生早期识别轻度认知功能障碍(mild cognitive impairment,MCI)患者、AD患者并对AD患者进行分类。本文将对人工智能NLP在AD中的应用进行综述。

      • 0+1
    • 中文版认知障碍简要测试量表与简易精神状态检查量表在脑卒中患者认知评估中的比较分析

      2021, 46(11):1310-1314. DOI: 10.13406/j.cnki.cyxb.002918

      摘要 (232) HTML (401) PDF 3.91 M (238) 评论 (0) 收藏

      摘要:目的: 比较简易精神状态检查量表(mini mental state examination,MMSE)和中文版认知障碍简要测试量表(brief assessment of impaired cognition,BASIC)在脑卒中患者认知测评中的表现,为临床使用提供理论参考。 方法: 纳入常州市第一人民医院2020年5月至2021年1月97例卒中中心住院的脑卒中患者作为脑卒中组,另选择40例年龄、性别和受教育程度相匹配的健康体检个体作为对照组,由经培训的康复医师对所有受试对象进行MMSE和BASIC测评,比较分析两者的测评结果。 结果: ①与对照组相比,脑卒中组MMSE和BASIC得分明显下降,说明脑卒中后患者认知功能显著受损。②脑卒中组MMSE和BASIC总分呈明显正相关(r=0.662,P=0.000)。③直线相关提示年龄与MMSE(r=-0.324,P=0.001)和BASIC(r=-0.401,P=0.000)均呈负相关。教育年限则与MMSE(r=0.349,P=0.000)和BASIC(r=0.378,P=0.000)均呈正相关。多元线性回归提示MMSE结果不受年龄影响。④MMSE和BASIC无显著天花板和地板效应。⑤Kappa分析显示两量表在评估脑卒中患者认知功能障碍时一致性一般(Kappa=0.286,P=0.005)。⑥受试者工作曲线提示,MMSE和BASIC曲线下面积无明显差异,MMSE和BASIC的最佳截值分别为27.5和20.5。 结论: BASIC量表衰减效应低、操作耗时短,可作为脑卒中后认知功能障碍的早期快速筛查工具,但应用于老年高文化程度患者时需酌情分析结果。

      • 0+1
      • 1+1
    • MMSE和MoCA测试对颅脑损伤患者行为记忆障碍的预测价值

      2021, 46(11):1315-1319. DOI: 10.13406/j.cnki.cyxb.002916

      摘要 (123) HTML (246) PDF 3.88 M (204) 评论 (0) 收藏

      摘要:目的: 研究分析认知筛查量表在颅脑损伤患者中对行为记忆障碍的预测功效。 方法: 58名颅脑损伤患者接受简易智力状况检查量表(mini-mental state examination,MMSE)、蒙特利尔认知评估量表(Montreal cognitive assessment scale,MoCA)及Rivermead行为记忆测验(第三版)(Rivermead behavioural memory test-third edition,RBMT-3)3种认知量表测试,对测试结果进行分析比较。 结果: 行为记忆(RBMT-3得分)与MMSE子项目中注意力和计算(MMSE-AC:P=0.007,β=0.371)以及回忆(MMSE-Re:P=0.016,β=0.352)显著相关,MMSE两个子项目得分之和以及MMSE总分对行为记忆障碍均具备中间预测价值(AUC=0.845、0.793)。行为记忆与MoCA子项目中视空间/执行(MoCA-VE:P=0.004,β=0.278)、语言(MoCA-L:P=0.003,β=0.250)、延迟回忆(MoCA-DR:P<0.001,β=0.479)和定向(MoCA-O:P=0.002,β=0.240)存在显着相关性,MoCA四个子项目得分之和以及MoCA总分对于行为记忆障碍具有高预测值(AUC=0.953、0.938),当MoCA四个子项目得分低于13.5,或总分低于24.5提示患者行为记忆障碍可能。 结论: 可以根据颅脑损伤患者MMSE或MoCA得分预判行为记忆障碍,其中MoCA的诊断价值更高。

      • 0+1
      • 1+1
    • 自编简易临床失语量表的信度和效度验证

      2021, 46(11):1320-1323. DOI: 10.13406/j.cnki.cyxb.002917

      摘要 (130) HTML (299) PDF 3.02 M (269) 评论 (0) 收藏

      摘要:目的: 对自编简易临床失语量表进行信度和效度检验。 方法: 对符合标准的45例正常受试者和46例卒中后失语患者进行自编简易临床失语量表的2次评估:不同评定者间评估、汉语失语成套测验(Aphasia Battery of Chinese,ABC)量表评估。计算本量表的重测信度、内部一致性、评定者间信度及校标效度、结构效度、区分效度。 结果: 简易临床失语量表的重测信度为0.867~0.990;量表克龙巴赫α系数为0.873;评分者间信度为0.862~0.992;因子分析KMO为0.825;区分效度P<0.001;校标效度为0.805~0.953。 结论: 简易临床失语量表对脑卒中后失语症患者的诊断具有较好的信度和效度,可作为卒中后失语症患者言语功能障碍的测评工具。

      • 0+1
      • 1+1
    • 虚拟现实技术在阿尔茨海默病患者认知功能评估中的应用进展

      2021, 46(11):1324-1327. DOI: 10.13406/j.cnki.cyxb.002912

      摘要 (154) HTML (284) PDF 2.88 M (240) 评论 (0) 收藏

      摘要:随着人口老龄化,阿尔茨海默病(Alzheimer's disease,AD)等神经退行性疾病的发病率逐年攀升。认知功能损害和神经精神行为异常是AD的典型症状。认知功能损害主要表现为记忆力、逻辑思维能力、语言能力、执行能力和注意力下降;神经精神行为症状主要包括抑郁、欣快、淡漠等。以上症状可严重影响患者日常生活能力和生活质量。目前AD是无法治愈的,因此早发现、早诊断、早治疗对延缓患者病程的进展、提高患者生活质量、减少照料者和社会的负担有重要意义。目前针对AD的认知评估主要通过神经心理量表测试,但该方法有许多弊端。本文重点介绍基于虚拟现实技术(virtual reality,VR)认知评估的最新进展,旨在为家庭或临床环境提供更可靠的诊断。

      • 0+1
    • 缺陷型精神分裂症认知功能与病耻感相关性研究

      2021, 46(11):1328-1333. DOI: 10.13406/j.cnki.cyxb.002930

      摘要 (119) HTML (422) PDF 884.78 K (196) 评论 (0) 收藏

      摘要:目的: 探讨缺陷型精神分裂症患者认知功能损害及其阴性症状与病耻感之间的关联性。 方法: 收集72例稳定期精神分裂症患者,采用RBANS量表、Stroop测试、Link系列病耻感量表测量其认知功能及病耻感,后根据缺陷型精神分裂症诊断量表(SDS量表)分为缺陷型组(29例)与非缺陷型组(43例),并招募正常对照组40例,采用RBANS、Stroop测试测量其认知功能。 结果: 缺陷型精神分裂症患者在RBANS量表(P<0.05)及病耻感量表除教育(P>0.05)外各维度评分(P<0.05)明显高于非缺陷型精神分裂症;Stroop测试中缺陷型精神分裂症在各组测试用时明显高于非缺陷型组(P<0.05);72例精神分裂症患者斯皮尔曼相关分析提示RBANS各维度与贬低-歧视、退缩、应对、误解、不同/羞耻、情感体验、病耻感总分斯皮尔曼相关系数绝对值>0.3,呈负相关关系;Stroop测验各维度评分以色时间与贬低-歧视、不同/羞耻、情感体验、病耻感总分斯皮尔曼相关系数绝对值>0.3,字时间与除保密、教育、挑战、分离、应对外各维度斯皮尔曼相关系数绝对值>0.3,色字时间与除保密、教育、挑战、分离外各维度斯皮尔曼相关系数绝对值>0.3,以色字时间-字时间与病耻感除教育、分离维度外各维度斯皮尔曼相关系数绝对值>0.3,呈正相关关系;SDS量表评分与病耻感相关性分析提示除教育外各维度斯皮尔曼相关系数均>0.3,呈正相关关系。 结论: 缺陷型精神分裂症较非缺陷型精神分裂症认知功能损害及病耻感更严重;相关分析结果提示病耻感与非社会认知功能损害存在负相关关系,与阴性症状存在适度的正相关。

    • >认知障碍与外周生物标志物关系研究
    • 基于WGCNA分析和SVM建模对轻度认知功能障碍患者血液基因生物标志物的筛选研究

      2021, 46(11):1334-1341. DOI: 10.13406/j.cnki.cyxb.002922

      摘要 (142) HTML (400) PDF 6.68 M (256) 评论 (0) 收藏

      摘要:目的: 分析轻度认知功能损害(mild cognitive impairment,MCI)患者的外周血表达谱数据,寻找MCI的基因生物标志物。 方法: 从GEO数据库下载GSE63063表达谱数据,采用加权基因共表达网络分析(weighted gene co-expression network analysis,WGCNA)明确与MCI相关的共表达模块,对最显著的模块进行功能富集分析,利用STRING数据库构建模块的蛋白互作(protein-protein interaction,PPI)网络,识别网络中的Hub基因,基于支持向量机(support vector machine,SVM)建立MCI的诊断模型,并进行受试者工作特征曲线(receiver operating characteristic curve,ROC)分析,检测其诊断能力。 结果: 通过WGCNA分析,发现9个与MCI相关的共表达模块,brown模块与MCI的相关性最强。通过MCC算法筛选出每个模块的前15个Hub基因,其中brown模块的Hub基因诊断能力最高,在训练集及验证集中的ROC曲线下面积分别为0.864、0.789。 结论: brown模块的Hub基因可成为诊断MCI的潜在生物学标志物。

      • 0+1
      • 1+1
      • 2+1
      • 3+1
      • 4+1
      • 5+1
      • 6+1
      • 7+1
    • 脑小血管病患者认知、睡眠和血浆标志物的研究进展

      2021, 46(11):1342-1347. DOI: 10.13406/j.cnki.cyxb.002915

      摘要 (115) HTML (413) PDF 2.71 M (259) 评论 (0) 收藏

      摘要:近年来随着神经影像技术的提高与普及,越来越多的脑小血管病被正确识别,脑小血管病在老年人群中已经成为一类常见病。脑小血管病能够引起一系列威胁患者健康的问题,尤其是认知功能损害,但由于疾病早期症状不突出,影像学检查滞后等原因,目前临床仍然缺乏有效的手段尽早识别此类疾病。本文阐述了脑小血管病的影像分型以及其特征性认知功能改变,探讨睡眠和血浆生物标志物与脑小血管病之间的关系,为临床早期鉴别诊断和个体化治疗提供有力依据。

      • 0+1
      • 1+1
      • 2+1
      • 3+1
    • 主观认知下降生化诊断标志物的研究进展

      2021, 46(11):1348-1351. DOI: 10.13406/j.cnki.cyxb.002924

      摘要 (81) HTML (280) PDF 1.85 M (190) 评论 (0) 收藏

      摘要:阿尔茨海默病(Alzheimer's disease,AD)是痴呆的主要病因之一,主观认知下降(subjective cognitive decline,SCD)被认为是AD的临床前期,早期诊断SCD对AD的防治具有重大意义。在SCD的各种诊断方法中,生化诊断手段是一种较为简单、成本低廉、创伤小的诊断方式。将生化诊断方法与神经心理评估方式相结合,在SCD的诊断中具有较好的前景。本文就SCD的脑脊液、血浆、尿液等生化检测方法的研究进行综述。

      • 0+1
    • 肠道菌群及其代谢产物作为阿尔茨海默病诊断生物标志物的研究进展

      2021, 46(11):1352-1354. DOI: 10.13406/j.cnki.cyxb.002909

      摘要 (113) HTML (307) PDF 1.81 M (255) 评论 (0) 收藏

      摘要:阿尔茨海默病(Alzheimer's disease,AD)是老年期痴呆最常见的一种类型,随着“脑-肠轴”理论的提出,越来越多的研究证实AD的发生发展与肠道菌群构成及其代谢产物的改变密切相关。本文就近年肠道菌群及其代谢产物在AD领域的研究进行综述和讨论,以此为着眼点,阐述以粪便为标本的肠道菌群及其代谢产物检查作为AD诊断生物标志物的应用前景。

      • 0+1
    • 神经丝轻链蛋白在阿尔茨海默病早期诊断中的作用研究

      2021, 46(11):1355-1359. DOI: 10.13406/j.cnki.cyxb.002914

      摘要 (157) HTML (367) PDF 1.91 M (218) 评论 (0) 收藏

      摘要:目的: 探讨血清神经丝轻链蛋白(neurofilament light chain protein,NFL)是否可以作为预测阿尔茨海默病(Alzheimer's disease,AD)早期的外周血生物标志物。 方法: 纳入新疆医科大学附属中医医院阿尔茨海默病临床数据库的AD患者50例,遗忘型轻度认知功能障碍(amnestic mild cognitive impairment,aMCI)患者50例,以及选择同一时间段内按年龄、文化程度相匹配的健康对照者(cognitively normal,CN)50例,受试者均采集血清,采用酶联免疫吸附试验(enzyme linked immunosorbent assay,ELISA)检测血清NFL水平。 结果: ①AD、aMCI与CN患者的年龄、教育年限、体质指数(body mass index,BMI)比较均无统计学差异(P>0.05),资料具有可比性。②AD患者简易精神状态检查量表(mini-mental state examination,MMSE)、蒙特利尔认知评估量表(Montreal cognitive assessment,MoCA)评分显著低于aMCI组和CN组[AD组(17.48±7.50),aMCI组(25.56±1.63),CN组(28.60±1.09);F=81.830,P=0.000],MoCA评分差异最明显[AD组(12.04±6.31),aMCI组(19.92±3.17),CN组(27.62±1.16);F=177.187,P=0.000]。③血清NFL水平[AD组(4.486±2.463)ng/mL,aMCI组(5.101±2.172)ng/mL,CN组(2.885±1.469)ng/mL,F=15.167,P=0.000],AD组和aMCI组NFL水平显著高于CN组,其中aMCI组最高,3组间比较具有统计学差异;应用Spearman相关性分析发现3组间年龄、MMSE评分、MoCA评分、日常生活能力量表评分(activity of dai1y living scale,ADL)、临床痴呆评定量表(clinical dementia rating,CDR)评分与NFL水平没有相关性(P>0.05)。 结论: 轻度认知功能障碍患者血清NFL水平最高,提示血清NFL也许是预测阿尔茨海默病早期的外周血生物标志物。

      • 0+1
      • 1+1
      • 2+1
      • 3+1
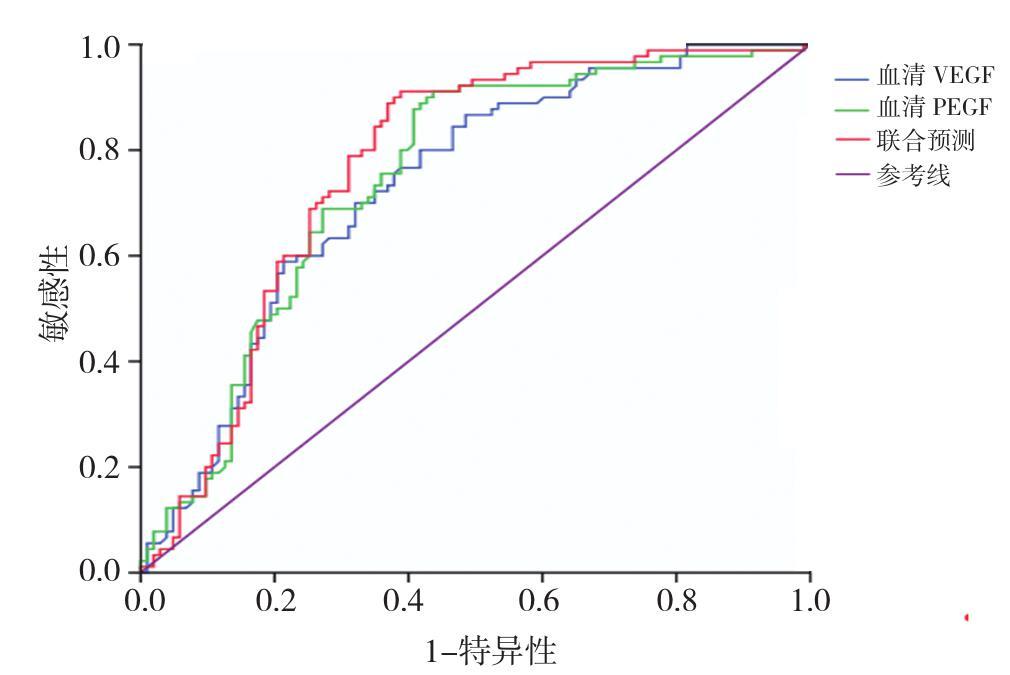
    • 脑小血管病认知障碍与血清VEGF及PEDF的相关性研究

      2021, 46(11):1360-1365. DOI: 10.13406/j.cnki.cyxb.002911

      摘要 (84) HTML (361) PDF 2.26 M (198) 评论 (0) 收藏

      摘要:目的: 探讨血清血管内皮生长因子(vascular endothelial growth factor,VEGF)及色素上皮衍生因子(pigment epithelial derived factors,PEDF)与脑小血管病(cerebral small-vascular disease,CSVD)认知障碍的关系,为筛查CSVD血管性认知功能障碍(vascular cognitive impairment,VCI)提供有效的生物学标记物。 方法: 连续性纳入2019年6月至2020年6月包头医学院第一附属医院神经内科住院的CSVD患者,完善患者临床信息资料、3.0 T头颅MRI检查包括T1加权成像、T2加权成像、液体衰减反转恢复序列、弥散加权成像及磁敏感加权成像等相关检查,采用VEGF、PEDF ELISA试剂盒检测血清VEGF、PEDF浓度。应用多变量logistic回归分析确定CSVD认知障碍的独立影响因素,运用SPSS 26.0描绘受试者工作特征(receiver operating characteristic,ROC)曲线,评价血清VEGF、PEDF浓度对CSVD认知障碍的预测价值。 结果: ①共纳入193例患者,VCI组90例(46.6%),非VCI组103例(53.4%)。2组比较显示,VCI组受教育年限、既往高血压病史、腔隙性梗死或短暂性脑缺血发作史(transient ischemic attack,TIA)、入院收缩压、舒张压、空腹血糖、血肌酐、胱抑素C、血清VEGF浓度、血清PEDF浓度与非VCI组比较,差异有统计学意义(P<0.05)。②运用多变量logistic回归模型分析显示VEGF浓度较高(优势比1.393,95%CI=1.011~1.920,P=0.042)是CSVD认知障碍的独立危险因素;而血清PEDF相对低表达(优势比0.521,95%CI=0.384~0.707,P=0.000)是脑小血管病患者认知功能障碍的独立保护因素;ROC曲线分析显示血清VEGF浓度联合PEDF浓度联合预测脑小血管病认知障碍的曲线下面积为0.769(95%CI=0.705~0.832,P<0.001),敏感性为0.911,特异性为0.612;最佳截断值为128.61 pg/mL、100.95 ng/mL,均具有较好的预测价值。 结论: 血清VEGF浓度和PEDF浓度与CSVD认知障碍存在显著相关性,血清VEGF浓度联合PEDF浓度可作为CSVD认知障碍的指标。

      • 0+1
      • 1+1
    • >认知障碍与中枢生物标志物关系研究
    • 语义性痴呆患者的定量脑电图分析

      2021, 46(11):1366-1369. DOI: 10.13406/j.cnki.cyxb.002906

      摘要 (102) HTML (427) PDF 2.21 M (188) 评论 (0) 收藏

      摘要:目的: 探讨语义性痴呆(semantic dementia,SD)患者的脑电图量化分析特点。 方法: 选取SD患者9例和性别年龄匹配的正常人30例进行脑电图(electroencephalogram,EEG)检查。记录EEG检查结果,测量全脑、左额、右额、左前颞叶、右前颞叶、左中后颞、右中后颞、左中央、右中央、左顶、右顶、左枕、右枕区各频段(δ+θ)/(α+β)相对功率比(DTABR)。对2组DTABR值及视觉分析结果进行比较,同时观察SD组患者EEG双侧大脑脑电活动的对称性。 结果: 与正常对照组相比,SD患者慢波活动增多,DTABR值增大,差异均有统计学意义(P<0.01)。SD患者左侧DTABR值高于右侧对应部位,以前颞叶明显不对称为著,差异均有统计学意义(P<0.05)。 结论: 定量EEG能够反映SD患者脑功能的变化,为理解SD的电生理学机制提供客观量化指标。

      • 0+1
      • 1+1
    • 11C-PIB-PET/CT与神经心理量表在轻度认知功能障碍和阿尔茨海默病中的相关性研究

      2021, 46(11):1370-1375. DOI: 10.13406/j.cnki.cyxb.002928

      摘要 (80) HTML (238) PDF 2.41 M (223) 评论 (0) 收藏

      摘要:目的: 探索11C-匹兹堡化合物B正电子发射断层扫描成像([N-methyl-11C]-2-(4-methylaminophenyl)-6-hydroxybenzothiazole,positron emission tomography,11C-PIB-PET/CT)与神经心理量表在轻度认知功能障碍(mild cognitive impairment,MCI)和阿尔茨海默病(Alzheimer's disease,AD)的关系。 方法: 选取吉林大学中日联谊医院神经内科2018年1月至2020年12月符合纳入标准的阿尔茨海默病及轻度认知功能障碍门诊及住院患者27例,收集患者一般资料、神经心理测试量表评分和11C-PIB-PET/CT成像,使用pMOD软件对患者11C-PIB-PET/CT成像进行处理,得到患者各脑区11C-PIB的标准摄取值比(standardized uptake value ratio,SUVR),组间对比得到显著差异的脑区,对所有患者具有显著差异的脑区SUVR与神经心理测试量表进行统计学分析。 结果: ①AD组SUVR均值高于MCI组SUVR均值,组间差异具有统计学意义(P<0.01)。②2组患者SUVR值具有统计学差异(P<0.01)的脑区为:左侧额下回(P=0.009)、左侧额上回(P=0.008)、左侧海马旁回及周围回(P=0.005)、右侧海马旁回及周围回(P=0.002)、左侧梭形回(P=0.002)、右侧梭形回(P=0.003)、左侧中央后回(P=0.003)、右侧楔叶(P=0.008)、左侧壳核(P=0.007)、右侧壳核(P=0.003)、右侧苍白球(P=0.006)、右侧扣带回前部(P=0.004)。③进一步将所有患者差异显著的脑区SUVR值与简易智能测试量表评分(mini-mental state examination,MMSE)及蒙特利尔认知评估(Montreal cognitive assessment,MoCA)行Pearson相关性分析。其中,左侧额上回(r=-0.454,P=0.029)、左侧海马旁回及周围回(r=-0.439,P=0.036)、左侧梭形回(r=-0.421,P=0.045)、左侧中央后回(r=-0.482,P=0.020)SUVR值与MMSE评分呈负相关(P<0.05)。左侧额上回(r=-0.430,P=0.040)、左侧海马旁回及周围回(r=-0.418,P=0.047)、左侧梭形回(r=-0.454,P=0.030)、左侧中央后回(r=-0.477,P=0.021)、左侧壳核(r=-0.422,P=0.045)、右侧壳核(r=-0.419,P=0.047)SUVR值与MoCA评分呈负相关(P<0.05)。 结论: ①AD组患者脑内11C-PIB的SUVR值显著高于MCI组患者。②AD组与MCI组患者多个脑区SUVR值具有显著差异。③额上回(左)、海马旁回及周围回(左)、梭形回(左)、中央后回(左)、壳核(左、右)部位Aβ蛋白沉积水平与认知功能损害相关。研究结果可为AD的早期识别诊断提供一定的影像学证据。

      • 0+1
      • 1+1
    • 认知正常与轻度认知障碍老年人海马亚区与序列位置效应关系的研究

      2021, 46(11):1376-1381. DOI: 10.13406/j.cnki.cyxb.002925

      摘要 (84) HTML (395) PDF 2.24 M (202) 评论 (0) 收藏

      摘要:目的: 研究认知正常与轻度认知障碍老年人海马亚区与序列位置效应的相关性。 方法: 选择2016年1月至2019年1月就诊于首都医科大学附属复兴医院神经内科门诊的21例轻度认知障碍(mild cognitive impairment,MCI)患者作为MCI组,同期选择体检中心及门诊的39位认知正常(normal cognition,NC)者作为对照组。所有受试者均进行成套神经心理学量表评估与头颅核磁共振检查。应用自动化海马亚区分割软件FreeSurfer计算各亚区体积,采用听觉词语学习测验(auditory verbal learning test,AVLT)记录序列位置效应结果,观察2组人群亚区体积的差异,并分析其与序列位置效应的相关性。 结果: MCI组患者海马各亚区体积均小于对照组,但经多重比较的Bonferroni校正后,仅前下托区差异有统计学意义(P<0.05)。该亚区与AVLT延迟回忆总分及首因分数呈正相关。 结论: 与对照组相比,MCI患者海马亚区体积减少,其中前下托萎缩更显著,与长时记忆损害相关。

      • 0+1
    • 脑小血管病亚型和颅外颈动脉硬化与血管性认知障碍的相关性研究

      2021, 46(11):1382-1387. DOI: 10.13406/j.cnki.cyxb.002910

      摘要 (90) HTML (370) PDF 2.88 M (250) 评论 (0) 收藏

      摘要:目的: 研究脑小血管病(cerebral small vessel disease,CSVD)亚型与颅外颈动脉粥样硬化及血管性认知障碍(vascular cognitive impairment,VCI)的相关性。 方法: 收集200例无卒中CSVD患者的人口学、用药等资料,行颈动脉超声并使用颅外颈动脉硬化评分评估颈动脉粥样硬化程度,行头颅磁共振(magnetic resonance imaging,MRI)并评估各类CSVD亚型病变程度。采用蒙特利尔认知评估量表(Montreal cognitive assessment,MoCA)筛查认知功能异常患者,根据MoCA总分<23分将患者分成VCI组和无VCI组。采用单因素分析和多因素logistic回归筛选无卒中患者VCI的独立危险因素。建立模型并使用受试者工作特征曲线(receiver operating characteristic,ROC)评估独立危险因素,计算临界值等。根据独立危险因素中的CSVD评分最佳界值计算脑小血管性认知负荷评分并使用ROC曲线评估。 结果: Logistic回归分析得出腔隙性脑梗死(lacunar infarction,LI)+腔隙灶个数之和、Fazekas评分、全脑皮层萎缩(global cortical atrophy,GCA)评分与VCI显著正相关(P<0.05),颅外颈动脉硬化评分与VCI无明显相关性(P>0.05);所建立预测模型和脑小血管性认知负荷评分曲线下面积(area under the curve,AUC)>0.7。 结论: 部分CSVD亚型与VCI存在明显相关性,颅外轻度颈动脉粥样硬化与VCI无明显相关性;可通过CSVD建立模型或使用临床更方便的脑小血管性认知负荷评分筛查无卒中患者的小血管性认知障碍。

      • 0+1
      • 1+1
    • 阿尔茨海默病患者的视觉环路损害特征及其临床应用的研究进展

      2021, 46(11):1388-1390. DOI: 10.13406/j.cnki.cyxb.002905

      摘要 (80) HTML (413) PDF 2.23 M (269) 评论 (0) 收藏

      摘要:阿尔茨海默病(Alzheimer's disease,AD)是老年人中最常见的痴呆类型,表现为进展性、不可逆转的多维度认知功能障碍。视觉功能障碍是AD及其高风险人群轻度认知功能障碍(mild cognitive impairment,MCI)的认知损害特征之一,视觉环路功能障碍是其视觉症状的主要机制。利用神经影像学可以揭示AD谱系患者视觉环路的损害模式,有助于早期识别并干预AD的进展。本文将对AD谱系患者的视觉环路损害特征及其临床应用的研究进展进行综述。

      • 0+1
    • 海马亚区在阿尔茨海默病中的研究进展

      2021, 46(11):1391-1394. DOI: 10.13406/j.cnki.cyxb.002923

      摘要 (70) HTML (421) PDF 1007.99 K (215) 评论 (0) 收藏

      摘要:阿尔茨海默病(Alzheimer's disease,AD)是一种进行性的神经系统退行性疾病。海马是AD发病过程中最早且特异性较高的一种标志物,分为CA1~4亚区。海马亚区涉及情景记忆、社会记忆、联想记忆的处理,其改变与衰老、Aβ沉积、tau蛋白过度磷酸化、缺血等影响因素相关。研究海马亚区与AD的相关性,对AD的早期识别及诊断具有重要临床意义,可能为AD的治疗提供新的思路。

      • 0+1
    • 默认网络子系统介导AD谱系患者情节记忆功能障碍的神经影像学研究进展

      2021, 46(11):1395-1398. DOI: 10.13406/j.cnki.cyxb.002920

      摘要 (66) HTML (455) PDF 2.31 M (225) 评论 (0) 收藏

      摘要:阿尔茨海默病(Alzheimer's disease,AD)及其风险人群轻度认知障碍(mild cognitive impairment,MCI)是最常见的认知功能障碍,其核心损害表现为情节记忆功能障碍。默认网络(default network,DMN)由核心子系统(Core)、背内侧前额叶子系统(dorsal medial prefrontal cortex,DMPFC)和内侧颞叶子系统(medial temporal lobe,MTL)组成,3个子系统相互协作共同维持情节记忆功能的稳态。然而,AD谱系患者中上述子系统的相互作用模式尚不明确。本文将系统回顾该领域的研究进展,揭示AD谱系患者特有的损害特征,这将为AD谱系疾病早期筛查、进展监控、疗效评估以及相关认知障碍疾病的鉴别诊断提供重要的思路。

      • 0+1
    • 增龄性神经系统改变对认知功能减退的作用机制研究进展

      2021, 46(11):1399-1404. DOI: 10.13406/j.cnki.cyxb.002926

      摘要 (77) HTML (369) PDF 3.05 M (222) 评论 (0) 收藏

      摘要:增龄导致的认知功能减退可造成巨大的家庭社会负担,其发病机制在近年来得到广泛研究。本文就增龄过程中神经系统代谢改变、神经元、胶质细胞、神经干细胞衰老及血脑屏障相关成分改变对认知功能的影响机制展开综述。

      • 0+1

主管单位 :重庆市教育委员会

主办单位 :重庆医科大学

编辑部 :《重庆医科大学学报》编辑部

主编:黄爱龙

编辑部主任 :唐秋姗

国际标准刊号:ISSN 0253-3626

国内统一刊号:CN 50-1046/R

  • 浏览排行
  • 引用排行
  • 下载排行
按检索
检索词