• 2021年第46卷第7期文章目次
    全 选
    显示方式: |
    • >专家共识
    • 功能性运动障碍的诊断与治疗中国专家共识

      2021, 46(7):732-736. DOI: 10.13406/j.cnki.cyxb.002850

      摘要 (1100) HTML (725) PDF 1.31 M (275) 评论 (0) 收藏

      摘要:功能性运动障碍(functional movement disorders,FMDs)是一类常见的分离/转换性障碍,已成为运动障碍疾病的重要分支,但多数临床医师对此疾病的认知不足。基于此,本文综述了FMDs的临床表现、辅助检查、诊断及鉴别诊断、治疗及预后,以期提高临床医生对FMDs的认识,提高临床诊断正确率,为准确治疗提供可能性。

      • 0+1
      • 1+1
    • >神经精神疾病诊断标准和进展
    • 围脑膜感染识别和诊断的重要性

      2021, 46(7):737-743. DOI: 10.13406/j.cnki.cyxb.002872

      摘要 (109) HTML (344) PDF 1.58 M (221) 评论 (0) 收藏

      摘要:随着抗生素的广泛应用和不断更新,感染性疾病对人类健康的威胁已经得到卓有成效的控制。在二代测序、药敏试验等辅助检查手段的支持下,临床医生在多数情况下可以精确地找到责任病原体并拟定相应的治疗方案。中枢神经系统由于其特殊的解剖生理特点,一直是危重或难治性感染的好发部位。其中好发于硬脑膜及其周围结构的围脑膜感染,因其特殊的病因学及病理生理机制,成为诸多中枢神经系统感染性疾病中与外周感染联系最为紧密的一类。虽然围脑膜感染多有较典型的前驱感染,但由于其起病隐匿、症状缺乏特异性,容易被前驱感染的表现所掩盖。而一旦进入显症期则意味着中枢神经系统损害可能已经产生,且单纯的药物治疗往往无法有效控制感染。因此,临床医生早期识别和诊断围脑膜感染并及时给予相应的抗菌治疗是当下避免该类可治性神经系统疾病造成不良预后的重要方式,同时也可减少不必要的外科干预对机体的损害。

      • 0+1
      • 1+1
      • 2+1
      • 3+1
    • 癫痫诊断技术的研究进展

      2021, 46(7):744-749. DOI: 10.13406/j.cnki.cyxb.002855

      摘要 (118) HTML (310) PDF 1.42 M (238) 评论 (0) 收藏

      摘要:癫痫作为世界上最常见的神经系统疾病之一,对患者造成神经生物学、认知和社会心理等方面的不良影响。因此及时明确癫痫的诊断并给予相应的治疗对改善患者的预后具有重大意义。随着科学技术的不断进步,癫痫的诊断技术日渐完善。本文从神经影像学、神经电生理、遗传学、体液检查、神经心理学、免疫学和人工智能等方面入手,就近年来癫痫诊断技术的研究进展作一综述,并展望未来,力图阐释临床上癫痫诊断的现状和进展。

      • 0+1
    • CIDP的诊断及治疗进展

      2021, 46(7):750-753. DOI: 10.13406/j.cnki.cyxb.002854

      摘要 (148) HTML (450) PDF 1.06 M (154) 评论 (0) 收藏

      摘要:慢性炎性脱髓鞘性神经根周围神经病(chronic inflammatory demyelinating polyradiculoneuropathy,CIDP)是最常见的慢性免疫介导的周围神经病。早期准确的诊断对于及时治疗及预防不可逆的神经病变具有重要价值。本文从临床类型、诊断进展、治疗现状几个方面对CIDP近年来的进展进行归纳总结。诊断进展方面,主要包括特异性抗神经节及节旁蛋白IgG4抗体的发现,神经超声和神经磁共振所示周围神经及神经根的增粗,可作为诊断的有效补充手段。

      • 0+1
      • 1+1
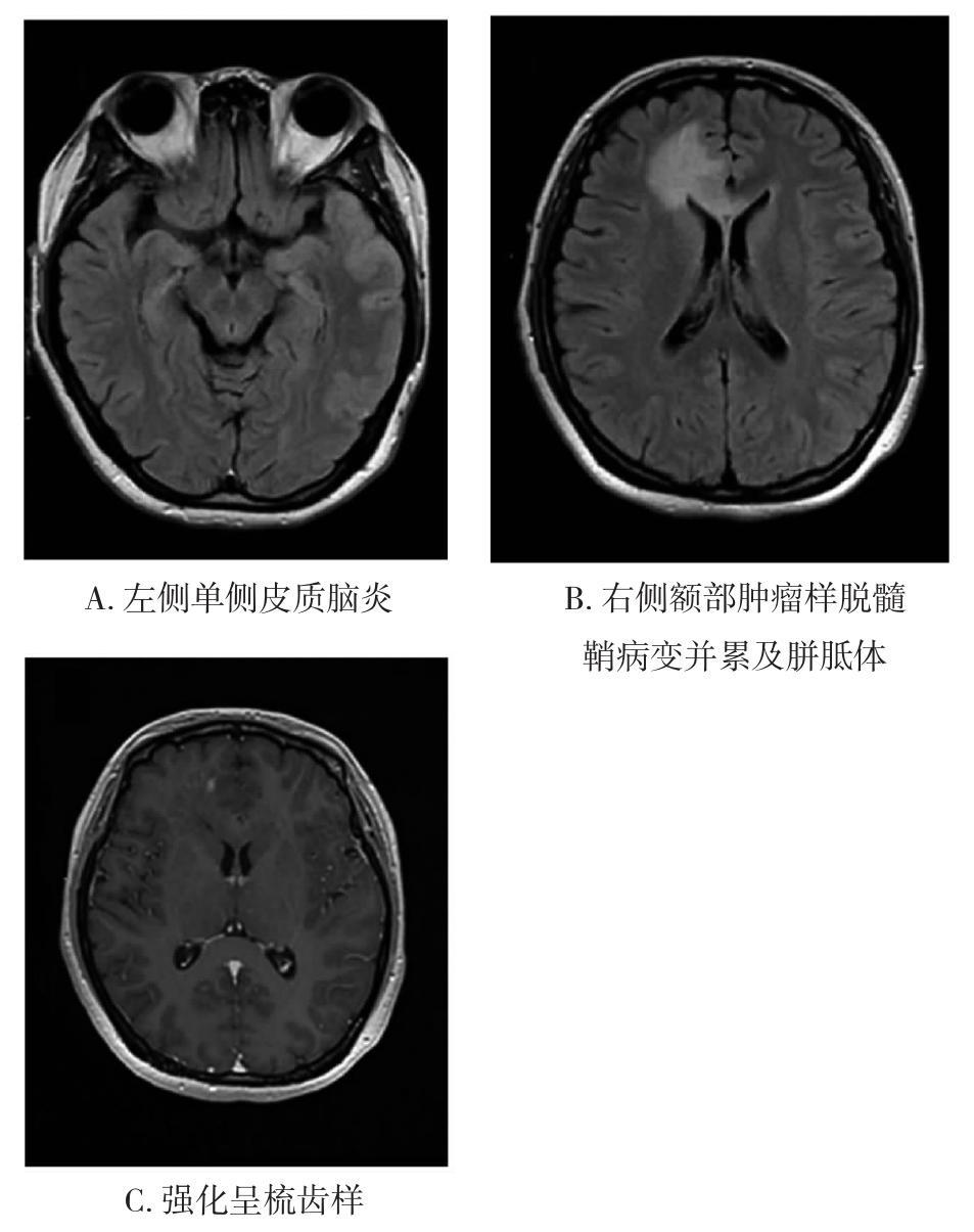
    • 自身免疫性脑炎的诊断进展

      2021, 46(7):754-759. DOI: 10.13406/j.cnki.cyxb.002867

      摘要 (140) HTML (295) PDF 2.06 M (243) 评论 (0) 收藏

      摘要:自身免疫性脑炎主要表现为急性或亚急性记忆障碍、精神行为异常及癫痫发作。2016年Lancet Neurolgy发表的自身免疫性脑炎临床诊断标准及排除标准及2017年中华医学会神经病学分会发布的《中国自身免疫性脑炎诊治专家共识》为我国自身免疫性脑炎规范化诊疗提供了重要参考。本文就临床常见的自身免疫性脑炎类型及近些年新发现的自身免疫性脑炎抗体相关综合征的临床特征作一总结,为自身免疫性脑炎的诊断提供思路。

      • 0+1
      • 1+1
      • 2+1
      • 3+1
      • 4+1
      • 5+1
      • 6+1
    • 精神分裂症诊断标准更新与分类变化

      2021, 46(7):760-763. DOI: 10.13406/j.cnki.cyxb.002870

      摘要 (204) HTML (450) PDF 1.03 M (234) 评论 (0) 收藏

      摘要:精神分裂症是一组病因未明的重性精神障碍,由于迄今为止尚无生物学标记可以进行诊断,故精神分裂症的诊断主要基于症状学。本文就世界卫生组织(World Health Organization,WHO)组织编写的《疾病和有关健康问题的国际统计分类》(International Statistical Classification of Disease and Health Problem,ICD)和美国的《精神障碍统计与诊断手册》(Diagnostic and Statistical Manual of Mental Disorders,DSM)2个诊断系统对精神分裂症的诊断标准及分类变化进行阐述,以期增加临床工作者对各诊断系统内容的理解。

      • 0+1
      • 1+1
    • >神经精神疾病诊断思路和临床基本功
    • 头晕眩晕疾病诊治思路

      2021, 46(7):764-768. DOI: 10.13406/j.cnki.cyxb.002874

      摘要 (105) HTML (258) PDF 1.53 M (227) 评论 (0) 收藏

      摘要:头晕是患者最常见的自述症状,但头晕疾病涉及多个学科,且由于患者的病史描述常常不清楚、不可靠,给临床医生带来极大的挑战。正确的头晕眩晕疾病诊断必须建立于完整而详细的病史和关键的体格检查,将患者分为眩晕、头晕、不稳和晕厥前的1972年标准,比Bárány协会推出的前庭症状分类标准更适用于临床,虽然患者描述病史困难但眩晕持续时间和诱发因素常很明确,关键的体格检查包括自发眼震、体位诱发试验、甩头试验、听力和局灶神经系统体征,临床上依据眩晕疾病的诊断标准,合理选择辅助检查,逐步建立分层诊断思路,全面评估并给予综合治疗才能获得满意疗效。

      • 0+1
      • 1+1
      • 2+1
    • 头晕/眩晕的临床诊断基本功:病史采集与体格检查

      2021, 46(7):769-772. DOI: 10.13406/j.cnki.cyxb.002856

      摘要 (124) HTML (369) PDF 1.18 M (183) 评论 (0) 收藏

      摘要:头晕和眩晕是临床最为常见的主诉症状之一。由于症状的非特异性,临床诊治往往较为困难。详尽的病史采集及系统完整的体格检查有助于初步判定病变部位,从而更加有针对性地选择相应的辅助检查,更快捷有效地明确病因,选择正确的治疗策略。本文基于笔者临床处理众多头晕/眩晕患者的诊治经验,从问诊及体格检查方面简要阐释头晕和眩晕的诊治思路。

      • 0+1
    • 头痛的诊断思路与方法:《国际头痛分类第三版》的应用

      2021, 46(7):773-776. DOI: 10.13406/j.cnki.cyxb.002799

      摘要 (233) HTML (678) PDF 1.11 M (219) 评论 (0) 收藏

      摘要:头痛是临床上最常见的主诉症状之一,临床表现复杂,病因多样,正确的诊断思路和方法十分重要。要掌握头痛的诊断分类,识别常见头痛疾病的临床特点,临床实践中首先要进行详细的病史询问,了解头痛的发作性质和类型、持续时间、伴随症状及相关病史;其次应进行相关的体格检查和针对性辅助检查,不加选择的辅助检查并无助于诊断。本文结合《国际头痛分类第三版》的诊断标准,阐述如何通过病史询问、体格检查和辅助检查建立头痛疾病的诊断思路。

      • 0+1
    • 略论运动障碍性疾病的诊断评估思路

      2021, 46(7):777-780. DOI: 10.13406/j.cnki.cyxb.002845

      摘要 (148) HTML (653) PDF 1.32 M (221) 评论 (0) 收藏

      摘要:

      • 0+1
      • 1+1
      • 2+1
    • >神经肌肉病理和电生理诊断
    • 脑库神经系统变性疾病的病理诊断

      2021, 46(7):781-785. DOI: 10.13406/j.cnki.cyxb.002798

      摘要 (107) HTML (493) PDF 1.48 M (201) 评论 (0) 收藏

      摘要:随着脑计划在国内的开展,脑库工作将在其中起重要作用。神经系统变性疾病为脑库相关疾病的重要组成部分,对其进行严格的神经病理诊断具有重要意义。本文结合作者在脑库工作中的经验,对常见神经系统变性疾病的病理特点进行重点概述,对近年来在阿尔茨海默病、原发性衰老相关性tau病等疾病的病理诊断进展进行介绍,力图建立脑库神经系统变性疾病病理诊断的标准化程序。

      • 0+1
      • 1+1
    • 肌肉活检技术在神经肌肉疾病诊断中的应用

      2021, 46(7):786-788. DOI: 10.13406/j.cnki.cyxb.002868

      摘要 (85) HTML (378) PDF 1.24 M (167) 评论 (0) 收藏

      摘要:

      • 0+1
      • 1+1
      • 2+1
    • 基于机器学习的神经电生理在慢性疾病诊断中的应用

      2021, 46(7):789-793. DOI: 10.13406/j.cnki.cyxb.002858

      摘要 (112) HTML (389) PDF 1.32 M (249) 评论 (0) 收藏

      摘要:慢性疾病正逐步取代传染性疾病,成为威胁人类身体健康最为主要的因素,给家庭和社会带来沉重负担。因此,实现慢性疾病早期诊断意义重大。目前的临床诊断方法难以实现这一目标,因此需要一种新的慢性疾病诊断方法。心脑血管疾病、恶性肿瘤、糖尿病等常见的慢性疾病都会影响神经系统,造成神经电信号变化,因此神经电生理将会成为早期诊断慢性疾病的有效手段。来源于生物体不同部位的神经电信号组成复杂,将机器学习算法与神经电生理方法相结合,从而解决神经电信号包含信息复杂、难以分析这一痛点。本文对基于机器学习的神经电生理在慢性疾病诊断中的应用进行了系统全面的阐述。

      • 0+1
      • 1+1
    • 电生理皮质兴奋性指标在精神障碍诊疗中的价值

      2021, 46(7):794-797. DOI: 10.13406/j.cnki.cyxb.002801

      摘要 (126) HTML (436) PDF 886.83 K (234) 评论 (0) 收藏

      摘要:精神疾病病因机制复杂,且具有易复发、致残率高等特点,多存在脑皮质活动的兴奋性或抑制性失常。发展无创、在体、定量检测精神疾病患者大脑皮质活动的客观指标,对深入探索精神疾病的发病机制和辅助临床诊断准确性提高至关重要。基于经颅磁刺激这一新兴的无创神经调控技术,联合神经电生理检测技术的日益成熟,提供了多项大脑皮质兴奋性和抑制性客观指标。本文概述经颅磁技术评估精神疾病大脑皮质活动的技术进展,并分别阐述其在精神疾病皮质活动评估和治疗疗效预测中的研究进展。

    • >遗传基因检测
    • 神经系统遗传病的基因检测策略

      2021, 46(7):798-803. DOI: 10.13406/j.cnki.cyxb.002865

      摘要 (79) HTML (421) PDF 1.29 M (244) 评论 (0) 收藏

      摘要:近年来,各种基因检测技术包括单基因测序、基因Panel、全外显子组测序和全基因组测序等被广泛应用于神经系统遗传病的诊断中。基因检测技术的快速发展使临床医生能够探索表型更为复杂、遗传异质性更大的疾病,帮助他们对疾病作出快速且精准的诊断。本文旨在帮助临床医生在种类繁多的基因检测技术中选择合适的方法辅助诊断神经系统遗传病。

      • 0+1
    • 阿尔茨海默病及相关认知障碍基因检测的临床策略

      2021, 46(7):804-808. DOI: 10.13406/j.cnki.cyxb.002862

      摘要 (175) HTML (230) PDF 1.12 M (258) 评论 (0) 收藏

      摘要:对阿尔茨海默病(Alzheimer's disease,AD)及认知障碍的患者进行基因检测有助于使患者得到临床确诊,帮助患者家属评估日后患病风险及必要时接受早期干预治疗。临床上需要对痴呆患者进行全面评估,明确临床诊断,选择合适的基因检测方式。对于有AD家族史的痴呆患者,或发病年龄<60岁的早发AD,推荐痴呆基因Panel检测;行为变异性额颞叶痴呆(behavioral variant frontotemporal dementia,bvFTD)、额颞叶痴呆-肌萎缩侧索硬化症(frontotemporal dementia-amyotrophic lateral sclerosis,FTD-ALS)、有家族史的原发性进行性失语症(primary progressive aphasia,PPA)或皮质基底节综合征(cortico-basal syndrome,CBS)患者,推荐痴呆基因Panel检测[如果同时合并肌萎缩侧索硬化症(amyotrophic lateral sclerosis,ALS)和额颞叶痴呆(frontotemporal dementia,FTD)则推荐加做C9orf72六核苷酸异常重复扩增检测];临床考虑亨廷顿病(Huntington disease,HD)或朊蛋白病的患者,推荐单基因检测,如果单基因检测结果是阴性但具有早发痴呆家族史的患者需要全外显子组测序(whole exome sequencing,WES)/全基因组测序(whole genome sequencing,WGS)+C9orf72六核苷酸异常重复扩增检测。二代测序识别的诸多单核苷酸多态性(single nucleotide polymorphism,SNP),推荐按照ACMG-AMP进行分类,分析SNP致病的可能性。

      • 0+1
      • 1+1
    • >神经影像诊断
    • 脑血管疾病的神经影像诊断和进展

      2021, 46(7):809-812. DOI: 10.13406/j.cnki.cyxb.002861

      摘要 (116) HTML (379) PDF 1.27 M (221) 评论 (0) 收藏

      摘要:脑血管疾病是我国首位致死致残类疾病,对患者进行精确的影像学评估是制定救治方案并改善预后的重要环节,这对急性缺血性脑卒中(acute ischemic stroke,AIS)患者尤为关键。神经影像学近年来得到飞速发展,各项新技术的涌现有助于临床医生对缺血卒中患者的梗死面积、缺血半暗带区域及责任血管病变情况进行全面评估,为临床个体化治疗提供有益的信息。本文简要总结电子计算机断层成像(computerized tomography,CT)、磁共振成像(magnetic resonance imaging,MRI)等在脑血管疾病诊疗方面的新技术和应用进展,以期对临床脑血管疾病的影像学应用提供借鉴和参考。

      • 0+1
    • 淀粉样蛋白和tau蛋白PET显像在痴呆中的临床研究进展

      2021, 46(7):813-817. DOI: 10.13406/j.cnki.cyxb.002800

      摘要 (113) HTML (259) PDF 1.44 M (182) 评论 (0) 收藏

      摘要:人口老龄化导致痴呆,特别是阿尔茨海默病(Alzheimer's disease,AD)的发病率、患病率呈明显上升态势。正电子发射断层显像(positron emission tomography,PET)是近年来蓬勃发展的分子影像学诊断技术之一。在痴呆领域中,以神经病理学为基础,放射性标记的淀粉样蛋白和tau蛋白正电子显像剂可以客观地检测脑内异常蛋白沉积分布情况,可广泛应用于AD的早期诊断与鉴别诊断、疾病进展与预后评估等方面。本文主要针对淀粉样蛋白和tau蛋白正电子显像剂的发展和临床研究现状进行综述。

      • 0+1
      • 1+1
    • 皮质基底节变性的影像诊断研究进展

      2021, 46(7):818-822. DOI: 10.13406/j.cnki.cyxb.002866

      摘要 (70) HTML (289) PDF 1.30 M (184) 评论 (0) 收藏

      摘要:皮质基底节变性(corticobasal degeneration,CBD)是一种以不对称的运动症状和大脑皮质功能障碍为主要表现的神经退行性疾病。金标准为病理诊断,临床特征的异质性以及与其他神经退行性疾病在症状和病理方面的重叠性使得诊断难度大。现行诊断标准正确率较低,未将影像学纳入其中。本文主要综述近几十年CBD的影像学进展,包括计算机断层扫描(computed tomography,CT)、磁共振成像(magnetic resonance imaging,MRI)、放射性核素显像等,以及其在疾病鉴别方面的贡献。

      • 0+1
      • 1+1
    • 磁敏感加权成像黑质“燕尾征”在帕金森病中的诊断价值

      2021, 46(7):823-827. DOI: 10.13406/j.cnki.cyxb.002859

      摘要 (186) HTML (257) PDF 1.23 M (204) 评论 (0) 收藏

      摘要:目的: 探讨3.0 T磁敏感加权成像(susceptibility weighted imaging,SWI)中“燕尾征”缺失在帕金森病(Parkinson's disease,PD)的诊断价值并分析黑质小体-1(nigrosome-1)可视化与PD患者临床资料的相关性。 方法: 收集2017年9月至2019年11月于重庆医科大学附属第一医院神经内科住院的50例PD患者及年龄、性别与之匹配的57例非PD患者。所有受试者均接受3.0 T头颅SWI检查。在获得的SWI图像上,由2名临床医师采用盲法独立对双侧“燕尾征”进行评估。一侧“燕尾征”缺失即判定为PD。计算“燕尾征”缺失诊断PD的灵敏度、特异度、预测值和准确度,并分析nigrosome-1可视化与PD患者临床资料的相关性。 结果: 以临床诊断作为金标准,45例PD患者判断正确,评估者之间的一致性很高(k=0.963,P=0.000)。“燕尾征”缺失诊断PD的灵敏度为90.0%,特异度为91.2%,阳性预测值为90.0%,阴性预测值为91.2%,准确度为90.7%。44例PD患者临床症状不对称,其中32例患者nigrosome-1可视化不对称。PD患者nigrosome-1可视化偏侧和临床症状偏侧比较差异无统计学意义(χ2=5.756,P=0.056)。11例PD患者双侧nigrosome-1全部缺失,纳入全部缺失组,其余PD患者为非全部缺失组。全部缺失组和非全部缺失组患者的汉密尔顿抑郁量表评分差异有统计学意义(U=126.500,P=0.038),而病程、帕金森病统一评定量表第Ⅲ部分、改良Hoehn-Yahr(H-Y)分级、简易智能状态量表和蒙特利尔认知评估量表评分差异均无统计学意义(P=0.768、0.140、0.839、0.054、0.067)。 结论: “燕尾征”缺失诊断PD的准确率较高,缺失程度可能与PD患者的抑郁程度有关,对PD的诊断有一定参考价值。

      • 0+1
    • 应用SWI技术分析帕金森病患者脑铁沉积与运动症状相关性的研究

      2021, 46(7):828-833. DOI: 10.13406/j.cnki.cyxb.002860

      摘要 (125) HTML (287) PDF 1.39 M (194) 评论 (0) 收藏

      摘要:目的: 使用磁敏感加权成像(susceptibility weighted imaging,SWI)检测脑核团铁含量,并评估脑铁沉积与帕金森病(Parkinson's disease,PD)运动症状的相关性。 方法: 纳入35例PD患者和41例年龄和性别匹配的健康受试者在3 T核磁共振完成SWI检查,在相位图中测量各核团的相位值。收集Hoehn-Yahr分级、统一帕金森病评分量表(Unified Parkinson's Disease Rating Scale,UPDRS)第Ⅰ、Ⅱ、Ⅲ部分评分及总分等临床资料。根据Hoehn-Yahr分级将PD组分为早期组(≤2级)及中晚期组(>2级),PD早期组中(Hoehn-Yahr分级≤1.5级)根据其运动症状分为患肢同侧组及对侧组。比较各组间各核团相位值差异,并分析相位值与铁含量、UPDRS评分等的相关性。 结果: 对照组各核团相位值与正常人脑铁含量呈负线性相关(r=-0.809,P=0.028)。PD组黑质致密部(substantia nigra pars compactac,SNc)相位值较对照组显著降低(P=0.011),中晚期PD组SNc相位值显著低于对照组(P=0.014),PD早期患肢同侧组及对侧组SNc相位值差异显著(P<0.001),对侧组SNc相位值较对照组明显降低(P=0.032)。PD组SNc相位值与UPDRS-Ⅱ评分负线性相关(r=-0.364,P=0.032)。 结论: 在PD进展过程中SNc铁含量逐渐增加,以中晚期为著。SNc铁沉积在PD早期的不对称性分布与运动症状不对称有关。PD患者SNc铁沉积与运动症状严重程度呈正线性相关,提示其可能作为监测疾病进展的生物标志物。

      • 0+1
      • 1+1
      • 2+1
      • 3+1
      • 4+1
    • 早期偏头痛患者脑网络度中心度的静息态fMRI研究

      2021, 46(7):834-837. DOI: 10.13406/j.cnki.cyxb.002869

      摘要 (295) HTML (234) PDF 1.27 M (211) 评论 (0) 收藏

      摘要:目的: 采用静息态功能磁共振(resting-state functional magnetic resonance imaging,rsfMRI)探究早期偏头痛患者脑网络度中心度相较于健康人群是否存在异常。 方法: 对重庆市潼南区人民医院44例早期偏头痛患者及45名健康对照者(正常对照组)行rsfMRI扫描,所得数据利用DPARSFA软件预处理,并基于图论理论分析比较早期偏头痛患者和健康人群度中心度(degree centrality,DC)值差异,通过斯皮尔曼相关分析差异脑区DC值与简易智力状态检查量表(mini-mental state examination,MMSE)评分、汉密尔顿焦虑量表(Hamilton anxiety scale,HAMA)评分和汉密尔顿抑郁量表(Hamilton depression scale,HAMD)评分的相关性。 结果: 早期偏头痛组和健康对照组进行全脑网络节点度中心度比较发现,在丘脑、颞上回、内侧额叶脑回、额叶、边缘叶、中央后回、中央前回、旁中央小叶脑区存在统计学差异(P<0.05,Cluster>20,TFCE校正,置换检验次数为5 000),但DC值与临床评分无相关性(P>0.05)。 结论: 早期偏头痛患者脑网络度中心度改变的脑区主要位于痛觉辨别处理区,为进一步探究偏头痛的病理学和神经生理学机制提供了新的发现。

      • 0+1
    • >神经疾病治疗
    • 针刺结合多奈哌齐治疗阿尔茨海默病疗效的Meta分析

      2021, 46(7):838-843. DOI: 10.13406/j.cnki.cyxb.002863

      摘要 (139) HTML (436) PDF 1.52 M (209) 评论 (0) 收藏

      摘要:目的: 综合分析针刺结合盐酸多奈哌齐治疗阿尔茨海默病(Alzheimer's disease,AD)的临床疗效。 方法: 检索中国学术期刊全文数据库(China National Knowledge Infrastructure,CNKI)、万方数据库(Wanfang Data)、中国生物医学文献数据库(Chinese BioMedical Literature Database,CBM)、PubMed、Web of Science(SCI)数据库关于针刺结合盐酸多奈哌齐治疗AD的相关文献,检索时间均为建库至2021年2月17日。对入选文献提取认知量表、日常生活能力量表评分资料,计算治疗前后各量表评分差值及其标准差,并使用RevMan5.4软件进行数据分析。 结果: 共纳入7个随机对照临床试验,患者共计425例。Meta分析结果提示针药结合治疗在改善AD患者MMSE评分(MD=0.52,95%CI=0.18~0.86)及ADAS-Cog评分(MD=-1.78,95%CI=-2.47~-1.10)方面优于多奈哌齐单用。根据GRADE方法评价,MMSE、ADAS-Cog量表评分为低质量证据,MoCA、ADL量表评分为极低质量证据。 结论: 现阶段的临床证据表明针刺结合多奈哌齐治疗AD比单纯应用多奈哌齐更有优势,但因存在文献研究质量不高、样本量小等诸多局限,仍需更多高质量、大样本的临床试验进一步验证。

      • 0+1
      • 1+1
      • 2+1
      • 3+1
      • 4+1
      • 5+1
      • 6+1
      • 7+1
    • α-突触核蛋白基因多态性与帕金森病的关联分析

      2021, 46(7):844-848. DOI: 10.13406/j.cnki.cyxb.002873

      摘要 (82) HTML (251) PDF 1.56 M (259) 评论 (0) 收藏

      摘要:目的: 探讨α-突触核蛋白基因(α-synuclein gene,SNCA)rs1372525、rs3822086等位点基因多态性与新疆地区帕金森病的关联性。 方法: 采用病例-对照研究,收集来自新疆医科大学各个附属医院门诊及病区225例帕金森病患者及231例年龄、性别、生源地等条件与其相匹配的健康体检者,分别作为病例组及对照组;采集2组参与者外周血液,通过提取脱氧核糖核酸(deoxyribonucleic acid,DNA),聚合酶链反应(polymerase chain reaction,PCR)对2组参与者的SNCA rs1372525、rs3822086等位点进行多态分析。 结果: 病例组与对照组SNCA rs1372525位点分别测得AA型161、164例,AG型54、61例,GG型10、6例,等位基因A的频率分别为83.6%和84.2%,等位基因G在2组间的频率分别为16.4%和15.8%,rs1372525位点3种基因型及等位基因分布频率在帕金森病组与对照组间的差异无统计学意义(P>0.05)。病例组与对照组rs3822086位点分别测得CC型47、73例,CT型115、113例,TT型63、45例,等位基因C的频率为46.4%、56.1%,等位基因T的频率为53.6%、43.9%,可见该位点rs3822086 CC基因型和等位基因C在2组间的差异无统计学意义(P>0.05);而CT、TT 2种基因型及等位基因T的分布频率在2组之间的差异有统计学意义(P<0.05)。 结论: SNCA rs1372525位点多态性与帕金森病的发病无关。rs3822086考虑是帕金森病发生发展中的易感位点之一。

      • 0+1
      • 1+1
      • 2+1
    • 脊髓硬脊膜动静脉瘘6例临床分析

      2021, 46(7):849-852. DOI: 10.13406/j.cnki.cyxb.002864

      摘要 (117) HTML (352) PDF 1.43 M (174) 评论 (0) 收藏

      摘要:目的: 探讨脊髓硬脊膜动静脉瘘(spinal dural arteriovenous fistula,SDAVF)的临床特征、影像学特点及治疗,以期提高对SDAVF的早期识别和诊断。 方法: 对上海市普陀区人民医院神经外科收治住院的6例SDAVF患者临床表现、影像学资料及治疗进行回顾性分析。 结果: 6例患者中5例为男性,1例为女性,确诊年龄22~74岁,病程2~24个月。累及双下肢肌力5例,累及双下肢或四肢感觉6例,累及大便和(或)小便功能4例,其中2例需留置导尿管。5例患者术前行脊髓磁共振(magnetic resonance,MR)检查,脊髓MR可见脊髓长T1、长T2信号,脊髓表面迂曲血管流空影,增强后可见部分强化。6例患者均行脊髓数字血管造影(digital subtraction angiography,DSA)检查,显示5例瘘口在胸段,1例行3次脊髓血管造影均未见瘘口,手术时发现瘘口。5例患者于手术下行瘘口切除,术后均恢复良好。 结论: SDAVF有其临床特征和影像学特点,磁共振检查可作为初筛标准,脊髓血管造影为其诊断金标准。手术为其有效治疗方法,早期诊断、早期治疗有助于改善患者预后。

      • 0+1
      • 1+1
    • 角色扮演在老年期痴呆患者研究伙伴教育中的应用

      2021, 46(7):853-857. DOI: 10.13406/j.cnki.cyxb.002857

      摘要 (137) HTML (414) PDF 1.42 M (199) 评论 (0) 收藏

      摘要:目的: 探讨角色扮演教育模式提升老年期痴呆患者研究伙伴对痴呆疾病认知的效果。 方法: 采用临床便利抽样对50名老年期痴呆患者研究伙伴进行每周1次、为期6周的角色扮演教育,应用配对样本t检验对培训前后老年期痴呆患者研究伙伴关于痴呆知识掌握情况以及照护态度的变化进行统计学分析。 结果: 培训后老年期痴呆患者研究伙伴的痴呆知识评估量表得分(25.58±4.56)高于培训前(17.54±2.68),差异具有统计学意义(P<0.01);培训后痴呆态度量表得分(109.84±10.82)高于培训前(104.74±11.04),差异具有统计学意义(P<0.05)。 结论: 角色扮演能有效促进老年期痴呆患者研究伙伴了解患者疾病知识并理解患者的行为模式。

      • 0+1
    • >新兴交叉学科
    • 神经口腔科学:一个值得关注的新兴交叉学科

      2021, 46(7):858-862. DOI: 10.13406/j.cnki.cyxb.002871

      摘要 (177) HTML (500) PDF 1.55 M (213) 评论 (0) 收藏

      摘要:

      • 0+1
      • 1+1
      • 2+1
      • 3+1

主管单位 :重庆市教育委员会

主办单位 :重庆医科大学

编辑部 :《重庆医科大学学报》编辑部

主编:黄爱龙

编辑部主任 :唐秋姗

国际标准刊号:ISSN 0253-3626

国内统一刊号:CN 50-1046/R

  • 浏览排行
  • 引用排行
  • 下载排行
按检索
检索词