• 2022年第47卷第7期文章目次
    全 选
    显示方式: |
    • >脑血管疾病综述   DOI:10.13406/j.cnki.cyxb.003062
    • 神经胶质细胞在血管性认知障碍发病机制中的研究进展

      2022, 47(7):753-757. DOI: 10.13406/j.cnki.cyxb.003062

      摘要 (768) HTML (83) PDF 502.43 K (374) 评论 (0) 收藏

      摘要:血管性认知障碍(vascular cognitive impairment,VCI)是由脑血管病变及相关危险因素引起的从轻度认知障碍到痴呆的一大类疾病。VCI的病理特征主要包括白质损伤、脱髓鞘与神经炎症。神经胶质细胞是大脑内数量最多的细胞,对于维持中枢神经系统正常功能具有重要作用。最近的研究发现神经胶质细胞在VCI的发病中扮演重要角色。探讨神经胶质细胞的作用有助于提高对VCI的认识,为疾病的防治提供新的思路。

    • >脑血管疾病综述   DOI:10.13406/j.cnki.cyxb.003050
    • 醒后卒中的影像学研究进展

      2022, 47(7):758-761. DOI: 10.13406/j.cnki.cyxb.003050

      摘要 (435) HTML (63) PDF 438.56 K (318) 评论 (0) 收藏

      摘要:我国最新居民致残和致死调查报告显示,卒中发病率高居首位,虽然近几年卒中致死率较前下降,但是因为疾病的致残性及后续康复带来的巨大社会支出,对卒中的探索及相关研究依然刻不容缓。急性缺血性卒中(acute ischemic stroke,AIS)占所有卒中的85%,醒后卒中(wake-up stroke,WUS)又占其中的20%左右。因在睡眠中发病,故具体发病时间不详。事实上,很多患者疾病发生在醒来前的很短时间,但治疗上却错失了溶栓或血管内治疗的机会,最终导致预后不良。目前针对WUS发病时间的研究越来越多,其中通过影像学手段推测WUS的发病时间指导其治疗尤为热门。本文对WUS的近期影像学研究进展作一综述。

    • >脑血管疾病研究
    • 基于脑电非线性分析观察高频重复经颅磁刺激对卒中后认知功能的影响

      2022, 47(7):762-767. DOI: 10.13406/j.cnki.cyxb.003059

      摘要 (456) HTML (30) PDF 572.08 K (297) 评论 (0) 收藏

      摘要:目的 结合脑电非线性分析技术,探讨高频重复经颅磁刺激(repetitive transcranial magnetic stimulation,rTMS)对卒中后认知障碍(post-stroke cognitive impairment,PSCI)患者的临床效果。方法 将40例PSCI患者随机分为rTMS组和对照组,每组20例。2组均给予基础药物及常规康复训练,rTMS组予以5 Hz rTMS,刺激靶点为左侧前额叶背外侧(dorsolateral prefrontal cortex,DLPFC),每日1次,每次20 min,共4周。于治疗前、治疗4周后采用蒙特利尔认知评估量表(Montreal cognitive assessment,MoCA)、Stroop色词测验(Stroop color-word test,SCWT)、连线测验A-B(trail making test,TMT)、P300检测评估患者认知功能,同时于安静闭眼状态下采集脑电信号,通过非线性参数关联维数(correlation dimension,D2)、近似熵(approximate entropy,ApEn)观察区域功能连接变化和其他脑区改变情况。结果 与对照组相比,治疗4周后,rTMS组患者MoCA评分明显增高(P<0.05); SCWT中卡片A耗时、卡片B耗时、干扰量耗时、干扰量正确数均明显下降(P<0.05);TMT中卡片A耗时、卡片B耗时、干扰量耗时明显下降(P<0.05);rTMS组P300潜伏期明显缩短(P<0.05);rTMS组D2值、ApEn值明显增加(P<0.05);rTMS组D2值在F4、O1、F8导联与对照组相比无统计学差异(P=0.074、0.179、0.120),其余导联均有统计学差异(P<0.05),ApEn值在FP1、FP2、F3、C4、P4、O2、F7、T3导联与对照组相比有统计学差异(P<0.05)。结论 高频rTMS治疗可有效改善PSCI患者认知功能,并影响局部神经环路,代偿认知功能。

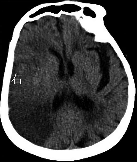
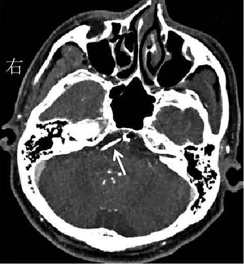
    • 脑静脉窦血栓形成患者早期癫痫发作与血清D-二聚体相关性的研究

      2022, 47(7):768-772. DOI: DOI:10.13406/j.cnki.cyxb.003066

      摘要 (447) HTML (51) PDF 739.59 K (256) 评论 (0) 收藏

      摘要:目的 探讨脑静脉窦血栓形成(cerebral venous sinus thrombosis,CVST)患者早期癫痫发作与血清D-二聚体水平的相关性及对预后的影响。方法 回顾2010年11月至2021年3月在海军军医大学第一附属医院神经内科及脑血管病中心住院的CVST患者,收集患者一般情况、CVST诊疗情况及相关血液学指标等资料。根据患者有无早期癫痫发作将其分为2组,对2组间指标进行差异分析,并通过logistic回归分析研究早期癫痫发作的影响因素;通过改良Rankin量表(modified Rankin scale,mRS)评分将患者分为预后良好组及预后不良组,分析血清D-二聚体水平与CVST患者预后的关系。结果 共纳入CVST患者60例,其中有癫痫发作组22例(36.7%),无癫痫发作组38例。比较2组患者基线资料及血液学指标情况发现,有癫痫发作组mRS评分和D-二聚体水平明显高于无癫痫发作组;logistic回归分析结果显示血清D-二聚体水平是CVST早期癫痫发作的危险因素(OR=1.513,95%CI=1.022~2.241,P=0.039);早期癫痫发作与CVST患者预后不良相关,而治疗前后血清D-二聚体水平及其下降幅度均与疾病预后无明显相关。结论 血清高D-二聚体水平和CVST患者早期癫痫发作有关,早期癫痫发作影响CVST患者预后,因此对入院时血清D-二聚体升高的CVST患者应尽早干预,有望预防早期癫痫发作来改善患者预后。

      • 0+1
    • 轻型动脉瘤性蛛网膜下腔出血介入治疗术后早期认知障碍的危险因素分析

      2022, 47(7):773-778. DOI: DOI:10.13406/j.cnki.cyxb.003063

      摘要 (453) HTML (40) PDF 556.68 K (290) 评论 (0) 收藏

      摘要:目的 探索轻型动脉瘤性蛛网膜下腔出血(aneurysmal subarachnoid hemorrhage,ASAH)患者介入治疗术后早期认知障碍的危险因素。方法 回顾性收集2015年12月至2021年12月轻型ASAH介入治疗术后患者80例,分别于术后1个月、术后3个月随访简易智力状态检查量表(mini-mental state examination,MMSE)及改良Rankin量表(modified Rankin scale,mRS)评分,将患者分为认知正常组及认知障碍组,详细收集2组患者的临床基线资料,单因素及多因素分析认知障碍的危险因素。结果 80例患者中,术后1个月有41例存在认知障碍,占总人数的51.25%。单因素分析显示受教育程度(P=0.000)、年龄(P=0.020)、入院时改良Fisher分级(modified Fisher scale,mFS)(P<0.001)、Hunt-Hess分级(P<0.006)、动脉瘤部位(P=0.023)、合并脑室出血(P=0.043)是术后认知障碍的危险因素(P<0.05);多因素分析显示mFS、动脉瘤部位、Hunt-Hess分级及合并脑室出血是术后认知障碍的独立危险因素(P<0.05)。术后3个月随访,患者认知功能均恢复正常。结论 轻型ASAH患者介入治疗术后1个月认知障碍的发生率为51.25%;受教育程度、年龄、mFS、Hunt-Hess分级、动脉瘤部位、合并脑室出血是术后认知障碍的危险因素;mFS、动脉瘤部位、Hunt-Hess分级及合并脑室出血是认知障碍的独立危险因素。

    • >脑血管疾病研究   DOI:10.13406/j.cnki.cyxb.003067
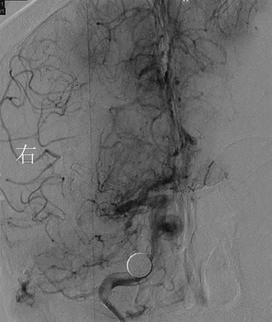
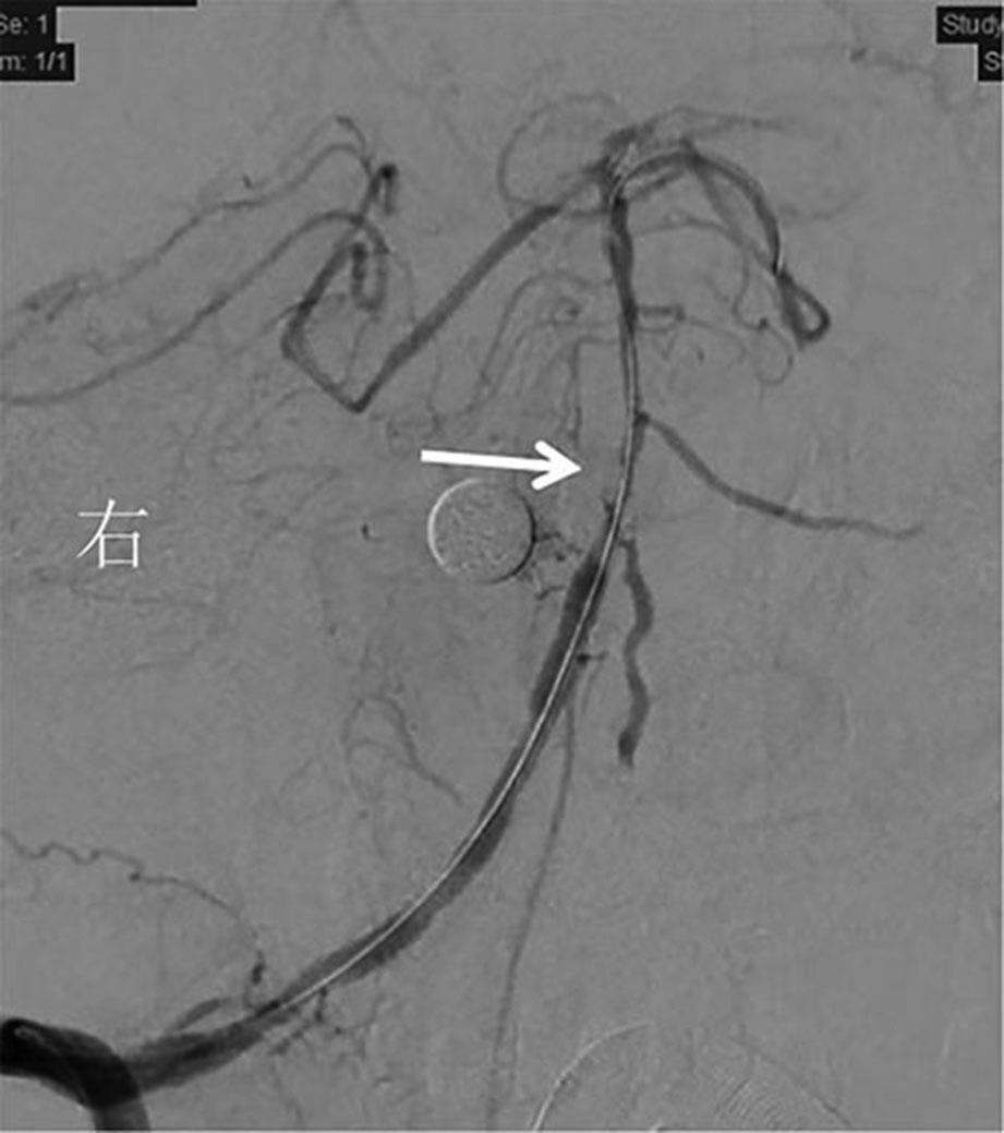
    • 挽救性支架植入对取栓困难的脑动脉栓塞开通效果

      2022, 47(7):779-783. DOI: 10.13406/j.cnki.cyxb.003067

      摘要 (442) HTML (27) PDF 966.77 K (244) 评论 (0) 收藏

      摘要:目的 探究急性脑栓塞取栓失败和神经介入术中发生医源性脑动脉栓塞后补救性支架植入术的开通效果。方法 回顾性分析2020年1月至2021年11月上海交通大学医学院附属第九人民医院6例脑栓塞取栓失败和4例医源性颅内中远端动脉栓塞、接受补救性支架植入术的患者临床信息,总结患者术后血管开通情况、术后24 h 支架内血流通畅情况、出血转化和预后等情况。结果 6例急性脑栓塞取栓失败,补救性支架植入后闭塞血管全部开通(modified thrombosis in cerebral infarction score,mTICI 2b~3),术后3例出血转化(1例PH2型,2例HI2型),术后24 h支架内血流通畅5例(83%),1例未行血管造影复查;3例患者住院期间死亡。4例医源性中远端动脉闭塞中,1例为原发病为椎基底动脉高度狭窄,支架置入术中发生右侧小脑前下动脉闭塞,补救性支架置入后完全开通,术后24 h复查所有支架通畅,无脑出血,3个月预后良好,改良Rankin量表(modified Rankin score,mRS)评分1分;3例原发病为大脑中动脉栓塞,取栓术中出现同侧大脑前动脉分支闭塞,补救性支架植入后完全开通,其中1例术后24 h头颅计算机体层血管成像(computed tomography angiography,CTA)可见支架通畅,合并片状出血转化(HI2型),2例因为病重未行血管复查。结论 补救性支架植入可以快速开通取栓失败以及医源性中远端动脉的栓塞,但是疗效和安全性需进一步研究。

      • 0+1
      • 1+1
      • 2+1
      • 3+1
      • 4+1
      • 5+1
      • 6+1
      • 7+1
      • 8+1
      • 9+1
      • 10+1
      • 11+1
      • 12+1
      • 13+1
      • 14+1
      • 15+1
    • >脑血管疾病研究   DOI:10.13406/j.cnki.cyxb.003064
    • 全身抗凝联合血管内治疗颅内静脉窦血栓形成的临床效果观察

      2022, 47(7):784-789. DOI: 10.13406/j.cnki.cyxb.003064

      摘要 (432) HTML (21) PDF 546.24 K (252) 评论 (0) 收藏

      摘要:目的 对全身抗凝联合血管内治疗在颅内静脉窦血栓形成(cerebral venous sinus thrombosis,CVST)中的临床治疗效果进行观察评估。方法 回顾性纳入2008年6月至2021年8月于海军军医大学第一附属医院接受治疗的CVST患者,根据治疗方式不同分为抗凝治疗(anticoagulation treatment,AT)组和血管内治疗(endovascular treatment,EVT)组,分析2组患者的临床资料及治疗效果。结果 共纳入54例患者,其中AT组27例,EVT组27例。EVT组血栓累及上矢状窦和直窦的患者比例、累及静脉窦数量、入院改良Rankin量表(modified Rankin scale,mRS)评分明显高于AT组(P<0.05)。治疗后2组患者凝血酶原时间、活化部分凝血酶时间较治疗前均明显延长,AT组D-二聚体水平较治疗前明显下降(P<0.05)。EVT组治疗后血管再通率明显高于AT组(P<0.05),总住院时间、重症监护室入住时间、并发症发生率、生存情况以及神经功能预后均与AT组无统计学差异(P>0.05)。2组患者治疗后mRS评分均较治疗前明显下降(P<0.05)。结论 对于血栓累及广泛、全身抗凝疗效不佳的重症CVST患者,在标准抗凝的基础上联合血管内治疗可作为一种安全有效的潜在治疗方案。

    • >脑血管疾病研究   DOI:10.13406/j.cnki.cyxb.003049
    • 从血清降钙素原及同型半胱氨酸水平研究补阳还五汤治疗急性脑梗死的作用机制

      2022, 47(7):790-795. DOI: 10.13406/j.cnki.cyxb.003049

      摘要 (379) HTML (30) PDF 590.01 K (245) 评论 (0) 收藏

      摘要:目的 从血清降钙素原(procalcitonin,PCT)及同型半胱氨酸(homocysteine,Hcy)变化探讨补阳还五汤(芪龙祛瘀合剂)治疗急性脑梗死患者的疗效机制。方法 选取2018年6月至2020年12月急性脑梗死患者219例,筛选气虚血瘀型患者128例随机分为对照组(n=64,西医常规治疗)和治疗组(n=64,西医常规治疗+补阳还五汤)进行临床观察治疗,维持治疗4周。临床上评价2组患者在入院时、入院第10天及入院第4周时的美国国立卫生研究院卒中量表(National Institutes of Health Stroke Scale,NIHSS)评分以及中风专用生活质量量表(stroke-specific quality of life scale,SS-QOL)评分变化;并检测3个时间节点患者血清PCT及Hcy水平,统计临床不良反应与实验室不良反应监测。结果 与治疗前相比,治疗4周时2组患者的NIHSS评分均低于治疗前水平,并且治疗组比对照组更低(P<0.01);与治疗前相比,治疗4周时2组患者的SS-QOL评分均高于治疗前,并且治疗组比对照组更高(P<0.01);治疗4周时2组患者Hcy与PCT与同组治疗前比较有统计学差异;并且治疗组患者治疗4周时Hcy与PCT均低于对照组,有统计学差异。结论 补阳还五汤治疗急性脑梗死患者安全有效,可能通过降低血清中PCT及Hcy水平的作用机制,改善神经功能缺损症状。

    • >脑血管疾病研究   DOI:10.13406/j.cnki.cyxb.003038
    • 卒中后认知障碍与软脑膜侧支循环的代偿程度及静脉溶栓治疗的相关性分析

      2022, 47(7):796-801. DOI: 10.13406/j.cnki.cyxb.003038

      摘要 (542) HTML (41) PDF 530.03 K (276) 评论 (0) 收藏

      摘要:目的 比较急性缺血性卒中患者卒中后认知障碍的发生与软脑膜侧支循环的代偿程度及是否接受静脉溶栓治疗的相关性。方法 前瞻性收集2019年1月至2021年3月在石河子市人民医院住院的急性前循环脑梗死患者161例,获取患者入院时人口学资料,包括是否溶栓、性别、合并症等;通过蒙特利尔认知评估量表(Montreal cognitive assessment,MoCA)评分、简易精神状态检查量表(mini mental state examination,MMSE)评分评估患者认知功能;入院时美国国立卫生院卒中量表(National Institute of Health Stroke Scale,NIHSS)评分获取患者神经功能缺损症状;通过Blessed行为量表(Blessed behavior scale,BBS)评分评估患者的日常生活能力;通过区域软脑膜评分(regional leptomeningeal collateral score,rLMC)获取患者软脑膜侧支循环;根据卒中后6个月是否合并认知障碍分为认知障碍组和非认知障碍组,采用logistic多因素回归方法进行统计比较,分析2组患者软脑膜侧支循环,是否静脉溶栓,以及合并症、血糖、血脂等因素与卒中后认知障碍相关性。结果 共161例急性前循环梗死患者,其中认知障碍组85例,非认知障碍组76例。单因素分析发现是否溶栓、rLMC、年龄及BBS评分的差异具有统计学意义;多因素二元logistic回归模型分析显示:①是否溶栓对认知障碍发生率的影响具有统计学意义,为保护因素;②年龄、rLMC、NIHSS评分、BBS评分对认知障碍发生率的影响具有统计学意义,且均为危险因素;③性别、高血压对认知障碍发生率的影响无统计学意义。结论 良好的侧支循环与静脉溶栓治疗可降低急性缺血性卒中发生卒中后认知障碍,年龄越大及入院时NIHSS评分越高,急性缺血性卒中发生卒中后认知障碍的风险越大。

    • >脑血管疾病研究
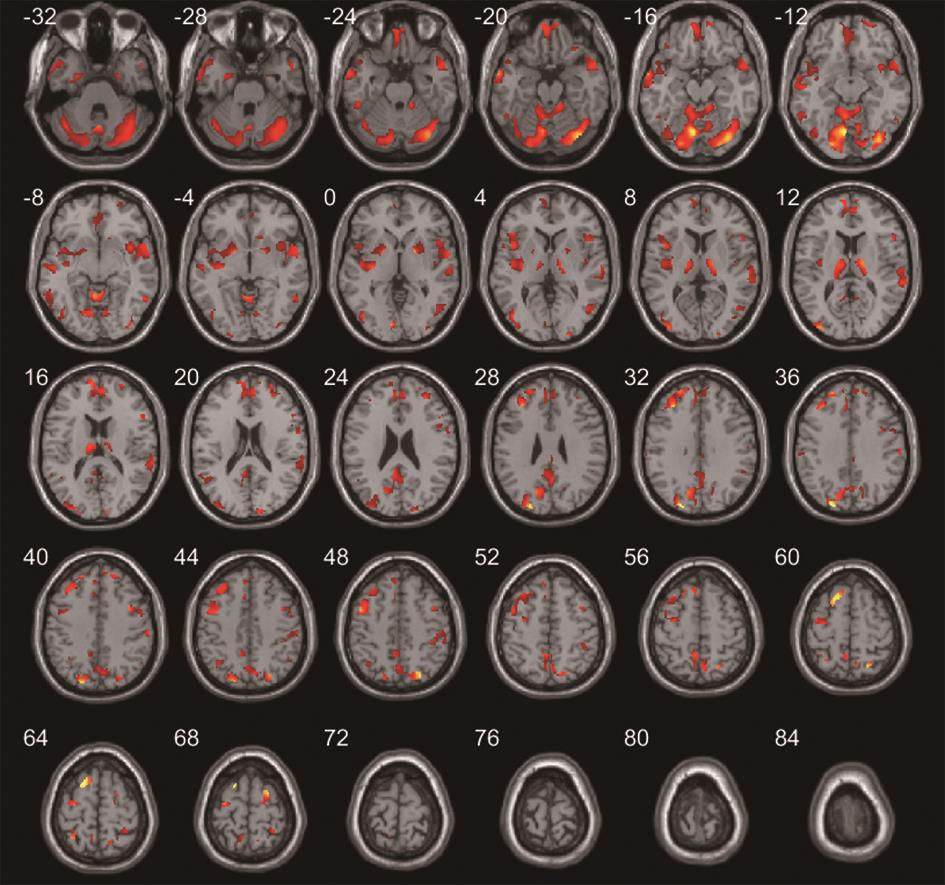
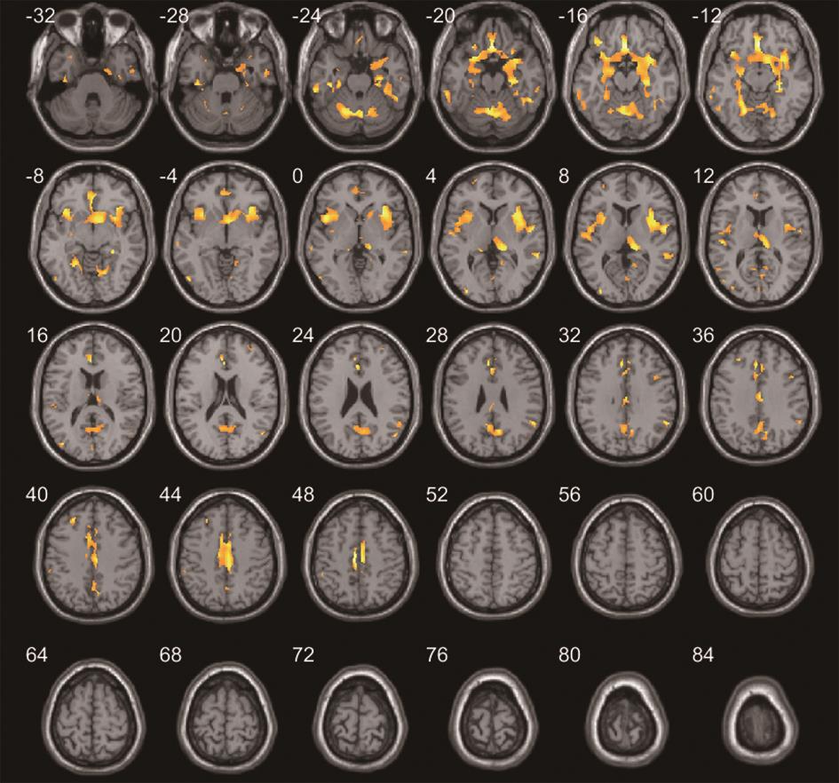
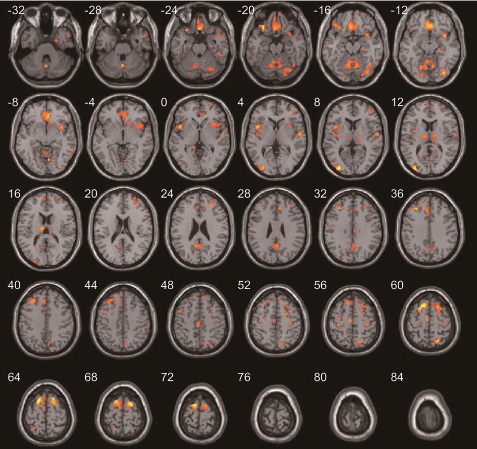
    • 正常成人与伴吞咽障碍的急性脑梗死患者吞咽相关脑功能区激活机制的血氧水平依赖功能磁共振研究

      2022, 47(7):802-810. DOI: DOI:10.13406/j.cnki.cyxb.003057

      摘要 (555) HTML (36) PDF 5.12 M (311) 评论 (0) 收藏

      摘要:目的 运用血氧水平依赖功能磁共振(blood oxygenation level dependent-functional magnetic resonance imaging,BOLD-fMRI)技术对伴吞咽功能障碍的急性脑梗死患者和正常成人在吞咽活动时相应的脑功能区域激活特点进行研究,探索急性脑梗死患者吞咽功能障碍恢复过程中相关的脑功能区域调控方式。方法 选取2018年7月至2021年7月在昆明医科大学附属延安医院住院的伴吞咽障碍的急性脑梗死患者150例和正常成人100例,对其进行BOLD-fMRI扫描,记录两者在吞咽活动时相关脑功能区域的激活体积和强度,并对比两者间的差异。结果 共收集病例组150例,其中右侧脑梗死组患者50例,男29例,女21例,平均年龄(56.22±7.33)岁;左侧脑梗死组患者100例,男61例,女39例,平均年龄(58.07±6.84)岁;对照组100例,男57例,女43例,平均年龄(53.56±11.41)岁。对照组吞咽活动时激活的相关脑功能区域特点显示:两侧初级运动皮层中枢(BA4区)、运动前区/辅助运动区(BA6/8区)、缘上回(BA40区)、岛叶(BA13区)、颞上回(BA22区)、扣带回皮层(BA24区)、额叶内侧面(BA32区)、延髓、脑桥、基底核团、丘脑、小脑及左侧颞极(BA38区)和右侧颞横回(BA41区)等脑功能区激活体积和强度增加,左侧BA4区、BA40区、小脑激活体积较右侧大,差异有统计学意义(P<0.05);左右两侧脑区的激活强度差异无统计学意义(P>0.05)。右侧脑梗死病例组患者BOLD-fMRI扫描各脑区激活体积显示:右侧BA4区、BA6/8区激活体积较对照组减小,左侧BA6/8区、BA4区激活体积较对照组增大,双侧后扣带回皮层的BA23和顶叶内侧面BA31区体积较对照组增大,左侧视觉中枢的BA18/19和BA41区皮层激活体积较对照组增大,差异有统计学意义。右侧BA4区、BA6/8区、BA40区、BA13区激活强度较对照组降低,差异有统计学意义。左侧脑梗死病例组患者BOLD-fMRI扫描各脑区激活体积显示:左侧BA4区、BA6/8区的激活体积较对照组减小,右侧BA4区、BA6/8区激活体积较对照组增大,双侧BA23/31区、左侧BA41区、双侧BA7区、双侧BA18/19区和双侧小脑激活体积较对照组增大,差异有统计学意义。左侧BA4区、BA6/8区、BA40区、BA13区激活强度较对照组降低,差异有统计学意义。结论 双侧运动、运动前、感觉、嗅觉、听觉、脑干、小脑、基底核团等脑功能区均参与调控正常人的吞咽活动,且调控具有一定的偏侧性。同侧的运动功能区、运动功能前区激活体积降低,对侧运动功能区、运动功能前区激活体积增加是伴吞咽障碍的急性脑梗死患者吞咽相关脑功能区的主要代偿特点。

      • 0+1
      • 1+1
      • 2+1
      • 3+1
      • 4+1
      • 5+1
      • 6+1
      • 7+1
      • 8+1
      • 9+1
    • >脑血管疾病研究   DOI:10.13406/j.cnki.cyxb.003060
    • 阿加曲班治疗急性缺血性卒中疗效及安全性的系统评价及Meta分析

      2022, 47(7):811-820. DOI: 10.13406/j.cnki.cyxb.003060

      摘要 (637) HTML (31) PDF 2.21 M (318) 评论 (0) 收藏

      摘要:目的 目前阿加曲班在急性缺血性卒中(acute ischemic stroke,AIS)中的疗效和安全性尚存在争议,临床应用仍存在较大分歧。本文将针对阿加曲班治疗AIS的疗效和安全性展开系统性评价及Meta分析。方法 计算机检索通过PubMed、The Cochrane library、 Embase、ClinicalTrials.gov、中国知网(China National Knowledge Infrastructure,CNKI)、中国生物医学文献数据库(China Biology Medicine disc,CBM)、维普网及万方数据知识服务平台收集应用阿加曲班治疗AIS的全部文献,检索的设定时间截至2022年4月。由2名受过培训的研究人员对文献进行筛选、数据提取和偏倚风险评估。采用RevMan 5.4软件对数据进行Meta分析。结果 共有25篇文献纳入本次Meta分析,共包含AIS患者4 696例(其中阿加曲班组2 271例,对照组2 425例)。Meta分析结果显示:阿加曲班能促进AIS患者早期神经功能改善(OR=2.69,95%CI=1.66~4.34,P<0.001),减少早期神经功能恶化(OR=0.42,95%CI=0.29~0.60,P<0.001),但对于90 d 改良Rankin量表(modified Rankin scale,mRS)评分0~1分患者比例(P=0.080)、90 d mRS评分0~2分患者比例(P=0.230)及卒中复发率(P=0.190)均无明显影响;亚组分析结果显示,阿加曲班联合口服抗血小板药物能改善90 d mRS评发0~2的患者比例,差异具有统计学意义(OR=1.55,95%CI=1.17~2.05,P=0.003);在安全性方面,阿加曲班及对照组在任何颅内出血(P=0.730)、症状性颅内出血(P=0.990)、系统性出血(P=0.150)及死亡率(P=0.990)上均无统计学差异。结论 阿加曲班可改善AIS患者早期神经功能预后,且不增加患者的出血风险及死亡率。

      • 0+1
      • 1+1
      • 2+1
      • 3+1
      • 4+1
      • 5+1
      • 6+1
      • 7+1
      • 8+1
      • 9+1
      • 10+1
      • 11+1
    • >脑血管疾病护理   DOI:10.13406/j.cnki.cyxb.003070
    • 急性缺血性脑卒中合并心房颤动患者运动恐惧现状及其影响因素分析

      2022, 47(7):821-827. DOI: 10.13406/j.cnki.cyxb.003070

      摘要 (493) HTML (23) PDF 589.25 K (282) 评论 (0) 收藏

      摘要:目的 调查急性缺血性脑卒中合并心房颤动患者运动恐惧现状及影响因素。方法 采用便利抽样法,选取2020年1月至2021年12月上海市某三级甲等综合医院神经内科住院的急性缺血性脑卒中合并心房颤动患者248例,采用心脏病运动恐惧量表、活动特异性平衡信心量表、运动自我效能量表及家庭关怀指数量表对其进行调查,采用单因素分析及多元线性回归分析影响因素。结果 纳入分析的248例患者中,男性126人(占50.8%),女性122人(占49.2%);平均年龄(74.19±11.65)岁。单因素分析显示,影响急性缺血性脑卒中合并心房颤动患者运动恐惧的因素包括文化程度(Z=26.326,P<0.001)、职业状况(Z=9.323,P=0.009)、居住情况(Z=26.990,P<0.001)、跌倒史(Z=2.976,P=0.003)、脑卒中复发次数(Z=24.996,P<0.001)、心功能分级(Z=32.097,P<0.001);多重线性回归结果显示,文化程度、跌倒史、脑卒中复发次数、心功能分级、运动自我效能、家庭关怀指数进入回归方程,共解释患者运动恐惧水平总变异的37.6%。结论 急性缺血性脑卒中合并心房颤动患者运动恐惧现状不容乐观,临床护理人员在指导患者运动康复时可重点关注,对患者综合评估后制定具有针对性的护理措施,以期提升急性缺血性脑卒中合并心房颤动患者运动康复依从性。

    • >脑血管疾病护理   DOI:10.13406/j.cnki.cyxb.003065
    • 多元化手功能锻炼在脑梗死手部功能障碍患者中的应用效果研究

      2022, 47(7):828-833. DOI: 10.13406/j.cnki.cyxb.003065

      摘要 (512) HTML (84) PDF 980.12 K (260) 评论 (0) 收藏

      摘要:目的 探讨多元化手功能锻炼在脑梗死手部功能障碍患者中的应用效果。方法 采用简单随机抽样将患者分为对照组和试验组,选取2020年8月至2021年10月在院96例脑梗死伴手功能障碍患者进行对照研究。2组患者均给予脑梗死临床路径常规治疗护理及康复训练。试验组基于此予以多元化手部功能锻炼,分别干预1个月、3个月后到门诊复查,釆用美国Carroll博士研究上肢功能测试(upper extremity function test,UEFT)进行手功能评定,采用徒手肌力检查(manual muscle test,MMT)评定手部肌力康复效果,使用改良Ashworth痉挛量表(modified Ashworth scale,MAS)评估偏瘫侧手部痉挛。结果 试验组在分别干预1个月、3个月时,UEFT评分(59.830±4.133、76.830±4.450)高于对照组(56.630±5.587、65.580±4.997),手部肌力恢复明显优于对照组,差异均有统计学意义(均P<0.05);手部MAS肌张力分级与对照组相比,干预1个月时,2组差异无统计学意义,但干预3个月后,试验组手部痉挛发生率下降明显,MAS肌张力分级明显低于对照组。结论 多元化手功能锻炼实现了脑梗死患者手部的康复从肌力M0~M5循序渐进的持续锻炼,预防挛缩,大大加快了患者手部功能的康复进程,降低了患者手部致残率,减轻了患者痛苦,可广泛应用于临床。

      • 0+1
    • >脑血管疾病护理   DOI:10.13406/j.cnki.cyxb.003068
    • BTS质量改进模式在缺血性脑卒中患者中的应用效果评价

      2022, 47(7):834-840. DOI: 10.13406/j.cnki.cyxb.003068

      摘要 (497) HTML (69) PDF 897.95 K (216) 评论 (0) 收藏

      摘要:目的 探讨基于突破性系列(breakthrough series,BTS)质量改进模式在缺血性脑卒中患者中的应用效果。方法 采用非同期前后对照的研究方法,将2020年6月至9月未采用BTS质量改进模式56例患者作为对照组;将2021年3月至7月采用BTS质量改进模式的56例患者作为观察组。比较实施前后2组患者美国国立卫生院脑卒中量表(National Institutes of Health Stroke Scale,NIHSS)评分、Barthel指数、压疮发生率、住院天数、改良Rankin量表(modified Rankin Scale,mRS)评分、营养指标及满意度的情况。结果 应用BTS质量改进模式后,观察组NIHSS评分明显低于对照组,差异有统计学差异(P<0.05);观察组mRS评分(2.31±0.43)低于对照组(4.68±0.85),差异有统计学意义(P<0.05);2组营养指标及满意度差异均有统计学意义(P<0.05)。结论 BTS质量改进模型的应用能够有效提升缺血性脑卒中患者护理质量,促进患者神经功能恢复,改善患者预后情况。

      • 0+1
    • >脑血管疾病护理   DOI:10.13406/j.cnki.cyxb.003037
    • 健康素养对脑血管支架植入患者术后自我管理行为及服药依从性的影响

      2022, 47(7):841-847. DOI: 10.13406/j.cnki.cyxb.003037

      摘要 (392) HTML (32) PDF 580.48 K (268) 评论 (0) 收藏

      摘要:目的 探讨健康素养对首次行脑血管支架植入患者术后1年自我管理行为及服药依从性的影响。方法 选择2019年5月至2020年5月在安徽医科大学第一附属医院首次行脑血管支架植入术的127例患者,在患者术后1年,采用一般资料问卷、慢性病患者健康素养量表、脑卒中自我管理行为量表、服药依从性量表对其进行回访,采用二元logistic回归分析健康素养对自我管理行为及服药依从性的影响。结果 患者的健康素养得分为(95.67±14.60)分。自我管理行为得分为(197.82±23.29)分,服药依从性得分为(7.29±1.18)分,均为中等水平。二元logistic回归分析显示,健康素养(OR=24.404,95%CI=6.122~97.279)与居住地(OR=5.956,95%CI=1.640~21.633)是患者自我管理行为的独立影响因素;健康素养(OR=4.096,95%CI=1.254~13.375)与慢性病种数量(OR=0.479,95%CI=0.249~0.923)是服药依从性的独立影响因素。结论 脑血管支架植入患者术后1年的健康素养水平不充足。医护人员需关注低健康素养人群,制定和实施科学、合理的健康教育方案,以帮助患者改进自我管理行为及服药依从性。

    • >其他神经疾病   DOI:10.13406/j.cnki.cyxb.002979
    • 长链非编码RNA调控脑缺血/再灌注损伤作用机制的研究进展

      2022, 47(7):848-852. DOI: 10.13406/j.cnki.cyxb.002979

      摘要 (494) HTML (42) PDF 522.40 K (220) 评论 (0) 收藏

      摘要:缺血性脑卒中(ischemia stroke,IS)具有高发病率和高致死率特征。现有治疗IS的方法临床效果有限,仍需探寻治疗IS的新方法。越来越多的研究证实长链非编码RNA(long noncoding RNA,LncRNA)对脑缺血/再灌注损伤有保护作用,被期望成为治疗IS的潜在靶点。本文就LncRNA对脑缺血/再灌注损伤的保护作用及其机制研究进展作一综述,以期为LncRNA对IS作用的临床研究提供思路;提出在进一步做临床研究前,需要研究LncRNA是否有诱发IS颅内出血转化的安全性问题,并设计研究适合人用的剂型和给药方式。

    • >其他神经疾病   DOI:10.13406/j.cnki.cyxb.002755
    • 神经干细胞重编程及其应用的研究进展

      2022, 47(7):853-856. DOI: 10.13406/j.cnki.cyxb.002755

      摘要 (442) HTML (42) PDF 468.92 K (285) 评论 (0) 收藏

      摘要:神经干细胞重编程技术可将体细胞生成具有疾病相关表型的成熟人类神经元,为神经障碍疾病的细胞治疗带来前景。笔者就神经干细胞重编程的调控因素、提高重编程效率以及应用于神经障碍疾病建模等方面的研究进展进行综述。

    • >其他神经疾病   DOI:10.13406/j.cnki.cyxb.003048
    • 复发胶质母细胞瘤治疗进展

      2022, 47(7):857-861. DOI: 10.13406/j.cnki.cyxb.003048

      摘要 (373) HTML (54) PDF 514.00 K (239) 评论 (0) 收藏

      摘要:胶质母细胞瘤即使经过最大限度的手术切除及规范放化疗,仍有极高的复发概率;因而针对日益增多的复发胶质母细胞瘤患者,如何达到有效治疗及改善预后一直是神经肿瘤学的巨大挑战。本文拟从多个方面综述现有的多种针对复发胶质母细胞瘤的治疗方式,并对未来可能治疗方向进行预测。

    • >其他神经疾病   DOI:10.13406/j.cnki.cyxb.002605
    • 小胶质细胞在MS/EAE中的作用及研究进展

      2022, 47(7):862-865. DOI: 10.13406/j.cnki.cyxb.002605

      摘要 (529) HTML (55) PDF 536.93 K (377) 评论 (0) 收藏

      摘要:多发性硬化(multiple sclerosis,MS)是发生在中枢神经系统(central nervous system,CNS)的一种以炎症反应、髓鞘脱失、胶质增生等为主要病理特征的自身免疫性疾病,实验性自身免疫性脑脊髓膜炎(experimental autoimmune encephalomyelitis,EAE)由于与MS具有非常相似的病理特征及临床表现,已被国际公认为是研究MS发病机制和治疗策略的理想动物模型。尽管CD4+ T细胞所介导的自身免疫反应在MS/EAE的病理进程中处于核心地位,但小胶质细胞(microglia,MG)作为CNS与免疫系统沟通的“桥梁”,在MS/EAE中所发挥的作用受到越来越多的关注。除经典的抗原呈递、分泌细胞因子等途径,MG近年来还被证实可通过髓磷脂内化、激活胞内含吡啶结构域3的NOD样受体家族(NOD-like receptor family pyrin domain-containing 3,NLRP3)炎性小体等途径参与MS/EAE病理进程。本文针对MG在MS/EAE中的作用及研究进展进行综述。

    • >其他神经疾病   DOI:10.13406/j.cnki.cyxb.003039
    • 舞蹈症-棘红细胞增多症的早期识别和筛查

      2022, 47(7):866-870. DOI: 10.13406/j.cnki.cyxb.003039

      摘要 (583) HTML (43) PDF 2.07 M (376) 评论 (0) 收藏

      摘要:目的 探讨舞蹈症-棘红细胞增多症(chorea-acanthocytosis,ChAc)临床特点,为该病早期诊断提供思路和方法。方法 通过回顾性研究,总结ChAc临床特点。结果 符合舞蹈样运动障碍的患者中,ChAc占29%,确诊时间中位值为5.5年。患者的发病年龄为(33.57±12.23)岁;7例(100%)均有口腔运动障碍,4例(57%)出现癫痫(全面强直阵挛发作),6例(86%)出现腱反射减弱或消失,5例(71%)肌酸激酶增高;头颅磁共振可见尾状核尤其尾状核头(57%)和豆状核(29%)萎缩,侧脑室前角扩大(57%);正电子发射断层显像(positron emission tomography,PET)-电子计算机断层扫描(computed tomography,CT)可见双侧基底节区低代谢表现(43%)。所有患者均可见棘红细胞比例大于3%,基因测序29%可发现责任基因VPS13A突变。结论 ChAc的确诊时间长,口腔运动障碍、肌酸激酶增高有助于尽早识别。建议舞蹈症患者常规进行2次以上的外周血涂片,进而再进行基因检测确立诊断。

      • 0+1
      • 1+1
      • 2+1
      • 3+1
      • 4+1
    • >其他神经疾病   DOI:10.13406/j.cnki.cyxb.003069
    • ATRNL1在阿尔茨海默病中的基因功能分析及ceRNA网络预测

      2022, 47(7):871-876. DOI: 10.13406/j.cnki.cyxb.003069

      摘要 (581) HTML (55) PDF 2.87 M (353) 评论 (0) 收藏

      摘要:目的 通过对ATRNL1基因的生物信息学分析,明确其在阿尔茨海默病(Alzheimer’s disease,AD)中的作用。方法 通过高通量基因表达(gene expression omnibus,GEO)数据库下载AD芯片数据GSE36980、GSE1297和GSE28146,利用3个独立数据验证ATRNL1在AD中的差异表达情况,并计算Pearson相关系数分析ATRNL1与临床信息的相关性;使用GSE1297数据筛选ATRNL1共表达基因并使用clusterProfiler程序包进行基因功能注释,包括基因本体论(gene ontology,GO)和京都基因与基因组百科全书(Kyoto encyclopedia of genes and genomes,KEGG)富集分析;为研究ATRNL1差异表达的调控机制,使用multiMiR程序包下载miRNA相互作用数据,根据竞争性内源RNA(competing endogenous RNAs,ceRNA)的调控机制构建ATRNL1-miRNA-mRNA调控网络。结果 3个独立芯片数据中ATRNL1在AD中表达明显下降(P<0.05);ATRNL1表达与PMI评分明显相关(P<0.05),与简易智力状态检查量表(mini-mental status examination,MMSE)评分明显相关(P<0.001),与神经元神经原纤维缠结(neurofibrillary tangles,NFT)评分明显相关(P<0.05);ATRNL1共表达基因的富集分析发现,信号释放生物学过程(GO:0023061)、突触小泡周期(hsa04721)、γ-氨基丁酸能突触(hsa04727)与ATRNL1明显相关;构建的ATRNL1-miRNA-mRNA调控网络发现,MOAP1、WDR47、REEP1等基因很可能与hsa-miR-192-5p竞争性调控ATRNL1表达,与ATRNL1构成ceRNA。结论 首次发现ATRNL1可能通过调控突触的信号传递以及影响γ-氨基丁酸能突触,影响AD发病,ATRNL1可能通过hsa-miR-192-5p与MOAP1构成ceRNA。

      • 0+1
      • 1+1
      • 2+1
      • 3+1

主管单位 :重庆市教育委员会

主办单位 :重庆医科大学

编辑部 :《重庆医科大学学报》编辑部

主编:黄爱龙

编辑部主任 :唐秋姗

国际标准刊号:ISSN 0253-3626

国内统一刊号:CN 50-1046/R

  • 浏览排行
  • 引用排行
  • 下载排行
按检索
检索词