• 2023年第48卷第2期文章目次
    全 选
    显示方式: |
    • >基础研究   DOI:10.13406/j.cnki.cyxb.003046
    • A20NLRP3基因在幼年特发性关节炎中的表达及临床意义探讨

      2023, 48(2):124-129. DOI: 10.13406/j.cnki.cyxb.003046

      摘要 (205) HTML (36) PDF 579.61 K (350) 评论 (0) 收藏

      摘要:目的 比较A20NLRP3基因在幼年特发性关节炎(juvenile idiopathic arthritis,JIA)患儿及健康儿童中的表达差异,探讨其在预测JIA患儿生物制剂疗效中的作用。方法 依据2001年国际风湿病学联盟诊断标准,收集68例初诊JIA患儿及同期33例健康儿童外周血提取单个核细胞,采用实时荧光定量PCR(quantitative real-time PCR,qRT-PCR)检测A20NLRP3基因mRNA表达水平。依据美国风湿病学会2014年提出的JIA疾病活动度评分,将疾病无活动状态视为临床缓解。比较初诊时JIA患儿及健康儿童A20NLRP3基因mRNA表达水平差异。根据不同治疗选择分为白细胞介素-6受体拮抗剂组、肿瘤坏死因子-α抑制剂组及非生物制剂组,随访两基因表达与治疗6个月后疗效之间的相关性。结果 初诊时,相比于健康对照组,JIA组A20基因表达水平明显降低(P=0.039),全身型JIA(systemic JIA,sJIA)组A20基因表达水平低于非全身型JIA(non-systemic JIA,non-sJIA)组(P=0.005);2组NLRP3基因表达未见统计学差异(P>0.05);采用二分类logistic回归分析未发现初诊JIA组A20NLRP3基因表达水平与JIA治疗疗效具有相关性(组间比较P>0.05);随访6个月后临床缓解组初诊NLRP3基因表达水平低于临床未缓解组(P<0.05),初诊A20基因表达在临床缓解组与未缓解组中未见统计学差异(P>0.05)。结论 A20基因在初诊JIA患儿中表达降低,sJIA组A20基因表达水平低于non-sJIA组,NLRP3基因低表达JIA患儿治疗缓解率更高,预后可能更好。暂未发现A20NLRP3基因水平与JIA治疗效果的相关性。

    • >基础研究 DOI:10.13406/j.cnki.cyxb.003172
    • 双氢青蒿素联合顺铂对膀胱癌细胞增殖的抑制作用

      2023, 48(2):130-135. DOI: 10.13406/j.cnki.cyxb.003172

      摘要 (136) HTML (30) PDF 1.40 M (297) 评论 (0) 收藏

      摘要:目的 初步了解双氢青蒿素(dihydroartemisinin,DHA)联合顺铂(cisplatin,DDP)抑制膀胱癌细胞增殖、侵袭转移的作用。方法 以膀胱癌细胞T24/5637为研究对象,通过CCK-8分别检测2种细胞系对DDP及DHA的半抑制浓度(half maximal inhibitory concentration,IC50);流式细胞仪检测DHA与DDP单独及联合应用时对2种细胞系周期和凋亡的影响;划痕实验、Transwell实验检测DHA与DDP单独或联合应用时对膀胱癌细胞迁移、侵袭能力的影响。结果 DDP对5637细胞的IC50为17.10 μg/mL,对T24细胞的IC50为15.28 μg/mL;DHA对5637细胞的IC50约为24.08 μg/mL,对T24细胞的IC50约为32.27 μg/mL。DHA/DDP单独用药组阻滞G0/G1、S期作用弱于联合用药组(P<0.05),单独用药及联合用药对G2/M期的抑制作用无统计学意义。DHA联合DDP可使T24、5637细胞凋亡率明显高于DHA/DDP单独应用(P<0.05),DDP诱导细胞凋亡率明显高于DHA(P<0.05);在24 h时,2种细胞DHA组迁移面积百分比大于DDP组(P<0.05)及DDP+DHA组(P<0.05),DDP组迁移面积百分比大于DDP+DHA组(P<0.05)。24 h后DHA组抑制率明显小于DDP组(P<0.05)及DDP+DHA组(P<0.05),DDP组抑制率明显小于DDP+DHA组(P<0.05)。结论 DDP+DHA可增强DDP抑制膀胱癌细胞增殖,DDP+DHA可使DDP抑制膀胱癌细胞迁移侵袭的作用进一步增强。

      • 0+1
      • 1+1
      • 2+1
      • 3+1
      • 4+1
      • 5+1
    • >基础研究 DOI:10.13406/j.cnki.cyxb.003173
    • Bcl-2相关的永生基因4对胃癌干细胞自我更新能力的调控作用

      2023, 48(2):136-142. DOI: 10.13406/j.cnki.cyxb.003173

      摘要 (130) HTML (33) PDF 3.08 M (236) 评论 (0) 收藏

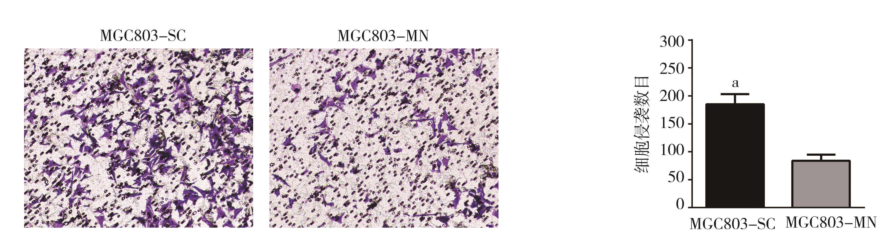
      摘要:目的 探讨Bcl-2相关的永生基因4(Bcl-2 associated athanogene 4,BAG4)在胃癌干细胞(gastric cancer stem cells,GCSCs)自我更新能力中的调控作用。方法 采用成球培养法分离/富集GCSCs,并对其生物学特征进行鉴定。采用慢病毒干扰技术构建沉默BAG4表达的MGC803胃癌细胞系,以平板克隆形成和成球实验分别检测沉默BAG4对胃癌细胞克隆形成和成球能力的影响。结果 成球培养法成功分离/富集出球细胞(sphere cell,SC)。与普通单层贴壁细胞相比,MGC803-SC高表达干性相关基因Sox2、Oct4Bmi1,具有更强的克隆形成能力(198±17 vs. 92±11,P<0.001),诱导分化后干性标志物CD44表达下降,在体外具有更强的侵袭能力(185±18 vs. 84±11,P<0.01)。上述实验结果证实MGC803-SC具有GCSCs特性。BAG4在GCSCs中的表达水平明显高于普通贴壁胃癌细胞,沉默BAG4明显降低胃癌细胞的克隆形成和成球能力。结论 沉默BAG4基因能有效抑制GCSCs的自我更新能力,有望成为胃癌靶向治疗的新靶标。

      • 0+1
      • 1+1
      • 2+1
      • 3+1
      • 4+1
      • 5+1
      • 6+1
      • 7+1
      • 8+1
      • 9+1
    • >基础研究 DOI:10.13406/j.cnki.cyxb.003033
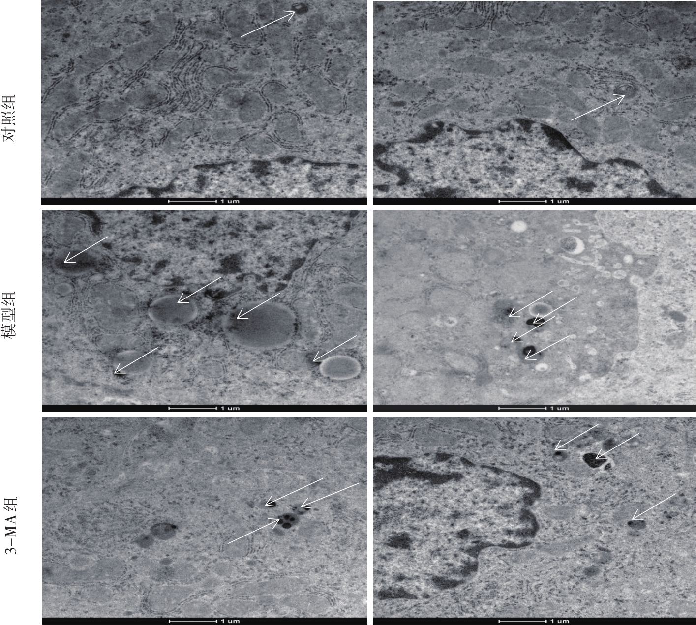
    • 3-甲基腺嘌呤通过抑制自噬和内质网应激途径保护睡眠紊乱诱导的大鼠肝损伤

      2023, 48(2):143-147. DOI: 10.13406/j.cnki.cyxb.003033

      摘要 (139) HTML (39) PDF 2.89 M (232) 评论 (0) 收藏

      摘要:目的 观察与分析3-甲基腺嘌呤(3-methyladenine,3-MA)对睡眠紊乱诱导的大鼠肝损伤的保护作用及其相应的机制。方法 将30只雄性SD大鼠随机分为对照组、模型组和3-MA组,每组10只,对比各组大鼠实验前后体质量变化。处死大鼠后进行以下实验分析:①采用ELISA法检测各组大鼠血清丙氨酸转氨酶(alanine aminotransferase,ALT)与天冬氨酸转氨酶(aspartate aminotransferase,AST)水平变化;②运用HE观察肝脏组织形态学的改变;③使用透射电子显微镜观察各组大鼠肝细胞中自噬体的形成;④采用TUNEL法评估各组肝细胞的凋亡水平,并计算凋亡指数;⑤通过RT-PCR与Western blot检测肝组织自噬相关蛋白微管相关蛋白轻链3(LC3-Ⅱ)、Beclin1、葡萄糖调节蛋白78(glucose-regulated protein 78,GRP78)及Caspase-3的mRNA与蛋白表达水平。结果 动物实验结果表明睡眠紊乱会诱导大鼠肝损伤,同时伴随肝脏自噬与内质网应激(endoplasmic reticulum stress, ERS)水平升高;相比对照组,模型组大鼠造模后体质量增量明显减小,而肝细胞形态结构变化明显,同时,血清ALT与AST水平、凋亡指数、自噬体数量及相关标志性蛋白表达水平均明显上升(P<0.05);相比模型组,肝细胞形态结构、血清ALT与AST水平、凋亡指数、自噬体数量及相关标志性蛋白表达水平均有改善(P<0.05)。结论 睡眠紊乱可诱导SD大鼠肝损伤,进而通过上调LC3-Ⅱ、Beclin1及GRP78蛋白表达和mRNA水平激活自噬与ERS信号通路,3-MA可拮抗自噬与ERS信号通路来保护肝细胞及抗凋亡作用。

      • 0+1
      • 1+1
      • 2+1
    • >临床研究 DOI:10.13406/j.cnki.cyxb.003055
    • 超声在STA-MCA搭桥术治疗烟雾病中的评估价值

      2023, 48(2):148-154. DOI: 10.13406/j.cnki.cyxb.003055

      摘要 (130) HTML (47) PDF 3.91 M (194) 评论 (0) 收藏

      摘要:目的 应用超声技术对行颞浅动脉(superficial temporal artery,STA)-大脑中动脉(middle cerebral artery,MCA)搭桥术的烟雾病(moyamoya disease,MMD)患者进行术前、术后评估,探讨超声在早期预测手术成功率方面的临床价值。方法 选取2018年7月至2020年9月在空军军医大学第二附属医院行MMD搭桥术的患者28例,分别于术前1~3 d、术后4~7 d进行STA主干、顶支、额支内径及血流动力学参数检测;MCA远段及近段,大脑后动脉(posterior cerebral artery,PCA)血流动力学参数检测;术后桥血管内径及血流动力学参数进行检测。血流动力学参数测量包括收缩期峰值血流速度(systolic peak flow velocity,Vs)、舒张期末血流速度(diastolic end flow velocity,Vd)、平均血流速度(mean flow velocity,Vm)、搏动指数(pulse index,PI)、阻力指数(resistance index,RI)。所有患者根据术后6个月至1年经数字减影血管造影(digital saubtraction angiograph,DSA)检查结果分为搭桥通畅组与不通畅组,统计分析2组检测血管血流动力学术前术后之间的差异。结果 所有患者术后6个月至1年内行DSA检查,证实86%(24/28)吻合血管通畅,手术成功。搭桥通畅组中92%(22/24)的患者术后与术前相比,STA、桥血管内径明显增宽,VsVmVd明显升高,PI值明显减低,频谱呈“颅内动脉化”改变,且MCA远段血流反向,差异有统计学意义(P<0.05);MCA近段、PCA血流参数术前术后相比无统计学差异。搭桥通畅组与不通畅组之间,通畅组STA和桥血管内径较不通畅组明显增宽,2组间差异有统计学意义(P<0.05);通畅组STA和桥血管VmVsVd高于不通畅组,PI值低于不通畅组,差异有统计学意义(P<0.05)。绘制ROC曲线,术后STA内径变化率≥37%、STA-PI≤1.26是预测手术成功的最佳截断值。结论 MMD患者在进行STA-MCA搭桥术时,应用超声技术术前探查STA内径及血流参数,术后探查STA内径变化率及与桥血管的血流频谱PI值,在早期预测吻合口血管是否通畅、手术是否成功方面具有潜在的临床应用价值。

      • 0+1
      • 1+1
      • 2+1
      • 3+1
      • 4+1
      • 5+1
      • 6+1
      • 7+1
    • >临床研究 DOI:10.13406/j.cnki.cyxb.003167
    • 基于免疫磁珠法的不同筛选方案对胎儿有核红细胞富集效果的比较

      2023, 48(2):155-161. DOI: 10.13406/j.cnki.cyxb.003167

      摘要 (121) HTML (24) PDF 2.21 M (186) 评论 (0) 收藏

      摘要:目的 将密度梯度离心(density gradient centrifugation,DGC)与免疫磁珠法(magnetic-activated cell sorting,MACS)相结合,应用4种不同的筛选方案,对脐血中的胎儿有核红细胞(fetal nucleated red blood cells,FNRBC)进行分离,评估不同策略富集FNRBC的效果。方法 对10例脐血标本(12 mL/例)按4种不同方案进行筛选:DGC;DGC+MACS阴性筛选(CD45-);DGC +MACS阳性筛选(CD71+);DGC+MACS阴性/阳性筛选(CD45-/CD71+)。通过细胞计数板计数,K-B染色后显微镜下人工FNRBC计数,从获得总细胞量、FNRBC量和FNRBC比例经t检验后评估不同方案富集FNRBC的效果。结果 ①与其他3组相比,DGC方案可获得的总细胞量(0.95×107/mL)最多,FNRBC数量(39.87/mL)最多,FNRBC比例最低(0.004‰),差异均具有统计学意义(均P=0.000);②与其他3组相比,DGC+MACS阴性/阳性筛选(CD45-/CD71+)组合法所获得的总细胞量最少(0.81×106/mL),获得FNRBC数量也最少(7.47/mL),差异均具有统计学意义(均P=0.000);③DGC+MACS单种抗体筛选方案中,DGC+MACS阳性筛选(CD71+)所获得总细胞量为1.99×106/mL,较DGC+MACS阴性筛选(CD45-)(2.56×106/mL)低,差异有统计学意义(P=0.000),而两方案所得FNRBC数量之间差异无统计学意义(P=0.910);④DGC+MACS阴性筛选(CD45-),DGC+MACS阳性筛选(CD71+),DGC+MACS阴性/阳性筛选(CD45-/CD71+)所得FNRBC比例之间差异无统计学意义(P=0.030、0.050、0.210)。结论 DGC方案获得FNRBC数量最多;DGC+MACS阴性/阳性筛选(CD45-/CD71+)方案去除混杂细胞能力最强。在不降低获取目标细胞数量基础上,DGC+MACS阳性筛选(CD71+)方案富集FNRBC效果最好。

      • 0+1
      • 1+1
      • 2+1
      • 3+1
      • 4+1
      • 5+1
      • 6+1
      • 7+1
      • 8+1
    • >临床研究 DOI:10.13406/j.cnki.cyxb.003165
    • 团块状灰度变化减轻子宫良性疾病聚焦超声消融术中的远场不良反应

      2023, 48(2):162-166. DOI: 10.13406/j.cnki.cyxb.003165

      摘要 (113) HTML (29) PDF 1007.58 K (226) 评论 (0) 收藏

      摘要:目的 评估团块状灰度变化能否减轻子宫良性疾病聚焦超声消融术中的远场不良反应。方法 开展单中心回顾性临床观察研究,纳入重庆医科大学附属第二医院行聚焦超声消融术的40例子宫良性疾病。比较团块状灰度变化出现前后,在相同能量水平(最小不可耐受能量)下,术中即刻骶尾部或臀部疼痛、放射痛、会阴部痛、肛门胀痛的发生率及不良反应程度。结果 在相同能量水平(最小不可耐受能量)下,团块状灰度变化出现后术中即刻骶尾部或臀部疼痛、放射痛、会阴部痛、肛门胀痛的发生率及不良反应程度明显低于团块状灰度变化出现前(P<0.05)。结论 团块状灰度变化能减轻子宫良性疾病聚焦超声消融术中的远场不良反应。

      • 0+1
      • 1+1
      • 2+1
      • 3+1
      • 4+1
      • 5+1
      • 6+1
      • 7+1
    • >临床研究 DOI:10.13406/j.cnki.cyxb.003168
    • 术后放疗在声门上型喉鳞状细胞癌治疗中的价值

      2023, 48(2):167-174. DOI: 10.13406/j.cnki.cyxb.003168

      摘要 (105) HTML (44) PDF 1.55 M (202) 评论 (0) 收藏

      摘要:目的 评估手术后辅助放疗(postoperative radiotherapy,PORT)在声门上型喉鳞状细胞癌治疗中的作用。方法 搜集美国监测、流行病学和最终结果(Surveillance,Epidemiology,and End Results,SEER)数据库中2004年至2015年接受手术治疗的831例声门上型喉鳞状细胞癌患者的临床资料,根据术后是否接受放疗分为PORT(-)组及PORT(+)组,应用倾向性评分匹配法(propensity score matching,PSM)均衡2组间变量的差异,采用Kaplan-Meier及log-rank检验进行生存分析并进行亚组分析,比较2组间总生存(overall survival,OS)和肿瘤特异性生存(cancer specific survival,CSS)的差异,分析PORT在声门上型喉鳞状细胞癌患者治疗中的价值及获益人群。结果 倾向性评分匹配前,PORT(-)组及PORT(+)组的OS无统计学差异,而PORT(+)组的CSS较PORT(-)组更差(P=0.022)。对阳性淋巴数的亚组分析显示,阳性淋巴结数为0和1的患者,PORT(-)组与PORT(+)组的OS与CSS均无统计学差异;但在阳性淋巴结数>1的患者中,PORT(+)组的5年OS与CSS均较PORT(-)组更好(OS:23.1% vs. 38.1%,P<0.001;CSS:34.8% vs. 45.3%,P=0.004)。进行倾向性评分匹配后,PORT(+)组较PORT(-)组的OS及CSS均更好(OS:55.1% vs. 41.9%,P=0.004;CSS:67.1% vs. 56.1%,P=0.042)。亚组分析显示,组织学分级Ⅰ、Ⅱ级,AJCC T4期,AJCC N2b、N2c期,阳性淋巴结数>1及全喉切除术的患者,PORT(+)组在OS及CSS中均获益,且有统计学意义。而未接受化疗、阳性淋巴结比率<20%及肿瘤大小<30 mm的患者仅存在OS获益。结论 PORT能提高部分声门上型喉鳞状细胞癌患者的生存率,相关获益人群为AJCC T4期、AJCC N2b及以上分期、阳性淋巴结数>1的患者。还需要在同类研究中进一步评估PORT在具有不良病理特征患者中的价值。

      • 0+1
      • 1+1
      • 2+1
      • 3+1
      • 4+1
      • 5+1
      • 6+1
      • 7+1
    • >临床研究 DOI:10.13406/j.cnki.cyxb.003169
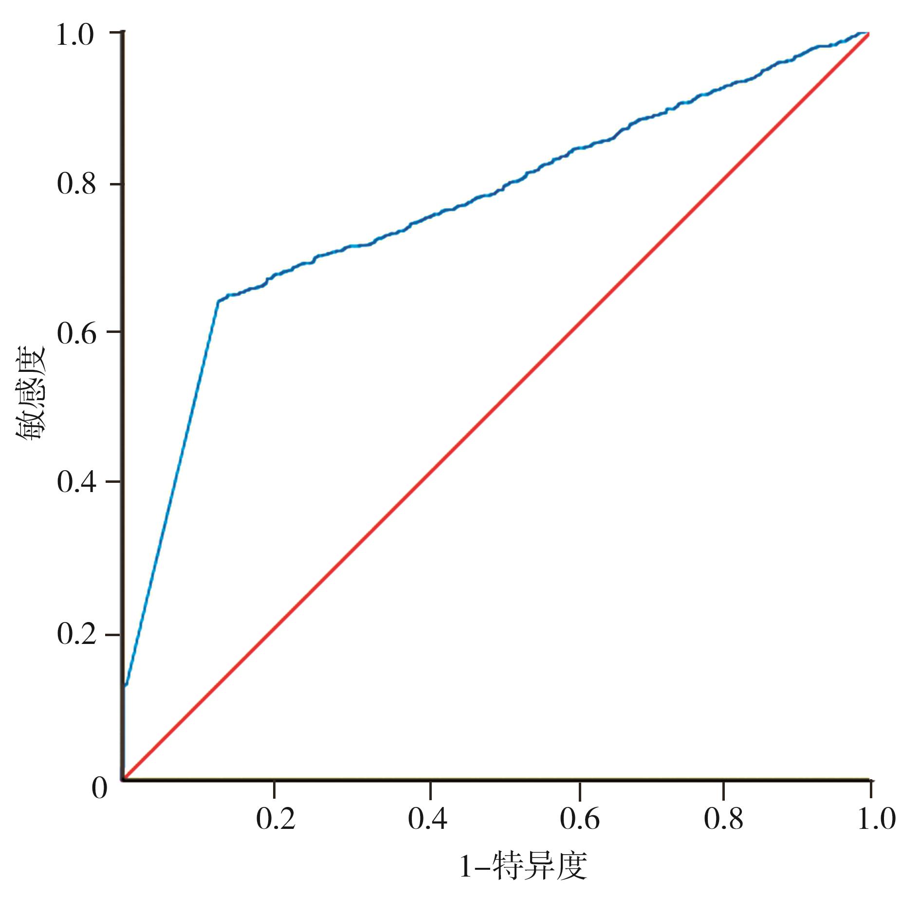
    • HPV E6/E7 mRNA对宫颈上皮内瘤变Ⅰ级转归的预测价值

      2023, 48(2):175-179. DOI: 10.13406/j.cnki.cyxb.003169

      摘要 (118) HTML (87) PDF 683.73 K (230) 评论 (0) 收藏

      摘要:目的 评估人乳头瘤病毒(human papilloma virus,HPV)E6/E7 mRNA预测宫颈上皮内瘤变Ⅰ级(cervical intraepithelial neoplasia grade Ⅰ,CIN Ⅰ)转归的应用价值。方法 选取2017年10月至2020年3月在重庆医科大学附属妇女儿童医院妇科门诊就诊,液基细胞学检测(thinprep cytology test,TCT)、HPV DNA检测和HPV E6/E7 mRNA检测中一项结果异常行阴道镜检查,病检结果为CIN Ⅰ的患者208例,1年后复查TCT、HPV DNA、HPV E6/E7 mRNA,检测中一项结果异常再次阴道镜下行宫颈活检,随访患者病变消退、持续存在或进展,分析HPV E6/E7 mRNA对宫颈上皮内瘤变Ⅰ级进展风险的预测价值。结果 ①208例CIN Ⅰ患者中有17例进展为CIN Ⅱ或CIN Ⅲ,进展率8.2%,进展患者中TCT阳性率为58.8%、HPV DNA阳性率为100%,HPV E6/E7 mRNA阳性率为100%;②Cox回归分析中,TCT的风险比(hazard ratio,HR)为9.184,HPV DNA的HR为158.675,HPV E6/E7 mRNA的HR为293.650,说明HPV E6/E7 mRNA对CIN Ⅰ进展的预测价值最大;③HPV DNA和HPV E6/E7 mRNA的敏感度最高,TCT的特异度最高,HPV E6/E7 mRNA特异度次之,HPV DNA的特异度较差,HPV E6/E7 mRNA既有最高的敏感度,又有较高的特异度;④TCT的受试者工作特征(receiver operating characteristic,ROC)曲线下面积(area under the curve,AUC)为0.633,HPV DNA的AUC为0.427,HPV E6/E7 mRNA 的AUC 为0.772,说明HPV E6/E7 mRNA对CIN Ⅰ进展的诊断价值最大。两两联合检测中,HPV DNA联合HPV E6/E7 mRNA的ROC曲线下AUC为0.777,HPV DNA联合TCT的ROC曲线下AUC为0.728,HPV E6/E7 mRNA联合TCT的ROC曲线下AUC为0.839,说明HPV E6/E7 mRNA联合TCT对CIN Ⅰ进展的诊断价值最大。结论 HPV E6/E7 mRNA检测对预测CIN I转归有一定意义,可用于CIN I的随访分流管理,值得在临床推广和应用。

      • 0+1
    • >临床研究 DOI:10.13406/j.cnki.cyxb.003044
    • 原发性双侧肾上腺大结节增生的临床特征和疗效分析

      2023, 48(2):180-184. DOI: 10.13406/j.cnki.cyxb.003044

      摘要 (148) HTML (55) PDF 1.01 M (316) 评论 (0) 收藏

      摘要:目的 分析原发性双侧肾上腺大结节增生(primary bilateral macronodular adrenal hyperplasia,PBMAH)患者临床特征及不同手术方式的疗效。方法 回顾性分析从2011年1月至2021年8月就诊于重庆医科大学附属第一医院被诊断为单侧肾上腺腺瘤(unilateral adrenal adenoma,UAA)所致促肾上腺皮质激素(adrenocorticotropic hormone,ACTH)非依赖性库欣综合征(Cushing’s syndrome,CS)患者119例和PBMAH患者34例的临床表现、代谢相关疾病、激素分泌水平和影像学特征等临床资料,通过与UAA患者比较以分析PBMAH的临床特征,同时比较PBMAH患者手术前后临床表现、代谢性疾病、激素分泌水平等变化情况以评估不同手术方式对PBMAH的疗效。结果 PBMAH患者与UAA患者临床特征有较明显差异。PBMAH组诊断时平均年龄为(49.8±13.1)岁,明显高于UAA组的(43.0±11.6)岁(P=0.016);PBMAH组男女发病率相似,而UAA组女性明显高于男性(P<0.001;PBMAH患者主要表现为亚临床库欣综合征(subclinical Cushing’s syndrome,SCS)(55.9%),以高血压、糖尿病等代谢相关疾病最为常见。在激素分泌水平方面,PBMAH组皮质醇增高水平明显低于UAA组,尤其是16:00、24:00血清皮质醇和24 h尿游离皮质醇;10例患者具有家族遗传病史并对其行基因检测提示ARMC5基因突变。影像学检查显示双侧肾上腺弥漫性大结节样增生,而UAA患者多为单侧单发腺瘤。治疗方面,SCS PBMAH患者行单侧肾上腺切除术临床缓解率高(100%),而伴库欣貌的PBMAH患者单侧切除术后临床缓解率为50%,16.7%的患者缓解后复发。单侧肾上腺切除术后肾上腺皮质功能不全的发生率(28.6%)明显低于双侧肾上腺手术(100%)。结论 PBMAH是一个家族遗传性疾病,发病年龄较高,常表现为SCS,多以高血压、糖尿病为首发症状。PBMAH伴SCS患者建议行单侧肾上腺全切除术,伴有明显CS症状患者建议行一侧全切对侧大部分切除术。

      • 0+1
      • 1+1
    • >临床研究 DOI:10.13406/j.cnki.cyxb.003036
    • 基于列线图模型对进展期胃窦癌术前低蛋白高危患者的识别

      2023, 48(2):185-189. DOI: 10.13406/j.cnki.cyxb.003036

      摘要 (139) HTML (28) PDF 758.81 K (197) 评论 (0) 收藏

      摘要:目的 探讨胃窦癌根治术前低白蛋白血症发生的高危因素以及对预后的影响。方法 选择2008年6月至2015年6月福建省肿瘤医院收治的行手术治疗胃窦癌患者共497例,按术前血清白蛋白水平分为低白蛋白组(<35 g/L,194例)与正常白蛋白组(≥35 g/L,303例),分析根治术前低白蛋白血症发生的高危因素及对预后的影响。结果 影响根治术前低白蛋白血症的单因素研究发现,在年龄、肿瘤大小、分化程度、肿瘤T分期、TNM分期上,低白蛋白组与正常白蛋白组存在统计学差异(P<0.05);多因素研究发现,年龄、肿瘤大小、肿瘤TNM分期是术前低白蛋白血症发生的独立危险因素,并据此建立列线图风险预测模型;低白蛋白组1年、3年、5年生存率分别为96.3%、85.7%、78.7%,正常白蛋白组1年、3年、5年生存率分别为94.1%、76.0%、62.9%,差异有统计学意义(P<0.001)。胃窦癌患者预后单因素及多因素分析结果显示,年龄、T分期、TNM分期、术前白蛋白是患者的独立预后因素(P<0.05)。结论 对于胃窦癌患者,年龄、肿瘤大小及肿瘤TNM分期是术前低白蛋白血症发生的独立危险因素,术前低白蛋白血症是胃窦癌患者不良预后的提示,对该类患者应加强识别及干预措施。

      • 0+1
      • 1+1
    • >临床研究 DOI:10.13406/j.cnki.cyxb.003164
    • CDCA8对肝细胞癌患者预后的影响

      2023, 48(2):190-194. DOI: 10.13406/j.cnki.cyxb.003164

      摘要 (162) HTML (29) PDF 1.69 M (251) 评论 (0) 收藏

      摘要:目的 肝细胞癌预后相关的分子标志物对提高患者生存质量和改善疗效至关重要,本研究旨在探究细胞分裂周期相关基因8(cell division cycle associated 8,CDCA8)对肝细胞癌预后的影响及潜在分子机制。方法 432例肝细胞癌样本的转录组数据及对应患者的临床信息下载自肿瘤基因表达图谱(The Cancer Genome Atlas,TCGA)数据库。分析肿瘤组织和正常组织中CDCA8 mRNA差异;根据CDCA8 mRNA中位数将肝细胞癌患者分为高表达组和低表达组,绘制生存曲线。采用Kruskal检验分析CDCA8与肿瘤分期、分级和T分期的相关性。采用单因素和多因素Cox回归分析探究CDCA8能否作为肝细胞癌患者的独立预后因子。采用基因集富集分析(gene set enrichment analysis,GSEA)探究CDCA8在肝细胞癌中的潜在作用机制。结果 CDCA8在肿瘤组织中的mRNA水平明显高于正常对照组织(P<0.001),CDCA8高表达患者的生存率明显低于低表达组(P<0.001)。随着肿瘤分期(P<0.001)、分级(P<0.001)和T分期(P<0.001)增加,肝细胞癌恶性程度增加,同时伴随CDCA8 mRNA水平增加。GSEA富集分析发现CDCA8高表达明显富集的通路包括细胞周期和有丝分裂。结论 CDCA8可作为肝细胞癌患者的预后分子标志物,深入研究后有望成为治疗的新靶点。

      • 0+1
      • 1+1
      • 2+1
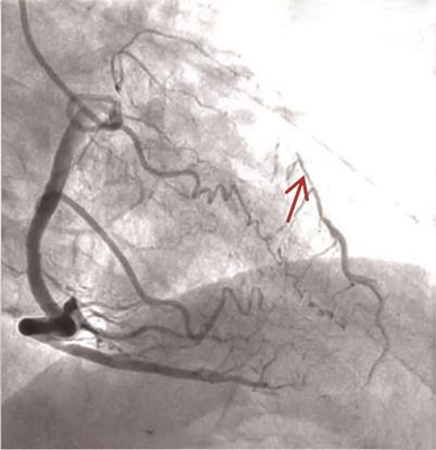
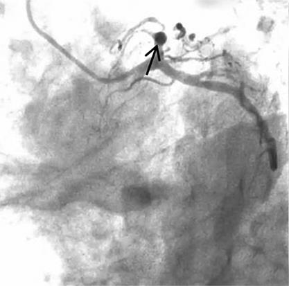
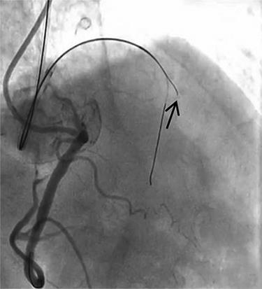
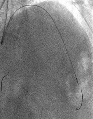
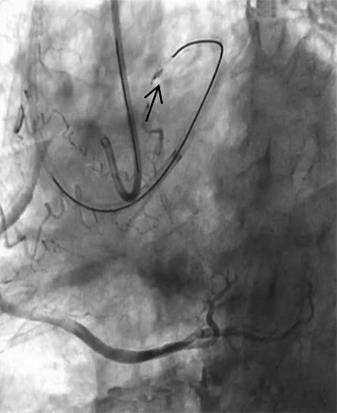
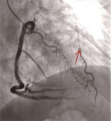
    • >临床研究 DOI:10.13406/j.cnki.cyxb.003170
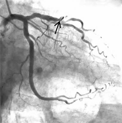
    • 正向夹层再次进入技术在冠状动脉慢性闭塞病变中的应用

      2023, 48(2):195-200. DOI: 10.13406/j.cnki.cyxb.003170

      摘要 (113) HTML (40) PDF 3.17 M (273) 评论 (0) 收藏

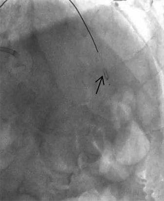
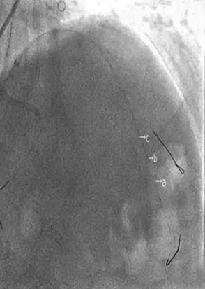
      摘要:目的 探讨ADR技术在经皮冠状动脉介入治疗(percutaneous coronary intervention,PCI)开通冠状动脉慢性完全闭塞(chronic total occlusion,CTO)应用的有效性与安全性。方法 选取2017年1月至2018年12月在滨州市人民医院和南昌大学第二附属医院行PCI的CTO病变中未使用正向夹层再次进入(antegrade dissection re-entry,ADR)技术的48例患者(对照组)和使用ADR技术的50例患者(治疗组)为研究对象。比较2组患者的基线情况、冠状动脉造影结果、PCI成功率和随访12个月的主要不良心血管事件(major adverse cardiovascular events,MACE)。结果 对照组共有52处CTO病变,治疗组共有58处CTO病变。治疗组PCI成功率明显高于对照组(89.7% vs. 71.2%,P=0.047),其中6例支架内再狭窄型CTO(in-stent restenosis,ISR-CTO)病变全部开通,治疗组平均PCI时间[(71±25) min vs. (95±33) min,P=0.041]、X线曝光时间[(42±17) min vs. (71±22) min,P=0.032]、对比剂使用剂量[(98±26) mL vs.(178±63) mL,P=0.029]明显低于对照组,差异均有统计学意义。治疗组随访12个月MACE发生率(22.0% vs. 41.7%,P=0.046)及再发心肌梗死发生率(10.0% vs. 27.1%,P=0.047)明显低于对照组,差异有统计学意义。结论 冠状动脉CTO病变PCI时,应用ADR技术安全、有效,缩短了手术时间,降低了医患的辐射剂量及对比剂的使用剂量,改善了患者预后。

      • 0+1
      • 1+1
      • 2+1
      • 3+1
      • 4+1
      • 5+1
      • 6+1
      • 7+1
      • 8+1
      • 9+1
      • 10+1
      • 11+1
      • 12+1
      • 13+1
      • 14+1
      • 15+1
      • 16+1
      • 17+1
      • 18+1
      • 19+1
      • 20+1
    • >临床研究 DOI:10.13406/j.cnki.cyxb.003053
    • 青少年近视配戴角膜塑形镜后的疗效分析

      2023, 48(2):201-204. DOI: 10.13406/j.cnki.cyxb.003053

      摘要 (468) HTML (61) PDF 1.04 M (239) 评论 (0) 收藏

      摘要:目的 分析青少年近视配戴角膜塑形镜后控制近视效果的影响因素,为临床验配工作提供依据。方法 回顾性研究2019年2月至8月在武汉大学附属爱尔眼科医院验配角膜塑形镜的青少年近视患者105例(206只眼),分析患者配戴角膜塑形镜前与18个月后眼轴变化量与年龄、性别、屈光度、眼轴、角膜散光、平k、陡k、e值、瞳孔直径、可见虹膜直径、镜片定位等参数的相关性。应用SPSS 23.0进行广义线性模型拟合和单因素方差分析。结果 向后选择法多因素分析表明,眼轴变化量跟年龄、原始屈光度相关(P<0.001、P<0.001),患者基线年龄越大,眼轴增长越缓慢。将基线屈光度进行分组单因素方差分析,发现-3.00 D以上的近视控制效果优于-3.00 D以下(P<0.01),2组组间控制效果无明显差异。结论 年龄和基线屈光度是配戴角膜塑形镜控制近视的影响因素。年龄大的患者比年龄小的眼轴增长缓慢,针对年龄小的患者角膜塑形镜各弧区应个性化设计;基线屈光度-3.00 D以上的近视控制效果优于-3.00 D以下,而3.00 D以上和3.00 D以下的近视控制效果却不受屈光度增减的影响,对屈光度-3.00 D以下患者密切随访,联合其余近视控制手段综合治疗。

      • 0+1
      • 1+1
    • >临床研究 DOI:10.13406/j.cnki.cyxb.003051
    • 新型营养指数与颈动脉病变的相关性

      2023, 48(2):205-209. DOI: 10.13406/j.cnki.cyxb.003051

      摘要 (149) HTML (50) PDF 646.85 K (211) 评论 (0) 收藏

      摘要:目的 探究甘油三酯(triglycerides,TG)-总胆固醇(total cholesterol,TC)-体质量(body weight,BW)指数(TG×TC×BW index,TCBI)与颈动脉病变的相关性。方法 以2016年11月至2019年10月安徽省马鞍山市某医院住院、疑似稳定性颈动脉病变、满足纳入标准的患者2 290人为研究对象。根据彩色多普勒检测结果将研究对象分为颈动脉病变组(n=1 352)和对照组(n=938)。收集所有患者的一般人口学特征、临床特征、彩色多普勒检查指标和血生化检测指标。建立回归模型分析TCBI与颈动脉病变的关系。结果 颈动脉病变组的TCBI(χ2=34.018,P<0.001)高于对照组;高TCBI组血脂异常(χ2=143.933,P<0.001)、糖尿病(χ2=29.946,P<0.001的检出率及颈内动脉阻力指数(internal carotid artery resistance index,ICA-RI)(t=2.468,P=0.014)、三酰甘油-葡萄糖(triglyceride glucose,TyG)指数(t=9.160,P<0.001)、内中膜厚度(intima-media thickness,IMT)≥1.0 mm(t=34.018,P<0.001)较低TCBI组高;TCBI与血脂异常(r=0.510,P<0.001)、ICA-RI(r=0.363,P<0.001、AIP(r=0.714,P<0.001)呈正相关;在TCBI与颈动脉病变的关联分析中,TCBI>1 800是颈动脉病变的独立危险因素。结论 TCBI对颈动脉病变的筛查和临床诊断具有潜在应用价值。

      • 0+1
    • >临床研究 DOI:10.13406/j.cnki.cyxb.003166
    • SCR7对三阴性乳腺癌顺铂化疗的增敏作用研究

      2023, 48(2):220-225. DOI: 10.13406/j.cnki.cyxb.003166

      摘要 (115) HTML (30) PDF 3.20 M (266) 评论 (0) 收藏

      摘要:目的 探讨SCR7对三阴性乳腺癌顺铂化疗的增敏作用。方法 选用三阴乳腺癌MDA-MB-231细胞分为空白对照组、10 μmol/L顺铂对照组和联合组(10 μmol/L顺铂+10、20和40 μmol/L SCR7),采用CCK-8法检测细胞活性并计算细胞增殖抑制率;取对数期TNBC MDA-MB-231细胞构建三阴性乳腺癌移植瘤小鼠模型,建模成功后荷瘤裸鼠随机分为对照组、SCR7组,顺铂组、SCR7+顺铂组;饲养24 d后,观察比较各组荷瘤鼠肿瘤质量、瘤体体积的变化,计算肿瘤抑制率;苏木精-伊红(hematoxylin-eosin,HE)染色观察瘤体组织细胞形态学变化;原位末端标记法(in situ end labeling,TUNEL)检测乳腺癌肿瘤组织的凋亡;采用Western blot检测X射线修复交叉互补蛋白1(X-ray repair cross complementing 1,XRCC1)、多聚(ADP核糖)聚合酶1[poly(adp ribose) polymerase 1,PARP1]蛋白表达。结果 联合组细胞增殖抑制率均高于对照组(P<0.05),且随SCR7质量浓度增大呈逐渐升高趋势(P<0.05)。体内动物实验发现:相较于对照组,SCR7组、顺铂组、SCR7+顺铂组中的乳腺癌肿瘤体积、瘤重减小(P<0.05),其肿瘤抑制率分别是32%、40%、81%;SCR7+顺铂组较顺铂组减少更明显(P<0.05),且小鼠体质量与SCR7组、顺铂组相比无明显差异(P>0.05);HE染色观察干预组肿瘤组织均呈现明显形态学改变,其中SCR7+顺铂组肿瘤细胞退变变化最明显;TUNEL染色显示SCR7+顺铂组肿瘤细胞凋亡最为严重,可见大量红色细胞凋亡;Western blot检测发现,SCR7+顺铂组XRCC1、PARP1蛋白表达均明显低于其他组,差异均有统计学意义(P<0.05)。结论 SCR7在体内外对三阴乳腺癌顺铂化疗均有增敏作用。

      • 0+1
      • 1+1
      • 2+1
      • 3+1
      • 4+1
      • 5+1
      • 6+1
      • 7+1
      • 8+1
      • 9+1
      • 10+1
      • 11+1
      • 12+1
      • 13+1
      • 14+1
      • 15+1
      • 16+1
      • 17+1
    • >文献综述 DOI:10.13406/j.cnki.cyxb.003171
    • 肠道屏障在肥胖相关代谢性疾病发生发展中的作用

      2023, 48(2):226-234. DOI: 10.13406/j.cnki.cyxb.003171

      摘要 (768) HTML (34) PDF 1.74 M (404) 评论 (0) 收藏

      摘要:随着肥胖人口所占比例增加,非酒精性脂肪肝(nonalcoholic fatty liver disease,NAFLD)和2型糖尿病(type 2 diabetes mellitus,T2DM)等肥胖相关代谢性疾病发病率逐年上升,给家庭及社会带来沉重负担。大量实验数据证实肠道屏障损伤在肥胖相关代谢性疾病的发生发展过程中起重要作用。本文详细总结了肠道屏障的结构、功能及评估方法,归纳了肠道屏障损伤与肥胖及其相关代谢性疾病的研究进展,为临床如何评估患者肠道屏障功能以及如何通过改善肠道屏障功能治疗代谢性疾病提供理论基础。

      • 0+1
      • 1+1
    • >基础研究
    • 缺氧后线粒体Drp1通过LRRK2-HK2诱导mPTP过度开放的机制研究

      2023, 48(2):117-123. DOI: 10.13406/j.cnki.cyxb.003176

      摘要 (393) HTML (92) PDF 6.99 M (326) 评论 (0) 收藏

      摘要:目的 探究缺氧后线粒体动力相关蛋白1(dynamin-related protein 1,Drp1)对线粒体膜通透性转换通道(mitochondrial permeability transition pore,mPTP)开放的调控机制。方法 在血管平滑肌细胞中通过免疫荧光方法观察缺氧后mPTP开放情况;通过超速离心法分离线粒体和细胞质成分蛋白;使用Co-IP和Western blot检测缺氧或者干预Drp1、干预己糖激酶-2(hexokinase-2,HK2)后Drp1的表达分布情况、HK2与电压依赖性阴离子通道蛋白(voltage dependent anion channel,VDAC)结合情况、Drp1与富含亮氨酸重复激酶2(leucine-rich repeat kinase 2,LRRK2)结合情况;使用蛋白分子对接和蛋白芯片方法筛选Drp1的潜在结合蛋白及结合位点;使用Drp1抑制剂和点突变法用于相应机制探究。结果 缺氧后Drp1发生线粒体转位促使mPTP过度开放(P<0.05)。使用Mdivi-1减少线粒体Drp1表达后可抑制mPTP开放,减少细胞色素C(cytochrome C,CytC)释放(P<0.05)。缺氧后HK2-Thr473磷酸化水平减低引起的HK2线粒体分离会导致mPTP结构破坏,通过HK2 T473D点突变恢复HK2活性后,HK2与线粒体结合情况及mPTP开放情况明显改善(P<0.05)。Drp1蛋白芯片结果发现缺氧后Drp1可以与LRRK2结合并封闭其活性位点,通过Drp1 T595A点突变破坏Drp1-LRRK2结合后,HK2活性及HK2线粒体分离情况明显改善(P<0.05),mPTP开放情况明显减少(P<0.05)。结论 缺氧后线粒体Drp1通过封闭激酶LRRK2活性位点导致HK2 Thr473磷酸化水平减低及其线粒体分离,最终诱导mPTP过度开放。

      • 0+1
      • 1+1
      • 2+1
      • 3+1
      • 4+1
    • >临床研究
    • 斑点追踪技术评估升主动脉弹性与冠心病患者冠脉病变的相关性研究

      2023, 48(2):210-214. DOI: 10.13406/j.cnki.cyxb.003047

      摘要 (82) HTML (17) PDF 1.29 M (202) 评论 (0) 收藏

      摘要:目的 使用二维斑点追踪技术(two-dimensional speckle tracking imaging,2D-STI)评估冠心病患者升主动脉弹性功能,并探讨其与冠脉病变程度的相关性。方法 纳入三峡大学第一临床医学院宜昌市中心人民医院2020年1月至2021年3月因胸闷、胸痛住院的疑似冠心病患者206例。均行超声心动图检查,计算升主动脉扩张性(aortic distensibility,AoDIS)、升主动脉僵硬指数(aortic stiffness index,AoSI)及升主动脉应变值等常规动脉僵硬度指标。使用2D-STI测量整体周向升主动脉应变峰值(global circumferential acscending aortic peak strain,GCAAS)及周向升主动脉峰值应变率(crcumferential acscending aortic peak strain rate,CAASR)。依据冠脉造影结果及Gensini积分(Gensini score,GS)分为冠心病组(轻度组、中度组及重度组)和对照组。结果 ①冠心病组AoDIS、升主动脉应变值、GCAAS、CAASR均低于对照组,AoSI高于对照组(均P<0.05)。②单因素logistic回归分析显示,男性、糖尿病、高血压、左室射血分数(left ventricular ejection fraction,LVEF)、AoDIS、GCAAS、CAASR均是冠心病的危险因素(均P<0.05)。经多因素分析后,GCAAS仍是冠心病的独立危险因素(P<0.001)。③冠心病组中,GCAAS及CAASR随着冠脉病变严重程度增加而减少(P=0.003,P=0.015)。与轻度组相比,重度组GCAAS、CAASR明显更低(P=0.001,P=0.012)。Spearman相关分析表明,GCAAS与GS呈中度相关(rs=-0.411,P<0.001),CAASR与GS呈弱相关(rs=-0.228,P=0.027)。结论 斑点追踪技术升主动脉应变优于常规超声,能够反映冠心病患者升主动脉弹性的早期改变,整体周向升主动脉应变与冠心病的发生及冠脉病变严重程度密切相关。

      • 0+1
    • 腹腔镜下输卵管部分切除+端端吻合术与输卵管切开取胚缝合术对输卵管妊娠患者输卵管复通和生育预后的影响

      2023, 48(2):215-219. DOI: 10.13406/j.cnki.cyxb.003061

      摘要 (797) HTML (35) PDF 1.53 M (212) 评论 (0) 收藏

      摘要:目的 探讨腹腔镜下输卵管部分切除+端端吻合术与输卵管切开取胚缝合术对输卵管妊娠患者输卵管复通和生育预后的疗效。方法 前瞻性纳入2018年4月至2021年4月具有生育期望且存在生育能力下降风险的输卵管妊娠拟行手术患者98例,随机分为切除吻合组(n=50)和切开缝合组(n=48)。切除吻合组行腹腔镜下输卵管妊娠部切除+端端吻合术,术中输卵管逆行插管(自输卵管伞端插入硬膜外麻醉导管并贯穿输卵管2个断端),作为支撑物辅助吻合并行术中通液。切开缝合组行腹腔镜下输卵管切开取胚缝合术,术中常规向输卵管妊娠囊附近系膜处注射甲氨蝶呤50 mg。2组常规术后避孕3个月,常规术后3个月行输卵管碘油造影术观察术侧输卵管通畅情况。对比2组手术时间、术中出血量、术后持续性异位妊娠发生率、术后3个月术侧输卵管通畅率。术后长期随访,观察2组宫内妊娠和再次输卵管妊娠发生情况。结果 切除吻合组手术时间[(52.3±5.7) min vs. (48.6±5.5) min,P=0.002]明显长于切开缝合组,术中出血量[(6.1±3.9) mL vs. (9.6±5.7) mL,P=0.000]明显少于切开缝合组,术后持续性异位妊娠发生率(0.0% vs. 14.6%,P=0.016)明显低于切开缝合组,差异均具有统计学意义(P<0.05)。术后3个月,切除吻合组术侧输卵管复通率(94.0% vs. 79.2%,P=0.030)明显高于切开缝合组。所有患者均获随访,随访(18.5±5.7)个月,切除吻合组术后宫内妊娠率(58.0% vs. 37.5%,P=0.042)明显高于切开缝合组,再次输卵管妊娠发生率(2.0% vs. 16.7%,P=0.031)明显低于切开缝合组。2组术后宫内妊娠不良结局的发生率差异无统计学意义。结论 腹腔镜下输卵管妊娠部切除+端端吻合术治疗输卵管妊娠的效果安全可靠,能够降低术后持续性异位妊娠和再次输卵管妊娠风险,提高术后输卵管复通率和宫内妊娠率。

      • 0+1
      • 1+1
      • 2+1
      • 3+1
      • 4+1
    • >文献综述
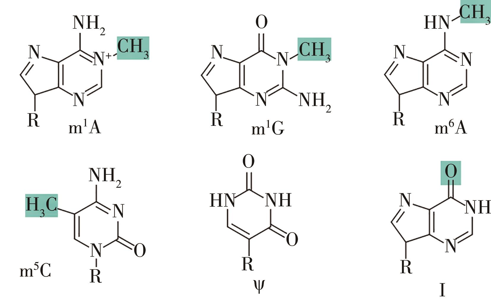
    • RNA甲基化修饰检测研究进展

      2023, 48(2):235-240. DOI: 10.13406/j.cnki.cyxb.003045

      摘要 (512) HTML (44) PDF 2.02 M (405) 评论 (0) 收藏

      摘要:RNA修饰是转录后调控基因表达的重要因素,在表观遗传学领域具有重要的研究意义。目前,许多已知的RNA修饰检测方法依赖抗体的特异性。最常用的是基于RNA甲基化免疫沉淀结合测序法(methylated RNA immunoprecipitation sequencing,MeRIP-seq),但这种方法也容易产生假阳性和假阴性结果。因此,近年来出现了一系列免抗体的测序方法,以及探索成本低廉、简单易操作的免抗体RNA修饰生物传感检测新方法。此外,特定位点的RNA修饰检测是探明甲基化对疾病具体调控机制的关键,单碱基分辨检测方法构建是必要的前提。本综述总结近年来RNA甲基化修饰特异性检测以及特定位点RNA修饰定量检测的新方法。主要从基于免疫途径、甲基化特异性酶途径、杂交方法、化学处理、标记技术以及RNA修饰原位检测技术进行总结归纳,分析不同检测方法的优点和不足。同时讨论了通用性检测方法及第三代测序用于直接检测RNA甲基化修饰的研究前景。

      • 0+1
      • 1+1
      • 2+1
      • 3+1
      • 4+1
      • 5+1

主管单位 :重庆市教育委员会

主办单位 :重庆医科大学

编辑部 :《重庆医科大学学报》编辑部

主编:黄爱龙

编辑部主任 :唐秋姗

国际标准刊号:ISSN 0253-3626

国内统一刊号:CN 50-1046/R

  • 浏览排行
  • 引用排行
  • 下载排行
按检索
检索词