• 2023年第48卷第3期文章目次
    全 选
    显示方式: |
    • >基础研究 DOI:10.13406/j.cnki.cyxb.003193
    • 漆树酸通过调控KAT8介导的组蛋白H4K16ac高乙酰化改善TAC小鼠心肌纤维化

      2023, 48(3):241-247. DOI: 10.13406/j.cnki.cyxb.003193

      摘要 (191) HTML (53) PDF 3.40 M (262) 评论 (0) 收藏

      摘要:目的 探讨组蛋白乙酰化酶(histone acetylases,HATs)抑制剂漆树酸(anacardic acid,AA)改善胸主动脉缩窄术(thoracic aortic constriction,TAC)小鼠心肌纤维化的组蛋白乙酰化调控机制,为心肌纤维化的防治提供新靶点。方法 选择6~8周SPF级昆明小鼠为研究对象,按照随机数字表法将小鼠分为5组:正常(Normal)组、假手术(Sham)组、胸主动脉缩窄(TAC)组、胸主动脉缩窄+溶剂对照(TAC+Veh)组、胸主动脉缩窄+漆树酸(TAC+AA)组。12周后采用超声心动图检测各组小鼠模型构建情况;收集各组小鼠心脏组织进行以下检测:马松染色观察心肌组织纤维化情况;Western blot检测KAT8、H4K16ac、TGF-β1、SMAD3、Collagen Ⅰ、 Collagen Ⅲ蛋白表达情况;免疫共沉淀检测KAT8与H4K16ac的相互作用关系。结果 超声心动图表明TAC模型小鼠构建成功。马松染色结果表明,TAC组小鼠心脏较Sham组增大,心肌组织中胶原沉积增多,纤维化明显,而TAC+AA组较TAC组小鼠心脏缩小,心肌组织中胶原沉积减少,纤维化程度减轻。Western blot结果发现,TAC组小鼠心肌组织中KAT8及组蛋白H4K16ac的蛋白表达水平较Sham组明显升高(均P<0.05),且TGF-β1、SMAD3、Collagen Ⅰ、 Collagen Ⅲ蛋白表达水平较Sham组明显升高(均P<0.05)。与TAC组比较,AA明显降低TAC小鼠心肌组织中KAT8过表达及H4K16ac高乙酰化(均P<0.05)。同时,TAC+AA组TGF-β1、SMAD3、CollagenⅠ、 Collagen Ⅲ蛋白表达较TAC组明显下降(均P<0.05)。免疫共沉淀结果显示,KAT8可以与H4K16ac相互结合。此外,AA能够明显改善TAC小鼠的生存率。结论 KAT8介导的组蛋白H4K16ac高乙酰化可能通过调控TGF-β1/SMAD3信号通路参与TAC小鼠心肌纤维化,而AA能够抑制KAT8介导的组蛋白H4K16ac高乙酰化进而改善TAC小鼠心肌纤维化。

      • 0+1
      • 1+1
      • 2+1
      • 3+1
      • 4+1
      • 5+1
    • >基础研究 DOI:10.13406/j.cnki.cyxb.003185
    • 电针对衰老模型大鼠睾丸AMPK/SIRT1/NF-κB信号通路的影响

      2023, 48(3):255-260. DOI: 10.13406/j.cnki.cyxb.003185

      摘要 (189) HTML (49) PDF 1.11 M (288) 评论 (0) 收藏

      摘要:目的 探讨电针对衰老模型大鼠睾丸腺苷酸活化蛋白激酶(adenosine monophosphate activated protein kinase,AMPK)、沉默信息调节因子1(silent information regulator of transcription 1,SIRT1)、核因子-κB(nuclear factor-κB,NF-κB)蛋白表达的影响及其延缓生殖衰老的作用机制。方法 将40只雄性SD大鼠随机分为对照组(n=10)和造模组(n=30),造模组经腹腔注射D-半乳糖复制衰老模型大鼠,从造模成功的大鼠中随机筛选24只平均分为3组:模型组、药物组和电针组,每组8只。电针组取“肾俞”“关元”予电针治疗,每日治疗1次,每次15 min,治疗5 d休息2 d,连续治疗8周。药物组予腹部皮下注射丙酸睾酮注射液(7 mg/kg,每3日1次),连续8周。对照组和模型组给予腹部皮下注射0.9%氯化钠溶液,注射剂量及疗程同药物组。治疗前后检测大鼠血清总睾酮(total testosterone,TT)和游离睾酮(free testosterone,FT)水平,免疫组化法、Western blot检测大鼠睾丸AMPK、p-AMPK、SIRT1、NF-κB p65蛋白表达。结果 治疗前,与对照组比较,模型组、药物组及电针组血清TT、FT水平降低(P=0.000,P=0.001;P=0.000,P=0.001;P=0.000,P=0.000);治疗后,与对照组比较,模型组、药物组及电针组血清TT、FT水平降低(P=0.000,P=0.000;P=0.009,P=0.025;P=0.006,P=0.022),与模型组比较,药物组及电针组血清TT、FT明显升高(P=0.001,P=0.004;P=0.001,P=0.004)。与对照组比较,模型组、药物组及电针组p-AMPK、SIRT1蛋白表达均明显降低(P=0.000,P=0.000;P=0.000,P=0.000;P=0.000,P=0.000),NF-κB p65蛋白表达明显升高(P=0.000,P=0.000,P=0.005)。与模型组及药物组比较,电针组p-AMPK、SIRT1蛋白表达明显升高(P=0.000,P=0.000;P=0.023,P=0.002),NF-κB p65蛋白表达明显降低(P=0.000,P=0.000)。结论 电针可能通过激活睾丸间质细胞(Leydig细胞)AMPK/SIRT1/NF-κB通路,抑制Leydig细胞炎性反应,从而改善血清TT、FT水平,这可能是电针延缓生殖衰老的作用机制之一。

      • 0+1
      • 1+1
    • >基础研究 DOI:10.13406/j.cnki.cyxb.003189
    • 炭疽毒素受体2表达受miR-145-5p调控在胰腺癌的作用机制研究

      2023, 48(3):261-268. DOI: 10.13406/j.cnki.cyxb.003189

      摘要 (126) HTML (38) PDF 3.35 M (269) 评论 (0) 收藏

      摘要:目的 探讨炭疽毒素受体2(anthrax toxin receptor 2,ANTXR2)在胰腺癌组织和细胞中的表达、临床意义和细胞功能,验证miR-145-5p在胰腺癌细胞中调控ANTXR2的作用机制。方法 分析GEO和TCGA数据库中胰腺癌的转录数据和临床数据。通过CCK-8实验、流式细胞术、划痕实验和Transwell实验进行细胞功能验证。采用miRNA靶点预测数据库反向预测可能通过ceRNA机制抑制ANTXR2表达的miRNA,并使用双荧光素酶报告实验进行验证。结果 ANTXR2在胰腺癌组织和细胞中的表达均上调(均P<0.05),ANTXR2上调预示着原发肿瘤等级(P<0.05)、肿瘤细胞分化等级(P<0.05)和总体生存期(P<0.05,HR=1.72)均较差。ANTXR2可以促进胰腺癌细胞增殖、迁移和侵袭(均P<0.05)。ANTXR2是miR-145-5p下游的靶标(P<0.01),miR-145-5p可以通过抑制ANTXR2的表达抑制胰腺癌细胞增殖、迁移和侵袭。结论 ANTXR2在胰腺癌组织和细胞中过表达,促进胰腺癌细胞增殖、迁移和侵袭,且与患者预后有关。miR-145-5p通过调控ANTXR2的表达抑制其促癌作用。

      • 0+1
      • 1+1
      • 2+1
      • 3+1
      • 4+1
      • 5+1
      • 6+1
      • 7+1
      • 8+1
      • 9+1
      • 10+1
      • 11+1
      • 12+1
      • 13+1
      • 14+1
      • 15+1
      • 16+1
      • 17+1
      • 18+1
      • 19+1
      • 20+1
      • 21+1
      • 22+1
      • 23+1
      • 24+1
    • >临床研究 DOI:10.13406/j.cnki.cyxb.003190
    • 腹腔镜辅助远端胃癌D2根治术对肿瘤相关因子水平的影响分析

      2023, 48(3):269-273. DOI: 10.13406/j.cnki.cyxb.003190

      摘要 (123) HTML (34) PDF 571.85 K (223) 评论 (0) 收藏

      摘要:目的 探究腹腔镜辅助远端胃癌D2根治术治疗进展期胃癌对血清胃蛋白酶原(pepsinogen,PG)、胃泌素-17(gastrin-17,G-17)、低氧诱导因子-1α(hypoxia-inducible factor-1α,HIF-1α)及结肠癌转移相关基因1(metastasis-associated in colon cancer-1,MACC1)水平的影响。方法 选取2017年10月至2021年11月在中部战区总医院进行远端胃癌D2根治术治疗的患者110例进行临床及随访研究,根据治疗方法的不同分为腹腔镜组及开腹组,每组55例。比较2组患者围手术期情况,血清PG、G-17、HIF-1α及MACC1水平,以及生存情况差异。结果 腹腔镜组切口长度、术中出血量、排气时间、进食时间、首次下床时间、住院时间均明显低于开腹组,差异有统计学意义(P<0.05)。术后7 d,腹腔镜组患者血清PGⅠ水平明显高于开腹组(P<0.05),G-17、HIF-1α及MACC1水平低于开腹组(P<0.05)。术后早期,腹腔镜组患者的并发症总发生率低于开腹组(5.45% vs. 20.00%)(P<0.05)。腹腔镜组术后1、2、3年的生存率分别为90.91%、80.00%、78.18%,开腹组术后1、2、3年的生存率分别为87.27%、74.55%、70.91%,死亡率均无统计学意义(P>0.05)。log-rank检验腹腔镜组及开腹组治疗的患者生存状态比较差异无统计学意义(P>0.05)。结论 腹腔镜辅助远端胃癌D2根治术治疗进展期胃癌的效果及安全性较好,可促进患者术后早期康复,改善患者PG、G-17、HIF-1α及MACC1水平。

    • >临床研究 DOI:10.13406/j.cnki.cyxb.003177
    • TH及Apelin在脑小血管病致认知功能障碍患者血清中的变化及意义

      2023, 48(3):274-278. DOI: 10.13406/j.cnki.cyxb.003177

      摘要 (135) HTML (60) PDF 654.24 K (222) 评论 (0) 收藏

      摘要:目的 探讨脑小血管疾病(cerebral small vessel disease,CSVD)患者循环血甲状腺激素(thyroxine,TH)及孤独G蛋白耦联受体配体Apelin与认知障碍(cognitive impairment,CI)的关系。方法 本研究共纳入85例CSVD患者及30例健康对照(healthy control,HC)组。依据蒙特利尔认知评估量表(Montreal cognitive assessment scale,MoCA),CSVD患者被进一步分为非认知障碍(non-cognitive impairment,NCI)组、CI组。采用酶联免疫吸附测定法检测血清TH、Apelin水平。采用MoCA对认知功能进行评估。Pearson相关分析及一元线性回归分析用于评估TH、Apelin与CI的关系。采用logistic回归分析确定CI患病的危险因素。受试者工作特征(receiver operating characteristic,ROC)曲线评价TH、Apelin水平对CSVD相关CI的诊断价值。结果 相比HC组、NCI组,CI组的游离三碘甲状腺原氨酸(free triiodothyronine,FT3)水平明显下降,而Apelin水平则明显升高。相关性分析显示,在CSVD患者中Apelin与MoCA呈弱负相关。多因素logistic回归分析对潜在影响因素(年龄、受教育年限)进行校正后的结果显示,较低水平的FT3和较高水平的Apelin是CSVD患者出现CI的独立危险因素。ROC曲线分析显示,FT3和Apelin均对CSVD患者并发CI具有较高诊断价值,而FT3/Apelin联合模型可进一步增加对CI诊断的准确性。结论 FT3降低和Apelin升高与CSVD出现CI密切相关,将FT3和Apelin纳入联合预测模型有助于识别CSVD疾病状态下处于CI风险的患者。

      • 0+1
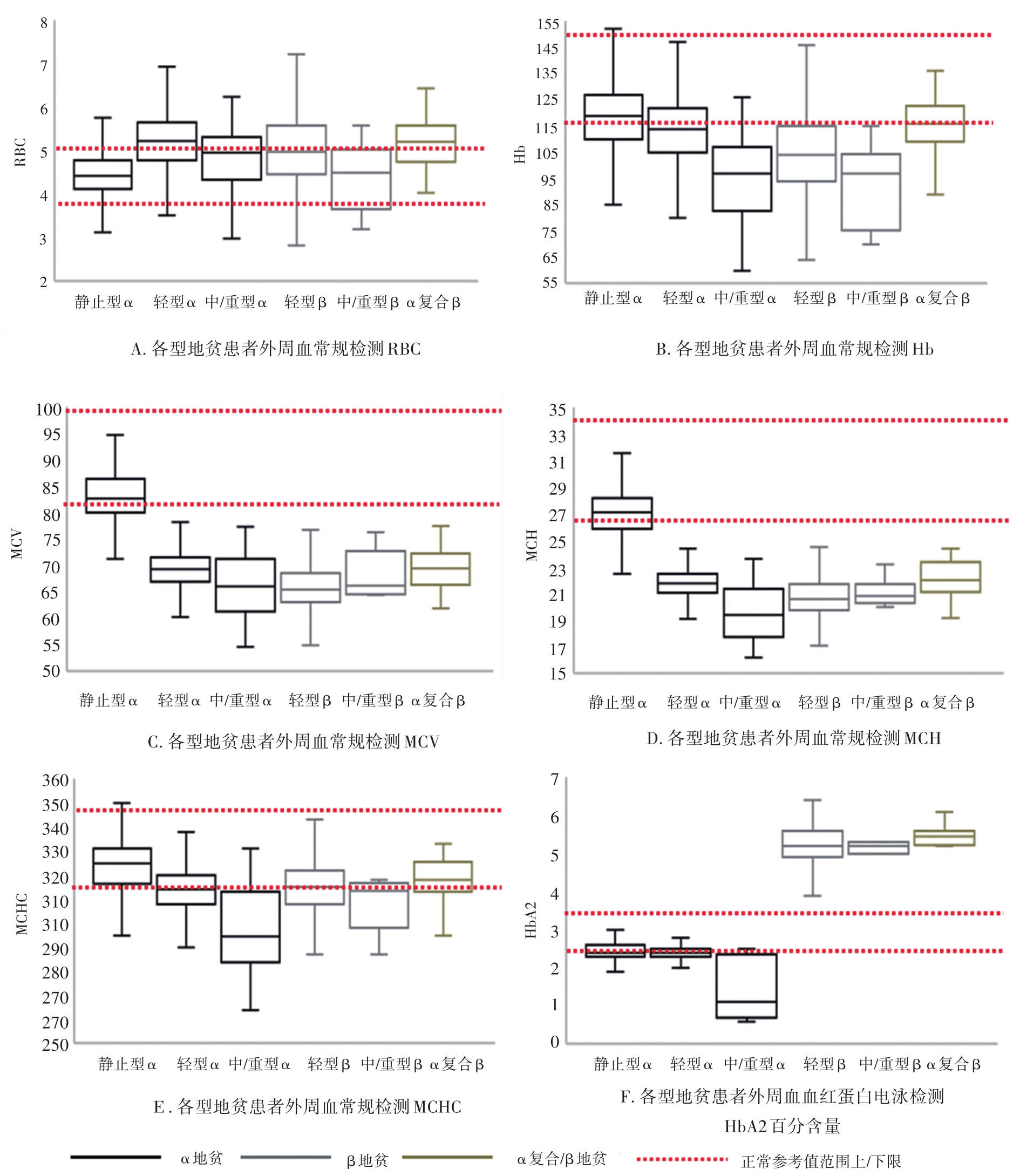
    • >临床研究 DOI:10.13406/j.cnki.cyxb.003184
    • 重庆地区血红蛋白病的患病率及其基因型和血液学表型分析

      2023, 48(3):279-285. DOI: 10.13406/j.cnki.cyxb.003184

      摘要 (156) HTML (48) PDF 1.35 M (230) 评论 (0) 收藏

      摘要:目的 分析重庆地区血红蛋白病的携带率、基因型构成及血液学特征,为血红蛋白病筛查及诊断方法的合理选择提供依据。方法 对49 551例进行血红蛋白病筛查的患者外周血样本,采用多重PCR-导流杂交或测序等方法检测地中海贫血常见23种基因位点及血红蛋白变异体(hemoglobin variants,HbVs)相关突变位点;再对确诊血红蛋白病患者的血常规和血红蛋白电泳结果进行回顾分析,评估血常规、血红蛋白电泳二者联合检查在血红蛋白病筛查诊断中的价值。结果 共检出3 511例血红蛋白病(7.09%),其中α地贫携带者1 840例,以--SEA/αα3.7/αα4.2/αα为主;β地贫携带者1 540例,以CD17、IVS-Ⅱ-654、CD41-42为主;异常血红蛋白病65例,β链变异体为主;复合血红蛋白病64例,α地贫复合β地贫携带者57例,地贫复合异常血红蛋白病7例。血红蛋白病患者的血红蛋白、红细胞平均体积、红细胞平均血红蛋白量指标降低与α或β链合成的减少程度呈正相关,而血红蛋白A2(adult hemoglobin 2,HbA2)分别在α地贫和β地贫表现为降低和升高,或者在异常血红蛋白病中出现HbVs。单独的血常规和血红蛋白毛细管电泳筛查血红蛋白病检出率分别为84.29%和82.67%,二者联合筛查检出率可达99.11%。结论 重庆地区血红蛋白病携带者基因型具有多样性,血常规结合血红蛋白电泳是临床及产前筛查血红蛋白病的必要手段。对于筛查出HbVs的患者,出现溶血或贫血等症状时,强烈建议进行后续基因分析。

      • 0+1
      • 1+1
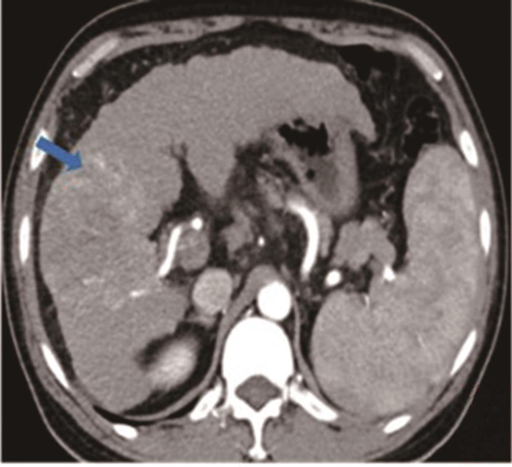
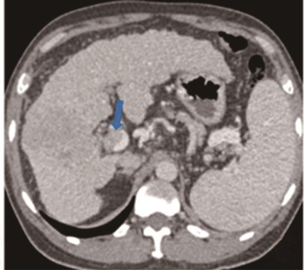
    • >临床研究 DOI:10.13406/j.cnki.cyxb.003181
    • 探讨增强CT在鉴别胆囊癌侵犯肝脏与肝癌累及胆囊病变中的应用价值

      2023, 48(3):286-290. DOI: 10.13406/j.cnki.cyxb.003181

      摘要 (147) HTML (63) PDF 3.19 M (253) 评论 (0) 收藏

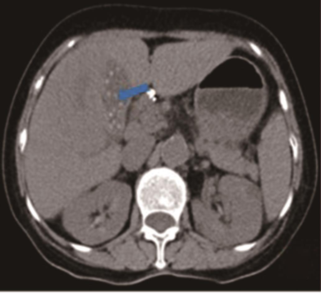
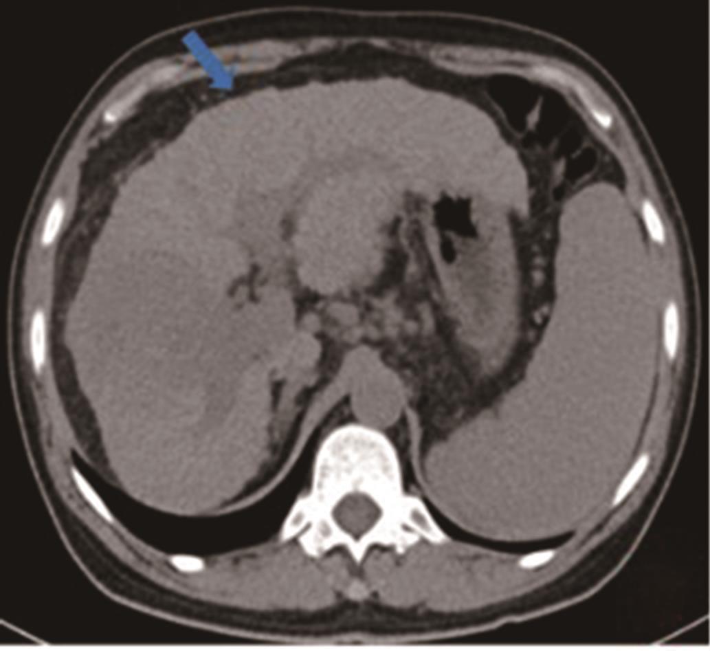
      摘要:目的 探讨增强电子计算机断层扫描(computer tomography,CT)在胆囊癌侵犯肝脏与肝癌累及胆囊病变中的鉴别诊断价值。方法 收集2012年2月到2022年2月重庆医科大学附属第一医院115例患者临床及影像学资料,其中胆囊癌侵犯肝脏病例69例,肝癌累及胆囊病例46例,记录性别、年龄、肿瘤大小、肿瘤边界、胆囊形态、肝硬化、胆管扩张、肿瘤内或胆管系统内高密度影、门静脉癌栓、强化方式、强化程度、淋巴结肿大及远处转移共13个观察指标,并进行统计学分析。结果 性别(P=0.007)、年龄(P=0.002)、肿瘤大小(P=0.003)、肝硬化(P<0.001)、肿瘤内或胆管系统内高密度影(P=0.013)、门静脉癌栓(P<0.001)、强化方式(P<0.001)及淋巴结肿大(P=0.034)有统计学差异。通过回归分析筛选出年龄(敏感度为0.812,特异度为0.457)、肿瘤大小(敏感度为0.630,特异度为0.696)、门静脉癌栓(敏感度为0.326,特异度为0.957)、淋巴结肿大(敏感度为0.681,特异度为0.522)为显著分类指标,联合4个观察指标的参数绘制受试者工作特征(receiver operating characteristic,ROC)曲线,曲线下面积(area under the curve,AUC)为0.770,敏感度为0.674,特异度为0.826。结论 增强CT在鉴别胆囊癌侵犯肝脏与肝癌累及胆囊病变时,性别、年龄、肿瘤大小、肝硬化、肿瘤内或胆管系统内高密度影、门静脉癌栓、强化方式及淋巴结肿大有鉴别价值,同时结合年龄、肿瘤大小、门静脉癌栓及淋巴结肿大有助于提高鉴别诊断能力。

      • 0+1
      • 1+1
      • 2+1
      • 3+1
      • 4+1
      • 5+1
      • 6+1
      • 7+1
      • 8+1
      • 9+1
      • 10+1
    • >临床研究 DOI:10.13406/j.cnki.cyxb.003174
    • 超声、PET/CT及两者联合检测对恶性黑色素瘤淋巴结转移的临床价值分析

      2023, 48(3):291-294. DOI: 10.13406/j.cnki.cyxb.003174

      摘要 (129) HTML (25) PDF 1.17 M (218) 评论 (0) 收藏

      摘要:目的 探讨超声、正电子发射断层成像/计算机断层成像(positron emission tomography/computed tomography,PET/CT)及两者联合检测对恶性黑色素瘤(malignant melanoma,MM)淋巴结转移评估的准确性,指导临床MM患者淋巴结活检及清扫的术前评估。方法 收集41例MM住院患者临床资料,分析术前淋巴结相关影像资料、术后淋巴结病理结果及病理结果跟影像结果的相关性。结果 超声、PET/CT以及两者联合检测的敏感度分别是47.36%、73.68%、78.95%,特异度分别是59.09%,86.36%、50.00%,准确度分别是53.66%、80.49%、63.41%,阳性预测值分别是50.00%、82.35%、57.69%,阴性预测值分别是56.52%,79.17%、73.33%,正确指数分别是6.45%、60.04%、28.95%。结论 PET/CT在评估MM术前淋巴结是否转移方面具有重要价值,其准确度、特异度、阳性预测值、阴性预测值均高于超声及两者联合检测,当PET/CT检查淋巴结转移为阴性时,应结合超声两者联合综合判断,避免淋巴结转移漏诊,提高淋巴结转移检出率,使MM患者早诊断、早治疗,从而获得最佳治疗效果。影像学虽然不能作为诊断标准和最终依据,但可指导临床行淋巴结活检手术前的评估,减少漏诊。

      • 0+1
      • 1+1
      • 2+1
      • 3+1
    • >临床研究 DOI:10.13406/j.cnki.cyxb.003191
    • 宫腔镜动力切割冷刀系统终止早期妊娠的临床应用

      2023, 48(3):295-298. DOI: 10.13406/j.cnki.cyxb.003191

      摘要 (214) HTML (63) PDF 3.55 M (195) 评论 (0) 收藏

      摘要:目的 探讨宫腔镜动力切割冷刀系统行早孕孕囊切除的可行性及在保护患者生育力方面的价值。方法 选取2020年12月至2021年12月在贵黔国际总医院因早孕要求终止妊娠的83例患者为研究对象,按照患者意愿分别行宫腔镜冷刀孕囊切除术(实验组,n=41)和超声引导下电吸人流术(对照组,n=42),统计2组患者的手术时间、术后残留、术后出血和腹痛时间、术后β-人绒毛膜促性腺激素(human chorionic gonadotropin,hCG)下降情况及术后宫腔粘连发生率。结果 2组患者均未发生严重并发症,2组术后β-hCG下降幅度一致,实验组患者手术时间、术后出血及疼痛时间较对照组长;实验组无术后宫腔粘连病例,而对照组有4例。结论 宫腔镜冷刀系统应用于终止早期妊娠中安全可行,能良好地保护患者再生育能力。

      • 0+1
      • 1+1
      • 2+1
      • 3+1
    • >临床研究 DOI:10.13406/j.cnki.cyxb.003182
    • 实体癌粒缺乏伴发热发生严重不良事件的危险因素分析及风险预测

      2023, 48(3):299-303. DOI: 10.13406/j.cnki.cyxb.003182

      摘要 (138) HTML (61) PDF 511.70 K (226) 评论 (0) 收藏

      摘要:目的 分析粒细胞缺乏伴发热(febrile neutropenia,FN)的实体癌患者发生严重不良事件(serious adverse events,SAE)的危险因素,并对稳定发热性中性粒细胞减少症临床指数(clinical index of stable febrile neutropenia,CISNE)与多国癌症支持治疗协会(Multinational Association of Supportive Care in Cancer,MASCC)风险分层模型的预测效能进行比较。方法 回顾性收集2016年1月至2021年6月重庆大学附属肿瘤医院诊治的所有经化疗后发生FN的实体癌患者。将患者分为SAE组和非SAE组,SAE的定义:①FN治疗期间出现感染性休克或脏器功能衰竭且必需转入ICU治疗;②FN发生后60 d内死亡。比较2组临床资料,采用二元logistic回归分析SAE的独立危险因素。计算患者CISNE评分和MASCC评分,比较CISNE、MASCC评分识别低危FN的效能。结果 共入选91例患者,其中SAE 18例(19.78%)。二元logistic回归分析发现SAE的独立危险因素为:ECOG评分≥2分、血钾<3.5 mmol/L、降钙素原(procalcitonin,PCT)≥0.5 ng/mL和单核细胞计数≤0.02×109个/L(OR=8.619、11.358、30.612、11.202,95%CI=1.124~66.094、1.696~76.047、5.013~186.947、1.889~66.440,P<0.05)。SAE组与非SAE组的CISNE、MASCC评分均具有统计学差异(P<0.05)。CISNE 0分(低危)与MASCC评分≥21分(低危)患者SAE的发生率明显低于非低危组(P<0.05)。CISNE 0分与MASCC≥21分识别低危FN的敏感性、特异性、阳性和阴性预测值分别为21.9%、100.0%、100.0%、24.0%和91.8%、38.9%、85.9%、53.8%。结论 ECOG评分≥2分、血钾<3.5 mmol/L、PCT≥0.5 ng/mL和单核细胞计数≤0.02×109个/L是FN患者发生SAE的独立危险因素。CISNE 0分比MASCC≥21分预测低危FN的特异性和阳性预测值更高。

    • >临床研究 DOI:10.13406/j.cnki.cyxb.003192
    • 郑州市2015年至2019年手足口病患者外周血炎症细胞和电解质水平变化与预后关联的巢式病例对照研究

      2023, 48(3):304-309. DOI: 10.13406/j.cnki.cyxb.003192

      摘要 (107) HTML (28) PDF 1.83 M (216) 评论 (0) 收藏

      摘要:目的 探讨血清炎症细胞和电解质水平变化与手足口病(hand-foot-mouth disease,HFMD)严重程度相关性。方法 采用巢式病例对照研究,选取2015年至2019年于河南省儿童医院住院的HFMD患儿为研究对象,绘制趋势图进行对比,并构建logistic回归模型预测手足口病重症化的危险因素。结果 logistic回归多因素分析中炎症细胞(白细胞、中性粒细胞比率、血小板计数)增加在轻、重症HFMD病程第1~3天差异有统计学意义(P<0.05);电解质水平改变(K+升高、Ca2+和Na+降低)在轻、重症HFMD病程第2~5天差异有统计学意义(P<0.05);重症HFMD组中居住地为农村、高热的比率明显高于普通HFMD组(P<0.05)。结论 炎症细胞(白细胞、中性粒细胞比率、血小板计数)增加和电解质水平改变(K+升高、Ca2+和Na+降低)可提示重症HFMD不同病程的进展,监测HFMD患者病程中外周血炎症细胞和电解质水平变化具有一定的临床价值,应加强对居住地为农村和高热HFMD患者的健康管理。

      • 0+1
      • 1+1
      • 2+1
      • 3+1
      • 4+1
      • 5+1
      • 6+1
      • 7+1
      • 8+1
      • 9+1
      • 10+1
    • >临床研究 DOI:10.13406/j.cnki.cyxb.003186
    • 中老年女性初潮年龄与高尿酸血症的关系及BMI的中介作用

      2023, 48(3):310-315. DOI: 10.13406/j.cnki.cyxb.003186

      摘要 (122) HTML (36) PDF 724.43 K (217) 评论 (0) 收藏

      摘要:目的 探讨中老年女性月经初潮年龄与高尿酸血症(hyperuricemia,HUA)患病的关系以及体质指数(body mass index,BMI)的介导作用。方法 以中国健康与养老追踪调查前瞻性研究项目2011年和2015年调查中,具有完整月经初潮与尿酸等信息的5 322名年龄≥45岁女性为研究对象。采用多因素logistic回归模型分析初潮年龄对HUA的影响,采用限制性立方样条函数分析初潮年龄与HUA的关系类型。通过中介分析探讨BMI在初潮年龄与HUA关系中的作用。结果 在5 322名女性中,274名(5.15%)患有HUA。调整混杂因素后,与月经初潮为8~13岁的女性相比,16~17岁及18~22岁组HUA的比值比(odds ratio,OR)与95%置信区间(confidence interval,CI)分别为0.643(0.429,0.964)、0.634(0.411,0.979)。初潮年龄与HUA存在线性负相关,初潮年龄每增加1岁,HUA风险降低6%。BMI部分介导了年龄和HUA的关系,直接效应和间接效应的OR与95%CI分别为0.936(0.878,0.999)和0.992(0.987,0.997)。结论 较晚的初潮年龄可降低HUA患病风险,初潮年龄过早与HUA风险增加相关。BMI在月经初潮年龄与HUA的关系中起部分中介作用。

      • 0+1
      • 1+1
      • 2+1
    • >临床研究 DOI:10.13406/j.cnki.cyxb.003197
    • 26例足月新生儿胃穿孔临床特征的回顾性研究

      2023, 48(3):316-321. DOI: 10.13406/j.cnki.cyxb.003197

      摘要 (117) HTML (39) PDF 583.51 K (190) 评论 (0) 收藏

      摘要:目的 分析足月新生儿胃穿孔(neonatal gastric perforation,NGP)的临床特征,为减少不良临床结局提供依据。方法 纳入2009年1月至2020年10月重庆医科大学附属儿科医院确诊为胃穿孔的住院足月新生儿,收集患儿的临床表现、治疗方案及出院后3个月内短期预后情况,分析临床特征。结果 26例确诊胃穿孔的足月儿纳入研究。男性多于女性(88.5% vs. 11.5%),中位入院年龄及发病年龄为分别为94.5(48.0,135.0)h及38.0(0.0,96.0)h。伴随临床表现中,以腹胀(69.2%)、呕吐(46.2%)和反应低下(30.8%)为主要表现。以血培养屎肠球菌(15.0%)、腹腔穿刺液培养溶血葡萄球菌(30.8%)为主,且2种培养结果的阴性率均高(55.0%、23.1%)。25例(96.2%)行腹部平片,21例(84.0%)检出气腹征象;9例(34.6%)行腹部超声,均无气腹征象,以腹水征象为主(88.9%)。胃穿孔部位最常见为胃底部(61.6%),以单发部位穿孔(92.3%)为主。18例(69.2%)行病理检查,以胃壁充血出血伴坏死(66.7%)为主。所有病例均接受急诊手术治疗,其中以胃穿孔修复+腹腔引流术为主(53.9%)。出院后3个月内随访,24例(92.3%)术后恢复良好,仅1例(3.9%)因最终拒绝再次手术,并放弃治疗后死亡。结论 足月NGP好发于男性及生后4 d内,当出现腹胀、呕吐及反应低下表现,需及时完善腹部平片检查了解有无气腹征象,若能及时手术,短期预后良好。

    • >临床研究 DOI:10.13406/j.cnki.cyxb.003195
    • 3种术式治疗直径>2 cm的肾结石疗效对比

      2023, 48(3):322-327. DOI: 10.13406/j.cnki.cyxb.003195

      摘要 (578) HTML (47) PDF 819.73 K (236) 评论 (0) 收藏

      摘要:目的 比较经皮肾镜、输尿管软镜及智能控压吸引系统联合输尿管软镜治疗>2 cm肾结石的安全性及有效性。方法 收集2019年1月至2022年3月重庆医科大学附属第一医院泌尿外科采用经皮肾镜、输尿管软镜及智能控压吸引系统联合输尿管软镜治疗>2 cm肾结石的90例患者(每组30例),比较3组手术时间、术中出血量、术后住院时间、住院费用、手术并发症发生情况及术后1个月结石清除率。结果 经皮肾镜组手术时间为(54.1±22.7) min,输尿管软镜组为(53.9±27.0) min,短于智能控压吸引系统联合输尿管软镜组的(81.0±28.2) min,有统计学差异(P<0.05)。输尿管软镜组术中出血量为(3.2±2.1) mL,智能控压吸引系统联合输尿管软镜组为(5.7±4.5) mL,少于经皮肾镜组的(16.1±17.2) mL,有统计学差异(P<0.05)。输尿管软镜组术后住院时间为(1.2±0.5) d,智能控压吸引系统联合输尿管软镜组为(1.5±1.7) d,短于经皮肾镜组的(6.4±5.2) d,有统计学差异(P<0.05)。智能控压吸引系统联合输尿管软镜组住院费用为(2.3±0.4)万元,少于输尿管软镜组的(2.7±0.4)万元,有统计学差异(P<0.05);经皮肾镜组为(2.6±0.7)万元,与其余2组无统计学差异(P>0.05)。输尿管软镜组发热发生率为33.3%,高于经皮肾镜组的10.0%,智能控压吸引系统联合输尿管软镜组为3.3%,有统计学差异(P<0.05)。经皮肾镜组肾盏撕裂出血发生率为3.3%,输尿管软镜组为0.0%,智能控压吸引系统联合输尿管软镜组为0.0%,无统计学差异(P>0.05)。智能控压吸引系统联合输尿管软镜组肾盂肾盏黏膜损伤发生率为3.3%,低于经皮肾镜组的26.7%和输尿管软镜组的40.0%,有统计学差异(P<0.05)。经皮肾镜组肾周血肿发生率为3.3%,输尿管软镜组为0.0%,智能控压吸引系统联合输尿管软镜组为0.0%,无统计学差异(P>0.05)。经皮肾镜组术后1个月结石清除率为73.3%,输尿管软镜组为20.0%,智能控压吸引系统联合输尿管软镜组为46.7%,3组间差异有统计学意义(P<0.05)。结论 经皮肾镜、输尿管软镜及智能控压吸引系统联合输尿管软镜治疗>2 cm肾结石都是可选择的,经皮肾镜在清石率方面最有优势,但并发症发生率高且较严重。智能控压吸引系统联合输尿管软镜清石率高于输尿管软镜且并发症发生率更低,智能控压吸引系统安全高效值得推广应用,3种术式应根据具体情况选择。

      • 0+1
      • 1+1
    • >临床研究 DOI:10.13406/j.cnki.cyxb.003180
    • 前列腺癌风险预测模型的构建与验证

      2023, 48(3):328-334. DOI: 10.13406/j.cnki.cyxb.003180

      摘要 (768) HTML (38) PDF 1.45 M (375) 评论 (0) 收藏

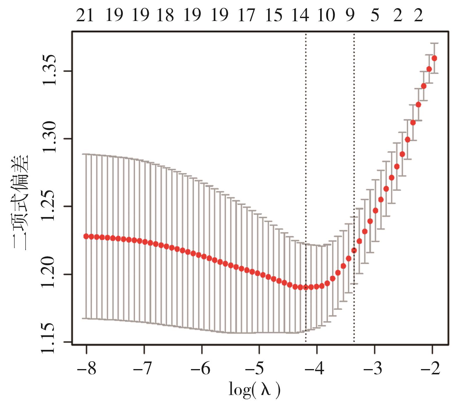
      摘要:目的 筛选前列腺癌(prostatic cancer,PCa)发病的影响因素,构建PCa风险预测模型并进行验证。方法 利用国家临床医学科学数据中心《前列腺肿瘤预警数据集》,对数据处理后将数据按7∶3随机分为建模组和验证组;使用最小绝对值收敛和选择算子(least absolute shrink-age and selection operator,LASSO)对建模组进行筛选,得到PCa特征指标;对特征指标进行多因素logistic回归分析,并利用其分析结果对建模组数据构建PCa风险预测模型,同时利用建模组数据进行内部评价及验证组数据内部验证。结果 共纳入880例样本数据,其中建模组616例,验证组264例;通过LASSO回归分析对筛选得到的14个特征指标进行多因素logistic回归分析,结果显示球蛋白(OR=1.112,95%CI=1.044~1.185)、无机磷(OR=65.167,95%CI=20.437~207.796)、总前列腺特异性抗原(total prostate specific antigen,tPSA)(OR=1.026,95%CI=1.014~1.037)与血清尿酸(OR=0.997,95%CI=0.994~0.999)的差异具有统计学意义(P<0.05),是PCa发病的独立影响因素;利用其构建的PCa风险预测模型内部评价和内部验证的校准曲线准确度较高;模型内部评价的曲线下面积(area under curve,AUC)为0.766(95%CI=0.728~0.804),患者的决策曲线分析(decision curve analysis,DCA)净获益率为9%~72%;而模型内部验证的AUC为0.704(95%CI=0.639~0.768),患者的DCA净获益率为18%~59%及63%~64%。结论 球蛋白、无机磷、tPSA与血清尿酸是PCa的独立影响因素,通过其构建的风险预测模型具有良好预测作用。

      • 0+1
      • 1+1
      • 2+1
      • 3+1
      • 4+1
      • 5+1
      • 6+1
      • 7+1
    • >临床研究 DOI:10.13406/j.cnki.cyxb.003175
    • 基于SEER数据库的原发性肝癌患者预后危险因素研究

      2023, 48(3):335-340. DOI: 10.13406/j.cnki.cyxb.003175

      摘要 (571) HTML (52) PDF 1.04 M (258) 评论 (0) 收藏

      摘要:目的 探讨原发性肝癌患者预后的危险因素,为该病患者的临床诊疗和预后判断提供科学依据。方法 以2018年监测、流行病学和结果(Surveillance,Epidemiology,and End Results,SEER)数据库原发性肝癌患者作为研究对象,收集人口学资料、临床指标和预后随访信息,运用单因素和多因素logistic回归分析影响患者术后生存的危险因素。采用一致性指数评价模型的预测能力,构建受试者工作特征曲线分析预测模型的效能。采用绘制森林图的方法对不同分期下肝癌患者的治疗方式进行分析。结果 该研究共收集2018年原发性肝癌患者1 750例。单因素logistic回归结果表明,肿瘤分期、淋巴结转移、远处转移、婚姻状况、放化疗及手术是影响原发性肝癌患者生存的危险因素(P<0.05);多因素logistic回归分析结果表明,肿瘤分期[T2/T3相对于T1,OR=5.142/3.390,95%CI=(3.654~7.236)/(2.327~4.939),P<0.001]、远处转移(OR=4.810,95%CI=3.384~6.839,P<0.001)、婚姻状况(OR=0.729,95%CI=0.575~0.925,P=0.009)、放疗(OR=0.361,95%CI=0.260~0.503,P<0.001)、化疗(OR=0.512,95%CI=0.381~0.687,P=0.001)以及手术(OR=0.245,95%CI=0.105~0.574,P=0.028)是影响肝癌患者生存的危险因素。将logistic回归中有意义的变量如肿瘤分期、远处转移、婚姻状况、放化疗和手术情况进行预测模型的构建,研究显示该模型一致性指数为0.786(95%CI=0.762~0.810),曲线下面积(area under the curve,AUC)为0.790(95%CI=0.764~0.812)。仅放疗这种干预方式在任何肿瘤分期的患者中都展现出了优势(P=0.003、P=0.013、P=0.003)。在未发生淋巴结转移的患者中无论哪种干预方式都会降低肝癌患者的病死率(P<0.001,P=0.001,P<0.001,P=0.004),但是在发生淋巴结转移的患者中,是否进行干预对肝癌患者的生存没有影响(P>0.05)。在未发生远处转移的患者中,仅进行放疗、化疗或化疗+放疗干预方式的患者与未进行干预的患者相比生存率更高(P<0.001,P=0.001,P<0.001,P=0.004),在发生远处转移的患者中,仅进行放疗的干预方式展现出优势(P=0.002)。结论 肿瘤分期、远处转移、婚姻状况、放化疗和手术情况是影响原发性肝癌预后的危险因素。

      • 0+1
      • 1+1
      • 2+1
      • 3+1
    • >文献综述 DOI:10.13406/j.cnki.cyxb.003178
    • 巨噬细胞亚型与破骨细胞形成关系的研究进展

      2023, 48(3):341-345. DOI: 10.13406/j.cnki.cyxb.003178

      摘要 (924) HTML (147) PDF 761.35 K (642) 评论 (0) 收藏

      摘要:免疫系统参与骨再生并在其中发挥重要作用。巨噬细胞作为免疫系统重要组成部分,具有高度可塑性,可以根据微环境变化向M1和M2亚型极化。近年来破骨细胞在骨再生中的作用逐渐受到重视,而巨噬细胞为破骨细胞前体细胞,通过巨噬细胞-破骨细胞轴在骨再生中发挥重要作用。哪一种亚型巨噬细胞更易融合形成破骨细胞目前仍存在争议。本文就近年来巨噬细胞极化亚型M1、M2与破骨细胞形成关系相关研究进展进行综述,旨在为后期相关研究提供全面依据及更全面的认知。

      • 0+1
    • >文献综述 DOI:10.13406/j.cnki.cyxb.003194
    • 抗体偶联药物治疗尿路上皮癌的研究进展

      2023, 48(3):346-352. DOI: 10.13406/j.cnki.cyxb.003194

      摘要 (568) HTML (109) PDF 584.46 K (237) 评论 (0) 收藏

      摘要:尿路上皮癌(urothelial carcinoma,UC)是泌尿系统常见的恶性肿瘤,在手术、化疗和免疫治疗等多种治疗措施下,仍有部分患者经历疾病复发、转移,预后不佳。抗体偶联药物(antibody-drug conjugate,ADC)兼有抗体药物的靶向性和化疗药物的细胞毒性,是近年来癌症个体化精准治疗的研究热点,成为这些患者新的选择。目前ADC治疗UC相关临床试验成果颇丰,靶向Nectin-4的Enfortomab Vedotin、靶向TROP-2的Sacituzumab Govitecan和靶向HER-2的Disitamab Vedotin已获批应用于临床,针对其他靶点的新型ADC也开始崭露头角。本文拟对最近的研究进展进行综述。

    • >文献综述 DOI:10.13406/j.cnki.cyxb.003179
    • TM6SF2在非酒精性脂肪肝病中的研究进展

      2023, 48(3):353-356. DOI: 10.13406/j.cnki.cyxb.003179

      摘要 (796) HTML (54) PDF 532.60 K (353) 评论 (0) 收藏

      摘要:非酒精性脂肪肝病(nonalcoholic fatty liver disease,NAFLD)是一类慢性肝脏疾病,以肝脏中甘油三酯(triglycerides,TG)异常积聚为特征,其发病率逐年增加,是目前最常见的肝脏疾病。跨膜6超家族成员2(transmembrane 6 superfamily member 2,TM6SF2)属于跨膜蛋白超家族成员,大量研究证实TM6SF2在NAFLD的发生发展中起重要作用。本文就TM6SF2在NAFLD中的作用及可能机制进行综述。

    • >文献综述 DOI:10.13406/j.cnki.cyxb.003196
    • 糖尿病肾病相关基因多态性的研究进展

      2023, 48(3):357-361. DOI: 10.13406/j.cnki.cyxb.003196

      摘要 (527) HTML (42) PDF 505.43 K (262) 评论 (0) 收藏

      摘要:糖尿病肾病(diabetic kidney disease,DKD)的发病机制尚未完全清楚。近年来,随着基因测序手段的发展,越来越多证据显示DKD可能是遗传和环境相互作用的结果。了解基因多态性与糖尿病肾病之间的关系,不仅有助于DKD的预防和诊断,也为设计研发新型药物提供新思路。本文就DKD与基因多态性之间的联系进行阐述。

    • >个案报道 DOI:10.13406/j.cnki.cyxb.003034
    • 儿童横纹肌溶解症合并心包填塞、心肌肥厚1例报道

      2023, 48(3):362-365. DOI: 10.13406/j.cnki.cyxb.003034

      摘要 (107) HTML (36) PDF 9.91 M (361) 评论 (0) 收藏

      摘要:

      • 0+1
      • 1+1
      • 2+1
    • >个案报道 DOI:10.13406/j.cnki.cyxb.003035
    • 胆囊腺癌伴印戒细胞癌1例

      2023, 48(3):366-368. DOI: 10.13406/j.cnki.cyxb.003035

      摘要 (95) HTML (52) PDF 4.60 M (255) 评论 (0) 收藏

      摘要:

      • 0+1
      • 1+1
      • 2+1
      • 3+1
      • 4+1
      • 5+1
      • 6+1
    • >基础研究
    • 骨形成蛋白2基因多态性与冠脉钙化相关性研究

      2023, 48(3):248-254. DOI: 10.13406/j.cnki.cyxb.003188

      摘要 (96) HTML (22) PDF 1.65 M (232) 评论 (0) 收藏

      摘要:目的 研究骨形成蛋白2(bone morphogenetic protein 2,BMP2)基因多态性在重庆汉族人群中的分布及与冠脉钙化(coronary artery calcification,CAC)的相关性。方法 收集2019年3月至2019年5月260例重庆医科大学附属第一医院心内科重庆汉族冠脉造影患者临床资料及血液样本,通过测序检测患者BMP2 rs961253、rs235768、rs1049007,OPG rs2073617、rs2073618, S100A12 rs2916191基因位点序列,应用ELISA法检测血清BMP2、OPG、S100A12水平。结果 CAC组167例,年龄(67.13±9.64)岁;对照组93例,年龄(60.46±9.89)岁。高血压、糖尿病、肥胖患者更容易发生CAC,CAC组男性发病率、载脂蛋白A1、C反应蛋白、白细胞数以及血清BMP2、S100A12、OPG水平明显高于对照组(P<0.05)。BMP2 rs961253基因型频率及等位基因频率分布在CAC组和对照组之间有统计学差异(P<0.05)。钙化组中,BMP2 TT基因型血清BMP2水平明显高于非TT型(P<0.05)。通过校正性别、年龄、体质指数、高血压、糖尿病等影响因素后,多因素逐步logistic回归分析发现BMP2 rs961253 TT基因型人群患CAC风险较高。结论 血清BMP2水平可作为预测CAC的指标之一。BMP2 rs961253基因多态性与CAC显著相关,BMP2 rs961253 T等位基因或TT基因型是CAC的高危因素。

      • 0+1
      • 1+1
      • 2+1
      • 3+1
      • 4+1
      • 5+1
      • 6+1

主管单位 :重庆市教育委员会

主办单位 :重庆医科大学

编辑部 :《重庆医科大学学报》编辑部

主编:黄爱龙

编辑部主任 :唐秋姗

国际标准刊号:ISSN 0253-3626

国内统一刊号:CN 50-1046/R

  • 浏览排行
  • 引用排行
  • 下载排行
按检索
检索词