• 2023年第48卷第4期文章目次
    全 选
    显示方式: |
    • >基础研究
    • 鸦胆子苦醇调节Nrf2/SLC7A11/GPX4信号通路对皮肤鳞癌细胞铁死亡的影响

      2023, 48(4):369-374. DOI: 10.13406/j.cnki.cyxb.003198

      摘要 (723) HTML (64) PDF 1.70 M (370) 评论 (0) 收藏

      摘要:目的 探讨鸦胆子苦醇调节核因子E2相关因子2(nuclear factor erythroid-2 related factor 2,Nrf2)/溶质载体家族7成员11(solute carrier family 7 member 11,SLC7A11)/谷胱甘肽过氧化物酶4(glutathione peroxidase 4,GPX4)信号通路对皮肤鳞癌(cutaneous squamous cell carcinoma,cSCC)细胞铁死亡的影响。方法 CCK-8法检测0、100、250、500、700、900 nmol/L鸦胆子苦醇处理后人cSCC细胞系A431细胞增殖率,筛选出合适的鸦胆子苦醇作用浓度。体外培养的A431细胞随机分为对照组、鸦胆子苦醇低剂量组、鸦胆子苦醇高剂量组、特丁基对苯二酚(tert-butylhydroquinone,TBHQ;Nrf2激活剂)组、鸦胆子苦醇高剂量+TBHQ组,以鸦胆子苦醇和TBHQ分组处理后,采用CCK-8法、Hoechst 33342染色法检测各组A431细胞增殖与凋亡;采用试剂盒检测各组A431细胞抗氧化因子[谷胱甘肽(glutathione,GSH)、过氧化氢酶(catalase,CAT)、超氧化物歧化酶(superoxide dismutase,SOD)]水平及铁死亡指标[铁含量、活性氧(reactive oxygen species,ROS)及丙二醛(malondialdehyde,MDA)]水平;采用免疫印迹实验检测各组A431细胞增殖、凋亡及Nrf2/SLC7A11/GPX4信号通路相关蛋白表达。结果 与对照组相比,鸦胆子苦醇低、高剂量组细胞增殖率、GSH及CAT、SOD水平,以及增殖细胞核抗原(proliferating cell nuclear antigen,PCNA)及Bcl-2、Nrf2、SLC7A11、GPX4蛋白表达均降低(P<0.05),凋亡率、铁含量、ROS及MDA水平和Bax蛋白表达均升高(P<0.05);鸦胆子苦醇高剂量组细胞增殖率、GSH及CAT、SOD水平,以及PCNA及Bcl-2、Nrf2、SLC7A11、GPX4蛋白表达相比鸦胆子苦醇低剂量组进一步降低(P<0.05),凋亡率、铁含量、ROS及MDA水平和Bax蛋白表达进一步升高(P<0.05);TBHQ组细胞增殖率、GSH及CAT、SOD水平,以及PCNA及Bcl-2、Nrf2、SLC7A11、GPX4蛋白表达升高(P<0.05),凋亡率、铁含量、ROS及MDA水平和Bax蛋白表达降低(P<0.05)。与鸦胆子苦醇高剂量组相比,鸦胆子苦醇高剂量+TBHQ组细胞增殖率、GSH及CAT、SOD水平,以及PCNA及Bcl-2、Nrf2、SLC7A11、GPX4蛋白表达升高(P<0.05),凋亡率、铁含量、ROS及MDA水平和Bax蛋白表达降低(P<0.05)。结论 鸦胆子苦醇通过下调Nrf2/SLC7A11/GPX4信号通路而促进铁死亡,诱导cSCC细胞凋亡,并抑制其增殖。

      • 0+1
      • 1+1
      • 2+1
      • 3+1
      • 4+1
      • 5+1
      • 6+1
      • 7+1
      • 8+1
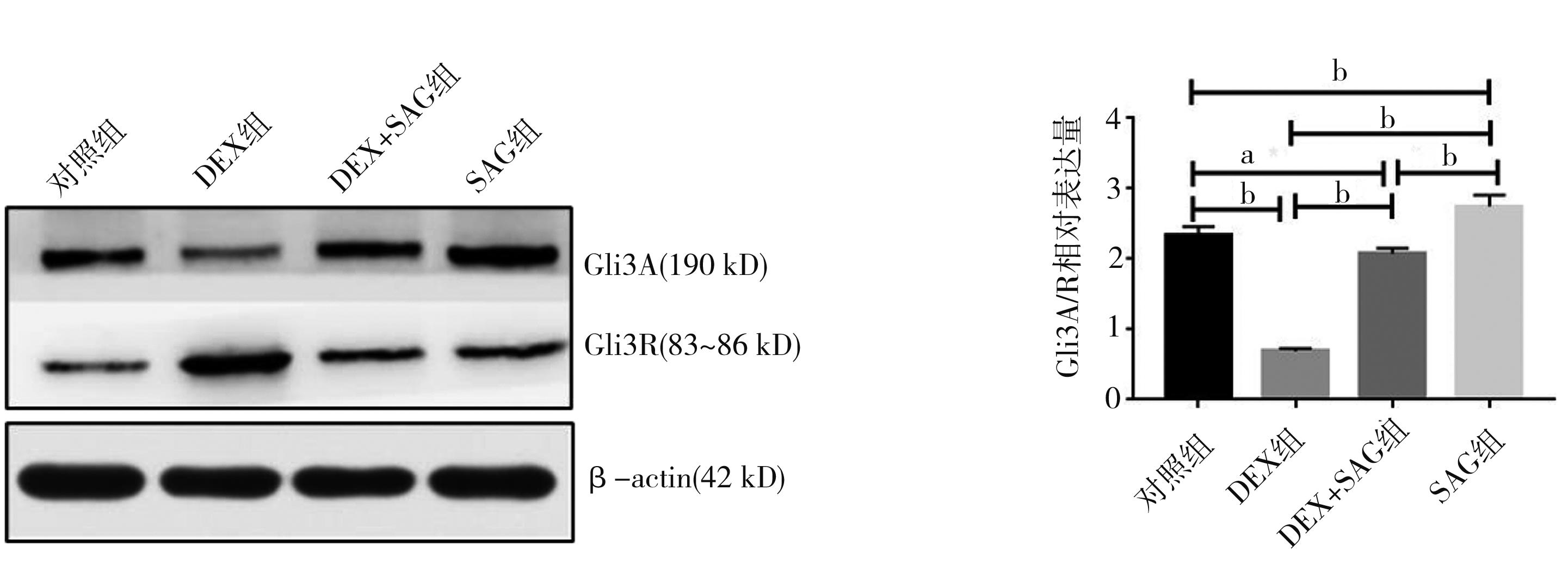
    • Shh信号通路变化对小鼠胚胎腭突间充质细胞自噬的影响

      2023, 48(4):375-380. DOI: 10.13406/j.cnki.cyxb.003208

      摘要 (150) HTML (46) PDF 3.50 M (351) 评论 (0) 收藏

      摘要:目的 探讨地塞米松(dexamethasone,DEX)及平滑激动剂(smoothened agonist,SAG)干预下小鼠胚胎腭突间充质细胞Shh信号通路改变后,小鼠胚胎腭突间充质细胞自噬状态的变化。方法 体外培养胚胎14.5 d的C57BL/6J小鼠胚胎腭突间充质细胞,根据干预方式分为4组:对照组、地塞米松组(DEX组)、地塞米松+SAG组(DEX+SAG组)、单独SAG干预组(SAG组)。通过透射电镜观察各组细胞自噬体或自噬溶酶体的数量,Western blot检测各组Shh、Ptch1、Smo、Gli3A/R、Cyclin D1及自噬标志物LC3Ⅱ/Ⅰ和P62、Beclin-1的表达情况。结果 电镜结果显示,对照组和DEX 组中自噬体/自噬溶酶体的数量无明显差异,而SAG干预后可观察到大量自噬体/自噬溶酶体。Western blot结果显示,与对照组相比,P62、Ptch1、Smo、Gli3A/R、CyclinD1在DEX组中明显降低(P<0.05),LC3Ⅱ/Ⅰ、Beclin1表达无明显变化(P>0.05);DEX+SAG组及SAG组中Ptch1、Smo、Gli3A/R、CyclinD1的表达与DEX组相比明显升高(P<0.05),Shh表达无明显差异(P>0.05),Beclin1表达明显升高(P<0.05),P62表达明显降低(P<0.05);与SAG组相比,DEX+SAG组中Smo、Gli3A/R、Ptch1、CyclinD1表达明显降低(P<0.05),Shh表达无明显差异(P>0.05),LC3Ⅱ/Ⅰ、Beclin1明显升高(P<0.05),P62表达明显降低(P<0.05)。结论 DEX可抑制小鼠胚胎腭突间充质细胞的Shh信号通路,激活Shh信号通路,诱发小鼠胚胎腭突间充质细胞产生自噬且Shh通路抑制后再激活,细胞自噬更加明显。

      • 0+1
      • 1+1
      • 2+1
      • 3+1
      • 4+1
      • 5+1
      • 6+1
      • 7+1
      • 8+1
      • 9+1
      • 10+1
      • 11+1
      • 12+1
      • 13+1
    • 人参皂苷 Rg1对大鼠非酒精性脂肪性肝病和肠道菌群影响的研究

      2023, 48(4):381-389. DOI: 10.13406/j.cnki.cyxb.003212

      摘要 (155) HTML (49) PDF 4.33 M (480) 评论 (0) 收藏

      摘要:目的 探讨人参皂苷Rg1对大鼠非酒精性脂肪性肝病(non-alcoholic fatty liver disease,NAFLD)的改善情况及对肠道菌群的潜在影响。方法 将24只大鼠随机分为对照组、高脂高糖(high-fat and high-sugar,HFHS)组、人参皂苷Rg1低剂量治疗组、人参皂苷Rg1高剂量治疗组。采用HFHS饮食喂养制备大鼠NAFLD模型,给予人参皂苷Rg1灌胃干预治疗4周。麻醉处死大鼠,测量各组大鼠的体质量和肝重,计算肝重/体质量的比值;采用酶联免疫吸附实验(enzyme-linked immunosorbent assay,ELISA)分别检测各组大鼠血清总胆固醇(total cholesterol,TC)、甘油三酯(triglyceride,TG)、丙氨酸转氨酶(alanine aminotransferase,ALT)、天冬氨酸转氨酶(aspartate aminotransferase,AST)、低密度脂蛋白胆固醇(low density lipoprotein cholesterol,LDL-C)、高密度脂蛋白胆固醇(high density lipoprotein cholesterol,HDL-C)、谷胱甘肽过氧化物酶(glutathione peroxidase,GSH-px)、超氧化物歧化酶(superoxide dismutase,SOD)及丙二醛(malondialdehyde,MDA)的含量变化;采用苏木精-伊红(hematoxylin eosin,HE)染色法观察各实验组肝脏脂肪变性情况;采用16S rRNA基因高通量测序检测各组大鼠肠道微生物改变情况。结果 人参皂苷 Rg1干预治疗可降低NAFLD大鼠的体质量(P<0.01)和肝重(P<0.05);HE染色结果显示,人参皂苷 Rg1干预治疗可有效减轻NAFLD大鼠肝脏的脂肪变性(P<0.05);ELISA检测结果显示,人参皂苷Rg1干预治疗可降低NAFLD大鼠血清TG、TC、ALT、AST、LDL-C、MDA等指标的表达(P<0.05),HDL-C、GSH-px等指标在人参皂苷Rg1干预治疗后表达显著升高(P<0.05);肠道微生物α多样性分析结果显示,给予高剂量人参皂苷Rg1干预治疗可增加NAFLD大鼠肠道微生物α多样性(P<0.05);β多样性结果显示,给予人参皂苷Rg1干预治疗可显著改变NAFLD大鼠肠道微生物组成(P<0.01);线性判别分析结果显示,高剂量人参皂苷Rg1干预治疗后,其肠道微生物中的优势物种为毛螺菌属、双歧杆菌属、拟杆菌属、厌氧螺旋菌属等肠道益生菌。结论 人参皂苷 Rg1干预治疗可减轻NAFLD大鼠肝脂肪病变和氧化应激反应,其作用机制可能与Rg1改善NAFLD大鼠肠道微生物结构和多样性,以及增加肠道益生菌的丰度有关。

      • 0+1
      • 1+1
      • 2+1
      • 3+1
      • 4+1
      • 5+1
      • 6+1
      • 7+1
    • BMP9诱导可逆永生化小鼠瓣膜间质细胞成骨能力研究

      2023, 48(4):390-397. DOI: 10.13406/j.cnki.cyxb.003187

      摘要 (146) HTML (53) PDF 4.13 M (446) 评论 (0) 收藏

      摘要:目的 建立具有快速增殖能力的可逆永生化主动脉瓣膜间质细胞系。方法 体视显微镜下利用弹簧剪夹取瓣膜组织,胶原酶消化后加入逆转录永生化病毒,利用免疫荧光鉴定细胞是否属于间质细胞,显微镜观察细胞形态,结晶紫、CCK-8和流式细胞周期技术检测细胞增殖能力,碱性磷酸酶染色和茜素红钙盐沉积实验检测细胞成骨能力,q-PCR及Western blot检测细胞成骨标志物。结果 经光镜观察和免疫荧光鉴定,成功取到瓣膜间质细胞。加入永生化病毒后,经光镜观察和免疫荧光确认瓣膜间质细胞未发生表型改变,且在永生化的细胞中能够检测到大量SV40T(P<0.001)。结晶紫染色、CCK-8(P<0.001)和流式细胞周期结果提示永生化后的瓣膜间质细胞增殖速度变快。加入成骨诱导因子骨形态发生蛋白-9(bone morphogenetic protein 9,BMP9)后永生化瓣膜间质细胞表现出较好的成骨能力,多数成骨标志物在分子层面的RNA和蛋白水平明显升高。去永生化后瓣膜间质细胞形态无明显改变,q-PCR结果显示SV40T明显降低(P<0.001),细胞增殖能力明显下降,且细胞周期被阻滞在G0/G1期。在BMP9诱导下去永生化瓣膜间质细胞同样具有成骨分化能力,且绝大多数成骨标志物都明显上升。结论 本研究成功建立可逆永生化瓣膜间质细胞系,BMP9可诱导其成骨分化,用于后续钙化性主动脉瓣膜疾病研究。

      • 0+1
      • 1+1
      • 2+1
      • 3+1
      • 4+1
      • 5+1
      • 6+1
      • 7+1
      • 8+1
      • 9+1
      • 10+1
      • 11+1
    • 细针穿刺检测BRAFV600E突变丰度与甲状腺乳头状癌临床病理特征的相关性

      2023, 48(4):398-403. DOI: 10.13406/j.cnki.cyxb.003204

      摘要 (212) HTML (37) PDF 642.16 K (363) 评论 (0) 收藏

      摘要:目的 探讨术前细针穿刺基因检测BRAFV600E突变丰度与甲状腺乳头状癌(papillary thyroid cancer,PTC)临床病理特征的关系。方法 回顾性统计2021年1月30日至2022年2月28日就诊于南京中医药大学附属中西医结合医院的301例患者临床资料,术前细针穿刺基因检测示BRAFV600E突变(含突变丰度检测),所有患者完成甲状腺癌根治术,术后病理证实为甲状腺乳头状癌,分析BRAFV600E基因突变丰度与临床病理特征的关系。结果 纳入301例患者,男91例,女210例,年龄42(33~51)岁,范围18~69岁。肿瘤直径>1 cm的患者BRAFV600E基因突变丰度高于肿瘤直径≤1 cm者[29.05(18.03~37.56) vs. 18.35(6.74~29.61),P<0.001],颈部淋巴结转移患者BRAFV600E基因突变丰度高于无颈部淋巴结转移者[24.72(8.08~34.32) vs. 18(8.68~28.54),P=0.040]。男女分开统计,女性颈部淋巴结转移患者BRAFV600E基因突变丰度高于无颈部淋巴结转移者[25.75(9.62~34.30) vs. 17.47(7.27~26.86),P=0.007],男性患者BRAFV600E基因突变丰度与颈部淋巴结转移无明显相关性(P=0.654)。通过受试者工作特征(receiver operating characteristic,ROC)曲线分析BRAFV600E突变丰度诊断女性PTC患者颈部淋巴结转移的效能,曲线下面积(area under the curve,AUC)为0.609(95%CI=0.532~0.686),取截断值25.68%。多因素分析显示,年龄<55岁(OR=0.138~0.735,P=0.007)、BRAFV600E突变丰度≥25.68%(OR=1.271~4.65,P=0.007)、多灶(OR=1.282~4.623,P=0.007)、肿瘤直径>1 cm(OR=2.257~11.927,P<0.001)与女性PTC患者颈部淋巴结转移有明显相关性(P<0.05)。结论 BRAFV600E突变丰度与PTC患者肿瘤直径、颈部淋巴结转移明显相关。BRAFV600E突变丰度≥25.68%的女性PTC患者颈部淋巴结转移率明显升高。

      • 0+1
    • SMYD2在宫颈癌中的表达变化及意义

      2023, 48(4):404-410. DOI: 10.13406/j.cnki.cyxb.003214

      摘要 (153) HTML (49) PDF 2.45 M (326) 评论 (0) 收藏

      摘要:目的 探讨组蛋白赖氨酸甲基转移酶SET和MYND结构域蛋白2(SET and MYND domain-containing protein 2,SMYD2)在宫颈癌细胞糖代谢中的作用,进一步研究其是否与宫颈癌增殖有关。方法 通过基因表达谱交互分析(gene expression profiling interactive analysis,GEPIA)数据库分析SMYD家族成员在宫颈癌中的表达和预后价值,通过log-rank检验进行生存差异比较。通过SMYD2的shRNA敲低或过表达技术来研究SMYD2在宫颈癌中的糖代谢作用。结果 宫颈癌组织中SMYD2的表达与患者年龄、性别、肿瘤组织分化程度无关,SMYD2的过表达预示总体生存期较差与临床分期相关(F=4.520,P=0.004)。生物信息分析揭示了SMYD2在调控宫颈癌中Warburg效应中发挥调节作用。通过功能缺失实验,证明SMYD2的敲低抑制了宫颈癌细胞的有氧糖酵解,表现为葡萄糖摄取减少,乳酸生成降低和细胞外酸化减弱,而SMYD2过表达则促进子宫颈癌细胞的糖酵解代谢。此外,SMYD2是宫颈癌细胞生长所必需的,并且这种致癌作用主要依赖糖酵解。结论 SMYD2在宫颈癌细胞中过表达并在肿瘤代谢中发挥重要作用,能够通过调节有氧酵解促进宫颈癌细胞增殖。

      • 0+1
      • 1+1
      • 2+1
      • 3+1
      • 4+1
      • 5+1
      • 6+1
      • 7+1
      • 8+1
      • 9+1
      • 10+1
      • 11+1
      • 12+1
      • 13+1
      • 14+1
    • MCU通过LETM1维持线粒体钙稳态调节口腔鳞状细胞癌细胞转移

      2023, 48(4):411-416. DOI: 10.13406/j.cnki.cyxb.003205

      摘要 (143) HTML (44) PDF 3.35 M (292) 评论 (0) 收藏

      摘要:目的 探讨线粒体钙离子单向转运蛋白(mitochondrial calcium uniporter,MCU)与亮氨酸拉链/EF跨膜蛋白-1(leucine zipper/EF hand-containing transmembrane-1,LETM1)在调控线粒体钙稳态机制中的作用以及对口腔鳞状细胞癌细胞转移的影响。方法 选用口腔鳞状细胞癌CAL-27细胞株作为研究对象,构建MCU慢病毒干扰载体和过表达质粒,合成LETM1 siRNA干扰序列。采用细胞划痕实验、Transwell细胞侵袭实验检测MCU表达水平对CAL-27细胞侵袭、迁移的影响;细胞内钙离子荧光探针(Fluo-4 AM)以及JC-1线粒体膜电位测定实验检测MCU表达水平对CAL-27细胞内钙离子浓度及线粒体膜电位的影响;免疫荧光和Western blot检测CAL-27细胞内MCU、LETM1以及上皮-间充质转化(epithelial-mesenchymal transition,EMT)相关蛋白表达水平。结果 MCU过表达促进CAL-27细胞迁移和侵袭,MCU沉默组及MCU过表达联合LETM1 siRNA组细胞迁移和侵袭能力均明显受到抑制(F=45.302、1 300.246;均P>0.05);MCU过表达组细胞内钙荧光强度和线粒体膜电位明显上调,MCU沉默组和MCU过表达联合LETM1 siRNA组细胞内钙荧光强度和线粒体膜电位水平均明显降低(F=75.585、141.767;均P<0.01);MCU过表达组MCU、LETM1、N-cadherin以及Vimentin蛋白表达水平明显升高,而E-cadherin蛋白表达水平明显降低;MCU沉默组MCU、LETM1、N-cadherin及Vimentin蛋白表达水平较其他处理组明显降低,而E-cadherin蛋白表达水平明显升高(均P<0.01)。结论 MCU可调控LETM1及EMT标志物的表达,干扰LETM1可阻断MCU上调线粒体钙离子浓度和线粒体膜电位水平,降低口腔鳞状细胞癌细胞侵袭和迁移能力。

      • 0+1
      • 1+1
      • 2+1
      • 3+1
      • 4+1
      • 5+1
      • 6+1
      • 7+1
      • 8+1
      • 9+1
      • 10+1
      • 11+1
      • 12+1
      • 13+1
      • 14+1
      • 15+1
      • 16+1
      • 17+1
      • 18+1
      • 19+1
      • 20+1
    • >临床研究
    • 甘油三酯-葡萄糖指数对急性心肌梗死患者经皮冠状动脉介入治疗后长期预后的影响

      2023, 48(4):417-422. DOI: 10.13406/j.cnki.cyxb.003202

      摘要 (119) HTML (46) PDF 685.46 K (319) 评论 (0) 收藏

      摘要:目的 评估甘油三酯-葡萄糖指数(triglyceride-glucose index,TyG指数)对接受经皮冠状动脉介入治疗的急性心肌梗死(acute myocardial infarction,AMI)患者长期主要不良心血管事件(major adverse cardiovascular events,MACE)的预测作用。方法 回顾性分析2012年12月至2018年10月连续收治于北京石景山医院诊断为AMI并行经皮冠状动脉介入治疗的患者。TyG指数计算公式为:ln[空腹甘油三酯(mg/dL)×空腹血糖(mg/dL)/2]。根据TyG指数三分位数将患者分为3组,记录其临床、实验室资料及MACE(包括全因死亡、非致死性心肌梗死或再次血运重建)。采用Cox风险回归分析进行单因素和多因素分析。结果 临床中位随访时间为31(21~41)个月,随访中死亡45例(9.3%),发生MACE事件91例(24.2%)。随着TyG指数的增高,MACE发生率明显增高(P=0.027)。发生MACE的患者年龄更大,有更高水平的TyG指数、空腹血糖、糖化血红蛋白(glycated hemoglobin,HbA1c)和尿酸,既往有糖尿病史、脑血管病史、Killip分级大于1和三支病变所占的比例更高。多因素Cox回归分析表明,校正其他因素后,TyG指数是长期(1年以上)死亡率的独立预测因子(HR=1.656,95%CI=1.226~2.237;P=0.001)。Kaplan-Meier分析显示,高TyG指数组患者发生MACE事件的生存率最低(P=0.011)。结论 TyG指数是接受经皮冠状动脉介入治疗的AMI患者长期MACE事件发生的独立预测因子。

      • 0+1
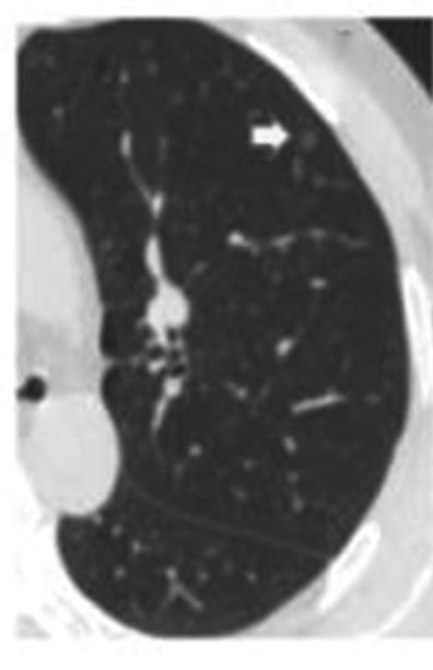
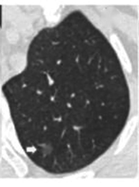
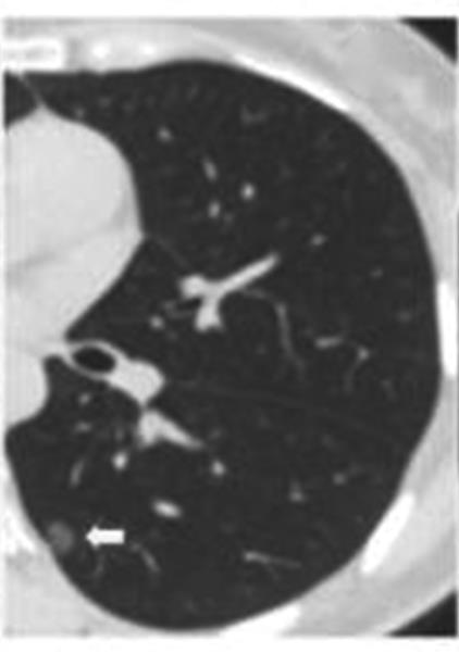
    • 纯磨玻璃结节肺腺癌CT征象与其浸润程度的相关性分析及预测模型构建

      2023, 48(4):423-429. DOI: 10.13406/j.cnki.cyxb.003200

      摘要 (138) HTML (44) PDF 1.10 M (286) 评论 (0) 收藏

      摘要:目的 探究纯磨玻璃结节(pure ground-glass nodule,pGGN)肺腺癌计算机断层扫描(computed tomography,CT)征象与其浸润程度的相关性,建立CT征象与浸润程度的预测模型。方法 回顾性分析424例经手术切除、病理活检证实且胸部CT表现为pGGN的肺腺癌患者临床资料及CT征象,根据病理活检结果分为非典型腺瘤样增生、原位腺癌、微浸润腺癌和浸润性腺癌4组,对组间差异采用卡方检验或Fisher确切概率法进行统计分析。对有统计学意义的结果,使用怀卡托智能分析环境(Waikato environment for knowledge analysis,WeKa)中的6种学习算法进行预测模型构建,并验证准确性,挑选出最适用于本研究的预测模型。结果 4组间在结节直径、结节密度值上的差异具有统计学意义(P<0.001),对应的直径平均值分别为6.90、8.65、10.71、14.56 mm,对应的密度平均值分别为-633.16、-543.04、-401.03、-322.94 HU,随着病灶的浸润程度加重,结节的直径及密度值呈现明显的上升趋势。4组间在结节边界、分叶、毛刺、血管穿行、胸膜凹陷、空气支气管征、空泡征等的差异具有统计学意义(P<0.05),而结节的生长位置,年龄、吸烟史、直系亲属肺癌家族史等差异无统计学意义(P>0.05)。随机森林算法所构建的模型预测准确率为76.42%~79.72%,Kappa系数为0.597~0.670,受试者工作特征(receiver operating characteristic,ROC)曲线下面积均大于0.9,在误差指标中表现最优,是最适合于本研究的预测模型。结论 pGGN的不同CT征象与其浸润程度密切相关,可以用于建立预测模型。基于随机森林算法所建模型,在有创干预前早期快速识别pGGN浸润程度的平均准确率为78.07%,准确度最高,对肺癌预测具有潜在应用价值。

      • 0+1
      • 1+1
      • 2+1
      • 3+1
      • 4+1
    • 高血压和2型糖尿病对心脏搭桥术后早期心率变异性影响程度的探讨

      2023, 48(4):430-433. DOI: 10.13406/j.cnki.cyxb.003209

      摘要 (148) HTML (59) PDF 522.86 K (356) 评论 (0) 收藏

      摘要:目的 探究行非体外循环下冠状动脉搭桥术(off-pump coronary artery bypass grafting,OPCABG)患者围术期心率变异性(heart rate variability,HRV)的变化趋势,以及高血压和(或)2型糖尿病(type 2 diabetes mellitus,T2DM)因素对这种趋势的影响程度。方法 回顾性研究2020年12月至2022年3月因冠状动脉粥样硬化性心脏病需要行OPCABG的521名患者住院期间的基线资料与围手术期7 d动态心电图记录的相关指标来反映HRV的早期改变。根据患者既往是否患有高血压和(或)T2DM将患者分为A、B、C、D 4组:A组(患有高血压合并T2DM,n=118)、B组(单纯患有高血压,n=183)、C组(单纯患有T2DM,n=81)、D组(既往无高血压且无T2DM,n=139)。对521名患者行独立样本t检验,观察患者行OPCABG围术期全部窦性心搏RR间期的标准差(standard deviation of NN intervals,SDNN)与相邻正常心动周期差值的均方的平方根(root-mean-square of difference-value of adjacent RR interval,rMSSD)的变化,同时对4组患者行单因素ANOVA检验,再行邦弗伦尼事后检验行组间比较观察组间关系,探究高血压、糖尿病与HRV之间的关系。结果 OPCABG围手术期心率变异性的时域指标SDNN与rMSSD较术前降低[SDNN:(89.744±23.350) ms vs. (58.027±13.565) ms,rMSSD:(29.184±13.060) ms vs. (20.132 ± 9.298) ms,均P<0.05];高血压合并T2DM组术后7 d SDNN指标为(51.258±10.358) ms,低于高血压组的(59.271±11.858) ms(P<0.001),高血压合并T2DM组为(51.258±10.358) ms,低于T2DM组的(55.273±9.538) ms(P=0.182);OPCABG术后rMSSD指标为20.132±9.298,低于术前的29.184±13.061(P<0.001)。结论 术后早期患者HRV功能受损严重;OPCABG术后既往高血压合并T2DM的患者SDNN指标下降最为明显,T2DM因素对术后早期HRV下降较高血压因素起的作用更大,T2DM对术后早期交感神经与副交感神经协调功能紊乱起较大作用;术后患者迷走神经功能整体下降,高血压和T2DM因素对于术后早期迷走神经功能下降的影响特异性不大。

    • 比较离断性肾盂成形术不同手术方式治疗小儿肾盂输尿管连接部狭窄所致肾积水的效果分析

      2023, 48(4):434-438. DOI: 10.13406/j.cnki.cyxb.003203

      摘要 (133) HTML (58) PDF 527.90 K (280) 评论 (0) 收藏

      摘要:目的 比较离断性肾盂成形术不同手术方式治疗小儿先天性肾盂输尿管连接部狭窄(ureteropelvic junction obstruction,UPJO)所致肾积水的效果。方法 回顾性选取安徽省儿童医院2019年1月至2021年10月收治的90例小儿UPJO所致肾积水患儿临床资料,根据手术方式分为腹腔镜组(n=49)和常规组(n=41),腹腔镜患儿采用三孔腹腔镜离断式肾盂成形术治疗,常规组患儿采用腰腹部横切口离断式肾盂成形术治疗。对比2组患儿术中吻合时间、术中出血量、手术切口长度以及术后对乙酰氨基酚用量;对比2组患儿手术前后肾盂前后径和肾皮质厚度;对比2组患者术后平均住院时间、术后平均进食时间以及术后住院费用;对比2组患儿术后切口感染、尿外渗、发热等并发症发生率。结果 与常规组患儿相比,腹腔镜组患儿术中吻合时间和手术切口长度更短,术中出血量和术后对乙酰氨基酚用量更低(P<0.05);手术后,相比于常规组,腹腔镜组患儿肾盂前后径更低,肾皮质厚度更高(P<0.05);与常规组患儿相比,腹腔镜组患儿术后平均住院时间更短,术后平均进食时间更短,术后住院费用更低(P<0.05);腹腔镜组患儿并发症发生率为12.24%(6/49),低于常规组患儿的36.58%(15/41)(P<0.05)。结论 小儿UPJO所致肾积水离断性肾盂成形术运用三孔腹腔镜手术的效果显著高于传统腰腹部横切口手术。

    • 经皮穴位电刺激联合超声引导下阴部神经阻滞在分娩镇痛中的临床研究

      2023, 48(4):439-443. DOI: 10.13406/j.cnki.cyxb.003217

      摘要 (101) HTML (46) PDF 541.84 K (252) 评论 (0) 收藏

      摘要:目的 探讨经皮穴位电刺激(transcutaneous electrical acupoint stimulation,TEAS)联合超声引导下阴部神经阻滞对阴道分娩产妇镇痛效果及妊娠结局的影响。方法 选取2021年7月至2022年1月在重庆市妇幼保健院经阴道分娩的初产妇106例,采用随机数字表法分为2组(经皮穴位电刺激联合超声引导下阴部神经阻滞为TP组,单纯硬膜外镇痛为EP组),每组53例。观察产妇在干预前(T0)、宫口开至6 cm(T1)、胎头着冠时(T2)的VAS评分,检测各时点β-内啡肽(β-endorphin,β-EP)浓度,比较2组产程时长,新生儿1 min Apgar评分、会阴情况及分娩后并发症。结果 2组产妇VAS评分自镇痛开始后均明显降低(P<0.01),且在不同时点VAS评分降低程度不一样;EP组VAS评分在T1时低于TP组,在T2时高于TP组(P<0.05);与EP组相比,TP组β-内啡肽浓度在T1、T2时增高(P<0.05);TP组产妇的第一产程活跃期及第二产程时间短于EP组,产妇会阴侧切率明显低于EP组(P<0.05),2组器械助产率及新生儿Apgar评分比较差异无统计学意义(P>0.05)。结论 TEAS镇痛效果在第一产程不如硬膜外阻滞明显,但TEAS联合超声引导下阴部神经阻滞可减轻全产程产痛至产妇耐受的程度,具有缩短产程及会阴保护作用,对母婴无不良影响,尤其当产妇不适用椎管内镇痛时,可作为一种安全、有效的多模式镇痛方案应用于临床。

    • 不同剂量131I对中低危分化型甲状腺癌的疗效反应及预后分析

      2023, 48(4):444-449. DOI: 10.13406/j.cnki.cyxb.003201

      摘要 (95) HTML (39) PDF 959.01 K (248) 评论 (0) 收藏

      摘要:目的 探讨不同剂量131I对中低危分化型甲状腺癌(differentiated thyroid cancer,DTC)清除甲状腺组织(简称清甲)的疗效反应及无进展生存期(progression-free survival,PFS)有无差异。方法 回顾性分析201例131I清甲治疗的DTC患者,共236人次接受131I治疗。 根据治疗后6~12个月的血清学及影像学指标评估患者的疗效反应,根据131I治疗剂量分为1次1.1 GBq(G1组)、2次1.1 GBq(G2组)、3.0 GBq(G3组)和3.7 GBq(G4组)。对201例患者随访12~90个月,收集131I治疗后的血清学、影像学及治疗记录等资料,评估病情有无进展。卡方检验、Fisher确切概率法比较各治疗组的疗效差异及影响因素,Kaplan-Meier法及log-rank检验分析比较PFS,Cox比例风险模型评估PFS的独立预测因子。结果 ①4组的总疗效满意(excellent response,ER)、疗效不确切(indeterminate response,IDR)、血清学治疗反应不佳(biochemical incomplete response,BIR)和结构性治疗反应不佳(structural incomplete response,SIR)率分别为41.5%(98/236)、44.9%(106/236)、6.8%(16/236)及6.8%(16/236)。②4组的ER率分别为16.67%(10/60)、42.86%(15/35)、56.52%(13/23)及50.85%(60/118);IDR率分别为60.00%(36/60)、45.71%(16/35)、30.43%(7/23)及39.83%(47/118);BIR率分别为10.00%(6/60)、0.00%(0/35)、4.35%(1/23)及7.63%(9/118);SIR率分别为13.33%(8/60)、11.43%(4/35)、8.70%(2/23)及1.69%(2/118)。③G1组与G2~G4组的清甲疗效满意度(ER率)及G1组与G4组结构性疗效不佳(SIR率)差异有统计学意义(P=0.005、0.000、0.000、0.003)。④中位随访30个月,病情进展患者18例(8.96%)。不同剂量组的PFS差异无统计学差异(P=0.112)。年龄和疗效反应与PFS显著相关。结论 对于中低危DTC患者,2次1.1 GBq与3.0 GBq及3.7 GBq 131I的短期清甲效果无明显差异;不同剂量清甲治疗与PFS无明显相关,年龄<55岁和131I治疗反应为ER的患者PFS更优。

      • 0+1
      • 1+1
      • 2+1
      • 3+1
      • 4+1
      • 5+1
      • 6+1
    • 2 860例不同产前诊断指征的羊水细胞染色体检查结果及高危因素分析

      2023, 48(4):450-456. DOI: 10.13406/j.cnki.cyxb.003211

      摘要 (99) HTML (27) PDF 630.62 K (291) 评论 (0) 收藏

      摘要:目的 探讨胎儿染色体异常核型与产前诊断指征的关系。方法 选择2019年1月至2019年12月不同产前诊断指征到重庆医科大学附属妇女儿童医院妇产科就诊的2 860例孕妇,在B超引导下进行羊膜腔穿刺术。后行羊水细胞培养及胎儿染色体核型分析。结果 2 860例孕妇羊水中因细胞过少及活力不足培养失败109例,细胞培养成功2 751例,成功率为96.2%。共检出染色体多态性119例,检出率4.33%;共检出异常核型 153例,检出率5.56%。其中,染色体数目异常66例,占异常核型的43.1%;染色体结构异常59例,占异常核型的38.6%;嵌合体28例,占异常核型的18.3%。产前诊断指征中,父母一方染色体异常的胎儿染色体异常检出率最高,为32.93%;其次是无创产检基因检测(non invasive prenatal testing,NIPT)高风险,异常检出率为28.99%。非单纯高龄≥40岁组异常核型检出率显著高于非单纯高龄35~39岁组,同时显著高于单纯高龄≥40岁组。结论 孕妇羊水细胞染色体核型分析可为产前诊断和优生优育咨询提供理论参考。

    • 丙型肝炎与甲状腺功能异常相关性的临床研究

      2023, 48(4):457-461. DOI: 10.13406/j.cnki.cyxb.003213

      摘要 (125) HTML (55) PDF 533.77 K (227) 评论 (0) 收藏

      摘要:目的 探讨慢性丙型肝炎(chronic hepatitis C,CHC)和甲状腺功能异常(thyroid dysfunction,TD)的相关性以及慢性丙型肝炎患者中TD的预测因素。方法 选取2018年6月至2021年12月在云南省第一人民医院确诊为CHC的患者95例,根据其血清丙型肝炎病毒(hepatitis C virus,HCV)-RNA表达水平,分为低HCV-RNA组(<105 IU/mL)(37例)和高HCV-RNA组(>105 IU/mL)(47例),随机选取同期至本院体检的健康者41例;收集相关实验室指标,包括促甲状腺激素(thyroid stimulating hormone,TSH)、甲状腺素(thyroxine,T4)、三碘甲状腺原氨酸(triiodothyronine,T3)、游离甲状腺素(free thyroxine,FT4)、游离三碘甲状腺原氨酸(free triiodothyronine,FT3)、谷草转氨酶(aspartate transaminase,AST)、谷丙转氨酶(alanine aminotransferase,ALT)、碱性磷酸酶(alkaline phosphatase,ALP)、总胆红素(total bilirubin,TBIL)、直接胆红素(direct bilirubin,DBIL)、总蛋白(total protein,TP)、白蛋白(albumin,ALB)、球蛋白(globulin,GLB)、尿素氮(blood urea nitrogen,BUN)、肌酐(creatinine,Cr)、血糖(glucose,G),来探讨CHC患者的甲状腺激素及相关生化指标与HCV-RNA载量的关系。根据其是否合并TD分为单纯丙肝组和丙肝合并TD组,选取丙肝合并TD组14例,单纯丙肝组15例,随机选取同期健康体检者15例作为对照组,对3组病例的实验室指标进行统计学分析。结果 95例慢性丙型肝炎患者中,合并TD者共15例,检出率为15.79%。对照组、低HCV-RNA组、高HCV-RNA组3组相比,T4、T3、FT4、FT3、AST、ALT、DBIL、ALB、GLB差异具有统计学意义(P<0.05),对有意义的指标进行无序多元logistic回归分析显示,低表达组与对照组相比,GLB(OR=1.379,95%CI=1.060~1.5793,P<0.05)可能是病毒载量升高的预测因素;高表达组与对照组相比,GLB(OR=1.425,95%CI=1.094~1.856,P<0.05)可能是预测因素;高表达组与低表达组相比,FT3(OR=3.543,95%CI=1.472~8.356,P<0.05)可能是预测因素。对照组、单纯丙肝组、丙肝合并甲状腺功能障碍组3组相比,TSH、FT4、FT3、AST、ALT、ALP、ALB、GLB差异具有统计学意义(P<0.05)。结论 慢性丙型肝炎患者的病毒载量水平与甲状腺激素水平有关,对临床有一定指导意义。

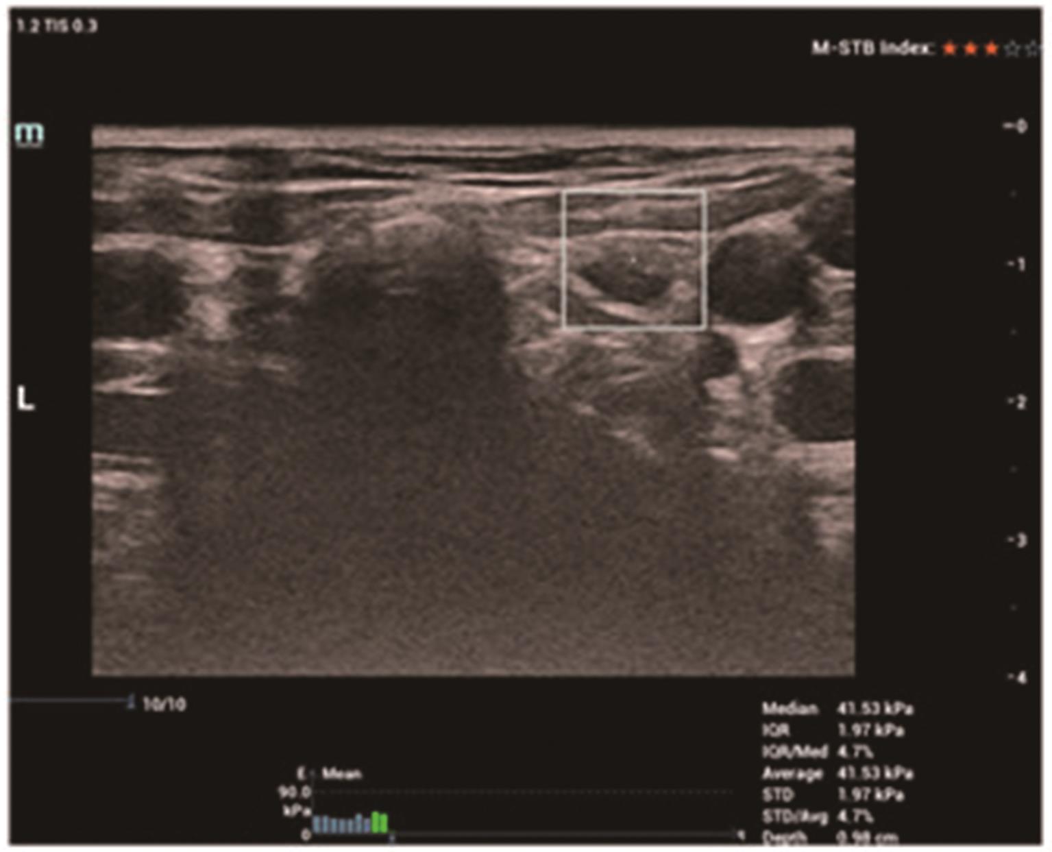
    • 剪切波弹性成像与FNA-Tg对甲状腺乳头状癌侧颈部淋巴结转移的诊断价值

      2023, 48(4):462-466. DOI: 10.13406/j.cnki.cyxb.003206

      摘要 (105) HTML (21) PDF 1.03 M (225) 评论 (0) 收藏

      摘要:目的 探讨剪切波弹性成像(shear wave elastography,SWE)与细针穿刺洗脱液甲状腺球蛋白(fine-needle aspiration washout thyroglobulin,FNA-Tg)对甲状腺乳头状癌侧颈部淋巴结转移的诊断价值。方法 回顾性分析159例经病理证实为甲状腺乳头状癌(papillary thyroid carcinoma,PTC)的患者资料,对颈部211枚可疑淋巴结进行常规超声、SWE参数平均值(Emean)、FNA-Tg检查,以术后病理结果为金标准,比较各检测方法的诊断效能。结果 ①SWE Emean转移组[(50.96±27.66) kPa]高于非转移组[(32.20±17.34) kPa],差异有统计学意义(t=8.761,P<0.01)。受试者工作特征(receiver operating characteristic,ROC)曲线分析表明,SWE Emean最佳诊断阈值为40.42 kPa时对PTC颈部淋巴结转移预测价值较高,曲线下面积(area under the curve,AUC)为0.849(95%CI=0.795~0.902,P<0.01)。②与SWE Emean比较,联合法敏感度、特异度、准确度、阳性预测值及阴性预测值均显著提高(χ2=7.724、28.230、35.094、21.731、9.890,P=0.005、<0.000、<0.000、<0.000、0.002)。与FNA-Tg比较,联合法敏感度、特异度、准确度、阳性预测值及阴性预测值也显著提高(χ2=7.724、6.014、13.526、6.137、7.602,P=0.005、0.014、<0.000、0.013、0.006)。③在淋巴结有囊性变和无囊性变时,SWE Emean的准确度分别为53.8%和79.8%,差异有统计学意义(χ2=4.819,P=0.028);FNA-Tg的准确度分别为92.3%和87.4%,差异无统计学意义(χ2=0.275,P=0.600)。结论 FNA-Tg诊断PTC转移淋巴结的准确度较高,且不受淋巴结有无囊性变的影响,与SWE Emean联合后可显著提高诊断效能。

      • 0+1
      • 1+1
      • 2+1
      • 3+1
    • 消化内科老年患者医院感染病原菌分布、危险因素分析及对策研究

      2023, 48(4):467-471. DOI: 10.13406/j.cnki.cyxb.003199

      摘要 (127) HTML (24) PDF 520.69 K (234) 评论 (0) 收藏

      摘要:目的 探讨消化内科老年患者医院感染病原菌分布、危险因素分析及对策研究。方法 选取2019年5月至2022年10月收治的265例消化内科老年患者作为研究对象,根据患者住院期间是否发生感染分为感染组(n=87)与非感染组(n=178),观察消化内科并发医院感染老年患者的感染部位及经菌株分离培养后的病原菌分布情况;采用二元logistic回归模型分析影响消化内科老年患者并发医院感染的危险因素。结果 265例消化内科老年患者发生感染共87例,其中呼吸道感染33例、泌尿系统感染15例、消化系统感染20例、皮肤软组织感染13例、导管相关血流感染6例。87例消化内科并发医院感染老年患者经细菌培养分离出87株病原菌,其中革兰阳性菌共28株(32.18%),革兰阴性菌共52株(59.77%),真菌共7株(8.05%)。感染组与非感染组在性别、病程、高血压史、吸烟史、饮酒史、体质指数等基线资料比较中,差异无统计学意义(P>0.05);而在年龄、抗生素使用时间、住院时间、机械通气、糖尿病、留置导尿管、血红蛋白、白蛋白、留置胃管等基线资料比较中,差异具有统计学意义(P<0.05)。logistic回归分析显示,年龄>70岁、抗生素使用时间>48 h、住院时间>15 d、机械通气、糖尿病、留置导尿管、血红蛋白<90 g/L、白蛋白<30 g/L、留置胃管是影响消化内科老年患者并发医院感染的独立危险因素(P<0.05)。结论 消化内科并发医院感染老年患者病原菌中以金黄色葡萄球菌、鲍曼不动杆菌、铜绿假单胞菌占主导位置,且医院感染发生与年龄、抗生素使用时间、住院时间、机械通气、糖尿病、留置导尿管、血红蛋白<90 g/L、白蛋白<30 g/L、留置胃管等因素有关,临床应提高重视,通过予以相关干预措施,降低医院感染发生率。

    • >文献综述
    • 环状RNA在肿瘤代谢中的研究进展

      2023, 48(4):472-476. DOI: 10.13406/j.cnki.cyxb.003210

      摘要 (120) HTML (32) PDF 541.29 K (299) 评论 (0) 收藏

      摘要:由基因组不稳定引起的肿瘤代谢重编程被认为是肿瘤的一个独特标志,为癌细胞快速生长和增殖提供了必要的能量来源。环状RNA(circular RNA,circRNA)是一类具有闭合环状结构的非编码RNA,可以通过与其他RNA或蛋白质相互作用来影响蛋白水平发挥功能。越来越多的研究表明环状RNA参与肿瘤代谢重编程的调控,却很少关于环状RNA在肿瘤代谢中作用的综述。本文将系统阐述环状RNA与肿瘤代谢的关系,为临床癌症的诊断和治疗提供更好的理论依据。

    • 核受体转录因子ERRα在肿瘤发生发展中的研究进展

      2023, 48(4):477-481. DOI: 10.13406/j.cnki.cyxb.003207

      摘要 (174) HTML (94) PDF 545.55 K (395) 评论 (0) 收藏

      摘要:雌激素相关受体α(estrogen-related receptor α,ERRα)是核受体超家族成员之一,属于无需与配体结合发挥生物学功能的孤儿受体。ERRα参与雌激素信号转导通路,是调控细胞能量代谢的重要转录因子。近年对ERRα的研究发现,其与雌激素依赖性和非依赖性肿瘤的进展密切相关,调控多种肿瘤的发生、发展、转移和耐药等过程。本文综述了ERRα的生理功能以及在多种癌症中的作用,并总结了该领域的新进展。

    • 神经系统副肿瘤综合征临床诊断进展

      2023, 48(4):482-487. DOI: 10.13406/j.cnki.cyxb.003058

      摘要 (341) HTML (66) PDF 588.89 K (698) 评论 (0) 收藏

      摘要:神经系统副肿瘤综合征(paraneoplastic neurological syndrome,PNS)是肿瘤通过远隔效应累及神经系统的一组罕见的免疫介导性疾病,其临床症状多样,通常伴有特异性的神经抗体。2021年,国际专家组修订了2004年PNS诊断标准,提出了新的临床评分系统,突出强调了“表型-抗体-肿瘤”的关联性。本研究回顾近年文献,围绕新标准,对PNS的临床诊断进展作一综述。

      • 0+1
      • 1+1
    • 抗体靶向治疗在弥漫性大B细胞淋巴瘤中的研究进展

      2023, 48(4):488-494. DOI: 10.13406/j.cnki.cyxb.003215

      摘要 (87) HTML (71) PDF 640.45 K (231) 评论 (0) 收藏

      摘要:弥漫性大B细胞淋巴瘤(diffuse large B-cell lymphoma,DLBCL)是一种侵袭性淋巴瘤,通常采用含CD20单克隆抗体(利妥昔单抗)的免疫化疗方案,然而仍有部分复发难治(relapsed/refractory,R/R)患者无法获得临床治愈。近年来,不少新开发的单抗类药物用于治疗DLBCL,显著改善了R/R DLBCL的预后。本综述系统讨论这些单抗类药物,包括传统简单结构的单克隆抗体、双特异性抗体(bispecific antibodies,bsAb)及抗体-药物偶联物(antibody-drug conjugates,ADCs)。首先介绍除利妥昔单抗以外的其他传统单抗,主要涉及单抗结构上的改进及针对更多的靶点。接着详细阐述bsAb的基本结构和作用机制,以及各种不同双抗结合位点带来的多种可能及尝试。最后对ADCs的作用机制及结构各部分做详细的分析比较。文中还介绍这些单抗类药物用于治疗DLBCL的最新临床试验数据,包括反应率、无进展生存期等疗效结果,以及主要的不良反应。

      • 0+1

主管单位 :重庆市教育委员会

主办单位 :重庆医科大学

编辑部 :《重庆医科大学学报》编辑部

主编:黄爱龙

编辑部主任 :唐秋姗

国际标准刊号:ISSN 0253-3626

国内统一刊号:CN 50-1046/R

  • 浏览排行
  • 引用排行
  • 下载排行
按检索
检索词