• 2023年第48卷第5期文章目次
    全 选
    显示方式: |
    • >文献综述
    • 微生物矿化启迪的仿生功能材料研究进展

      2023, 48(5):495-502. DOI: 10.13406/j.cnki.cyxb.003229

      摘要 (642) HTML (60) PDF 2.83 M (347) 评论 (0) 收藏

      摘要:微生物矿化现象在自然界中普遍存在,能够生成结构多样、成分各异、性能优越的天然微生物矿物,如生物磷灰石、钙镁碳酸盐、磁铁矿、硅矿物等,其矿物形成的主要机制分为微生物诱导矿化和微生物控制矿化。在微生物矿化过程中,微生物的组织结构及代谢功能活动等均发挥了重要作用,为制备特定成分和功能的仿生矿物材料提供了理论依据。与传统物理或化学方法合成的矿物材料相比,通过模拟微生物矿化发生过程仿生合成的矿化材料不仅结构高度可控,并且生物相容性更高,在生物医学领域有着潜在的应用前景,但精确地模拟微生物矿化仍是一个挑战。本文介绍了微生物矿化过程及其调控因素,并进一步综述了近年来受微生物矿化启发仿生合成的功能材料研究进展。

      • 0+1
      • 1+1
      • 2+1
      • 3+1
      • 4+1
      • 5+1
    • 急性呼吸窘迫综合征内表型的研究进展

      2023, 48(5):503-507. DOI: 10.13406/j.cnki.cyxb.003221

      摘要 (349) HTML (36) PDF 517.55 K (337) 评论 (0) 收藏

      摘要:急性呼吸窘迫综合征(acute respiratory distress syndrome,ARDS)是重症监护病房中一种常见的危重症疾病。由于对该疾病的认识尚且不足,其诊断及治疗仍充满挑战,病死率也一直居高不下。越来越多的学者认为ARDS在临床和生物学上都具有相当大的异质性,这引起不少学者的研究兴趣。本文旨在总结ARDS内表型的研究进展,以期为更好地认识其发病机制、为患者制定个性化治疗提供参考,促进ARDS的治疗早日迈向精准医学。

    • 铁死亡在阿尔茨海默病中的研究进展

      2023, 48(5):508-511. DOI: 10.13406/j.cnki.cyxb.003222

      摘要 (1117) HTML (72) PDF 1.34 M (495) 评论 (0) 收藏

      摘要:最新研究表明,铁死亡在阿尔茨海默病(Alzheimer's disease,AD)的发生发展中扮演重要角色。本文通过对近年相关国内外文献进行总结,对铁代谢紊乱、谷胱甘肽耗竭和脂质过氧化三种铁死亡主要机制与AD的关系进行分类综述,以期为AD的机制研究提供参考并提示铁死亡有望成为治疗AD的新策略。

      • 0+1
      • 1+1
    • PIK3CA相关过度生长谱研究新进展

      2023, 48(5):512-515. DOI: 10.13406/j.cnki.cyxb.003238

      摘要 (563) HTML (78) PDF 822.63 K (361) 评论 (0) 收藏

      摘要:PIK3CA相关过度生长谱(PIK3CA-related overgrowth spectrum,PROS)是由于胚胎时期PIK3CA基因激活突变导致的遗传性疾病,属于嵌合体突变,是引起节段性过度生长的常见原因之一。由于PROS的异质性,其发病率被严重低估,因而此病的临床表现、诊断、管理尤其困难。通过对PROS的早期识别、诊断、PI3K/AKT通路异常的发病机制以及围绕该信号通路的治疗方法等研究进展进行总结,为临床针对PROS患者的诊治提供参考。

      • 0+1
    • 射频消融减胎术在单绒三胎妊娠中的应用分析

      2023, 48(5):516-519. DOI: 10.13406/j.cnki.cyxb.003233

      摘要 (131) HTML (44) PDF 484.32 K (247) 评论 (0) 收藏

      摘要:三胎妊娠根据绒毛膜性羊膜性可分为多种类型,其中双绒毛膜三羊膜囊(dichorionic triamniotic,DCTA)三胎及单绒毛膜三羊膜囊(monochorionic triamniotic,MCTA)三胎因存在单绒多胎成分,既存在多胎妊娠相关风险,亦存在单绒双胎并发症发生风险,多胎妊娠减胎术能有效改善妊娠结局,其中射频消融减胎术(radiofrequency ablation,RFA)是最常用的减胎方式。目前对包含单绒毛膜双胎及三胎成分的三胎妊娠行射频消融减胎术的临床报道较少。本研究通过对既往病例报道的回顾,总结射频消融减胎术在DCTA和MCTA三胎妊娠减胎中的安全性、有效性问题,以及减胎时机和减胎指征对妊娠结局的影响,为临床咨询提供指导。

    • >个案报道
    • 妊娠中期腹腔镜拆除极简式宫颈环扎带5例及文献复习

      2023, 48(5):608-610. DOI: 10.13406/j.cnki.cyxb.003239

      摘要 (115) HTML (42) PDF 897.90 K (235) 评论 (0) 收藏

      摘要:

      • 0+1
      • 1+1
      • 2+1
      • 3+1
    • 宫腔镜取环术诱发嗜铬细胞多系统危象1例报道

      2023, 48(5):611-613. DOI: 10.13406/j.cnki.cyxb.003237

      摘要 (129) HTML (42) PDF 504.84 K (238) 评论 (0) 收藏

      摘要:

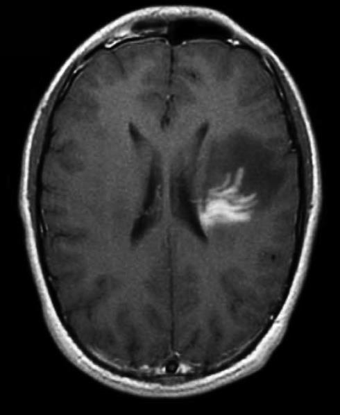
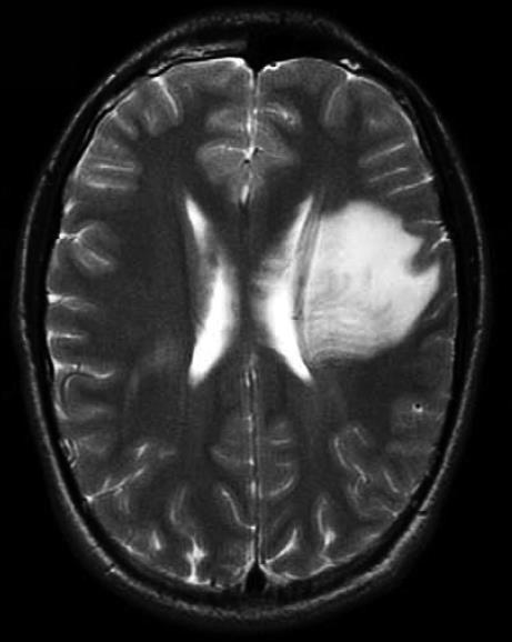
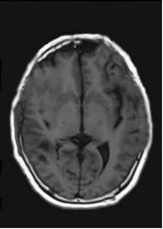
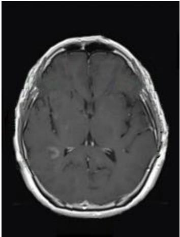
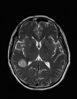
    • 肿瘤样脱髓鞘病变报道3例

      2023, 48(5):614-617. DOI: 10.13406/j.cnki.cyxb.003183

      摘要 (95) HTML (24) PDF 1.29 M (241) 评论 (0) 收藏

      摘要:

      • 0+1
      • 1+1
      • 2+1
      • 3+1
      • 4+1
      • 5+1
      • 6+1
      • 7+1
      • 8+1
      • 9+1
      • 10+1
      • 11+1
      • 12+1
      • 13+1
      • 14+1
      • 15+1
      • 16+1
      • 17+1
      • 18+1
      • 19+1
      • 20+1
      • 21+1
      • 22+1
      • 23+1
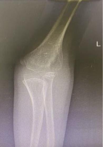
    • 3D打印下精准截骨术治疗先天性尺桡关节脱位1例报道

      2023, 48(5):618-620. DOI: 10.13406/j.cnki.cyxb.003218

      摘要 (98) HTML (49) PDF 4.15 M (219) 评论 (0) 收藏

      摘要:

      • 0+1
      • 1+1
      • 2+1
      • 3+1
      • 4+1
      • 5+1
      • 6+1
      • 7+1
      • 8+1
      • 9+1
      • 10+1
      • 11+1
      • 12+1
      • 13+1
      • 14+1
    • >基础研究
    • 教育与载脂蛋白E基因交互作用调节轻度认知障碍患者的认知功能和脑网络活性

      2023, 48(5):520-524. DOI: 10.13406/j.cnki.cyxb.003220

      摘要 (152) HTML (50) PDF 1.07 M (254) 评论 (0) 收藏

      摘要:目的 受教育水平和载脂蛋白E(apolipoprotein E,ApoE)基因均可影响认知障碍的发生,但两者的交互作用尚不明确。本研究旨在探讨受教育水平和ApoE基因对轻度认知障碍(mild cognitive impairment,MCI)患者的认知功能和默认网络(default mode network,DMN)的交互作用。方法 本研究数据来源于阿尔茨海默病神经影像学计划数据集。根据受教育水平和ApoE ε4等位基因(ApoE ε4,ApoE4)状态将MCI受试者分为4组,运用协方差法分析两者对认知功能和DMN的作用。结果 教育和ApoE基因型对MCI患者整体认知功能存在显著交互作用(P<0.05):在低教育受试者中,非ApoE4携带者的整体认知功能优于携带者[23.00(22.50,25.50) vs. 22.00(21.00,24.00)],而在高教育受试者中则相反[23.00(22.00,26.00) vs. 25(22.75,26.25)]。另一方面,受教育水平与ApoE基因型对DMN的左侧颞中回的功能连接值(functional connectivity,FC)存在显著交互作用(P<0.05):在低教育受试者中,ApoE4携带者的FC显著高于非携带者(0.35±0.32 vs. 0.15±0.28),而在高教育受试者中则相反(0.09±0.26 vs. 0.25±0.23)。行为学关联分析发现左侧颞中回的FC与整体认知功能呈显著负相关(r=-0.560,P=0.030)。结论 高教育水平显著降低ApoE4等位基因对MCI患者认知功能的破坏作用,该认知保护作用可能与高教育水平降低异常的DMN活性相关。该结果强调基因与环境交互作用对认知障碍的重要影响。

      • 0+1
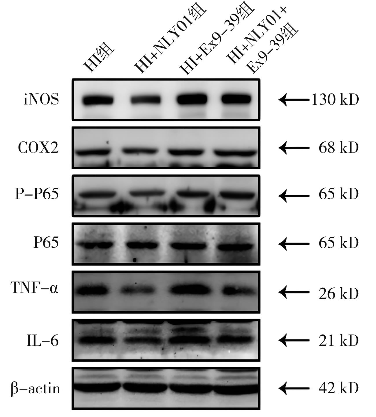
    • GLP-1受体激动剂对新生儿缺氧缺血性脑损伤模型小鼠在突触可塑性方面的保护作用

      2023, 48(5):525-531. DOI: 10.13406/j.cnki.cyxb.003230

      摘要 (124) HTML (48) PDF 1.93 M (247) 评论 (0) 收藏

      摘要:目的 探讨胰高血糖素样肽-1受体(glucagon-like peptide-1 receptor,GLP-1R)激动剂(agonist,NLY01)对新生儿缺氧缺血性脑损伤(hypoxia ischemia,HI)模型小鼠在突触可塑性方面的保护作用。方法 实验1,将P7小鼠分配到对照组(Con组)、HI组、NLY01组和HI+NLY01组,每组16只;实验2,将P7小鼠分配到HI组、HI+NLY01组、HI+Ex9-39组和HI+NLY01+Ex9-39组,每组8只。其中,Ex9-39用于阻断GLP-1R。进行行为测试以测量学习能力。高尔基染色用于测量齿状回突触的可塑性。通过蛋白质印迹和免疫荧光评估突触和神经炎症相关蛋白的表达。结果 NLY01对GLP-1R的激活防止了由HI引起的认知缺陷。NLY01阻止了HI诱导的GLP-1R水平降低。GLP-1R的激活显著改善了突触可塑性的损害,阻止了炎症因子的上调,并抑制了核因子-κB(nuclear factor-κB,NF-κB)磷酸化和小胶质细胞M1极化。在HI模型中,NLY01对HI诱导的新生小鼠急性脑损伤的保护作用被Ex9-39阻断。结论 GLP-1R可能是调节新生小鼠急性脑损伤炎症途径的功能靶点,支持GLP-1R激动剂在HI诱导新生小鼠脑损伤中的潜在治疗作用。

      • 0+1
      • 1+1
      • 2+1
      • 3+1
      • 4+1
      • 5+1
      • 6+1
      • 7+1
      • 8+1
      • 9+1
      • 10+1
      • 11+1
      • 12+1
      • 13+1
      • 14+1
      • 15+1
      • 16+1
      • 17+1
      • 18+1
      • 19+1
      • 20+1
      • 21+1
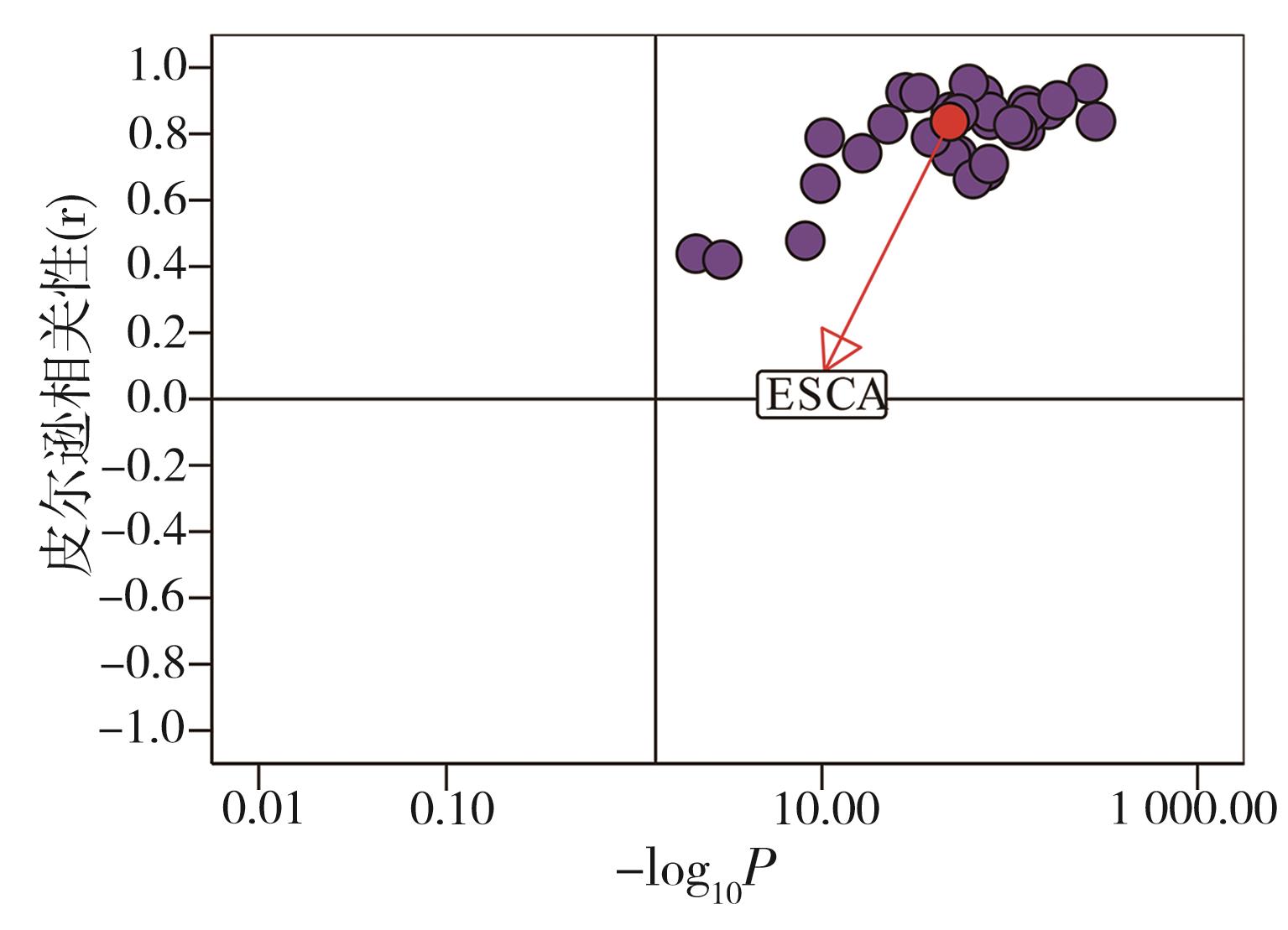
    • NUSAP1在食管癌中与肿瘤细胞增殖和免疫细胞浸润相关性——基于数据库的研究

      2023, 48(5):532-543. DOI: 10.13406/j.cnki.cyxb.003219

      摘要 (107) HTML (55) PDF 11.73 M (334) 评论 (0) 收藏

      摘要:目的 探讨核仁纺锤体相关蛋白1(nucleolar and spindle-associated protein 1,NUSAP1)在食管癌(esophageal carcinoma,ESCA)中的表达情况、临床意义及功能机制,为ESCA的早期诊断和治疗提供新思路。方法 从GEPIA2和TIMER数据库下载ESCA样本与癌旁样本,进行NUSAP1的表达分析,STRING和Cytoscape软件进行NUSAP1相关基因的PPI网络构建,并进行GO、KEGG及GSEA富集分析。TIMER数据库被用来分析NUSAP1与免疫细胞的相关性。最后通过RT-PCR、Western blot和免疫组化验证NUSAP1在ESCA组织和细胞中的表达,使用慢病毒包被的小干扰RNA转染ESCA细胞,进行NUSAP1的表达敲减。通过CKK-8和Ki67免疫荧光评估NUSAP1对ESCA细胞增殖的影响。结果 NUSAP1在ESCA组织和细胞中高表达。NUSAP1的表达与CDK1、B细胞和巨噬细胞浸润正相关,而与CD4+ T细胞、CD8+ T细胞、中性粒细胞和树突状细胞浸润负相关。GSEA分析发现NUSAP1的高表达组主要富集于Wnt/β-catenin 信号通路、过氧化物酶通路、PI3K/Akt/mTOR信号通路。在体外,敲减NUSAP1后抑制了ESCA细胞增殖。结论 NUSAP1在ESCA中高表达,并与ESCA细胞增殖和免疫细胞浸润密切相关。因此,NUSAP1可能有助于ESCA的诊断和治疗。

      • 0+1
      • 1+1
      • 2+1
      • 3+1
      • 4+1
      • 5+1
      • 6+1
      • 7+1
      • 8+1
      • 9+1
      • 10+1
      • 11+1
      • 12+1
      • 13+1
      • 14+1
      • 15+1
      • 16+1
    • >临床研究
    • 肺实性结节半自动体积测量提高观察者间Lung-RADS评分一致性

      2023, 48(5):544-547. DOI: 10.13406/j.cnki.cyxb.003227

      摘要 (100) HTML (77) PDF 1.21 M (261) 评论 (0) 收藏

      摘要:目的 研究3D-Slicer软件实性肺结节体积测量对不同观察者在肺部影像报告数据系统(lung CT screening reporting and data system,Lung-RADS)分类一致性中的影响。方法 纳入76例患者中的76个实性结节。由3位放射科医师分别采用手动和3D-Slicer软件半自动体积测量方法获得结节的直径与体积,并转化为相应的Lung-RADS评分,其中2分为阴性,3分及以上为阳性。采用同类相关系数(intraclass correlation coefficient,ICC)及Bland-Altman指数来评价观察者间直径与体积测量的一致性,Kappa分析评价观察者间Lung-RADS评分及阳性/阴性组间的一致性。结果 ICC分析结果显示手动直径测量的一致性(0.994~0.996)明显低于半自动体积测量的一致性(0.997~0.998),同时Bland-Altman指数分析结果显示手动直径测量的偏倚高于半自动体积测量。采用半自动体积测量,能够比手动直径测量明显提高观察者间Lung-RADS评分及阳性/阴性之间的一致性(0.963~0.975及0.957~0.977 vs. 0.833~0.866及0.863~0.892)。结论 3D-Slicer半自动体积测量能够提高实性肺结节观察者间大小测量的一致性,相应的Lung-RADS分类一致性也随之提高。

      • 0+1
      • 1+1
      • 2+1
      • 3+1
      • 4+1
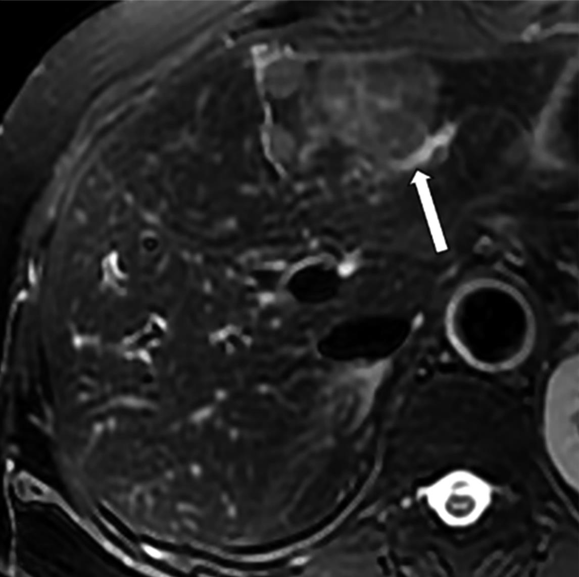
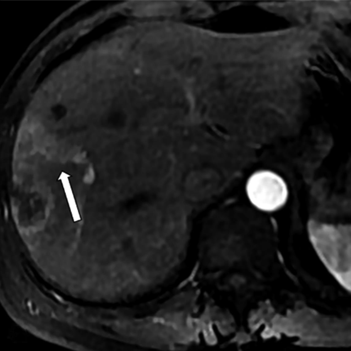
    • MRI瘤周特征在预测结直肠癌肝转移非解剖性肝切除术预后的价值

      2023, 48(5):548-553. DOI: 10.13406/j.cnki.cyxb.003234

      摘要 (129) HTML (25) PDF 780.46 K (241) 评论 (0) 收藏

      摘要:目的 研究结直肠肝转移(colorectal liver metastases,CRLM)瘤周影像特征在非解剖切除(non-anatomic resection,NAR)后CRLM患者中长期预后的价值。方法 回顾性纳入术前行腹部钆塞酸二钠增强磁共振成像(magnetic resonance imaging,MRI)和NAR术后的CRLM患者。影像特征评估动脉期瘤周高强化、肝胆期(hepatobiliary phase,HBP)瘤周低摄取和瘤周胆管扩张。应用Kaplan-Meier法计算生存率,并采用Cox比例风险回归模型进行单因素和多因素分析以确定无肝内复发生存期(liver recurrence-free survival,LRFS)、无复发生存期(recurrence-free survival,RFS)和总生存期(overall survival,OS)的独立预测因素。结果 本研究共纳入36例患者,58个CRLM病灶。存在和不存在动脉期瘤周高强化的患者3年LRFS和RFS率有统计学差异(LRFS:14.3% vs. 43.9%,P=0.005;RFS:14.3% vs. 40.3%,P=0.006)。动脉期瘤周高强化与较差的LRFS(P=0.002,HR=5.541,95%CI=1.853~15.975)和较差的RFS(P=0.002,HR=5.392,95%CI=1.887~15.412)独立相关。胆管扩张和HBP瘤周低摄取均不为LRFS、RFS和OS的独立预测因素。结论 动脉期瘤周高强化是接受NAR的CRLM患者LRFS和RFS预后因子。

      • 0+1
      • 1+1
      • 2+1
      • 3+1
      • 4+1
      • 5+1
      • 6+1
    • 收肌管及腘窝坐骨神经阻滞联合踝部止血带在老年足部手术的应用

      2023, 48(5):554-558. DOI: 10.13406/j.cnki.cyxb.003224

      摘要 (114) HTML (25) PDF 758.43 K (233) 评论 (0) 收藏

      摘要:目的 探讨收肌管及腘窝坐骨神经阻滞联合踝部止血带在老年足部手术应用的效果。方法 择期行足部手术的老年患者69例,以随机数字表法分为3组:蛛网膜下腔阻滞联合大腿止血带组(C组)、蛛网膜下腔阻滞联合踝部止血带组(SA组)及收肌管及腘窝坐骨神经阻滞联合踝部止血带组(NA组)。比较3组麻醉后30 min内平均动脉压(mean arterial pressure,MAP)、心率(heart rate,HR)变化峰值,松止血带后1、3、5、10、15 min时MAP及HR变化;术后排尿、排气时间及24 h恢复质量(quality of recovery,QoR)-15评分;麻醉及术野止血效果、间羟胺用量、首次自控镇痛(patient-controlled analgesia,PCA)时间、术后48 h内舒芬太尼用量及不良反应等情况。结果 纳入患者69例,64例完成研究。与C组及SA组比较,NA组麻醉后30 min内MAP及HR变化峰值明显减小,术后排尿、排气时间显著缩短,24 h QoR-15评分更高;麻醉起效较慢、阻滞范围小,间羟胺用量更少,首次PCA时间显著延长,术后12、24及48 h舒芬太尼累积用量减少,差异有统计学意义(P<0.05)。与C组比较,SA组及NA组松止血带后MAP、HR波动幅度明显减小,间羟胺用量更少;术后止血带区域皮肤水泡和疼痛发生率更低,差异有统计学意义(P<0.05)。3组其余指标差异无统计学意义(P>0.05)。结论 收肌管及腘窝坐骨神经阻滞联合踝部止血带应用于老年足部手术,血流动力学稳定,恢复速度快,效果良好,不良反应少。

      • 0+1
      • 1+1
    • 双相障碍患者疾病获益感的质性研究

      2023, 48(5):559-562. DOI: 10.13406/j.cnki.cyxb.003232

      摘要 (313) HTML (68) PDF 527.45 K (216) 评论 (0) 收藏

      摘要:目的 从双相障碍患者的角度出发,深入了解患者在患病过程中的疾病获益感。方法 采用质性研究中的现象学研究方法,于2022年5月至7月采用目的抽样法,对12名就诊于四川大学华西医院心理卫生中心门诊的双相障碍患者进行半结构化访谈,并采用Colaizzi 7步内容分析法整理、分析资料。结果 双相障碍患者的疾病获益感包括感受幸福能力增强、接纳疾病和自我接纳、疾病自我管理能力增强、家庭关系改善、重视自身感受及精神生活、自我了解、宽容及同理心、生活习惯改善。结论 双相障碍患者的疾病获益主要表现为对疾病和自我的接纳、对疾病和生活控制感增强、不良社会心理因素影响减少三方面。医务人员可通过相应的干预措施促进患者发现疾病获益感,促进康复。

    • 老年心脏瓣膜术后患者并发急性肾损伤的危险因素分析及其对预后的影响

      2023, 48(5):563-568. DOI: 10.13406/j.cnki.cyxb.003235

      摘要 (120) HTML (22) PDF 673.85 K (251) 评论 (0) 收藏

      摘要:目的 探讨≥65岁老年患者行心脏瓣膜外科手术后发生急性肾损伤(acute kidney injury,AKI)的危险因素及其对预后的影响。方法 回顾性分析2013年1月至2014年5月在广东省人民医院行心脏瓣膜外科手术的≥65岁老年患者,剔除术前接受肾替代治疗、血肌酐值缺失的病例,记录入选病例的术前、术中及术后临床资料,定期进行电话随访,主要终点为AKI发生率,次要终点为随访死亡率。根据术后是否并发KDIGO标准的AKI分期≥2,分为AKI组和对照组。采用单因素分析和logistic回归多因素分析探索术后AKI的危险因素,采用Kaplan-Meier生存分析显示AKI对随访死亡的影响,采用多因素Cox回归模型分析术后患者随访死亡的危险因素。结果 本研究共纳入225例患者,其中女性110例(58.89%)。AKI(AKI 2~3期)发病率为26.22%(n=59)。AKI组住院死亡率显著高于对照组(13.6% vs. 0.0%,P<0.001);最长随访时间9年,AKI组随访死亡率显著高于对照组(42.4% vs. 9.6%,P<0.001)。Kaplan-Meier生存分析显示AKI组的随访死亡率显著高于对照组(P<0.001)。单因素及logistic回归多因素分析结果显示,术后AKI的独立危险因素是术前血小板计数较低(OR=0.99,P=0.011)及围术期红细胞输注量较大(OR=1.11,P<0.001)。单因素及多因素Cox回归模型分析结果显示,发生随访死亡的危险因素是术前白蛋白水平低下(HR=0.90,P=0.028)、使用主动脉内球囊反搏(HR=7.38,P=0.003)及并发术后AKI(HR=2.88,P=0.006)。结论 术前血小板计数较低及围术期红细胞输注量较大可增加≥65岁老年患者行心脏瓣膜手术后并发AKI的风险,而术后并发AKI可增加住院死亡率和随访死亡率。

      • 0+1
      • 1+1
    • 阻塞性睡眠呼吸暂停综合征合并肺气肿表型为主慢阻肺的临床特征分析

      2023, 48(5):569-574. DOI: 10.13406/j.cnki.cyxb.003231

      摘要 (130) HTML (32) PDF 542.56 K (222) 评论 (0) 收藏

      摘要:目的 研究阻塞性睡眠呼吸暂停低通气综合征(obstructive sleep apnea hypopnea syndrome,OSAHS)合并肺气肿表型为主的慢性阻塞性肺疾病[以下简称慢阻肺(chronic obstructive pulmonary disease,COPD)]即COPD-OSAHS重叠综合征的临床特征和影响因素,为临床实践提供认识和指导。方法 采用病例对照研究,纳入2015年3月至2022年6月昆明医科大学第二附属医院收治的301例OSAHS患者。依据分型标准对COPD-OSAHS重叠综合征组进行影像学表型分型分为肺气肿表型为主和非肺气肿表型为主2组。分别比较3组患者的人口学资料、肺功能、夜间多导睡眠监测指标、胸部影像学指标、合并症等临床特征,采用偏相关分析和logistic 回归分析OSAHS合并肺气肿表型为主慢阻肺发病的影响因素。结果 肺气肿表型为主COPD合并OSAHS组与单纯OSAHS患者和非肺气肿表型为主COPD-OSAHS重叠综合征患者相比,性别、吸烟情况、呼吸困难、体质指数(body mass index,BMI)、呼吸暂停低通气指数(apnea hypopnea index,AHI)、双肺渗出容积百分比、双肺塌陷容积百分比存在统计学意义(均P<0.05)。非肺气肿表型为主较肺气肿为主型COPD-OSAHS重叠综合征组患者相比肺动脉压、夜间脉氧饱和度<85%的时间(saturation of pulse oxygen less than 85% of the time,TS85)、氧减指数(oxygen desaturation index,ODI)差异均有统计学意义(均P<0.05),合并肺心病、房颤、下肢浮肿发生率高。相关性分析结果显示BMI、吸烟指数、AHI、TS85、ODI、双肺渗出容积百分比、双肺塌陷容积百分比、两肺低于-950 HU的低密度衰减区(low attenuation area,LAA)与双肺体积的占比(LAA%) 均呈负相关(r=-0.434、-0.254、-0.439、-0.327、-0.336、-0.756、-0.609),均具有统计学意义(均P<0.05);肺气肿表型为主的COPD合并OSAHS患者相关因素二元logistic回归分析中,BMI(OR=0.891,95%CI=0.807~0.984)、AHI(OR=0.948,95%CI=0.918~0.979)、双肺塌陷容积百分比(OR=0.406,95%CI=0.265~0.623)为主要影响因素(均P<0.05)。结论 肺气肿表型为主COPD-OSAHS重叠综合征较非肺气肿型COPD-OSAHS重叠综合征和单纯OSAHS患者相比,男性占比大、吸烟更多,呼吸困难更明显,BMI、AHI指数较低,双肺内塌陷占比较少,其中非肺气肿型COPD-OSAHS重叠综合征患者肺动脉压更高,咳嗽、咳痰更明显,合并肺心病、房颤、下肢浮肿较多,缺氧时间更长。其中BMI、AHI、双肺塌陷容积百分比为肺气肿表型为主的COPD合并OSAHS患者主要影响因素。

    • 复杂性肛瘘术后肛门失禁风险预测模型的建立及评价

      2023, 48(5):575-580. DOI: 10.13406/j.cnki.cyxb.003228

      摘要 (187) HTML (64) PDF 666.77 K (237) 评论 (0) 收藏

      摘要:目的 构建复杂性肛瘘术后并发肛门失禁的风险预测模型并进行效果评价。方法 回顾性分析2020年1月至2021年5月福建中医药大学附属人民医院肛肠科收治的195例复杂性肛瘘患者资料。根据术后肛门失禁症状,将CCFIS评分≥2分划为肛门失禁组(42例),CCFIS评分<2分划为功能正常组(153例)。结合患者一般情况、瘘管性质、肛门直肠压力测定结果、手术方式等变量进行单因素及logistic回归分析。结果 术后肛门失禁发生率为21.54%,CCFIS平均分为(3.40±1.170)分。logistic回归分析结果显示,瘘管类型为括约肌上瘘(OR=1.024,95%CI=0.405~2.585,P=0.025)、既往有1次以上的瘘管手术(OR=16.224,95%CI=3.291~29.977,P=0.001)、低静息压(OR=0.909,95%CI=0.869~0.952,P=0.000)、手术方式为切割挂线术(OR=1.389,95%CI=1.044~1.848,P=0.024)是复杂性肛瘘术后并发肛门失禁的独立危险因素(P<0.05)。根据筛选出的独立危险因素构建预测模型,绘制受试者工作特征(receiver operating characteristic,ROC)曲线,曲线下面积(area under the curve,AUC)为0.879(95%CI=0.818~0.939,P<0.001),提示该模型有较好的预测价值。结论 通过独立危险因素建立的预测模型准确度较高,为临床复杂性肛瘘治疗方案的制订提供较好的参考依据。

      • 0+1
      • 1+1
      • 2+1
      • 3+1
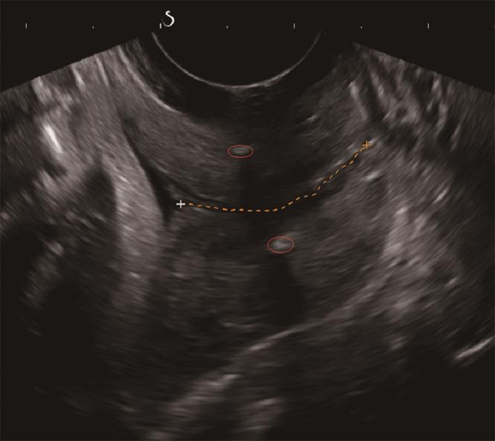
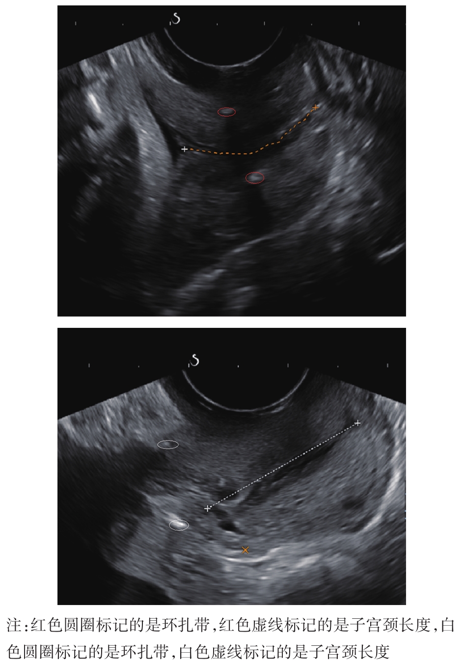
    • 宫颈机能不全患者孕期腹腔镜和经阴道宫颈环扎术后的疗效分析

      2023, 48(5):581-586. DOI: 10.13406/j.cnki.cyxb.003225

      摘要 (121) HTML (27) PDF 5.16 M (228) 评论 (0) 收藏

      摘要:目的 探讨子宫颈机能不全(cervical incompetence,CI)患者孕期行腹腔镜子宫颈环扎术(laparoscopic cervical cerclage,LAC)和经阴道子宫颈环扎术(transvaginal cervical cerclage,TVC)后的妊娠结局及超声监测妊娠期子宫颈长度的变化,进一步探讨LAC的适应证。方法 回顾性分析2016年6月至2022年2月因CI孕期在本院行子宫颈环扎术的患者共115例,其中行LAC 65例(LAC组),既往TVC失败35例,既往行子宫颈锥切术30例;TVC 50例(TVC组),均无既往TVC失败史,既往行子宫颈锥切术20例。对2组患者的妊娠结局、术中情况、术后并发症及妊娠期超声测量的子宫颈长度进行比较。结果 LAC组既往TVC失败率高于TVC组(53.8% vs. 0.0%,P<0.05),差异有统计学意义,LAC组、TVC组既往子宫颈锥切手术率差异无统计学意义(46.1% vs. 40.0%,P>0.05);LAC组的足月产率、新生儿存活率、分娩孕周、延长孕周[83.0%、100.0%、(36.5±4.0)周、(17.0±4.2)周]均明显高于TVC组[44.0%、76.2%、(32.0±5.2)周、(13.2±4.3)周],差异有统计学意义(P<0.05);TVC组的早产率、难免流产率(40.0%、16.0%)均明显高于LAC组(12.3%、4.6%),差异有统计学意义(P<0.05);LAC组无术后并发症,TVC组术后发生并发症8例(16.0%),其中子宫颈裂伤1例,术后感染7例,TVC组术后并发症发生率较LAC组高(P<0.05)。2组术前子宫颈长度相似。行子宫颈环扎术后,2组环扎带与子宫颈外口之间的距离比较,差异有统计学意义[LAC组:(28.7±4.6)mm vs. (12.3±4.2) mm,P<0.05],妊娠期间,TVC组子宫颈长度明显缩短[分娩时,由术前的(25.0±2.0) mm缩短为(12.0±4.5) mm,P<0.05],而LAC组子宫颈长度保持不变。结论 CI患者孕期行LAC安全、有效,妊娠结局较TVC好,原因可能是与TVC相比,LAC能更好地保留妊娠期间的子宫颈长度,推荐对既往TVC失败及既往子宫颈锥切术后子宫颈过短的患者首选LAC。

      • 0+1
      • 1+1
      • 2+1
      • 3+1
      • 4+1
      • 5+1
      • 6+1
      • 7+1
      • 8+1
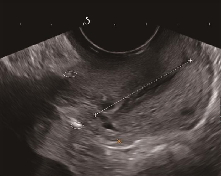
    • 剪切波弹性成像测量宫颈硬度的可重复性研究

      2023, 48(5):587-590. DOI: 10.13406/j.cnki.cyxb.003223

      摘要 (100) HTML (44) PDF 1.18 M (212) 评论 (0) 收藏

      摘要:目的 评价剪切波弹性成像(shear wave elastography,SWE)测量育龄期健康未育女性宫颈杨氏模量值的可重复性。方法 由同一名接受过SWE检测培训的高年资医师于同一天不同时间点,前后2次对100名处于育龄期但未育的健康女性宫颈行剪切波弹性成像,测量时选取宫颈4个位点:内口前唇(anterior lip of the inner mouth,IA)、内口后唇(posterior lip of the inner mouth,IP)、外口前唇(anterior lip of the outer mouth,EA)及外口后唇(posterior lip of the outer mouth,EP),获取育龄期健康未育女性宫颈杨氏模量值。使用组内相关系数(interclass correlation coefficient,ICC)评价检查者内可重复性,同时绘制Bland-Altman散点图评价测量一致性。结果 宫颈4个测量位点的前后2次测值均无统计学差异(P>0.05);宫颈IA、EA、EP处杨氏模量值的组内相关系数分别为0.828、0.785、0.768,提示组内可重复性非常好;宫颈IP处杨氏模量值的组内相关系数为0.632,提示组内可重复性好;Bland-Altman散点图提示SWE测量宫颈4个位点杨氏模量值的组内一致性均为好。结论 SWE可用于宫颈硬度的测量,且在宫颈不同位点均具有良好的可重复性与一致性。

      • 0+1
      • 1+1
      • 2+1
      • 3+1
      • 4+1
      • 5+1
    • 利福昔明间断性及规律性给药预防肝性脑病及全因住院的对照研究

      2023, 48(5):591-596. DOI: 10.13406/j.cnki.cyxb.003226

      摘要 (89) HTML (57) PDF 572.79 K (207) 评论 (0) 收藏

      摘要:目的 探究临床中间断性使用利福昔明预防肝性脑病(hepatic encephalopathy, HE)复发的效果是否不劣于规律给药,利福昔明治疗后是否可降低患者因HE及全因住院的次数。方法 该研究为单中心前瞻性病例对照研究,将纳入的HE患者根据给药方案不同分为2组:间断给药组(利福昔明 400 mg tid,每周连续给药2 d)30例,其中最短给药时间4周,18例疗程3个月;规律给药组(利福昔明 400 mg tid,每天服用)25例,其中24例疗程3个月。比较2组患者在不同给药时间及给药前后因HE及全因住院的差异。结果 间断给药组与规律给药组相比,服药4周因HE及全因住院的概率差异均无统计学意义(P>0.05),服药3个月因HE及全因住院的次数差异均无统计学意义(P>0.05)。利福昔明给药后3个月与给药前3个月相比,因HE住院的平均住院次数减少[(0.52±0.86)次vs.(1.12±1.04)次,P=0.000]、全因住院的平均住院次数减少[(0.90±0.98)次vs.(1.60±1.08)次,P=0.000]。亚组分析发现,间断给药组及规律给药组在给药后3个月与给药前3个月相比较,因HE及全因住院的次数均减少,差异有统计学意义(P<0.05)。规律给药组患者大便含真菌的比例更高(4/7 vs. 1/10),但差异无统计学意义(P=0.101)。结论 间断使用利福昔明预防HE不劣于规律给药。间断或规律使用利福昔明,给药后均可减少患者因HE及全因住院的次数。临床中长期用药需警惕真菌感染风险。

      • 0+1
      • 1+1
    • 肺体循环血量比在动脉导管未闭合并重度肺动脉高压患者介入术中的应用研究

      2023, 48(5):597-601. DOI: 10.13406/j.cnki.cyxb.003216

      摘要 (60) HTML (29) PDF 505.89 K (208) 评论 (0) 收藏

      摘要:目的 对比分析行介入治疗的动脉导管未闭(patent ductus arteriosus,PDA)合并重度肺动脉高压(pulmonary artery hypertension,PAH)患者术前及术后血流动力学及心脏超声指标,探讨该类患者中肺体循环血量比(pulmonary to systemic flow ratio,Qp/Qs)与介入术后肺动脉压力改变、心脏结构恢复的相关性及预测价值。方法 选取行介入封堵术的PDA合并PAH患者33例,根据术前Qp/Qs分为Qp/Qs≥2.5组(A组)及Qp/Qs<2.5组(B组),采集术前术后2组心导管检查获得的血流动力学参数,并记录术前术后随访的经胸超声心动图(transthoracic echocardiography,TTE)结果,对2组进行组内及组间对比分析。结果 ①术前2组间肺动脉收缩压(systolic pressure of pulmonary artery,sPAP)及肺动脉平均压(mean pressure of pulmonary artery,mPAP)无差异,术后即刻A组的sPAP及mPAP均低于B组。②A组的左心室舒张末期内径指数(left ventricular end diastolic diameter index,LVEDDI)、左心房内径指数(left atrial diameter index,LAI)、肺动脉内径指数(pulmonary artery diameter index,PAI)在术后48 h、术后1个月、术后3个月均较术前降低,B组仅PAI、LVEDDI在术后3个月较术前降低;术前2组间右心室舒张末期内径指数(right ventricular end diastolic diameter index,RVEDDI)无差异,术后3个月A组低于B组。③5例术后即刻残留重度PAH患者均发生于B组。其中1例患者靶向药物治疗效果显著。结论 ①对于合并重度PAH的PDA患者,Qp/Qs比值越大,术后肺动脉压力、心脏结构恢复越明显。②Qp/Qs对该类患者术后即刻残留重度PAH有一定预测价值。

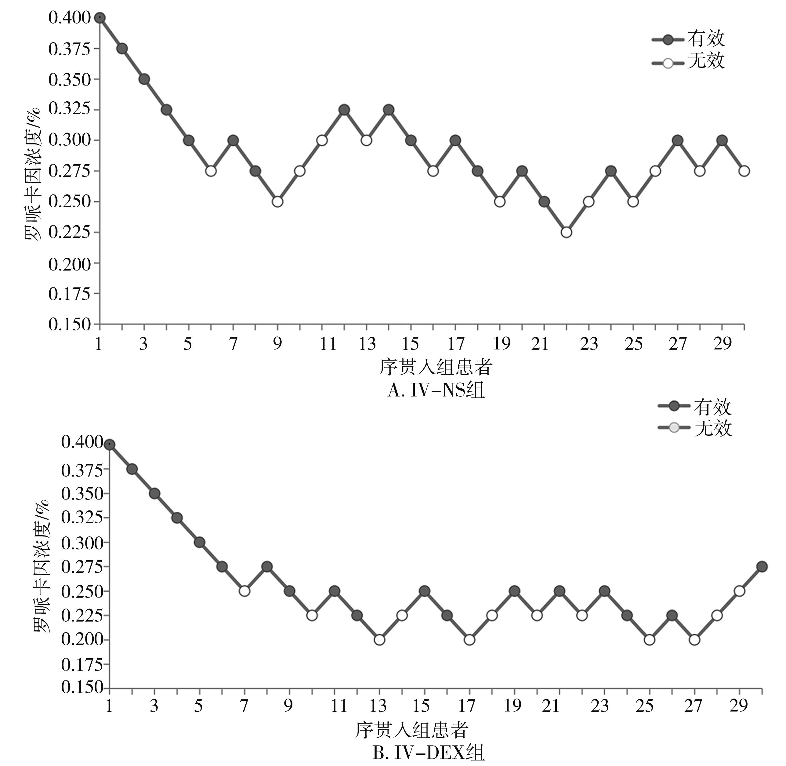
    • 静脉输注右美托咪定对罗哌卡因骶管阻滞半数有效浓度的影响

      2023, 48(5):602-607. DOI: 10.13406/j.cnki.cyxb.003236

      摘要 (98) HTML (32) PDF 838.75 K (204) 评论 (0) 收藏

      摘要:目的 骶管阻滞具有操作简单、损伤小、起效快和麻醉效果明确等特点,是儿童和成人接受下肢、泌尿系统或肛肠手术的常用麻醉方法。静脉输注右美托咪定(intravenous dexmedetomidine,IV-DEX)是区域麻醉过程中常用的镇静方法,显示了其对局麻药的协同作用。本研究的目的是验证IV-DEX是否会降低局麻药骶管阻滞的半数有效浓度(median effective concentration,EC50)。方法 纳入60例计划行择期痔切除术的患者,分为2组,静脉输注生理盐水组(intravenous-normal saline,IV-NS组)和IV-DEX组。IV-NS组和IV-DEX组分别在骶管阻滞前15 min静脉输注20 mL生理盐水和1 μg/kg右美托咪定(生理盐水稀释至20 mL)。采用Dixon-Massey“上下”顺序分配法确定罗哌卡因骶管阻滞的EC50。记录患者术中生命体征,需要药物处理的低血压、心动过缓和术中其他不良反应发生情况。结果 IV-NS组罗哌卡因骶管阻滞的EC50为0.280%,IV-DEX组为0.233%(P<0.05)。与IV-NS组相比,IV-DEX组中罗哌卡因的EC50降低16.8%(P=0.000),具有统计学差异。2组间需要药物治疗的低血压、心动过缓和术中其他不良反应发生率无统计学差异。结论 IV-DEX可以降低罗哌卡因骶管阻滞的EC50,但IV-DEX可能导致低血压、心动过缓的发生率增加。因此,IV-DEX与局麻药协同作用的最佳剂量仍需要进一步探索。

      • 0+1
      • 1+1
      • 2+1
      • 3+1

主管单位 :重庆市教育委员会

主办单位 :重庆医科大学

编辑部 :《重庆医科大学学报》编辑部

主编:黄爱龙

编辑部主任 :唐秋姗

国际标准刊号:ISSN 0253-3626

国内统一刊号:CN 50-1046/R

  • 浏览排行
  • 引用排行
  • 下载排行
按检索
检索词