• 2023年第48卷第6期文章目次
    全 选
    显示方式: |
    • >基础研究
    • 重庆地区28 287例疑似地中海贫血儿童基因检测分析

      2023, 48(6):621-627. DOI: 10.13406/j.cnki.cyxb.003263

      摘要 (91) HTML (26) PDF 765.44 K (194) 评论 (0) 收藏

      摘要:目的 探讨重庆地区儿童地中海贫血基因检测阳性情况、基因型及分布特征。方法 对2011年1月至2022年12月重庆医科大学附属儿童医院就诊的28 287例经血液学筛查疑似地中海贫血儿童进行常见α和β地中海贫血基因突变位点检测,分析检出率和地中海贫血携带者检出构成比的变化趋势及基因型分布情况。结果 在28 287例疑似地中海贫血儿童中,共检测出15 249例地中海贫血患者,阳性率为53.91%。α、β、αβ地中海贫血阳性率分别为22.41%(6 340例)、30.43%(8 609例)和1.06%(301例),中重型地贫阳性率为2.47%(698例)。2011年至2022年间随年龄增加各组α地中海贫血携带者检出构成比的线性回归k值分别为-0.002、0.004、0.006、0.010、0.012,而β地中海贫血分别为0.011、0.004、0.002、-0.001。共检出21种α地中海贫血基因型,其中α地中海贫血主要基因型为--SEA/αα,占比69.58%。共检测出46种β地中海贫血基因型,其中β地中海贫血主要基因型为CD17/βN、CD41-42/βN及IVS-II-654/βN,占比分别为31.75%、27.92%、25.21%,一共为84.88%。结论 重庆地区儿童地中海贫血常见基因突变位点检测阳性率较高,中重型比例也较高。2011年至2022年间α地中海贫血携带者随年龄段增大检出率升高,而β地中海贫血降低,表明部分β地中海贫血患者基因诊断时间较晚。重庆地区儿童地中海贫血基因型集中在--SEA/αα、CD17/βN、CD41-42/βN及IVS-II-654/βN,与重庆地区成人一致,与广东、广西等地贫高发区有差异。这些结果对于本地区地中海贫血的干预和预防具有重要意义。

      • 0+1
      • 1+1
    • 血清固醇调节元件结合蛋白2与急性脑梗死相关性研究

      2023, 48(6):628-635. DOI: 10.13406/j.cnki.cyxb.003249

      摘要 (80) HTML (16) PDF 971.88 K (166) 评论 (0) 收藏

      摘要:目的 探讨血清固醇调节元件结合蛋白2(sterol regulatory element binding protein-2,SREBP-2)与急性脑梗死的相关性。方法 纳入2020年10月至2021年3月入住的134名急性脑梗死患者和34名健康体检者。通过酶联免疫吸附实验法(enzyme-linked immunosorbent assay,ELISA)检测血清SERBP-2浓度,并依据急性卒中Org 10 172治疗试验(trial of Org 10 172 in acute stroke treatment,TOAST)分型和是否合并糖尿病进行亚组分析。使用美国国立卫生研究院卒中量表(National Institutes of Health Stroke Scale,NIHSS)评分评估患者的病情严重程度,并分析血清SREBP-2与病情严重程度的相关性。使用改良Rankin量表评估患者的90 d功能预后,并将患者分为预后良好组和预后不良组,比较2组的血清SREBP-2浓度差异,并通过logistic回归分析血清SREBP-2是否与脑梗死预后相关。结果 脑梗死组的血清SREBP-2浓度明显低于对照组[72.60(57.50,83.35) ng/mL vs. 86.80(77.20,97.90) ng/mL,P=0.000]。血清SREBP-2浓度识别急性脑梗死患者和健康人群的曲线下面积为0.782(P=0.000)。大动脉粥样硬化型、心源性栓塞型、小动脉闭塞型脑梗死血清SREBP-2浓度均明显低于对照组(P=0.000,P=0.003,P=0.000)。合并糖尿病患者的血清SREBP-2高于不合并糖尿病的患者(P=0.021)。血清SREBP-2浓度与入院NIHSS评分无相关性(P>0.05)。脑梗死患者预后良好组血清SREBP-2浓度较预后不良组低,但差异无统计学意义(P>0.05),logistic回归分析显示血清SREBP-2浓度与脑梗死90 d功能预后无关(OR=1.016,95%CI=0.991~1.042,P=0.205)。结论 血清SREBP-2浓度在急性脑梗死患者中明显下降。血清SREBP-2对识别脑梗死患者与健康人群具有一定的效能。然而,血清SREBP-2浓度与患者病情严重程度和预后无关。

      • 0+1
      • 1+1
      • 2+1
    • 雌激素受体GPR30通过TXNIP/NLRP3信号通路减弱氧糖剥夺/复氧诱导的BV-2细胞氧化应激损伤和炎症反应

      2023, 48(6):636-640. DOI: 10.13406/j.cnki.cyxb.003254

      摘要 (158) HTML (28) PDF 871.97 K (240) 评论 (0) 收藏

      摘要:目的 通过研究雌激素受体G蛋白偶联受体30(G protein-coupled receptor 30,GPR30)对氧糖剥夺/再灌注(oxygen-glucose deprivation and reperfusion,OGD/R)BV-2小胶质细胞的氧化应激损伤和炎症反应的调控作用,探讨其对OGD/R BV-2小胶质细胞的保护作用及其相关机制。方法 取BV-2小胶质细胞ODG 4 h后再灌注2、4、6或12 h。Western blot检测细胞中GPR30的蛋白表达水平。将pcDNA3.1、pcDNA3.1-GPR30、sh-NC、sh-GPR30质粒转染BV-2小胶质细胞,OGD 4 h后再灌注12 h。qRT-PCR检测GPR30 mRNA的表达水平,验证其转染效率,Western blot检测细胞中GPR30、硫氧还蛋白相互作用蛋白(thioredoxin-interactingprotein,TXNIP)、NOD样受体热蛋白结构域相关蛋白3(NOD-like receptor thermal protein domain associated protein 3,NLRP3)、半胱氨酸天冬氨酸蛋白水解酶剪切体-1(cleaved cysteinyl aspartate specific proteinase-1,cleaved Caspase-1)的蛋白表达水平,ELISA检测细胞中活性氧(reactive oxygen species,ROS)、丙二醛(malondialdehyde,MDA)、超氧化物歧化酶(superoxide dismutase,SOD)、肿瘤坏死因子-α(tumor necrosis factor-α,TNF-α)、白细胞介素-6(interleukin-6,IL-6)、白细胞介素-1β(interleukin-1β,IL-1β)、白细胞介素-18(interleukin-18,IL-18)水平。结果 GPR30在OGD/R后显著上升,在6 h时达到峰值,而在12 h时与对照组没有显著差异。随后确定OGD处理4 h,复氧12 h的时间点进行后续实验。qRT-PCR验证慢病毒转染成功,与对照组相比,OGD/R组细胞中ROS、MDA、TNF-α、IL-6、IL-1β、IL-18水平及TXNIP、NLRP3、cleaved-Caspase-1蛋白表达水平显著上升,SOD活性显著下降(P<0.05);过表达GPR30抑制了ROS、MDA、TNF-α、IL-6、IL-1β、IL-18水平及TXNIP、NLRP3、cleaved-Caspase-1蛋白表达水平,促进了SOD活性;而干扰GPR30表达发挥了相反的作用。结论 GPR30能抑制 ODG/R处理后BV-2细胞内TXNIP/NLRP3信号通路分子的表达,抑制ODG/R诱导的 BV-2细胞氧化应激损伤和炎症反应,这可能是其保护ODG/R细胞的分子机制之一。

      • 0+1
      • 1+1
      • 2+1
    • 异常机械负荷加重大鼠颞下颌关节骨关节炎的组织病理学研究

      2023, 48(6):641-646. DOI: 10.13406/j.cnki.cyxb.003259

      摘要 (55) HTML (29) PDF 5.18 M (217) 评论 (0) 收藏

      摘要:目的 研究异常机械负荷在大鼠颞下颌关节软骨退变中的作用。方法 36只8周龄雌性SD大鼠随机分为4组,分别为对照组(control group,Con组)、Ⅱ型胶原蛋白酶组(collagenase type Ⅱ group,CⅡ组)、大张嘴组(wide mouth opening group,MS组)和Ⅱ型胶原酶+大张嘴组(collagenase type Ⅱ+wide mouth opening group,CⅡ+MS组)。HE染色、番红O-固绿染色观测软骨组织病理学变化,免疫组化实验检测炎性因子基质金属蛋白酶3(matrix metalloproteinase 3,MMP3)和聚蛋白多糖酶5(a disintegrin and metalloproteinase with thrombospondin motifs 5,ADAMTS5)的表达。结果 与Con组相比,CⅡ、MS和CⅡ+MS组大鼠颞下颌关节软骨后区总厚度、钙化层厚度和番红O阳性面积比均显著降低(均P<0.05),CⅡ、MS和CⅡ+MS组中MMP3和ADAMTS5的阳性表达均显著增高(均P=0.000);与CⅡ和MS组相比,CⅡ+MS组软骨钙化层厚度显著降低(均P=0.000),ADAMTS5表达显著增高(均P=0.000);MS和CⅡ+MS组软骨后区潮线呈波浪状。结论 异常机械负荷促使髁突软骨后区退变及改建,这将有助于异常负荷致颞下颌关节骨关节炎的机制研究。

      • 0+1
      • 1+1
      • 2+1
      • 3+1
    • TYG-BMI在维生素D和非酒精性脂肪肝中的中介作用

      2023, 48(6):647-655. DOI: 10.13406/j.cnki.cyxb.003250

      摘要 (74) HTML (38) PDF 663.82 K (210) 评论 (0) 收藏

      摘要:目的 分析维生素D水平、甘油三酯葡萄糖-体质指数(triglyceride glucose-body mass index,TYG-BMI)与2型糖尿病(type 2 diabetes,T2DM)合并非酒精性脂肪肝(nonalcoholic fatty liver disease,NAFLD)患者的相关性,探讨TYG-BMI在维生素D缺乏对NAFLD影响中的作用。方法 纳入河北省人民医院内分泌科住院的434例成年T2DM患者为研究对象。收集患者的人口学基本信息和血液指标,NAFLD通过超声诊断。维生素D缺乏定义为25-羟基维生素D[25-hydroxyvitamin D,25(OH)D]<20 ng/mL。采用Spearman相关分析方法,探讨25(OH)D、TYG-BMI和T2DM合并NAFLD危险因素之间的相关性。采用多元逻辑回归分析方法探讨25(OH)D、TYG-BMI与NAFLD之间的联系。采用中介分析方法探索TYG-BMI是否介导25(OH)D和NAFLD之间的联系。结果 ①在所有纳入的T2DM患者中,NAFLD组比无NAFLD组的25(OH)D水平更低[15.89(12.33,19.94) vs. 18.27(14.05,24.63),P<0.05],TYG-BMI水平更高[213.59(191.92,237.60) vs. 176.91(159.55,196.86),P<0.05],并且男性和女性均有同样的变化趋势(P<0.05)。②按照25(OH)D水平不同分组发现,维生素D缺乏组的NAFLD患病率(60.1%)高于维生素D不足组(45.4%)及维生素D充足组(23.3%),差异存在统计学意义(P<0.05)。③无论是男性患者还是女性患者,血清25(OH)D水平均与TYG-BMI呈负相关(男:r=-0.215,P<0.001;女:r=-0.271,P<0.001)。④采用logistic回归调整混杂因素后发现维生素D缺乏是T2DM患者发生NAFLD的危险因素(Model 1 OR=2.347,95%CI=1.423~3.871,P=0.001;Model 2 OR=2.478,95%CI=1.472~4.172,P=0.001;Model 3 OR=2.057,95%CI=1.172~3.610,P=0.012)。进一步按性别分亚组进行logistic回归分析,仅在女性中发现维生素D缺乏是T2DM患者发生NAFLD的独立危险因素(Model 1 OR=5.52,95%CI=2.008~15.177,P=0.001;Model 2 OR=5.342,95%CI=1.776-16.061,P=0.003;Model 3 OR=3.734,95%CI=1.108~12.578,P=0.034)。⑤在所有患者、男性患者和女性患者中TYG-BMI与NAFLD患病率均呈正相关(P<0.05)。⑥中介分析发现在所有患者或女性患者中,TYG-BMI部分介导了25(OH)D对NAFLD患病率的间接影响(中介百分比:所有患者58.66%,女性患者38.07%),而男性没有。结论 仅在女性T2DM患者中,维生素D缺乏与T2DM合并NAFLD发病率增加相关。其中维生素D缺乏导致T2DM合并NAFLD发生率增加的原因部分由TYG-BMI介导。

      • 0+1
      • 1+1
    • 当归芍药散通过调节Sirt1/NF-κB信号通路改善高脂饮食诱导大鼠非酒精性脂肪肝炎症反应

      2023, 48(6):656-661. DOI: 10.13406/j.cnki.cyxb.003261

      摘要 (87) HTML (27) PDF 1.71 M (245) 评论 (0) 收藏

      摘要:目的 研究当归芍药散治疗高脂饮食(high-fat diet,HFD)诱导的大鼠非酒精性脂肪性肝病(nonalcoholic fatty liver disease,NAFLD)炎症反应的作用机制。方法 将大鼠随机分为5组:正常组、HFD组、阿伐他丁组、当归芍药散低剂量组、当归芍药散高剂量组。大鼠给予高脂肪饲料(59.3%脂肪饲料)6周,正常组大鼠同时给予正常饲料。从第5周开始,阿伐他丁组大鼠灌胃给予25 mg/kg阿伐他丁2周,当归芍药散低剂量组大鼠灌胃给予12.9 g/kg当归芍药散2周,当归芍药散高剂量组大鼠灌胃给予25.8 g/kg当归芍药散2周,检测大鼠血清丙氨酸氨基转移酶(alanine aminotransferase,ALT)、天冬氨酸氨基转移酶(aspartate aminotransferase,AST)、甘油三酯(triglyceride,TG)、胆固醇(cholesterol,TC)、血清细胞因子水平。同时检测大鼠肝脏沉默信息调节因子1(sirtuin 1,Sirt1)/核转录因子-κB(nuclear factor kappa-B,NF-κB)信号通路蛋白表达。结果 与模型组比较,当归芍药散能显著降低血清ALT、AST、TG、TC、血清细胞因子水平,改善肝脏组织病理学改变。此外,显著增加大鼠肝脏Sirt1表达,抑制肝脏NF-κB蛋白表达。结论 当归芍药散通过Sirt1/NF-κB通路治疗HFD大鼠NAFLD。

      • 0+1
      • 1+1
      • 2+1
      • 3+1
      • 4+1
      • 5+1
      • 6+1
    • >临床研究
    • 机器人经口腔前庭入路与传统开放性甲状腺癌根治手术的对比研究

      2023, 48(6):662-666. DOI: 10.13406/j.cnki.cyxb.003242

      摘要 (77) HTML (39) PDF 1.89 M (190) 评论 (0) 收藏

      摘要:目的 比较达芬奇机器人辅助下经口腔前庭入路甲状腺癌根治手术(机器人组)与传统经颈部开放甲状腺癌根治手术(传统组)临床效果及卫生经济学。方法 回顾性分析2017年12月至2021年4月陆军军医大学大坪医院乳腺甲状腺外科收治的分别经机器人和传统手术治疗的62例单侧甲状腺癌根治手术患者的临床资料,观察分析2组手术时间、是否放置引流管、术后总引流量、引流管放置时间、疼痛评分、住院时间及住院费用等指标。结果 机器人组手术时间明显长于传统组,而在是否放置引流管、术后总引流量、引流管留置时间和住院时间方面明显优于传统组,差异有统计学意义(均P<0.01);但在住院费用方面,机器人组明显高于传统组(P<0.001)。结论 机器人辅助下经口腔前庭入路甲状腺癌根治手术在术后患者住院管理和住院时间方面优于传统开放手术,术后美容效果好,值得推广应用。

      • 0+1
      • 1+1
      • 2+1
      • 3+1
      • 4+1
      • 5+1
    • 晚期肺癌炎症指数预测房颤合并心衰患者预后的价值

      2023, 48(6):667-672. DOI: 10.13406/j.cnki.cyxb.003246

      摘要 (99) HTML (29) PDF 798.88 K (164) 评论 (0) 收藏

      摘要:目的 探讨晚期肺癌炎症指数(advanced lung cancer inflammation index,ALI)对心房颤动(atrial fibrillation,AF)合并心力衰竭(heart failure,HF)患者全因死亡的预测价值。方法 收集重庆医科大学附属第一医院的AF合并HF(AF-HF)患者临床资料,使用受试者工作特征(receiver operating characteristic,ROC)曲线评估ALI对全因死亡预测的能力,采用约登指数算取ALI的截断值,根据患者入院时ALI值分组(ALI>16.99组,ALI≤16.99组),并用Kaplan-Meier曲线对2组生存时间进行检验,最后利用多因素Cox逐步回归,分析ALI对本人群全因死亡的影响,并将样本分为瓣膜性AF及非瓣膜性AF进行亚组分析。结果 共纳入614名AF-HF患者,其中失访49名,对剩余565患者进行统计分析,其中ALI>16.99组370例,ALI≤16.99组195例,ALI≤16.99组共出现全因死亡113例(57.9%),ALI>16.99组出现全因死亡104例(28.1%),ALI≤16.99组的年龄更大,脑钠肽(brain natriuretic peptide,BNP)、D-二聚体、中性粒细胞百分比、尿素氮、肌酐、超敏C反应蛋白(high sensitivity C-reactive protein,hs-CRP)、活化部分凝血活酶时间(activated partial thromboplastin time,APTT)、白细胞、纽约心脏病协会心功能分级(New York Heart Association,NYHA)及心房颤动抗凝治疗出血风险评分系统(HAS-BLED出血风险评分)评分更高,体质指数(body mass index,BMI)、血红蛋白、淋巴细胞计数、白蛋白(albumin,ALB)、总胆固醇、低密度脂蛋白、高密度脂蛋白更低,差异有统计学意义。ALI预测AF-HF患者发生全因死亡的曲线下面积为0.660(95%Cl=0.614~0.705,P<0.001)。多因素Cox回归分析中,ALI≤16.99、肌酐、年龄>65岁、原发性高血压是AF-HF患者全因死亡的独立危险因素。亚组分析中,ALI≤16.99为瓣膜性及非瓣膜性AF-HF患者全因死亡的独立危险因素。结论 ALI与AF-HF患者的全因死亡相关,ALI≤16.99是AF-HF患者全因死亡的独立危险因素。因此,ALI可能有助于评估AF-HF患者的预后。

      • 0+1
      • 1+1
    • 乙型肝炎病毒相关性B细胞非霍奇金淋巴瘤的发生率及其临床特点的初步探讨

      2023, 48(6):673-678. DOI: 10.13406/j.cnki.cyxb.003255

      摘要 (68) HTML (22) PDF 646.42 K (161) 评论 (0) 收藏

      摘要:目的 了解乙型肝炎病毒(hepatitis B virus,HBV)感染对B细胞非霍奇金淋巴瘤(B-cell non-Hodgkin's lymphoma,B-NHL)发生和临床特点的影响。方法 对照分析非霍奇金淋巴瘤(non-Hodgkin's lymphoma,NHL)患者中乙型肝炎病毒表面抗原(hapatitis bsurface antigen,HBsAg)的携带率及HBV感染状态,比较不同类型B-NHL患者HBsAg阳性率差异及HBsAg阳性弥漫性大B细胞淋巴瘤(diffuse large B-cell lymphoma,DLBCL)与HBsAg 阴性DLBCL的临床特征、化疗反应和2年生存率。结果 共纳入597例NHL患者为NHL组,其中B-NHL 461例,T细胞非霍奇金淋巴瘤103例。B-NHL患者HBV感染率(17.1%)明显高于对照组(5.7%),差异有统计学意义(P=0.003)。T细胞非霍奇金淋巴瘤患者HBsAg阳性率(10.7%)与对照组(5.7%)无统计学差异(P=0.796)。对影响351例DLBCL患者总生存率的单因素分析结果显示,女性、年龄≥60岁、HBsAg阳性、肝功能异常、血清乳酸脱氢酶(lactate dehydrogenase,LDH)升高、Ann Arbor期Ⅲ~Ⅳ期以及国际预后指数(international prognostic index,IPI)评分3~5分是不利因素(均<0.05),而获得缓解是有利因素。Cox 回归分析显示患者年龄、HBsAg状态、Ann Arbor分期、治疗反应是影响患者预后的独立危险因素。与HBsAg阴性DLBCL比较,HBsAg阳性DLBCL患者发病年龄更轻(P=0.017),IPI评分较高(P=0.036)、Ann Arbor分期较晚(P=0.001)。HBsAg阳性DLBCL患者化疗有效率(完全缓解+部分缓解)和2年生存率显著低于HBsAg阴性DLBCL患者(P=0.026,P=0.031)。但2组乳酸脱氢酶升高率和脾脏受累率无显著差异。结论 HBsAg阳性患者可能有更高的风险患B-NHL,且HBV可能对B-NHL的临床特征和预后有负面影响。HBV不仅增加B-NHL的风险,还可加重病情,降低化疗效果,影响患者的远期预后。

      • 0+1
    • 急性ST段抬高型心肌梗死患者院内新发心房颤动的列线图预测模型构建与验证

      2023, 48(6):679-685. DOI: 10.13406/j.cnki.cyxb.003262

      摘要 (52) HTML (27) PDF 1.03 M (198) 评论 (0) 收藏

      摘要:目的 探究急性ST段抬高型心肌梗死(ST-segment elevation myocardial infarction,STEMI)患者新发心房颤动(new-onset atrial fibrillation,NOAF)的风险预测模型构建并验证,以便为尽早发现高风险人群、及时采取干预措施提供依据。方法 选取2017年1月至2021年12月在重庆市第四人民医院心血管内科住院的1 080名STEMI患者,其中院内新发房颤患者作为NOAF组(n=87),从未发生NOAF的STEMI患者中随机抽取一部分作为对照组(n=199),比较2组患者人口学特征及入院时临床资料,利用LASSO回归模型分析STEMI患者发生院内新发心房颤动的风险因素。对纳入的患者按7∶3的比例划分为模型组及验证组,建立个性化的院内NOAF预测模型并进行验证。结果 LASSO回归结果提示,年龄、入院心率、Killip分级≥II级、右房内径、二尖瓣中度以上反流、氨基末端脑钠肽前体(N-terminal pro-B-type natriuretic peptide,NT-proBNP)为STEMI患者发生院内NOAF的重要预测因素(P<0.05)。利用上述6个预测指标构建列线图模型。模型组曲线下面积(area under the curve,AUC)为 0.842(95%CI=0.780~0.905),准确度为0.840(95%CI=0.782~0.888);验证组 AUC 为 0.858(95%CI=0.774~0.943),准确度为0.826(95%CI=0.729~0.899)。同时,校准曲线提示预测模型的校正能力良好。结论 本研究成功构建了STEMI患者院内发生NOAF风险的预测模型,经相关指标证实该预测模型具有较好的预测效率和临床适用性。利用列线图可方便直观地协助临床医护人员筛选高NOAF风险患者,制定针对性的干预措施,为早期防治和改善预后提供依据。

      • 0+1
      • 1+1
      • 2+1
      • 3+1
    • 显微镜下多血管炎肺受累患者的临床特征及预后分析

      2023, 48(6):686-692. DOI: 10.13406/j.cnki.cyxb.003253

      摘要 (69) HTML (22) PDF 1.35 M (144) 评论 (0) 收藏

      摘要:目的 探究显微镜下多血管炎(microscopic polyangiitis,MPA)肺受累的临床特征与预后因素分析。方法 回顾性分析2014年1月1日至2021年3月1日于重庆医科大学附属第一医院确诊及随访至2022年3月1日的237例MPA肺受累患者临床资料。采用Kaplan-Meier方法和Cox比例风险回归模型分析生存数据,得出累积生存率及预后因素。结果 MPA肺受累患者的平均年龄是65.18岁,中位随访时间为26.13个月。在纳入研究的237例患者中,MPA伴弥漫性肺泡出血(diffuse alveolar haemorrhage,DAH)患者98例(41.35%)。MPA肺受累患者1年、3年、5年累积生存率分别为67.50%、54.10%、43.00%。中位生存时间为45.03(0.10,97.73)个月。MPA伴DAH患者1年、3年、5年累积生存率分别为63.30%、49.40%、40.20%。Cox多因素回归分析显示年龄>65岁(HR=1.981,95%CI=1.244~3.154,P=0.004)、白细胞总数(white blood cell,WBC)>10×109个/L(HR=1.860,95%CI=1.170~2.956,P=0.009)、血清肌酐(serum creatinine,sCr)>250 μmol/L(HR=1.987,95%CI=1.217~3.243,P=0.006)、氧合指数<300 mmHg(HR=2.780,95%CI=1.696~4.557,P<0.001)、诊断时第三版伯明翰血管炎活动性评分(Birmingham vasculitis activity score version 3,BVASv.3)(HR=1.040,95%CI=1.006~1.075,P=0.020)是影响患者生存时间的独立预测因素(P<0.05)。结论 MPA肺受累患者生存率低下,年龄>65岁、WBC>10×109个/L、sCr>250 μmol/L、氧合指数<300 mmHg、诊断时BVASv.3是MPA肺受累预后不良的独立危险因素。

      • 0+1
      • 1+1
      • 2+1
      • 3+1
      • 4+1
      • 5+1
      • 6+1
      • 7+1
    • 咬肌瓣改善腮腺浅叶前缘良性肿瘤术后并发症的临床研究

      2023, 48(6):693-695. DOI: 10.13406/j.cnki.cyxb.003245

      摘要 (61) HTML (28) PDF 1.04 M (178) 评论 (0) 收藏

      摘要:目的 分析咬肌瓣改善腮腺浅叶前缘良性肿瘤切除术后并发症的临床疗效。方法 回顾性分析2020年1月至2021年1月于重庆医科大学附属第一医院行腮腺浅叶前缘良性肿瘤切除术的患者共42 例,试验组18 例进行同期咬肌瓣旋转修复;对照组24 例不进行同期肌瓣的转移,仅拉拢缝合。随访收集分析以上所有患者术后半年内涎瘘、一年内味觉出汗综合征(Frey’s syndrome,FS)发生率及一年内凹陷畸形的主客观评分。结果 通过SPSS 25.0软件进行统计学分析,试验组和对照组凹陷畸形主客观评分有统计学意义(主观:1.33±0.84 vs. 2.46±0.78,P=0.000;客观:1.00±0.77 vs. 2.58±0.65,P=0.00);试验组与对照组涎瘘发生率(5.56% vs. 16.67%,P=0.370)与FS发生率(0.00% vs. 4.17%,P=1.000)无统计学意义。结论 咬肌瓣对腮腺浅叶前缘良性肿瘤术后的凹陷畸形修复有一定临床意义,可能是腮腺肿瘤术后缺损修复的新方法。

      • 0+1
      • 1+1
    • 成人上气道咳嗽综合征139例临床特征分析

      2023, 48(6):696-699. DOI: 10.13406/j.cnki.cyxb.003264

      摘要 (92) HTML (40) PDF 529.53 K (167) 评论 (0) 收藏

      摘要:目的 探讨成人上气道咳嗽综合征(upper airway cough syndrome,UACS)患者的临床特征,分析合并变应性鼻炎(allergic rhinitis,AR)和非变应性鼻炎(non-allergic rhinitis,NAR)患者之间存在的临床特征差异。方法 前瞻性分析2021 年7月至2022年6月在重庆医科大学附属第一医院耳鼻咽喉科治疗的139例UACS患者临床资料,将其分成NAR组和AR组。结果 确诊UACS患者139例,中位年龄39岁,女性占55.4%,其中AR患者49例(35.3%),NAR患者90例(64.7%)。中位咳嗽病程8(4,24)个月,平均莱切斯特咳嗽问卷(Leicester Cough Questionnaire,LCQ)评分(13.39±2.60)分。最常见的症状是流涕(84.2%)和鼻阻(72.7%)。鼻窦计算机断层扫描(computed tomography,CT)最常见的异常是鼻中隔偏曲(55.3%)和鼻甲肥大(52.4%)。以UACS作为慢性咳嗽的唯一原因有93例患者(66.9%)。AR合并哮喘的比例高于NAR(40.8% vs. 3.3%,P<0.001)。AR患者和NAR患者在年龄、性别、病程时间、生活质量评分和白细胞计数方面没有统计学差异。结论 UACS最常见的病因是NAR,除慢性咳嗽合并AR患者易出现鼻痒以外,慢性咳嗽伴AR或NAR的其他临床特征相似。鼻中隔偏曲在NAR患者中更常见,而鼻甲肥大更多见于AR患者。NAR与UACS的关系需进一步研究证明。

    • 腹腔镜手术与开腹手术在早期卵巢癌中的应用探讨

      2023, 48(6):700-702. DOI: 10.13406/j.cnki.cyxb.003260

      摘要 (56) HTML (21) PDF 451.89 K (160) 评论 (0) 收藏

      摘要:目的 通过比较腹腔镜手术与开腹手术在早期卵巢癌中的临床资料,探讨2种手术方式在早期卵巢癌中的应用价值。方法 收集在重庆医科大学附属第一医院妇科确诊并治疗的81例早期卵巢癌患者临床资料(其中43例行腹腔镜手术,38例行开腹手术),并对其进行术后临床随访。比较分析腹腔镜手术组和开腹手术组早期卵巢癌患者的相关临床指标。结果 比较发现,腹腔镜手术组尿管留置时间、住院时间、肛管排气时间均优于开腹手术组(P<0.05),而术中出血量、并发症发生率、肿瘤破裂发生率及3年局部复发率、远处转移率和生存率,2组无统计学差异(P>0.05)。结论 在早期卵巢癌治疗中,腹腔镜手术与开腹手术3年局部复发率、远处转移率和生存率无差异,但腹腔镜手术可以缩短患者术后引流管留置时间、住院时间和肛管排气时间。

    • 术前指标对子宫内膜癌淋巴脉管间隙浸润风险的影响

      2023, 48(6):703-707. DOI: 10.13406/j.cnki.cyxb.003247

      摘要 (66) HTML (34) PDF 635.79 K (164) 评论 (0) 收藏

      摘要:目的 研究影响淋巴脉管间隙浸润(lymph-vascular space invasion,LVSI)的子宫内膜癌(endometrial cancer,EC)患者临床病理特征,并确定独立危险因素。方法 回顾性分析2019年1月至2022年8月于遵义医科大学附属医院及第二附属医院住院的196例EC患者临床病理资料。评估的危险因素包括术前癌抗原125(carbohydrate antigen 125,CA125)水平、术前癌抗原199(carbohydrate antigen 199,CA199)水平、病理类型、组织学分级、肿瘤大小、肌层浸润深度、中性粒细胞-淋巴细胞比值、错配修复表达情况、Ki67、P53等。应用卡方检验及logistic回归分析确定EC患者LVSI的危险因素。结果 196例EC患者中,共有23例存在LVSI阳性,阳性率11.7%。多因素分析结果显示术前CAl25≥35 U/mL(OR=3.539,95%CI=1.252~10.008)、肌层浸润深度≥1/2(OR=3.893,95%CI=1.323~11.451)和低分化(组织学分级)(OR=3.206,95%CI=1.030~9.978)是EC患者LVSI的独立危险因素(P<0.05)。结论 术前CAl25≥35 U/mL、肌层浸润深度≥1/2和低分化(组织学分级)是EC患者LVSI的独立危险因素,重视术前预测因子联合评估EC患者的LVSI状态可以帮助术者进一步评估淋巴结受累情况及预后情况,从而更好地选择手术方式,实现个体化、精准化治疗。

      • 0+1
    • 心音图在心绞痛患者中的临床诊断价值

      2023, 48(6):708-711. DOI: 10.13406/j.cnki.cyxb.003241

      摘要 (66) HTML (28) PDF 480.31 K (159) 评论 (0) 收藏

      摘要:目的 探究现代心音图技术的相关参数在诊断心绞痛患者中的临床应用价值。方法 选取心内科因心绞痛入院且行冠状动脉造影的患者共150例。所有患者均进行常规心电图及心音心电图检查。结果 150例心绞痛患者中有81例经冠脉造影诊断为冠心病,69例经冠脉造影排除冠心病;第四心音(fourth heart sound,S4)、心电图ST-T改变在2组间的差异具有统计学意义(P<0.05);心电图ST-T改变诊断心绞痛的敏感度及特异度分别为54.3%及84.1%,而S4诊断心绞痛的敏感度及特异度分别为74.1%及82.6%。当ST-T改变与S4联合诊断心绞痛时,其敏感度及特异度分别为87.7%与81.2%。结论 S4与ST-T改变联合可提高心绞痛患者的诊断水平,可作为心绞痛患者诊断与评估的重要辅助指标。

    • 炎症评分系统对子痫前期诊断价值的研究

      2023, 48(6):712-714. DOI: 10.13406/j.cnki.cyxb.003256

      摘要 (55) HTML (37) PDF 446.72 K (173) 评论 (0) 收藏

      摘要:目的 研究外周血中性粒细胞-淋巴细胞比值(neutrophil-lymphocyte ratio,NLR)、血小板-淋巴细胞比值(platelet-lymphocyte ratio,PLR)、平均血小板体积(mean platelet volume,MPV)和血小板压积(platelet hematocrit,PCT)在子痫前期孕妇中的变化及临床意义。方法 回顾性研究160例子痫前期孕妇的外周血常规数据及临床资料。其中,160例子痫前期孕妇包含轻度子痫前期孕妇(mild preeclampsia,MPE)80例、重度子痫前期孕妇(severe preeclampsia,SPE)80例。对照组为同期就诊的80例正常孕妇(normal pregnancy,NP)。比较SPE、MPE和对照组之间NLR、PLR、MPV和PCT。结果 3组中性粒细胞、PLR、MPV、PCT比较差异有统计学意义(P<0.05),淋巴细胞差异无统计学意义(P>0.05)。MPE组与对照组比较,中性粒细胞差异有统计学意义(P<0.05)。SPE 组与NP组相比,中性粒细胞、血小板、PLR、MPV、PCT差异有统计学意义(P<0.05),SPE组与MPE组比较,中性粒细胞、血小板、PLR、MPV和PCT 差异有统计学意义(P<0.05)。结论 外周血中PLR、MPV和PCT检测用于子痫前期的诊断具有一定价值,同时可以反映子痫前期的严重程度。

    • 基于宏基因组二代测序诊断15例鹦鹉热衣原体肺炎临床特征与诊治分析

      2023, 48(6):715-720. DOI: 10.13406/j.cnki.cyxb.003248

      摘要 (49) HTML (29) PDF 858.28 K (202) 评论 (0) 收藏

      摘要:目的 探讨和分析少见鹦鹉热衣原体肺炎的临床特征、诊治及预后,以期提升临床相关学科领域对该病的认识。方法 回顾性研究赣南医学院第一附属医院2017年1月至2022年12月确诊的15例鹦鹉热衣原体肺炎患者的临床资料,总结并分析该病的临床特征、诊断与鉴别要点,同时检索国内外文献资料对鹦鹉热衣原体肺炎的最新诊疗进展予以系统性讨论。结果 纳入本研究的15例鹦鹉热衣原体肺炎患者中,男性10例(66.67%),女性5例(33.33%),年龄62(32~79)岁,禽类接触史14例(93.33%),基础疾病史8例(53.3%),转化为重症肺炎5例(33.33%)。15例患者中,白细胞计数(white blood cell count,WBC)正常8例(53.3%),WBC升高5例(33.3%),WBC减低2例(13.3%);血红蛋白(hemoglobin,HGB)正常9例(60.0%),减低6例(40.0%);中性粒细胞百分比(neutrophils,NE)升高13例(86.7%);所有患者(100.0%)C反应蛋白(C-reactive protein,CRP)均显著升高;13例(86.67%)患者降钙素原(procalcitonin,PCT)升高;12例(80.0%)患者乳酸脱氢酶(lactate dehydrogenase,LDH)升高;11例(73.33%)肝功能异常;8例(53.33%)肾功能异常;6例(40.0%)凝血功能异常;13例(86.7%)电解质紊乱。此外,11例(73.33%)患者动脉血气分析显示不同程度血氧分压降低,8例(53.33%)氧合指数(oxygenation index,OI)低于300 mmHg,4例(26.67%)患者无明显呼吸困难,未进行动脉血气分析检查。本研究所有患者均已完善经支气管镜检查,并获取支气管肺泡灌洗液(bronchoalverolar lavage fluid,BALF)行宏基因组二代测序(metagenomic next-generation sequencing,mNGS)检测,检出的病原体除鹦鹉热衣原体外,所有患者均合并多种病原体感染。15例患者均已完善肺部电子计算机断层扫描(computed tomography,CT)等影像学检查,单侧肺部实变7例(46.67%),双侧实变8例(53.33%);9例(60.0%)患者伴有胸腔积液,部分患者可以表现出多种影像学表现,包括实变影、磨玻璃影、团块样实变影、反晕征、纵隔和肺门淋巴结肿大等。15例鹦鹉热衣原体肺炎患者在确诊后均予规范抗感染治疗,其中5例重症肺炎患者中2例患者予体外膜肺氧合(extracorporeal membrane oxygenation,ECMO)辅助治疗,所有患者均未见治疗相关不良反应或不良事件,平均住院日为13.9 d。本研究所有患者未见死亡,均好转出院。结论 鹦鹉热衣原体肺炎临床特征及表现缺乏特异性,易出现重症化,经支气管肺泡灌洗液予mNGS检测可精准确诊,早期予四环素类及喹诺酮类抗生素可最大程度改善患者预后。

      • 0+1
      • 1+1
      • 2+1
      • 3+1
    • 成人伏立康唑个体化用药监测分析

      2023, 48(6):721-725. DOI: 10.13406/j.cnki.cyxb.003258

      摘要 (64) HTML (35) PDF 576.42 K (238) 评论 (0) 收藏

      摘要:目的 基于《伏立康唑个体化用药指南》中伏立康唑的谷浓度与抗感染的疗效、肝脏毒性相关性仅以一个中等质量的证据来评判,不能很好满足临床需求。本论文将建立动态监测成人住院患者的伏立康唑谷浓度变化,力求探究谷浓度与疗效、不良反应的相关性。方法 收集使用伏立康唑治疗的成人患者63例,共107份血液标本,采用酶免方法动态监测伏立康唑的药物谷浓度,观察患者的用药疗效、有无不良反应,剖析伏立康唑谷浓度与临床指标的相关性。结果 ①使用常规剂量伏立康唑治疗后,62/107(57.9%)血液标本的伏立康唑谷浓度在0.5~5.0 μg/mL,均数为2.7 μg/mL;4/107(3.7%)血液标本的谷浓度<0.5 μg/mL,均数为0.3 μg/mL;41/107(38.4%)血液标本的谷浓度>5.0 μg/mL,中位数为8.7 μg/mL。②谷浓度<0.5 μg/mL组、谷浓度≥0.5 μg/mL组治疗有效的比率分别为50.0%、74.5%,但2组差异无统计学意义(P=0.624)。提高1例谷浓度<0.5 μg/mL且治疗无效的患者剂量,使谷浓度达到有效浓度,感染症状获得改善。③10例(15.8%)发生不良反应,谷浓度>5.0 μg/mL的患者与谷浓度≤5.0 μg/mL的患者不良反应发生率分别为18.2%、14.6%,主要体现为肝功能异常。④伏立康唑谷浓度≤5.0 μg/mL的患者组与谷浓度>5.0 μg/mL的患者组碱性磷酸酶(alkaline phosphatase,ALP)、谷氨酰转肽酶(glutamyl transpeptidase,GGT)差异有统计学意义(P<0.05),当谷浓度>5.0 μg/mL时,抗感染治疗后,降钙素原(procalcitonin,PCT)明显降低(P<0.05)。结论 伏立康唑血药浓度个体间差异较大,必须规律监测谷浓度。伏立康唑谷浓度与肝功能、感染指标相关,可能要加大人群数或者在CYP2C19基因检测支持下来观察谷浓度与疗效、不良反应的相关性。

      • 0+1
    • >个案报道
    • 19p13.13微重复综合征致身材矮小及智力低下1例临床表型及遗传学分析

      2023, 48(6):726-731. DOI: 10.13406/j.cnki.cyxb.003257

      摘要 (56) HTML (23) PDF 2.23 M (154) 评论 (0) 收藏

      摘要:

      • 0+1
      • 1+1
      • 2+1
      • 3+1
    • 罕见异常Hb Dagestan家系的临床特征分析

      2023, 48(6):732-734. DOI: 10.13406/j.cnki.cyxb.003252

      摘要 (43) HTML (14) PDF 1.17 M (159) 评论 (0) 收藏

      摘要:

      • 0+1
      • 1+1
      • 2+1
      • 3+1
    • 胰腺癌合并抗AMPA2受体脑炎1例

      2023, 48(6):735-737. DOI: 10.13406/j.cnki.cyxb.003244

      摘要 (43) HTML (17) PDF 2.65 M (174) 评论 (0) 收藏

      摘要:

      • 0+1
      • 1+1
      • 2+1
      • 3+1
      • 4+1
    • 卵巢癌PARP抑制剂维持治疗期间盆腔淋巴囊肿伴急性感染1例报道

      2023, 48(6):738-740. DOI: 10.13406/j.cnki.cyxb.003243

      摘要 (39) HTML (16) PDF 500.62 K (163) 评论 (0) 收藏

      摘要:

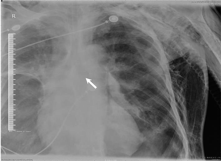
    • 心肺复苏中困难插管致气胸和大量皮下气肿1例报道

      2023, 48(6):741-742. DOI: 10.13406/j.cnki.cyxb.003284

      摘要 (50) HTML (17) PDF 811.51 K (193) 评论 (0) 收藏

      摘要:

      • 0+1
      • 1+1
      • 2+1
      • 3+1

主管单位 :重庆市教育委员会

主办单位 :重庆医科大学

编辑部 :《重庆医科大学学报》编辑部

主编:黄爱龙

编辑部主任 :唐秋姗

国际标准刊号:ISSN 0253-3626

国内统一刊号:CN 50-1046/R

  • 浏览排行
  • 引用排行
  • 下载排行
按检索
检索词