• 2023年第48卷第7期文章目次
    全 选
    显示方式: |
    • >基础研究
    • 人羊膜上皮细胞通过抑制中性粒细胞胞外诱捕网促进糖尿病创面愈合

      2023, 48(7):743-752. DOI: 10.13406/j.cnki.cyxb.003279

      摘要 (720) HTML (76) PDF 3.92 M (348) 评论 (0) 收藏

      摘要:目的 糖尿病创面愈合延迟的特征是多细胞功能障碍及中性粒细胞胞外诱捕网(neutrophil extracellular traps,NETs)的形成。既往研究表明人羊膜上皮细胞(human amniotic epithelial cells,hAECs)可通过调节成纤维细胞、巨噬细胞和血管内皮细胞促进糖尿病创面愈合。但hAECs对NETs是否有影响仍不得而知。本研究旨在阐明hAECs对NETs的影响。方法 体内:糖尿病大鼠模型通过链脲佐菌素(streptozotocin,STZ)诱导,在背部建立创面,用hAECs混悬液或PBS(Phosphate buffered saline)对创面进行干预后观察第5和第10天的愈合率,同时检测创面组织NETs相关的生物标志物。体外:提取人中性粒细胞,并用佛波醇(phorbol 12-myristate 13-acetate,PMA)刺激,建立体外NETs模型。分别用24、48 h人羊膜上皮细胞的条件培养基(conditioned medium for human amniotic epithelial cells,CM-hAECs)干预中性粒细胞,观察其对NETs生成的作用。结果 在第5和第10天,hAECs细胞混悬液干预的创面愈合率均显著高于PBS干预的创面[(32.61±2.48)% vs.(20.80±2.70)%,P=0.028;(86.35±0.92)% vs.(61.52±3.70)%,P<0.001],且最佳浓度为5×105个/mL。hAECs细胞混悬液干预组创面组织中NETs相关蛋白组蛋白3(citrullinated histone,Cit-H3)和中性粒细胞弹性蛋白酶(neutrophil elastase,NE)的表达在第5天和第10天降低。体外研究表明,hAECs的条件培养基可抑制NETs的生成。结论 hAECs可能通过抑制NETs的生成促进糖尿病创面的愈合。

      • 0+1
      • 1+1
      • 2+1
      • 3+1
      • 4+1
      • 5+1
      • 6+1
      • 7+1
      • 8+1
      • 9+1
      • 10+1
      • 11+1
      • 12+1
      • 13+1
      • 14+1
      • 15+1
      • 16+1
      • 17+1
      • 18+1
      • 19+1
      • 20+1
      • 21+1
      • 22+1
      • 23+1
      • 24+1
      • 25+1
      • 26+1
      • 27+1
      • 28+1
      • 29+1
      • 30+1
      • 31+1
      • 32+1
    • XL413通过抑制DNA复制诱导细胞凋亡来抑制结肠癌细胞增殖

      2023, 48(7):753-759. DOI: 10.13406/j.cnki.cyxb.003269

      摘要 (205) HTML (51) PDF 2.42 M (264) 评论 (0) 收藏

      摘要:目的 探讨抑制细胞分裂周期蛋白7(cell division cycle 7,CDC7)的药物XL413对结直肠癌细胞的影响及其作用机制。方法 在多个结直肠癌细胞系中分别加入生理盐水和不同浓度的XL413处理72 h,用细胞活力检测试剂盒(cell counting Kit-8,CCK-8)检测细胞在450 nm处的吸光度值并计算细胞存活率和XL413的半抑制浓度(half maximal inhibitory concentration,IC50)值;Annexin V-FITC/PI双染法检测细胞凋亡;克隆形成实验检测细胞的再生能力;RNA-seq检测XL413对细胞转录组的影响;qRT-PCR法检测凋亡相关基因的mRNA表达量;Western blot检测DNA解旋微小染色体维持蛋白(minichromosome maintenance protein,MCM)复合体成员MCM2的磷酸化以及凋亡相关蛋白的表达水平。结果 与对照组相比,XL413处理组结直肠癌细胞的增殖、迁移、集落形成能力均下降(P=0.001 5);细胞早期和晚期凋亡比例增高(P=0.000 6);在基因转录表达水平上,XL413处理组的细胞凋亡标志B细胞淋巴瘤基因(B-cell lymphoma-2,BCL2/BCL2相关X基因BCL2 associated X,BAX)的比值下降(P=0.008 7);在蛋白水平上,XL413抑制DNA解旋相关蛋白MCM2的磷酸化,从而抑制细胞DNA复制,同时促进凋亡相关蛋白的表达增高。结论 XL413可以通过降低DNA解旋相关蛋白MCM2的磷酸化阻碍DNA的复制,诱导结直肠癌细胞凋亡。该研究为XL413未来用于结直肠癌治疗提供了一定的理论依据。

      • 0+1
      • 1+1
      • 2+1
      • 3+1
      • 4+1
      • 5+1
      • 6+1
      • 7+1
      • 8+1
      • 9+1
      • 10+1
      • 11+1
      • 12+1
      • 13+1
      • 14+1
      • 15+1
      • 16+1
      • 17+1
      • 18+1
      • 19+1
    • 瑞芬太尼对椎间盘退变模型大鼠椎间盘的影响及机制

      2023, 48(7):760-764. DOI: 10.13406/j.cnki.cyxb.003281

      摘要 (136) HTML (44) PDF 969.81 K (222) 评论 (0) 收藏

      摘要:目的 观察瑞芬太尼对椎间盘退变(intervertebral disc degeneration,IDD)模型大鼠椎间盘的保护作用,并探讨其作用机制。方法 将40只健康SD大鼠随机分为假手术组、模型组和瑞芬太尼低、中、高剂量组,每组8只;采用针刺纤维环法构建IDD模型;瑞芬太尼低、中、高剂量组于造模后以0.2、0.6、1.2 μg/(kg·min)经大鼠尾静脉泵注瑞芬太尼30 min,模型组和假手术组给予等量生理盐水泵注。采用苏木精-伊红(hematoxylin-eosin,HE)染色观察椎间盘组织病理变化;酶联免疫吸附法(enzyme linked immunosorbent assay,ELISA)检测血清肿瘤坏死因子-α(tumor necrosis factor α,TNF-α)、白细胞介素-6(interleukin-6,IL-6)、白细胞介素-1β(interleukin-1β,IL-1β)水平;Western blot检测椎间盘组织过氧化物酶体增殖物激活受体γ共激活因子-1α(peroxisome proliferator-activated receptor-1α,PGC-1α)、线粒体转录因子(mitochondrial transcription factor A,TFAM)、半胱氨酸天冬氨酸蛋白酶1(cysteine aspartic protease-1,Caspase-1)、消皮素D(gasdermin D,GSDMD)、NOD样受体热蛋白结构域3(NOD-like receptor family pyrin domain containing 3,NLRP3)、缺氧诱导因子-1α(hypoxia-inducible factor 1α,HIF-1α)、血管内皮生长因子(vascular endothelial growth factor,VEGF)蛋白表达。结果 与假手术组比较,模型组大鼠髓核缩小,纤维环排列紊乱,髓核细胞数量减少;血清TNF-α、IL-6、IL-1β水平升高(P<0.05);椎间盘组织PGC-1ɑ、TFAM蛋白表达水平降低,Caspase-1、GSDMD、NLRP3、HIF-1α、VEGF蛋白表达水平增加(P<0.05)。与模型组比较,瑞芬太尼中、高剂量组纤维环排列紊乱明显改善,髓核细胞数量明显增多;血清TNF-α、IL-6、IL-1β水平降低(P<0.05);椎间盘组织PGC-1α、TFAM蛋白表达水平增加,Caspase-1、GSDMD、NLRP3、HIF-1α、VEGF蛋白表达水平降低(P<0.05)。结论 瑞芬太尼可改善IDD模型大鼠椎间盘退变,其机制与抑制椎间盘炎症反应、细胞焦亡,调控HIF-1α/VEGF信号通路有关。

      • 0+1
      • 1+1
      • 2+1
      • 3+1
      • 4+1
      • 5+1
      • 6+1
      • 7+1
      • 8+1
      • 9+1
      • 10+1
      • 11+1
      • 12+1
      • 13+1
      • 14+1
      • 15+1
      • 16+1
    • 七叶皂苷钠对单侧输尿管梗阻后小鼠肾积水损伤的保护作用

      2023, 48(7):765-770. DOI: 10.13406/j.cnki.cyxb.003277

      摘要 (141) HTML (39) PDF 995.50 K (231) 评论 (0) 收藏

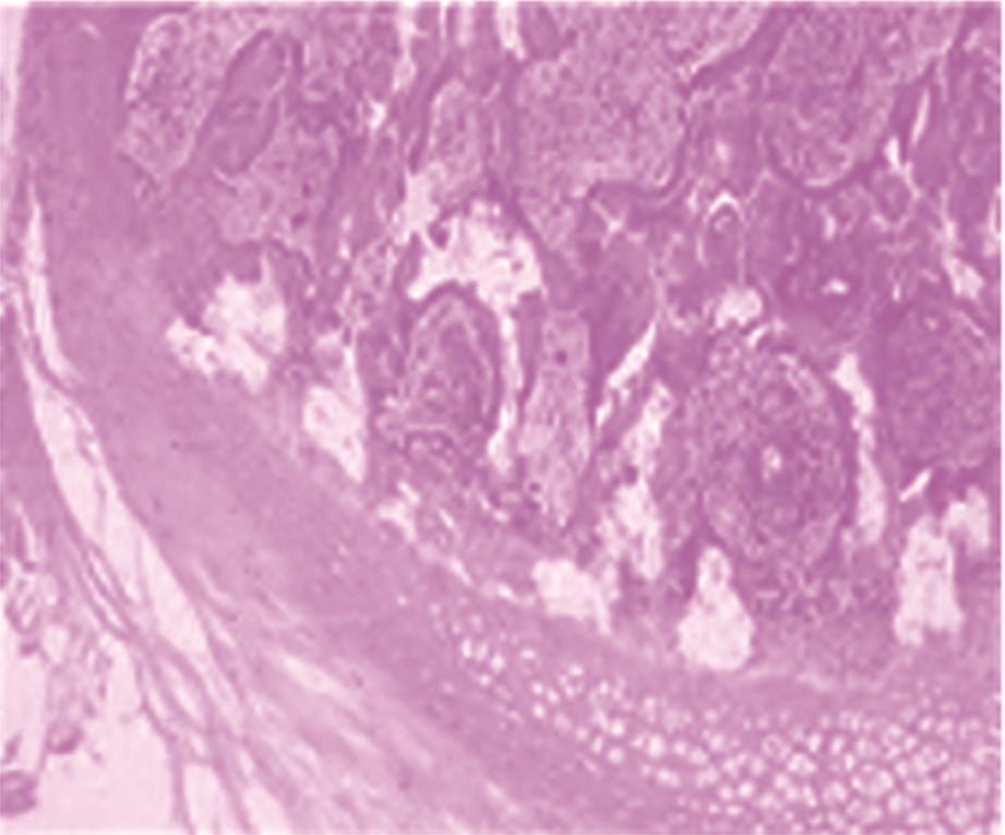
      摘要:目的 探讨七叶皂苷钠对小鼠单侧输尿管梗阻(unilateral ureteral obstruction,UUO)后肾积水损伤的改善及保护作用。方法 随机挑选24只健康雄性8周龄WTC57BL/6小鼠,将其分为假手术组(Sham组)、模型组(单侧输尿管梗阻组,UUO组)和七叶皂苷钠用药组(UUO+七叶皂苷钠组),每组8只。UUO模型为肾积水研究最常用模型,采取腰部切口并丝线结扎一侧输尿管(结扎单侧输尿管,并切除对侧肾脏,以确保单侧出现肾积水,并排除对侧肾脏正常代偿的影响),构建单侧输尿管梗阻小鼠肾积水模型,对各组进行相应处理后,全自动生化分析仪检测血清肌酐(serum creatinine,Scr)、尿素氮(blood urea nitrogen,BUN)水平;试剂盒检测肿瘤坏死因子-α(tumor necrosis factor-α,TNF-α)、白细胞介素-1β(interleukin-1β,IL-1β)、超氧化物歧化酶(superoxide dismutase,SOD)、丙二醛(malondialdehyde,MDA)含量;制备组织病理切片并行HE染色,光镜下观察肾组织病理学改变并做出对应的病理损伤评分;TUNEL法检测细胞凋亡水平。结果 与Sham组比较,UUO组Scr(21.49±2.87 vs. 11.21±1.79)、BUN(19.80±2.55 vs. 9.40±1.78)、TNF-α(20.06±1.32 vs. 10.18±0.56),IL-1β(9.65±0.79 vs. 3.46±0.59),MDA(26.01±1.02 vs. 15.12±1.15),细胞凋亡水平(150.02±14.78 vs. 86.82±5.66),肾病理损伤评分(3.00±0.46 vs. 0.00±0.00)水平显著升高(P=0.000),以及显著降低的SOD水平(95.63±3.13 vs. 143.66±5.44,P=0.000)。与UUO组相比,UUO+七叶皂苷钠组Scr(15.94±0.74 vs. 21.49±2.87)、BUN(13.08±0.85 vs. 19.80±2.55),TNF-α(15.01±0.90 vs. 20.06±1.32),IL-1β(5.62±0.65 vs. 9.65±0.79),MDA(19.12±1.08 vs. 26.01±1.02)、细胞凋亡水平(103.97±10.33 vs. 150.02±14.78)、肾病理损伤评分(1.57±0.36 vs. 3.00±0.46)水平显著降低(P=0.000),以及显著增加SOD水平(121.04±3.61 vs. 95.63±3.13,P=0.000)。结论 七叶皂苷钠通过发挥其抗炎、抑制氧化应激反应以及抗渗出以扩张血管张力作用,从而对UUO后肾积水损伤产生保护作用,成为一种潜在的治疗选择。

      • 0+1
      • 1+1
      • 2+1
      • 3+1
      • 4+1
      • 5+1
      • 6+1
      • 7+1
      • 8+1
      • 9+1
      • 10+1
      • 11+1
      • 12+1
      • 13+1
      • 14+1
      • 15+1
    • 香芹酚通过SIRT1/FOXO1通路减轻糖尿病肾病大鼠氧化应激损伤

      2023, 48(7):771-776. DOI: 10.13406/j.cnki.cyxb.003270

      摘要 (124) HTML (76) PDF 2.72 M (246) 评论 (0) 收藏

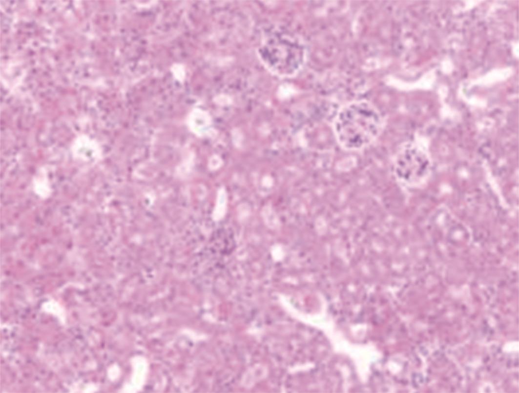
      摘要:目的 研究香芹酚通过SIRT1/FOXO1通路减轻糖尿病肾病(diabetic nephropathy,DN)大鼠氧化损伤的机制。 方法 采用高脂饮食和腹腔注射链脲佐菌素建立DN大鼠模型,将DN大鼠分为对照组、模型组、L-XQF组(5 mg/kg)、M-XQF组(10 mg/kg)和L-XQF组(20 mg/kg)。检测大鼠空腹血糖(fasting blood glucose,FBG)、尿素氮(urea nitrogen,BUN)、血肌酐(serum creatinine,SCr)、尿微量蛋白(urine microprotein,U-mAlb)的含量;之后处死大鼠,采集肾脏组织,HE染色和Masson染色分别观察大鼠肾脏组织病理变化和纤维化情况;ELISA法检测肾脏组织丙二醛(malondialdehyde,MDA)、超氧化物歧化酶(superoxide dismutase,SOD)和谷胱甘肽过氧化物酶(glutathione peroxidase,GSH-Px)水平;Western blot检测肾脏组织中SIRT1/FOXO1通路相关蛋白水平。 结果 香芹酚能够降低DN大鼠FBG、BUN、SCr、U-mAlb和MDA水平,改善大鼠肾脏组织病理损伤及纤维化,增加SOD、GSH-Px含量及SIRT1、FOXO1蛋白水平。 结论 香芹酚可能通过SIRT1/FOXO1通路抑制DN大鼠肾脏组织的氧化应激,从而减轻肾脏损伤及改善肾脏纤维化。

      • 0+1
      • 1+1
      • 2+1
      • 3+1
      • 4+1
      • 5+1
      • 6+1
      • 7+1
      • 8+1
      • 9+1
      • 10+1
    • 穿心莲内酯对TBHP诱导的椎间盘髓核细胞凋亡的作用及机制研究

      2023, 48(7):777-783. DOI: 10.13406/j.cnki.cyxb.003282

      摘要 (159) HTML (60) PDF 2.46 M (224) 评论 (0) 收藏

      摘要:目的 探讨穿心莲内酯(andrographolide,ANDRO)对叔丁基过氧化氢(tert-butyl hydroperoxide,TBHP)诱导的椎间盘髓核细胞(nucleus pulposus cells,NPC)凋亡的作用及其机制。方法 用TBHP诱导NPC建立细胞模型。将NPC分为5组:对照组、模型组(100 μmol/L TBHP)、ANDRO低剂量组(100 μmol/L TBHP+9 μmol/L ANDRO)、ANDRO中剂量组(100 μmol/L TBHP+18 μmol/L ANDRO)和ANDRO高剂量组(100 μmol/L TBHP+36 μmol/L ANDRO)。流式细胞术检测细胞凋亡和活性氧(reactive oxygen species,ROS)水平,ELISA试剂盒检测氧化应激相关指标超氧化物歧化酶(superoxide dismutase,SOD)、谷胱甘肽过氧化物酶(glutathione peroxidase,GSH-PX)和过氧化氢酶(catalase,CAT)水平,JC-1探针法检测线粒体膜电位,Western blot检测动力相关蛋白1(dynamin-related protein 1,Drp1)、p-Drp1和线粒体融合蛋白2(mitofusin 2,Mfn2)的表达水平。结果 与对照组相比,模型组NPC凋亡率、ROS水平和线粒体膜电位下降细胞比例明显升高(均P=0.000),SOD、GSH-PX和CAT水平明显降低(均P=0.000),p-Drp1/Drp1水平明显上调(P=0.000),Mfn2蛋白表达明显下调(P=0.000)。与模型组相比,经ANDRO高剂量干预后,NPC凋亡率[(41.37±0.84)% vs.(26.36±1.33)%]、ROS水平[(42.62±0.71)% vs.(22.50±0.37)%]和线粒体膜电位下降细胞比例[(43.85±0.71)% vs.(24.96±1.04)%]明显降低(均P=0.000),SOD[(288.16±14.59) ng/mL vs.(658.87±13.22) ng/mL]、GSH-PX[(6.66±0.37) ng/mL vs.(15.66±0.56) ng/mL]和CAT[(40.89±1.04) pg/mL vs.(87.91±1.56) pg/mL]水平明显升高(均P=0.000),p-Drp1/Drp1水平(0.96±0.05 vs. 0.63±0.01)明显下调(P=0.001、0.000),Mfn2蛋白表达(0.39±0.01 vs. 0.64±0.02)明显上调(均P=0.000)。结论 ANDRO具有抑制TBHP诱导的NPC细胞凋亡的作用,其机制可能与调节线粒体功能,缓解氧化应激有关。

      • 0+1
      • 1+1
      • 2+1
      • 3+1
      • 4+1
      • 5+1
      • 6+1
      • 7+1
      • 8+1
      • 9+1
      • 10+1
      • 11+1
    • 补骨脂酚启动自噬减轻β-GP诱导的小鼠主动脉中膜钙化

      2023, 48(7):784-792. DOI: 10.13406/j.cnki.cyxb.003276

      摘要 (105) HTML (34) PDF 4.93 M (254) 评论 (0) 收藏

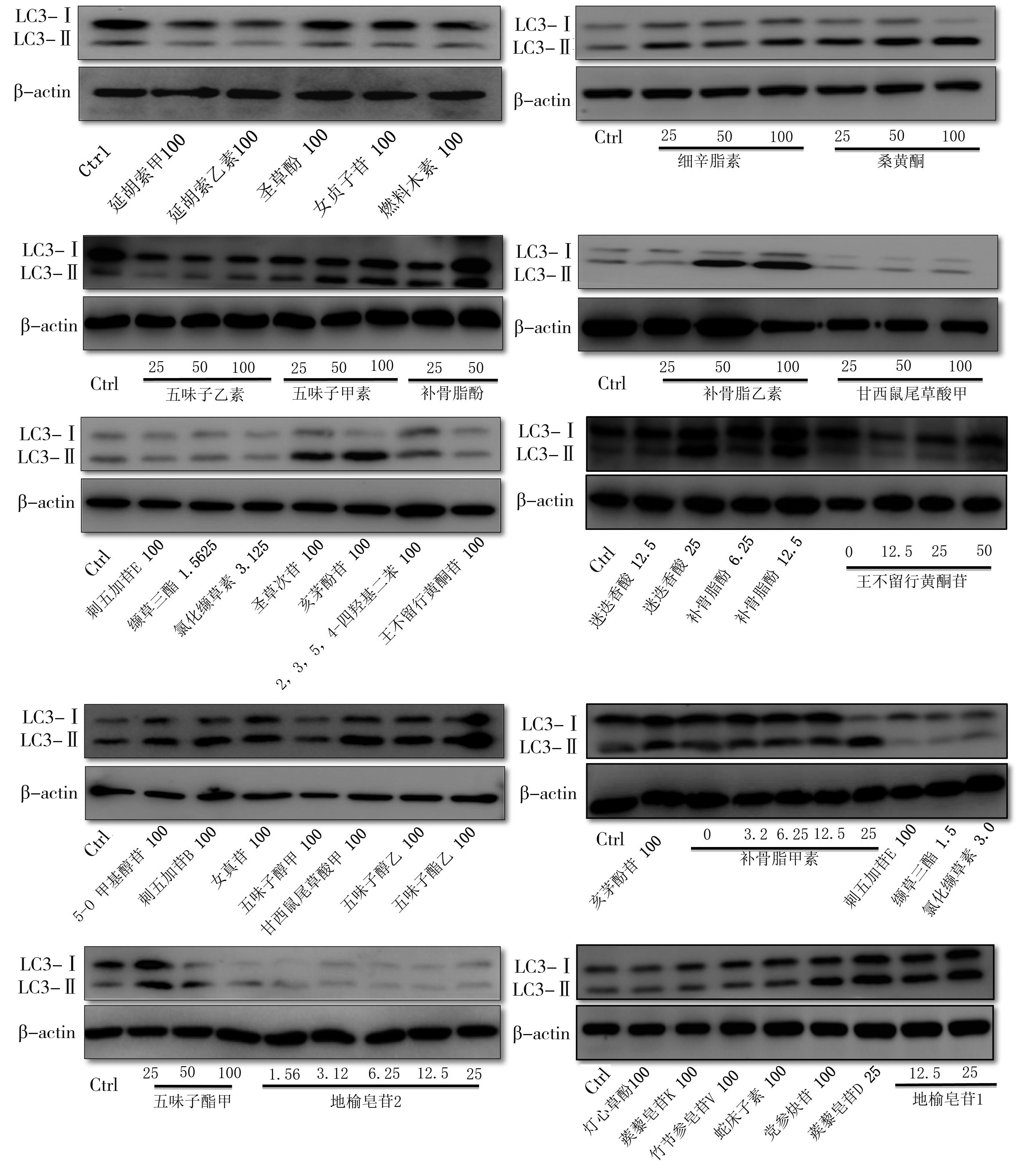
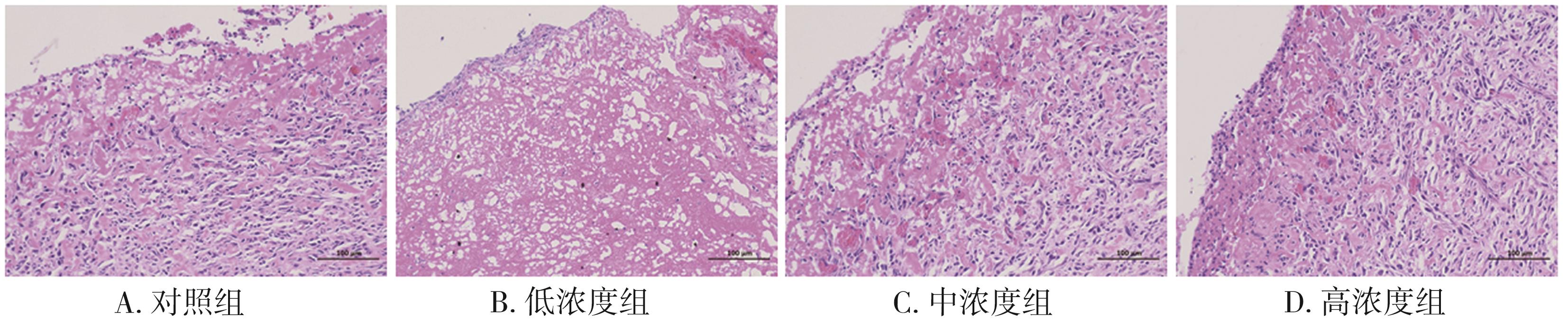
      摘要:目的 在选定的36种中药单体中筛选能够启动细胞自噬的药物;探究补骨脂酚对小鼠血管平滑肌细胞自噬的影响以及对血管平滑肌细胞钙化的影响。方法 从中草药中提取的黄酮类化合物以不同浓度处理人脑胶质瘤细胞(human glioma cells,U87)72 h,用MTT法得到药物对U87细胞的半抑制浓度(half maximal inhibitory concentration,IC50),并以小于IC50浓度的条件下以不同浓度梯度处理U87细胞,观察U87细胞GFP-LC3(微管相关蛋白1轻链3(Microtubule-associated protein light chain 3,LC3)的荧光信号和Western blot检测自噬指标LC3从而观察细胞自噬活动激活情况,以筛选出能够启动自噬的药物。后续选取补骨脂酚进行进一步实验,探究药物启动自噬后对血管平滑肌细胞钙化的影响。使用β-GP构建小鼠血管平滑肌细胞(vascular smooth muscle cells,VSMCs)钙化模型,分为对照组(C-CTR组)和钙化组(C-CAL组),并通过Western blot检测Runx2、BMP2及LC3的表达。使用补骨脂酚干预后,分为对照组(C-CTR组)、钙化组(C-CAL组)、钙化+补骨脂酚组(C-CAL+Administration组)、对照+补骨脂酚组(C-CTR+Administration组)4组,分别用Western blot检测LC3、Runx2和BMP2,用茜素红染色观察细胞钙化结节的形成。在动物实验中使用高脂饮食同时在腹腔注射维生素D的方式构建小鼠主动脉钙化模型,使用腹腔注射补骨脂酚的方式对小鼠进行干预,分为对照组(CTR组)、钙化组(CAL组)、钙化+补骨脂酚组(CAL+Administration组)、对照+补骨脂酚组(CTR+Administration组)4组。通过冯库萨染色观察主动脉中膜钙沉积情况,使用HE染色法观察小鼠主动脉中膜的厚度。结果 观察LC3的荧光强度和Western blot提示:细辛脂素(Asarinim)、补骨脂甲素(Bavachin)、灯心草酚(Juncusol)、桑黄酮(Mullberrin)、地榆皂苷2(Ziyuglycoside 2)、补骨脂酚(Bakuchiol)、补骨乙素(Corylifolinin)、五味子甲素(Schisandrin A)、五味子乙素(Schisandrin B)可以显著增加自噬小体的表达(P<0.05)。Western blot结果提示,在钙化的血管平滑肌细胞中,BMP2、Runx2以及LC3的表达显著增加(P<0.05)。使用补骨脂酚干预后Western blot结果提示BMP2和Runx2表达降低(P<0.05),LC3-Ⅱ表达显增加(P<0.05)。茜素红结果显示钙结节沉积也显著降低(P<0.05)。动物实验中,补骨脂酚干预后HE结果显示中膜厚度较钙化组显著增厚,冯库萨染色结果提示补骨脂酚可以显著减轻钙沉积。结论 补骨脂酚可以激活VSMCs的自噬,并减缓小鼠主动脉钙化的进程。

      • 0+1
      • 1+1
      • 2+1
      • 3+1
      • 4+1
      • 5+1
      • 6+1
      • 7+1
      • 8+1
      • 9+1
      • 10+1
      • 11+1
      • 12+1
      • 13+1
      • 14+1
      • 15+1
      • 16+1
      • 17+1
      • 18+1
    • >临床研究
    • 流式免疫表型分析在11例侵袭性NK细胞白血病中的诊断价值分析

      2023, 48(7):793-797. DOI: 10.13406/j.cnki.cyxb.003273

      摘要 (122) HTML (60) PDF 1.70 M (248) 评论 (0) 收藏

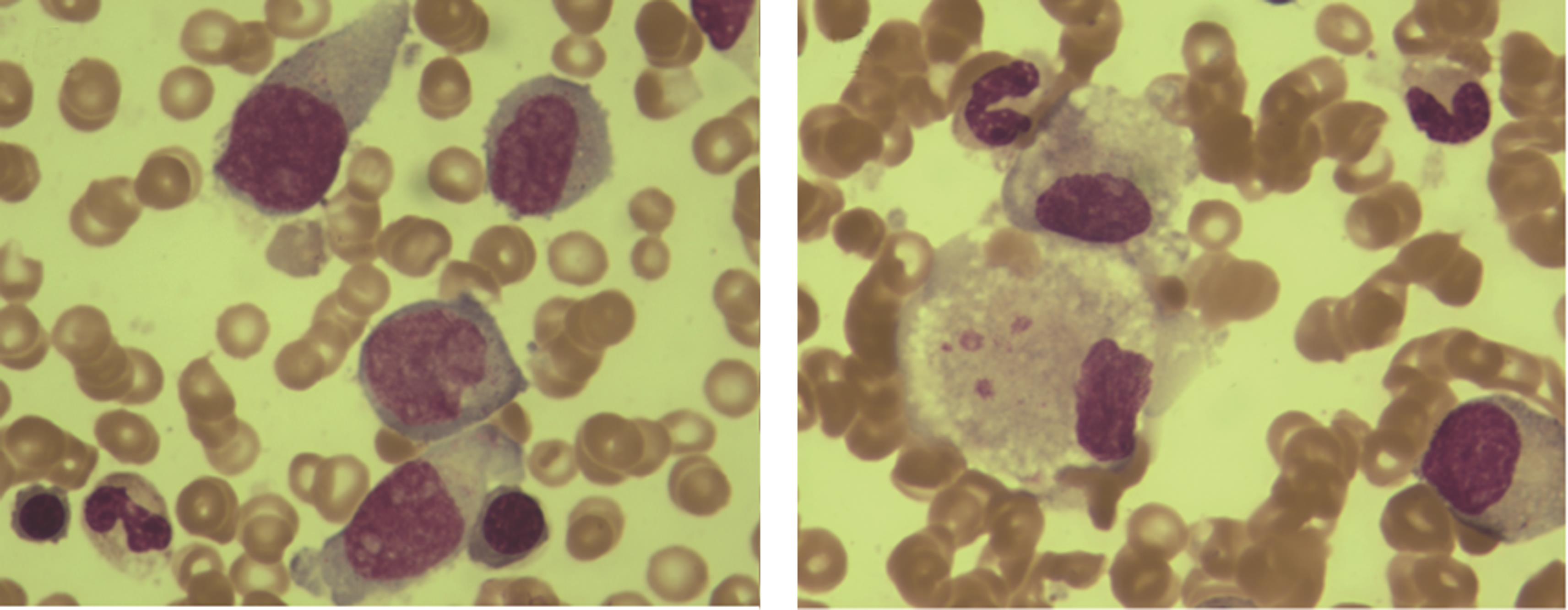
      摘要:目的 探讨流式细胞术(flow cytometry,FCM)免疫分型及临床和实验室特征对侵袭性NK细胞白血病(aggressive NK-cell leukemia,ANKL)的诊断价值。方法 回顾性分析2019年1月至2019年12月在四川大学华西医院确诊的11例ANKL患者临床资料,包括骨髓细胞形态学、流式免疫表型及病理结果。结果 所有患者均出现发热症状并均伴噬血细胞淋巴组织细胞增生症(hemophagocytic lymphohistocytosis,HLH)。8例骨髓涂片中可见噬血细胞。流式细胞学示11例ANKL患者免疫表型均为:CD2+sCD3-CD4-CD8-CD56+CD19-,CD45和CD56表达强度增高(P=0.048)、细胞体积偏大(P=0.000),5例CDl6-,6例CD7表达缺失或部分缺失。8例行免疫组化检测,结果均为:CD3ε+、粒酶B+及EBER1/2-ISH+结论 ANKL的免疫表型有独特的特征,在ANKL的诊断和鉴别诊断中具有重要意义。综合分析病例的临床特点、细胞形态学、免疫表型等检查结果可实现对ANKL的及时诊断和鉴别诊断。

      • 0+1
      • 1+1
      • 2+1
      • 3+1
      • 4+1
      • 5+1
      • 6+1
      • 7+1
      • 8+1
      • 9+1
      • 10+1
      • 11+1
      • 12+1
    • 乙肝病毒核心相关抗原检测试剂盒的研发及临床检测

      2023, 48(7):798-804. DOI: 10.13406/j.cnki.cyxb.003280

      摘要 (140) HTML (24) PDF 1.34 M (206) 评论 (0) 收藏

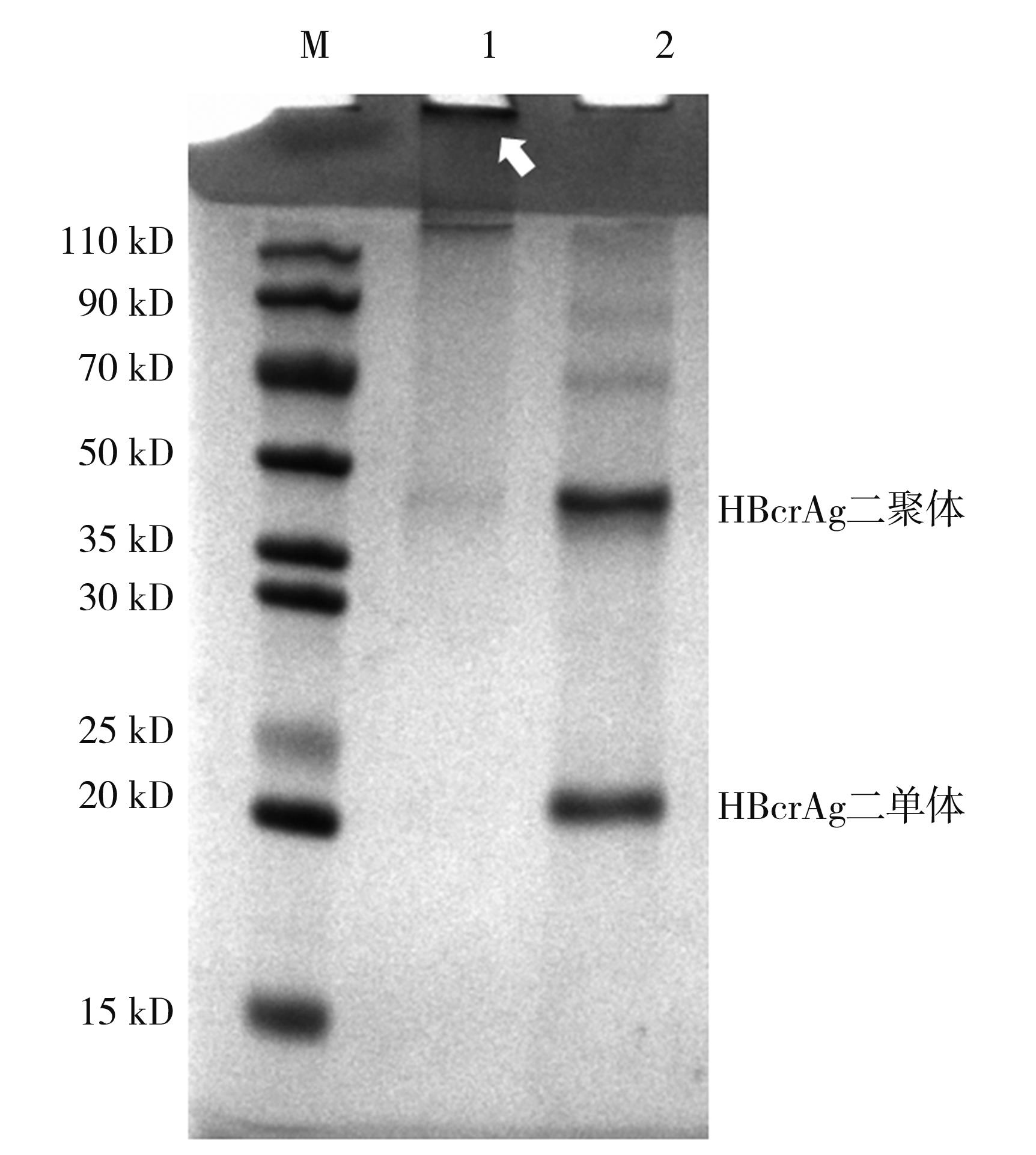
      摘要:目的 研发一种检测乙肝病毒核心相关抗原(hepatitis B core-related antigen,HBcrAg)的定量检测试剂盒并评价其性能。方法 通过研究原材料抗体、优化制备工艺和调整反应体系建立HBcrAg化学发光免疫检测方法,组装成试剂盒后利用重组HBcrAg和临床血清进行检测性能评估,数据处理使用IBM SPSS Statistics 20软件。结果 该试剂盒标准曲线为y=143.37x+344.91,R2=0.999 8;检测灵敏度为1.43 pg/mL;健康人参考区间 ≤ 25.595 pg/mL;检测208例慢性乙型肝炎患者血清,所有(18/18)乙型肝炎病毒(hepatitis B virus,HBV)DNA108~104 IU/mL血清HBcrAg检出值都在这个临界值以上;92.31%(24/26)HBV DNA103~102 IU/mL血清HBcrAg检出阳性;44.51%(73/164)HBV DNA低于检出限血清HBcrAg检出阳性。结论 本试剂盒能较好地检测慢性乙型肝炎患者血清中的HBcrAg水平,在辅助慢性乙型肝炎患者治疗效果监测和正确判断治疗终点方面具有重要应用价值。

      • 0+1
      • 1+1
      • 2+1
      • 3+1
      • 4+1
      • 5+1
      • 6+1
      • 7+1
      • 8+1
      • 9+1
      • 10+1
      • 11+1
      • 12+1
      • 13+1
    • 重庆市艾滋病综合防治示范区2016至2021年接受抗病毒治疗患者生存分析

      2023, 48(7):805-810. DOI: 10.13406/j.cnki.cyxb.003265

      摘要 (97) HTML (31) PDF 568.29 K (250) 评论 (0) 收藏

      摘要:目的 了解重庆市示范区人类免疫缺陷病毒(human immunodeficiency virus,HIV)/艾滋病(acquired immunodeficiency syndrome,AIDS)患者抗病毒治疗的生存状况,探索影响患者生存的影响因素。方法 采用回顾性队列研究方法对示范区2016至2021年≥18岁、首次接受抗病毒治疗患者进行生存分析,采用寿命表法计算生存率,采用Cox比例风险模型分析影响死亡的危险因素。结果 共纳入研究对象21 506例,共计随访54 919.63人年,全因死亡率为3.67/100人年;开始抗病毒治疗12、36、≥72个月的累积生存率分别为94.09%、88.65%、82.98%。多因素Cox比例风险回归模型分析显示,女性死亡风险是男性的0.54倍;开始治疗时年龄≥60岁的死亡风险是18~30岁的4.38倍;经同性性传播感染死亡风险是异性性传播感染的0.65倍;基线CD4+T细胞为200~349个/μL组和≥350个/μL组死亡风险是0~199个/μL组的0.61倍和0.49倍;确诊至治疗间隔时长为31~90、91~365、>365 d的死亡风险是<30 d的1.25、1.56、1.74倍;使用其他一线治疗方案和二线治疗方案患者的死亡风险是标准一线治疗方案的1.47、1.65倍。结论 重庆市示范区艾滋病抗病毒治疗患者死亡率进一步下降,开始治疗时年龄≥60岁、基线CD4+T细胞计数低、确诊至首次治疗间隔时间长的患者死亡风险较高,建议加强艾滋病早发现、早治疗。

      • 0+1
      • 1+1
      • 2+1
      • 3+1
      • 4+1
      • 5+1
      • 6+1
      • 7+1
      • 8+1
      • 9+1
    • 血浆置换联合双重血浆分子吸附系统人工肝治疗肝衰竭高胆红素血症患者疗效研究

      2023, 48(7):811-815. DOI: 10.13406/j.cnki.cyxb.003271

      摘要 (314) HTML (50) PDF 2.47 M (237) 评论 (0) 收藏

      摘要:目的 探讨血浆置换(plasma exchange,PE)联合双重血浆分子吸附系统(double plasma molecular adsorption system,DPMAS)即PE+DPMAS治疗前与第1次、第2次治疗后肝衰竭高胆红素血症患者的临床疗效。方法 采用回顾性分析方法,选取2020年1月至2022年5月于遵义医科大学附属医院就诊的57名肝衰竭患者,根据采取的人工肝治疗模式不同将接受PE治疗的24例患者纳入对照组,接受PE+DPMAS的33例患者纳入实验组。收集2组治疗前与2次治疗后肝衰竭高胆红素血症患者的临床资料,观察并对比2组治疗前后肝功能、凝血功能、营养状况等指标变化情况。结果 实验组与对照组治疗前总胆红素(total bilirubin,TBil)、丙氨酸转氨酶(alanine transaminase,ALT)、天冬氨酸转氨酶(aspartate aminotransferase,AST)、球蛋白(globulin,Glb)、纤维蛋白原(fibrinogen,FIB)与第1次、第2次治疗后比较差异均有统计学意义(P<0.05),但实验组治疗比对照组治疗能更好地清除TBil、ALT、AST。2组治疗前、第1次治疗后、第2次治疗后TBil分别为(388.37±180.26) μmol/L vs. (382.37±151.39) μmol/L、(296.22±137.81) μmol/L vs. (310.76±113.57) μmol/L、(244.63±143.40) μmol/L vs. (293.91±149.77) μmol/L,差异无统计学意义(P>0.05)。实验组治疗前与2次治疗后白蛋白比较差异均无统计学意义(P>0.05),对照组比较差异均有统计学意义(P<0.05);实验组国际标准化比率(international normalized ratio,INR)治疗前与2次治疗后比较差异无统计学意义(P>0.05),对照组比较差异有统计学意义(P<0.05)。前白蛋白、白蛋白与纤维蛋白原第1次治疗后2组比较差异均有统计学意义(P<0.05);实验组与对照组不同治疗节点比较,TBil、血小板、Glb、ALT、AST差异均无统计学意义(P>0.05)。结论 2次PE+DPMAS治疗模式更能有效吸附和降低肝衰竭患者体内的胆红素和转氨酶,且对凝血功能、白蛋白影响小,是治疗高胆红素血症患者的有效手段。

      • 0+1
      • 1+1
      • 2+1
      • 3+1
      • 4+1
      • 5+1
      • 6+1
      • 7+1
      • 8+1
      • 9+1
      • 10+1
      • 11+1
      • 12+1
      • 13+1
      • 14+1
      • 15+1
      • 16+1
      • 17+1
    • 宫腔镜组织切除系统治疗输卵管间质部妊娠的可行性及安全性探索

      2023, 48(7):816-819. DOI: 10.13406/j.cnki.cyxb.003267

      摘要 (79) HTML (56) PDF 1.09 M (213) 评论 (0) 收藏

      摘要:目的 探讨宫腔镜组织切除系统在输卵管间质部妊娠中治疗的可行性及安全性。方法 收集2019年4月至2022年4月江西省妇幼保健院妇科收治的采用宫腔镜组织切除系统治疗的16例未破裂型输卵管间质部妊娠患者的临床资料,回顾性分析患者的术前血β-人绒毛膜促性腺激素(beta-human chorionic gonadotropin,β-HCG)、B超情况、手术时间、术中出血量及术后血β-HCG正常时间等。结果 16例未破裂型输卵管间质部妊娠患者术前血β-HCG值为830~31 153 mIU/mL,平均(8 643.561±1 752.000) mIU/mL,B超下妊娠物最大为33 cm×28 cm,最小为11 cm×10 cm。均在检查镜下明确诊断为输卵管间质部妊娠,使用宫腔镜组织切除系统行间质部妊娠病灶清除术,其中2例中转腹腔镜,平均手术时间为34(20,92) min,平均术中出血量为46.6(10,250) mL,术程顺利,无明显并发症。术后平均住院时间2 d,血β-HCG恢复正常时间为(22.00±5.11) d,术后1个月复查B超均未见妊娠组织残留,术后半年随访过程中共5例患者成功受孕。结论 宫腔镜组织切除系统在未破裂型输卵管间质部妊娠治疗中可保留器官完整性。

      • 0+1
      • 1+1
      • 2+1
      • 3+1
      • 4+1
      • 5+1
      • 6+1
      • 7+1
      • 8+1
      • 9+1
      • 10+1
    • 带状疱疹节段性轻瘫的电生理特点分析

      2023, 48(7):820-823. DOI: 10.13406/j.cnki.cyxb.003272

      摘要 (87) HTML (19) PDF 1.14 M (204) 评论 (0) 收藏

      摘要:目的 分析带状疱疹节段性轻瘫的电生理特点。方法 回顾分析2017年10月至2022年10月肌电图室接诊的11例带状疱疹节段性轻瘫患者神经电生理检查结果。结果 11例患者的电生理结果均异常,神经传导异常率为20.9%(41/196)。运动神经异常率为26.0%(26/100),感觉神经异常率为15.6%(15/96),以受累神经波幅降低为主。与健侧对比,神经传导波幅异常率为18.4%(36/196),其中运动传导波幅异常率为23.0%(23/100),感觉传导波幅异常率为13.5%(13/96)。炎性神经病病因和治疗量表(Inflammatory Neuropathy Cause and Treatment,INCAT)评分与复合肌肉动作电位(compound muscle action potential,CMAP)波幅下降比例最大值呈正相关(P<0.05)。针极肌电图显示受累肌肉呈神经源性损害改变。结论 带状疱疹节段性轻瘫患者的电生理结果分为神经丛型、神经根型、单神经型,以轴索损害为主。神经传导联合针极肌电图检测对带状疱疹节段性轻瘫的早期诊断、肌肉定位、病情的严重程度评估有重要价值。

      • 0+1
      • 1+1
    • 癌症复发恐惧在中青年淋巴瘤患者家庭功能与创伤后成长间的中介效应研究

      2023, 48(7):824-830. DOI: 10.13406/j.cnki.cyxb.003268

      摘要 (142) HTML (34) PDF 579.71 K (204) 评论 (0) 收藏

      摘要:目的 探讨癌症复发恐惧在中青年淋巴瘤患者家庭功能与创伤后成长间的中介作用。方法 采用自行设计一般资料调查表、创伤后成长量表、癌症患者恐惧疾病进展简化量表、家庭功能评定量表对280例淋巴瘤患者进行调查。结果 淋巴瘤患者创伤后成长总分为(69.69±17.75)分,与既往调查结果一致,个人力量条目均分最高;淋巴瘤患者恐惧疾病进展量表总分为(40.01±9.08)分,高于大肠癌、乳腺癌患者得分;淋巴瘤患者家庭功能总分为(134.61±22.11)分,家庭功能处于一般水平。创伤后成长、癌症复发恐惧、家庭功能三者两两之间存在相关性。癌症复发恐惧在创伤后成长与家庭功能间发挥中介作用,中介效应占总效应比为32.69%。结论 临床护理工作中,要重视家庭访视和居家护理的作用,提高家属对患者治疗康复护理的积极性和投入度,改善患者家庭功能,加强健康教育,分享成功抗癌经验,降低患者的癌症复发恐惧,提高患者创伤后成长水平。

      • 0+1
    • >文献综述
    • 棕榈酸诱导胰岛β细胞功能障碍的分子机制研究进展

      2023, 48(7):831-839. DOI: 10.13406/j.cnki.cyxb.003283

      摘要 (129) HTML (131) PDF 2.56 M (385) 评论 (0) 收藏

      摘要:2型糖尿病(type 2 diabetes mellitus,T2DM)在临床上是以存在绝对或相对的胰岛素缺乏为特点的一种常见的代谢性疾病。胰岛β细胞是胰岛素分泌和血糖控制的核心。近年来研究发现,棕榈酸可直接或间接诱导胰岛β细胞功能障碍,这与T2DM的发生发展关系密切。但具体机制复杂,仍未充分阐明。因此,探究棕榈酸诱导胰岛β细胞功能障碍的分子机制一直是临床的迫切需要。本文综述了棕榈酸与胰岛β细胞内氧化应激、内质网应激、炎症反应、自噬、增殖、去分化和线粒体相关内质网膜相关分子机制的研究进展,并讨论临床改善胰岛β细胞功能的新靶点和新思路,以期为进一步有关T2DM的机制研究和临床治疗提供参考。

      • 0+1
      • 1+1
      • 2+1
      • 3+1
      • 4+1
      • 5+1
      • 6+1
    • 外泌体及其携带的microRNAs对脑缺血-再灌注损伤影响的研究进展

      2023, 48(7):840-847. DOI: 10.13406/j.cnki.cyxb.003266

      摘要 (109) HTML (25) PDF 973.39 K (219) 评论 (0) 收藏

      摘要:脑缺血-再灌注损伤(cerebral ischemia-reperfusion injury,CIRI)是继发于缺血性脑卒中血流再通后的脑组织损伤,有很高的致死率及致残率。外泌体是从细胞释放到细胞外空间的双层脂质膜结构微小囊泡,通过其携带的膜蛋白、细胞质蛋白和遗传物质,在细胞间起着传递信息、靶向运输及调节多种病理生理功能的作用。体内大多数细胞都可以分泌外泌体,外泌体及其携带的微小RNAs(microRNAs)在减轻CIRI后的神经功能损伤及促进脑血管再生中有着积极的作用。深入研究外泌体及其携带的microRNAs对CIRI的保护作用及其机制,可为外泌体的临床转化及CIRI治疗提供新思路。

      • 0+1
    • 间充质干细胞外泌体对肺动脉高压治疗作用的研究进展

      2023, 48(7):848-852. DOI: 10.13406/j.cnki.cyxb.003274

      摘要 (124) HTML (32) PDF 1.12 M (212) 评论 (0) 收藏

      摘要:肺动脉高压(pulmonary hypertension,PH)是一种以进行性肺血管收缩、肺血管重构、右心室肥厚为特征,进而导致右心衰竭的疾病。目前治疗PH的方法仍存在很多不足,需要寻找新的治疗策略。近年来,有关间充质干细胞(mesenchymal stem cells,MSC)对PH的治疗作用及机制研究相继被国内外许多学者所重视,成为PH细胞治疗的研究热点之一。其中,MSC的旁分泌机制被认为起到一个重要的治疗作用。从MSC中分离出的外泌体(exosomes,EXO)具有抑制肺血管重构的潜力,被认为是治疗PH的一种新的潜在治疗方法。本文就MSC外泌体在PH治疗中的作用及可能机制做一综述,从而为MSC的 EXO治疗PH提供理论依据。

      • 0+1
      • 1+1
      • 2+1
    • >个案报道
    • “镜面人”保留左结肠动脉腹腔镜低位直肠癌根治术1例

      2023, 48(7):853-856. DOI: 10.13406/j.cnki.cyxb.003278

      摘要 (87) HTML (56) PDF 3.64 M (283) 评论 (0) 收藏

      摘要:

      • 0+1
      • 1+1
      • 2+1
      • 3+1
      • 4+1
      • 5+1
      • 6+1
      • 7+1
      • 8+1
      • 9+1
      • 10+1
      • 11+1
      • 12+1
      • 13+1
      • 14+1
    • 妊娠合并多诱因顽固性代谢性酸中毒1例报道

      2023, 48(7):857-862. DOI: 10.13406/j.cnki.cyxb.003275

      摘要 (96) HTML (53) PDF 1.18 M (230) 评论 (0) 收藏

      摘要:

      • 0+1
      • 1+1

主管单位 :重庆市教育委员会

主办单位 :重庆医科大学

编辑部 :《重庆医科大学学报》编辑部

主编:黄爱龙

编辑部主任 :唐秋姗

国际标准刊号:ISSN 0253-3626

国内统一刊号:CN 50-1046/R

  • 浏览排行
  • 引用排行
  • 下载排行
按检索
检索词