• 2023年第48卷第8期文章目次
    全 选
    显示方式: |
    • >膀胱癌
    • 生物标志物炎症因子、细胞焦亡因子和铁死亡因子在膀胱癌治疗与预后中的价值

      2023, 48(8):863-868. DOI: 10.13406/j.cnki.cyxb.003316

      摘要 (196) HTML (47) PDF 522.04 K (862) 评论 (0) 收藏

      摘要:根据2020年全球癌症统计,膀胱癌(bladder cancer,BC)是全球诊断率第十高的癌症,是男性第六常见的癌症和第九大癌症死因。尽管膀胱癌的确切原因尚不清楚,但已经确定了一些因素与膀胱癌风险增加相关,如吸烟、化学物质暴露、年龄、性别、遗传因素、环境因素等。BC会导致疼痛、尿路感染、尿失禁和死亡等,对患者的健康情况及经济造成巨大的影响。为了更好地预防和治疗BC,生物标志物的检测可以被用来监测或预测BC的存在、进展或治疗效果。近年来,研究表明,BC的发展与炎症、细胞焦亡、铁死亡等分子机制密切相关。越来越多的研究也关注到这些分子机制相关的生物标志物在BC中的应用。本综述将探讨这些新型生物标志物在BC诊断、治疗与预后中的价值,为进一步在膀胱癌治疗的不同阶段有针对性地靶向上述分子,以达到控制疾病、延长无病间期、抑制肿瘤复发和转移的目的。

    • 肿瘤相关成纤维细胞作为预测非肌层浸润性膀胱癌复发的生物标志物的评估

      2023, 48(8):869-874. DOI: 10.13406/j.cnki.cyxb.003292.

      摘要 (131) HTML (57) PDF 1.71 M (736) 评论 (0) 收藏

      摘要:目的 探究肿瘤相关成纤维细胞作为生物学标志物预测非肌层浸润性膀胱癌(non-muscle invasive bladder cancer,NMIBC)患者术后复发的临床意义。方法 从基因表达综合(Gene Expression Omnibus,GEO)数据库下载转录组数据以及对应的临床信息,分析原发性和复发性膀胱癌样本中ACTA2的表达差异。免疫组织化学法(immunohistochemistry,IHC)检测56例膀胱癌样本中α-平滑肌肌动蛋白(α-smooth muscle actin,α-SMA)表达。绘制无复发生存曲线(recurrence-free survival,RFS)和时间依赖性受试者工作特征曲线(time-dependent receiver operating characteristic curves,tdROC)。采用单变量和多变量Cox比例风险回归模型分析α-SMA作为膀胱癌患者术后复发的预测因素的可行性。结果 GSE13507、GSE120739和GSE128959数据集复发组中ACTA2的表达均高于原发组(P<0.05)。IHC结果显示,α-SMA蛋白定位在肿瘤间质,复发组中α-SMA阳性/强阳性占比56.52%,而在原发组中占比16.13%,差异有统计学意义(P<0.001)。α-SMA蛋白表达与年龄、性别、病理分期、分级、肿瘤数量和大小等指标无明显相关性。α-SMA高表达组患者术后RFS较低表达组患者明显缩短[风险比(hazard ratio,HR)=2.76,95%可信区间(confidence interval,CI)=1.21~6.30,P=0.016]。多变量Cox分析显示,α-SMA蛋白表达水平是影响患者术后RFS的独立危险因素(HR=2.47,95%CI=1.02~5.97,P=0.045)。tdROC曲线提示α-SMA对复发的预测能力优于其他临床因素。结论 肿瘤间质的α-SMA蛋白表达水平与膀胱癌复发密切相关,可作为临床预测NMIBC患者术后复发的标志物。

      • 0+1
      • 1+1
      • 2+1
      • 3+1
      • 4+1
    • 肌层浸润性膀胱癌的中西医结合保留膀胱治疗

      2023, 48(8):875-879. DOI: 10.13406/j.cnki.cyxb.003293

      摘要 (136) HTML (44) PDF 1.84 M (723) 评论 (0) 收藏

      摘要:目的 探寻无法接受根治性手术治疗及放化疗的肌层浸润性膀胱癌病例的有效辅助治疗方式。方法 回顾性分析近10年广安门医院泌尿科肌层浸润性膀胱癌出院病例,统计患者治疗方式及保留膀胱时间。结果 61.90%应用膀胱肿瘤介入栓塞联合经尿道膀胱肿瘤切除术及中药治疗的患者达到了保留膀胱时间大于3年的治疗效果。结论 应用中西医结合治疗方式可能辅助延长肌层浸润性膀胱癌患者保留膀胱时间,改善患者预后及生存质量。

      • 0+1
      • 1+1
      • 2+1
      • 3+1
      • 4+1
      • 5+1
      • 6+1
      • 7+1
      • 8+1
      • 9+1
    • 炎症标志物对肌层浸润性膀胱癌患者接受不同新辅助治疗方案疗效预测分析

      2023, 48(8):880-884. DOI: 10.13406/j.cnki.cyxb.003297

      摘要 (109) HTML (35) PDF 863.28 K (770) 评论 (0) 收藏

      摘要:目的 探讨炎症标志物对肌层浸润性膀胱癌患者接受新辅助治疗效果的预测价值。方法 回顾性分析2020年1月至2023年2月于重庆医科大学附属第一医院泌尿外科就诊并接受新辅助治疗的肌层浸润性膀胱癌患者临床资料,分析中性粒细胞与淋巴细胞比值 (neutrophil-to-lymphocyte ratio,NLR)、衍生中性粒细胞与淋巴细胞比值(derived neutrophil-lymphocyte ratio,dNLR)和全身免疫炎症指数(systemic immune-inflammation index,SII)等炎症标志物对新辅助治疗效果的影响,应用受试者工作特征(receiver operating characteristic,ROC)曲线确定最佳截断值,从而将患者分为高、低亚组,通过对比分析各亚组间患者相关临床、病理参数及新辅助治疗效果差异。进一步比较炎症指标的高、低对患者接受新辅助治疗效果的影响。结果 临床、病理参数在炎症指标高、低亚组间差异无统计学意义(P>0.05)。而在炎症指标高、低亚组中,患者接受新辅助治疗的客观缓解率(objective response rate,ORR)、疾病控制率(disease control rate,DCR)差异有统计学意义(P<0.05),并且更高的炎症指标与更差的疗效相关。此外,4种新辅助治疗方案间,患者的ORR、DCR差异无统计学意义(P>0.05)。结论 新辅助治疗前外周血炎症指标NLR、dNLR和SII可以作为判断新辅助疗效的潜在指标。

      • 0+1
    • LAT1表达水平与非肌层浸润性膀胱癌患者术后复发风险的相关性研究

      2023, 48(8):885-888. DOI: 10.13406/j.cnki.cyxb.003305

      摘要 (81) HTML (38) PDF 616.39 K (378) 评论 (0) 收藏

      摘要:目的 探讨L型氨基酸转运蛋白1(L-type amino acid transporter 1,LAT)表达水平与非肌层浸润性膀胱癌患者术后复发风险的相关性。方法 选取2021年2月至2022年2月于重庆医科大学附属永川医院接受手术治疗的非肌层浸润性膀胱癌患者108例作为研究对象,采用反转录酶聚合酶链反应测定膀胱癌组织(取自肿瘤所在部位区域)和癌旁组织(取自邻近正常区域组织)LAT1表达含量,对比膀胱癌组织和癌旁组织LAT1表达水平。同时根据膀胱癌组织LAT1表达含量的二分位数将所有患者分为高表达组和低表达组,对比2组临床病理参数。随访观察12个月观察2组术后复发情况,采用Kaplan-Meier曲线分析对比2组术后复发风险,使用多变量Cox比例风险回归模型确定术后复发的影响因素。结果 膀胱癌组织LAT1表达水平(1.80±0.35)较配对的癌旁组织LAT1表达水平(1.05±0.17)高(P<0.05);LAT1高表达组吸烟史、临床分期T1占比较LAT1低表达组高(P<0.05);108例膀胱肿瘤患者术后的平均随访时间为(10.84±1.94)个月,其中33例复发,复发率为30.56%。Kaplan-Meier曲线显示,LAT1高表达组患者总体复发率较LAT1低表达组高(log-rank χ2=4.382,P=0.036);多因素Cox回归分析显示,吸烟史(HR=6.539,95%CI=2.439~17.531)、临床分期为T1期(HR=3.658,95%CI=1.808~7.398)、LAT1高表达(HR=3.425,95%CI=1.631~7.191)为非肌层浸润性膀胱癌患者术后复发的危险因素(P<0.05)。结论 LAT1在膀胱癌组织中表达水平高,高LAT1表达水平可能与膀胱癌患者术后复发风险增加有关。

      • 0+1
    • N-CWS和BCG膀胱灌注对非肌层浸润性膀胱癌术后疗效及生活质量评价:一项基于2年临床随访的回顾性研究

      2023, 48(8):889-893. DOI: 10.13406/j.cnki.cyxb.003309

      摘要 (99) HTML (52) PDF 612.03 K (387) 评论 (0) 收藏

      摘要:目的 探讨红色诺卡菌细胞壁骨架(nocardia rubra cell wall skeleton,N-CWS)和卡介苗(bacillus calmette-guerin,BCG)膀胱灌注对非肌层浸润性膀胱癌(non-muscle invasive bladder cancer,NMIBC)患者手术的疗效和生活质量的影响。方法 纳入2016年4月至2021年4月在四川省人民医院泌尿外科收治的86例中高危NMIBC患者,均行手术治疗,并具有完整的临床资料和随访数据。根据膀胱灌注药物,将患者分成N-CWS组(n=41)和BCG组(n=45)。随访2年比较2组患者生活质量、临床疗效及不良反应等指标。结果 N-CWS组患者6个月复发率为4.88%,低于BCG组的6.67%,差异无统计学意义(χ2=0.125,P=0.723);N-CWS组患者1年复发率为9.76%,低于BCG组的17.78%,差异无统计学意义(χ2=1.150,P=0.284);N-CWS组患者2年复发率为21.95%,低于BCG组的28.89%,差异无统计学意义(χ2=3.268,P=0.071)。灌注后6个月N-CWS组患者角色功能、情绪功能及整体功能明显高于BCG组(P<0.05);N-CWS组患者疼痛、泌尿系统症状评分和治疗产生问题评分明显低于BCG组(P<0.05)。灌注后1年N-CWS组患者角色功能、情绪功能及整体功能明显高于BCG组(P<0.05);N-CWS组患者疼痛、泌尿系统症状评分和治疗产生问题评分明显低于BCG组(P<0.05);灌注后2年N-CWS组患者情绪功能高于BCG组(P<0.05),其余各项评分2组比较差异均无统计学意义。N-CWS组患者尿路刺激征、血尿、关节疼痛及发热等不良反应事件发生率明显低于BCG组(P<0.05)。结论 与BCG治疗相比,N-CWS应用于NMIBC术后膀胱灌注治疗疗效相当,可有效提高生活质量,且安全性高,临床可进一步研究并推广。

      • 0+1
    • 经尿道膀胱肿瘤黏膜下剥离术联合术中膀胱黏膜下注射吉西他滨治疗膀胱非肌层浸润性尿路上皮癌的疗效观察(附7例报告)

      2023, 48(8):894-897. DOI: 10.13406/j.cnki.cyxb.003302

      摘要 (79) HTML (54) PDF 1.20 M (376) 评论 (0) 收藏

      摘要:目的 探讨经尿道膀胱肿瘤黏膜下剥离术联合术中膀胱黏膜下注射吉西他滨治疗膀胱非肌层浸润性尿路上皮癌(non-muscle invasive urothelial bladder cancer,NMIBC)的安全性及有效性。方法 回顾性分析2021年6月至2022年9月攀钢集团总医院泌尿外科收治的7例单发NMIBC患者临床资料。利用专用膀胱黏膜注射针经膀胱镜于肿瘤基底部注射吉西他滨(20 mg/mL)形成局部水肿后行膀胱肿瘤内镜黏膜下剥离术(bladder tumor endoscopic mucosal dissection,BT-ESD)。记录手术时间、术后住院时间、术后病理结果、术后并发症发生情况,估算术中出血量,术后3个月及术后1年复查膀胱镜,统计复发率。结果 7例患者顺利完成BT-ESD,无中转开放手术及改为其他手术方案。术后无非计划再次手术止血,未发生创面膀胱穿孔,术中无输血。其中男性5例,女性2例,肿瘤最大径0.7~2.0 cm,平均(0.9±0.4) cm,肿瘤均为菜花状,带蒂,位于膀胱侧壁2例,右侧输尿管脊2例,左侧输尿管脊2例,三角区1例。手术时间20~40 min,平均(31.40±2.67) min。术中出血量1~5 mL,平均(2.24±1.46) mL。术后住院时间1~2 d。手术后病理结果为低风险非肌层浸润性膀胱尿路上皮癌,手术切缘均为阴性。术后3个月及术后1年,复查膀胱镜,未见复发、进展。结论 膀胱肿瘤内镜黏膜下剥离术中膀胱黏膜下注射吉西他滨治疗非肌层浸润性尿路上皮膀胱癌是安全、可靠、有效的。

      • 0+1
    • 血清KLF5含量与阳性淋巴结比例的相关性及其对膀胱癌患者根治术后预后的预测价值

      2023, 48(8):898-902. DOI: 10.13406/j.cnki.cyxb.003311

      摘要 (143) HTML (37) PDF 702.91 K (443) 评论 (0) 收藏

      摘要:目的 探究血清Kruppel样因子5(recombinant Kruppel factor 5,KLF5)含量与阳性淋巴结比例的相关性及其对膀胱癌患者根治术后预后的预测价值。方法 选取新乡市中心医院和郑州大学第一附属医院泌尿外科2019年6月至2022年9月进行根治性膀胱切除术治疗的92例膀胱癌患者作为研究对象,根据疗效分为有效组和无效组。酶联免疫吸附法检测血清KLF5的表达水平、分析血清KLF5含量与阳性淋巴结比例的相关性和预后的预测价值分析。结果 治疗有效组患者血清KLF5的表达水平显著低于无效组(P<0.05);有效组患者阳性淋巴结比例与无效组相比,具有显著差异(P<0.05);采用Pearson分析血清KLF5与阳性淋巴结比例间关系,发现血清KLF5与阳性淋巴结比例呈正相关(r=0.607);logistic多因素回归分析显示,血清KLF5(OR=2.751,95%CI=1.777~4.260,P=0.000)与阳性淋巴结比例(OR=2.751,95%CI=1.389~7.342,P=0.006)是影响膀胱癌根治术患者病情预后的独立危险因素;ROC结果显示,血清KLF5与阳性淋巴结比例对预测膀胱癌根治术患者预后的曲线下面积(area under the curve,AUC)分别为0.909、0.748,对应灵敏度分别为80.71%、93.26%,特异度分别为91.24%、92.50%。二者联合诊断的AUC为0.929,灵敏度和特异度分别为92.30%和92.50%。结论 血清KLF5和阳性淋巴结比例是膀胱根治术患者预后的独立危险因素,并且KLF5与患者的阳性淋巴结比例呈正相关,因此在预测膀胱根治术患者预后的过程中,动态检测相关影响因素的变化可以为临床医生诊断病情提供依据。

      • 0+1
      • 1+1
    • >前列腺癌
    • 胰凝乳蛋白酶样蛋白酶体的活性作为前列腺癌生物标志物的潜在应用

      2023, 48(8):903-908. DOI: 10.13406/j.cnki.cyxb.003307

      摘要 (83) HTML (29) PDF 2.16 M (921) 评论 (0) 收藏

      摘要:目的 探讨胰凝乳蛋白酶样蛋白酶体(chymotrypsin-like proteasome,CLP)活性作为前列腺癌生物标志物的可行性。方法 检测在体和离体的蛋白酶体活性,同时检测核因子κB的抑制蛋白α(inhibitory protein α of nuclear factor κB,IκB-α)、Bcl-2相关X蛋白(BCL-2 associated X protein,Bax)和细胞周期蛋白依赖性激酶抑制因子(cyclin-dependent kinase inhibitor,p27)的表达。结果 与正常前列腺上皮细胞及对照小鼠前列腺组织相比,前列腺癌细胞和前列腺肿瘤异种移植物中蛋白酶体底物蛋白IκB-α、Bax和p27的表达水平降低,CLP的离体和在体活性分别升高70%和23%。结论 CLP的活性可能是一种潜在的前列腺癌生物标志物,可能适合前列腺特异性抗原(prostate-specific antigen,PSA)在前列腺癌诊断中的补充。

      • 0+1
      • 1+1
      • 2+1
      • 3+1
      • 4+1
    • miR-520a-5p通过调控有氧糖酵解诱导前列腺癌细胞多西他赛耐药

      2023, 48(8):909-915. DOI: 10.13406/j.cnki.cyxb.003314

      摘要 (110) HTML (48) PDF 1.39 M (893) 评论 (0) 收藏

      摘要:目的 探索miR-520a-5p对前列腺癌增殖能力和多西他赛耐药性的影响及其作用机制。方法 使用RT-qPCR检测PC-3/DU145前列腺癌细胞及RWPE-1前列腺正常上皮细胞中miR-520a-5p表达水平;使用免疫印迹检测miR-520a-5p是否调控糖酵解关键酶己糖激酶2(hexokinase 2,HK2)和磷酸果糖激酶(phosphofructokinase,PFKM)表达水平;使用CCK-8实验检测miR-520a-5p对前列腺癌细胞增殖能力和多西他赛耐药性的影响;使用ELISA评估培养上清中葡萄糖消耗水平和乳酸生成水平。依据转染物的不同,将所有细胞分成4组:minic组、minic NC组、inhibitor组、inhibitor NC组。结果 miR-520a-5p在前列腺癌细胞中表达下调(P<0.001)。与minic NC组比较,minic组可显著降低PC-3和DU145前列腺癌细胞的增殖能力(P<0.001)、多西他赛半抑制浓度(IC50)、葡萄糖消耗水平和乳酸生成水平(P<0.001);与inhibitor NC组比较,inhibitor组可明显增强PC-3和DU145前列腺癌细胞的增殖能力(P<0.001)、葡萄糖消耗水平和乳酸生成水平(P<0.001)。Starbase数据库提示miR-520a-5p与HK2和PFKM存在结合位点;免疫印迹结果显示,miR-520a-5p对HK2和PFKM的表达存在负调控关系。使用2-DG抑制前列腺癌细胞糖酵解可恢复miR-520a-5p对前列腺癌增殖能力的影响。结论 前列腺癌中miR-520a-5p可能通过上调糖酵解关键酶HK2和PFKM表达水平增强前列腺癌细胞有氧糖酵解诱导多西他赛化疗耐药。

      • 0+1
      • 1+1
      • 2+1
      • 3+1
      • 4+1
    • 血清转化生长因子、碱性磷酸酶、前列腺特异性抗原与转移性去势抵抗型前列腺癌的相关性分析

      2023, 48(8):916-920. DOI: 10.13406/j.cnki.cyxb.003303

      摘要 (104) HTML (34) PDF 709.99 K (967) 评论 (0) 收藏

      摘要:目的 探讨前列腺癌骨转移患者血清中转化生长因子-β1(transforming growth factor-β1,TGF-β1)、碱性磷酸酶(alkaline phosphatase,ALP)、前列腺特异抗原(prostate specific antigen,PSA)与患者发生转移性去势抵抗性前列腺癌(metastatic castration-resistant prostate cancer,mCRPC)的相关性。方法 根据回顾性研究的方法,选择2022年1月至2023年2月广东省中医院确诊为前列腺癌骨转移的患者为研究对象,根据是否发生CRPC分为2组,CRPC组26例,非CRPC组29例。收集患者一般资料,并通过酶联免疫吸附实验测定患者血清TGF-β1、ALP、PSA的水平进行分析。结果 在2组单因素比较中,血清PSA的差异没有统计学意义(Ρ>0.05),血清TGF-β1、ALP的差异具有统计学意义(Ρ<0.05)。二元logistic回归分析显示,TGF-β1是CRPC发生的独立危险因素。Spearman相关性分析显示,在CRPC患者血清中TGF-β1和ALP水平呈正相关。结论 TGF-β1及ALP水平与前列腺癌骨转移患者疾病侵袭和进展密切相关,可能为前列腺癌骨转移患者治疗及预后提供评估依据。

      • 0+1
      • 1+1
    • 经直肠和经会阴前列腺穿刺对前列腺癌诊断价值的比较

      2023, 48(8):921-925. DOI: 10.13406/j.cnki.cyxb.003296

      摘要 (101) HTML (40) PDF 517.55 K (910) 评论 (0) 收藏

      摘要:目的 比较超声引导下经直肠前列腺系统穿刺(transrectal prostate systematic biopsy,TR-SB)和磁共振-超声引导下经会阴前列腺融合靶向穿刺(transperineal prostate targeted biopsy,TP-TB)对前列腺癌(prostate cancer,PCa)检出率的差异,探讨两者的诊断价值。方法 回顾性地分析重庆医科大学附属第一医院2020年12月至2022年5月的行经直肠和经会阴前列腺穿刺活检术的患者共310例,按穿刺方式将患者分为TR-SB组和TS-TB组,比较2种穿刺方式对前列腺癌、临床有意义的前列腺癌(clinically significant prostate cancer,CSPCa)检出率和并发症的差异。结果 在总前列腺特异性抗体(total prostate specific antigen,tPSA)4~50 ng/mL的患者中,TR-SB和TP-TB2种穿刺方式对PCa和CSPCa的检出率差异无统计学意义(P>0.05)。当tPSA水平处于4~<10 ng/mL或10~<20 ng/mL,且在游离/总前列腺特异性抗原(free/total prostate specific antigen,f/tPSA)小于0.16时,TP-TB组对PCa和CSPCa的检出率高于TR-SB组(P<0.05),tPSA水平处于10~<20 ng/mL时,TP-TB组对CSPCa的检出率高于TR-SB组(P<0.05)。TR-SB组和TP-TB组在并发症总发生率上无差异(P>0.05),TR-SB组术后出现发热、感染的风险高于TP-TB组(P<0.05)。结论 TP-TB在tPSA 4~<10 ng/mL、10~<20 ng/mL,且f/tPSA<0.16时具有更高的PCa检出率。当tPSA 10~<20 ng/mL,尤其同时f/tPSA<0.16时,TP-TB对高侵袭度的CSPCa有更高的检出率,且术后感染的风险更低,可作为一种高效且更安全的穿刺方法应用于临床。

    • 恩扎卢胺治疗转移性去势抵抗性前列腺癌的疗效分析

      2023, 48(8):926-930. DOI: 10.13406/j.cnki.cyxb.003312

      摘要 (78) HTML (78) PDF 874.14 K (978) 评论 (0) 收藏

      摘要:目的 探讨恩扎卢胺作为转移性去势抵抗前列腺癌(metastatic castration-resistant prostate cancer,mCRPC)的一线治疗和阿比特龙耐药后的二线治疗的疗效和安全性。方法 回顾性分析2019年12月至2023年3月陆军军医大学第一附属医院收治的26例mCRPC患者的临床资料。综合患者血清前列腺特异性抗原(prostate specific antigen,PSA)等生化指标、影像学复查结果及治疗期间随访记录,分析患者的PSA应答、PSA进展及影像学进展等情况,以及患者治疗期间的不良事件。结果 接受恩扎卢胺治疗的mCRPC患者总计26例,其中作为mCRPC一线治疗患者13例,服用醋酸阿比特龙治疗后出现耐药从而接受恩扎卢胺作为mCRPC二线治疗的患者13例,所有患者中位随访时间为14(4,23)个月,mCRPC一线治疗患者的PSA应答率为100%(13/13),明显高于二线治疗患者[53.8%(7/13)],差异有统计学意义(χ2=7.800,P=0.005)。mCRPC一线治疗患者中位PSA无进展生存时间和中位无影像学生存时间分别为18.6个月和20.5个月,mCRPC二线治疗患者中位PSA无进展生存时间和中位无影像学生存时间分别为17.4个月和19.5个月。恩扎卢胺治疗患者的主要不良反应为疲乏(17/26)、潮热(3/26)和药物性肝损害(1/26),患者整体耐受性较好。结论 mCRPC患者进行恩扎卢胺治疗后可有效获得PSA应答,延缓肿瘤进展,作为一线治疗整体效果优于作为阿比特龙耐药的二线治疗,总体药物不良反应可耐受。

      • 0+1
      • 1+1
    • 多中心研究PSA≤20 ng/mL前列腺癌临床特点及危险因素分析

      2023, 48(8):931-934. DOI: 10.13406/j.cnki.cyxb.003301

      摘要 (128) HTML (31) PDF 508.12 K (1053) 评论 (0) 收藏

      摘要:目的 探究前列腺特异抗原(prostate specific antigen,PSA)≤20 ng/mL前列腺癌患者骨转移临床特点及其与临床病理因素的相关性。方法 回顾性分析2011年1月至2017年12月南方医院、珠江医院、南部战区总医院收治的初诊PSA≤20 ng/mL前列腺癌患者临床及病理资料。将患者分为骨转移组和非骨转移组,分析2组间年龄、PSA、结合PSA(complexed PSA,cPSA)、游离PSA(free PSA,fPSA)、Gleason评分(Gleason score,GS)、T分期及N分期的差异,以及这些因素与骨转移的相关性。进一步根据PSA、GS、T分期及N分期情况进行亚组分析:PSA≤10 ng/mL及PSA 10.01~20 ng/mL组、GS≤6组和GS≥7组、T1~2组和T3~4组、N0组及N1组,探究各亚组间骨转移特点。最后,采用单因素及多因素logistic回归分析评估骨转移危险因素。结果 共237例PSA≤20 ng/mL前列腺癌患者,其中骨转移阳性42例(17.7%)。不同PSA组(<4 ng/mL组、≤10 ng/mL组及10.01~20 ng/mL组)前列腺癌骨转移率分别为7.5%、12.1%和24.8%。骨转移组与非转移组间PSA、cPSA、fPSA、GS、T分期及N分期差异均有统计学意义(P<0.05),但2组间年龄差异无统计学意义(P>0.05)。亚组分析结果显示:随着PSA及GS升高骨转移发生率也明显上升,T3~4和N1期患者更易发生骨转移(OR=2.372,95%CI=1.148~4.901,P=0.020;OR=6.458,95%CI=2.435~17.131,P<0.001)。此外,logistic回归分析提示PSA、GS、T分期及N分期与PSA≤20 ng/mL前列腺癌骨转移密切相关,其中PSA、GS及N分期可作为骨转移的独立危险因素(P<0.05)。而年龄与骨转移的发生无相关性(P>0.05)。结论 PSA≤20 ng/mL前列腺癌患者中GS≥7、T3~4和N1期患者具有较强的侵袭性。PSA、GS及N分期可作为PSA≤20 ng/mL前列腺癌骨转移的独立危险因素。

    • 甲状腺功能障碍与前列腺癌的因果关联:两样本孟德尔随机化研究

      2023, 48(8):935-939. DOI: 10.13406/j.cnki.cyxb.003313

      摘要 (105) HTML (72) PDF 905.15 K (1062) 评论 (0) 收藏

      摘要:目的 采用两样本的孟德尔随机化(two-sample Mendelian randomization,TSMR)的分析方法,探讨甲状腺功能障碍与前列腺癌之间的因果关联。方法 利用全基因组关联研究(genome-wide association studies,GWAS)的数据进行分析,暴露因素为甲状腺功能障碍,包括甲状腺功能亢进(甲亢)、甲状腺功能减退(甲减),结局变量为前列腺癌。采用逆方差加权分析(inverse-variance weighted,IVW)法、加权中位数(weighted median,WM)、MR Egger法进行孟德尔随机化分析,并进行异质性检验、敏感性分析、多效性分析。结果 甲亢与前列腺癌存在负向的因果关系(IVW:OR=0.015,95%CI=0~0.436),先天性甲减与前列腺癌存在正向的因果关系(IVW:OR=1.088,95%CI=1.003~1.180),其他类型的甲减并未发现与前列腺癌存在因果关系。且所有结果均不存在多效性,留一法也提示所得结果稳健。结论 甲状腺功能障碍与前列腺癌存在因果关系,低水平的甲状腺激素可能与前列腺癌风险增加有关,但仍需更大的GWAS数据通过进一步的孟德尔随机化研究来验证这种关系。

      • 0+1
      • 1+1
    • 机器人辅助腹腔镜前列腺癌根治术与腹腔镜前列腺癌根治术术后疗效对比分析:倾向性评分匹配队列研究

      2023, 48(8):940-944. DOI: 10.13406/j.cnki.cyxb.003287

      摘要 (77) HTML (23) PDF 848.20 K (825) 评论 (0) 收藏

      摘要:目的 比较分析机器人辅助腹腔镜前列腺癌根治术(机器人手术)与腹腔镜前列腺癌根治术(腹腔镜手术)术后的疗效差异。方法 回顾性分析2017年1月至2022年12月在重庆医科大学附属第一医院泌尿外科接受机器人手术(253例)及腹腔镜手术(148例)术后患者的临床资料。通过倾向性评分进行1∶1匹配平衡2组基线特征后,比较2组患者发生术后切缘阳性、住院时间、住院费用的差异。结果 与腹腔镜手术相比,多因素logistic回归分析表明机器人手术切缘阳性危险比值比为1.17(OR=1.17,95%CI=0.61~2.25,P=0.640)。机器人组住院时间为13.5(10,17) d,腹腔镜手术组为13(10,18) d,组间差异无统计学意义(P=0.927)。机器人组患者住院总费用为72 695(65 479,78 623)元,腹腔镜手术组患者住院总费用为46 045(40 367,63 149)元,差异有统计学意义(P<0.001)。结论 在带来额外医疗费用的情况下,与腹腔镜手术相比,机器人手术在减少患者住院时间和术后切缘阳性发生率方面并不具有优势。

      • 0+1
      • 1+1
    • 腹腔镜前列腺癌根治术后神经侵犯阳性的影响因素分析

      2023, 48(8):945-948. DOI: 10.13406/j.cnki.cyxb.003290

      摘要 (126) HTML (69) PDF 482.22 K (835) 评论 (0) 收藏

      摘要:目的 分析腹腔镜前列腺癌根治术后病理标本神经侵犯阳性的影响因素。方法 回顾2018年1月至2023年3月于川北医学院附属医院泌尿外科行腹腔镜前列腺癌根治术的104例患者临床资料,收集患者年龄、吸烟史、饮酒史、术前总前列腺特异性抗原(total prostate-specific antigen,TPSA)、术前游离前列腺特异性抗原(free prostate-specific antigen,FPSA)/总前列腺特异性抗原比值(F/T比值)、术后病理Gleason评分、包膜侵犯情况、神经侵犯情况、切缘情况、精囊侵犯情况、病理T分期,根据术后病理结果分为神经侵犯阳性组和神经侵犯阴性组。比较2组患者的年龄、吸烟史、饮酒史、术前TPSA、术前F/T比值、术后病理Gleason评分、包膜侵犯情况、切缘情况、精囊侵犯情况、病理T分期,采用卡方检验和多因素logistic回归分析分别对变量进行分析,探寻神经侵犯阳性的影响因素。结果 本研究总共纳入104例患者,其中神经侵犯阳性患者30例,约占28.85%,神经侵犯阴性患者74例,约占71.15%。所有患者术后病理结果均证实为前列腺癌。单因素分析结果显示,患者年龄、F/T比值、Gleason评分、包膜侵犯、切缘阳性、精囊侵犯、病理T分期比较差异有统计学意义(P<0.05)。吸烟史、饮酒史、术前TPSA比较差异无统计学意义(P>0.05)。将具有统计学意义的指标纳入多因素logistic回归分析,结果显示年龄<70岁和切缘阳性是腹腔镜前列腺癌根治术后神经侵犯阳性的独立影响因素(P<0.05)。结论 年龄、F/T比值、Gleason评分、包膜侵犯、切缘阳性、精囊侵犯、病理T分期与腹腔镜前列腺癌根治术后神经侵犯阳性存在显著相关。其中,年龄<70岁和切缘阳性是腹腔镜前列腺癌根治术后神经侵犯阳性的独立危险因素。

    • 阿帕他胺治疗转移性激素敏感性前列腺癌的回顾性病例系列研究

      2023, 48(8):949-952. DOI: 10.13406/j.cnki.cyxb.003300

      摘要 (127) HTML (48) PDF 585.28 K (849) 评论 (0) 收藏

      摘要:目的 评估四川省成都地区转移性激素敏感性前列腺癌(metastatic hormone-sensitive prostate cancer,mHSPC)使用雄激素剥夺治疗(androgen deprived therapy,ADT)联合阿帕他胺治疗的前列腺特异抗原(prostate specific antigen,PSA)的缓解率。方法 回顾性分析2021年1月至2022年3月于成都地区4家三甲医院泌尿外科使用阿帕他胺联合ADT治疗的mHSPC患者,观察患者治疗1个月与3个月后的PSA50、PSA90缓解率及不良反应发生情况。结果 共纳入81例mHSPC患者,治疗1个月后,PSA50、PSA90缓解率分别为81.48%和48.15%,3例(3.7%)患者PSA值≤0.2 ng/mL。治疗3个月后,PSA50、PSA90缓解率分别为97.53%和86.42%,35例(43.21%)患者PSA值≤0.2 ng/mL。常见的不良反应包括皮疹(28.40%),疲乏(23.46%),腹泻(6.17%),高血压(2.47%)。3级以上不良反应为皮疹(4.93%)和疲乏(2.47%)。结论 成都地区mHSPC患者数据显示接受ADT联合阿帕他胺治疗具有较好的PSA缓解率及耐受性,可作为中国mHSPC患者的治疗方案之一。

      • 0+1
    • >其他泌尿系统肿瘤
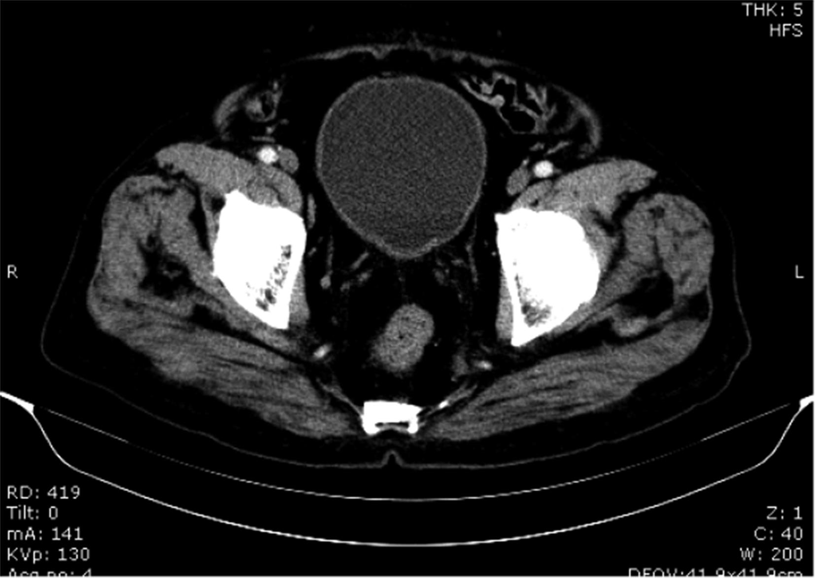
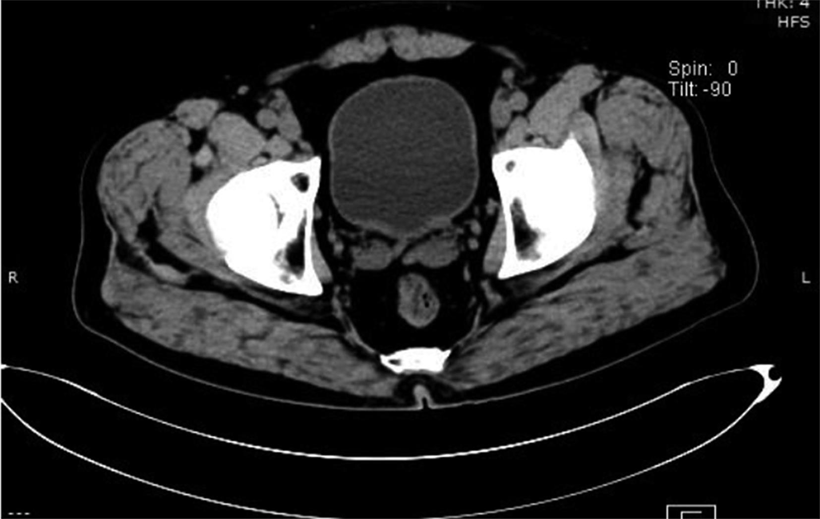
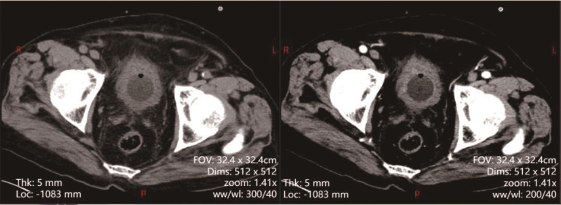
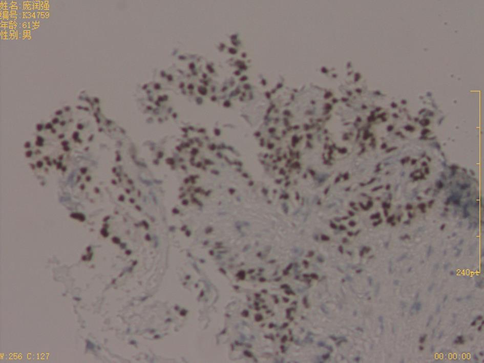
    • 腹膜后血管源性平滑肌肉瘤诊疗策略

      2023, 48(8):953-957. DOI: 10.13406/j.cnki.cyxb.003285

      摘要 (97) HTML (38) PDF 2.06 M (597) 评论 (0) 收藏

      摘要:目的 总结临床上少见的腹膜后血管源性平滑肌肉瘤的诊断和治疗策略。方法 自2018年7月至2023年4月,纳入12例腹膜后血管源性平滑肌肉瘤病例,男性3例,女性9例。平均年龄55.2(32.0,69.0)岁。全部为右侧。临床症状包括腰腹部不适、下肢麻木、下肢水肿及腹水。术前误诊为肾上腺皮质癌或副神经节瘤4例,1例未手术行穿刺病理明确。11例手术病例中,后腹腔镜手术4例,其中1例中转为开放;开放手术5例;机器人辅助腹腔镜手术2例。所有病例术中均需进行下腔静脉相关操作,包括夹闭下腔静脉完成右肾静脉修补1例;下腔静脉单纯缝合3例;下腔静脉壁部分切除后单纯修补2例;下腔静脉壁生物补片修补2例;下腔静脉切断再吻合1例;下腔静脉节段性切除2例。结果 肿瘤平均大小10.6(4.2,22.0) cm,平均手术时间268(151,467) min,平均出血量715(20,1 550) mL,术中输血8例,5例同时切除右肾,1例切缘阳性,术后延迟腹膜后出血2例。最终证实,1例平滑肌肉瘤来源于肾上腺中央静脉,2例来源于肾静脉,9例来源于下腔静脉。6例形成下腔静脉内瘤栓。病理显示肿瘤由梭形细胞组成,核分裂象易见。免疫组化所有病例SMA 阳性;8例Desmin阳性;Ki-67阳性表达率为20%~80%。平均随访21.6(1.0,54.0)个月。死亡3例;术后复发转移并生存4例;5例无复发,其中3例随访超过2年。结论 腹膜后血管源性平滑肌肉瘤术前容易误诊,术中需处理下腔静脉。手术难度大,应根据情况采用多种手术方式,开放手术首选,后腹腔手术镜选择需谨慎。肿瘤恶性度高,易复发。

      • 0+1
      • 1+1
    • 泛素结合酶2C通过Wnt/β-catenin信号通路促进肾恶性横纹肌样瘤的恶性进展

      2023, 48(8):958-964. DOI: 10.13406/j.cnki.cyxb.003306

      摘要 (93) HTML (56) PDF 3.90 M (630) 评论 (0) 收藏

      摘要:目的 探讨泛素结合酶2C(ubiquitin-conjugating enzyme 2 C,UBE2C)对肾恶性横纹肌样瘤(malignant rhabdoid tumor of the kidney,MRTK)的影响及作用机制。方法 采用蛋白免疫印迹(Western blot,WB)以及免疫荧光法在收集的MRTK临床标本以及细胞系G401细胞中验证UBE2C的表达情况。从TARGET数据库下载MRTK的基因表达数据进行验证,Kaplan-Meier法(KM法)评估UBE2C与预后的关系。采用小干扰RNA(small interfering RNA,siRNA)抑制UBE2C在G401细胞中的表达。通过CCK-8检测转染后G401细胞增殖情况,流式细胞术检测细胞凋亡能力,划痕实验和Transwell实验分别检测细胞迁移和侵袭能力的改变。采用基因集富集分析(Gene Set Enrichment Analysis,GSEA)探索UBE2C调控的相关通路,并通过WB验证通路蛋白的表达。结果 在MRTK临床标本中,UBE2C表达量是癌旁对照组的(3.189±1.900)倍(P=0.033)。G401细胞系中UBE2C表达量是HEK293细胞的(2.092±0.231)倍(P=0.000),KM生存分析显示,高表达UBE2C的患者预后更差(P=0.019),并且UBE2C在4期患者(680.9±167.7)中高于早期患者(560.5±166.9),差异有统计学意义(P=0.021)。采用siRNA成功将UBE2C的表达敲低至(0.446±0.058)倍(P=0.000),并且发现敲低UBE2C抑制了G401细胞增殖、侵袭、迁移以及促进了细胞凋亡(P=0.000)。GSEA富集分析发现UBE2C与Wnt/β-catenin信号通路相关(P=0.000),敲低UBE2C可以抑制Wnt/β-catenin信号通路及上皮间质转换(epithelial-mesenchymal transition,EMT)(P=0.000)。结论 UBE2C在MRTK中高表达与不良预后相关,参与调控Wnt/β-catenin信号通路,抑制UBE2C可以抑制MRTK的增殖、迁移、侵袭,EMT,促进其凋亡。

      • 0+1
      • 1+1
      • 2+1
      • 3+1
      • 4+1
      • 5+1
      • 6+1
      • 7+1
      • 8+1
      • 9+1
      • 10+1
      • 11+1
      • 12+1
      • 13+1
      • 14+1
      • 15+1
      • 16+1
      • 17+1
      • 18+1
      • 19+1
    • NLR及PLR对晚期尿路上皮癌免疫治疗疗效和预后的预测价值

      2023, 48(8):965-970. DOI: 10.13406/j.cnki.cyxb.003317

      摘要 (104) HTML (52) PDF 639.12 K (566) 评论 (0) 收藏

      摘要:目的 探讨外周血中性粒细胞与淋巴细胞比值(neutrophil to lymphocyte ratio,NLR)和血小板与淋巴细胞比值(platelet to lymphocyte ratio,PLR)对晚期尿路上皮癌免疫治疗疗效和预后的预测价值。方法 回顾性分析2019年9月至2022年7月接受过免疫检查点抑制剂治疗的晚期尿路上皮癌患者的临床资料,绘制受试者工作特征曲线,根据曲线下面积(area under the curve,AUC)筛选的最佳截断值分组,应用Kaplan-Meier生存分析比较组间生存差异,运用Cox模型进行多因素分析筛选出独立预测因素。结果 共纳入57例患者,经3周期免疫治疗后NLR较治疗前显著下降(P<0.001),分别为2.40±1.08和3.05±1.07;而治疗前后PLR无明显变化(P=0.402),分别为226.41±111.70和246.97±113.17;外周血中治疗前后NLR、PLR及NLR变化幅度的AUC分别为0.829 1(P=0.004)、0.889 6(P<0.001)、0.743 6(P=0.003)、0.740 4(P<0.001)、0.798 4(P<0.001)。生存分析显示:治疗前NLR≥3.17(3.5个月vs. 未达到,P<0.001)、治疗前PLR≥284.40(5.7个月vs. 9.5个月,P=0.011)、治疗后NLR≥2.41(4.8个月vs. 9.9个月,P<0.001)及NLR变化幅度<19.8%(5.8个月vs. 9.5个月,P=0.004)与较差的PFS相关,而一线免疫联合化疗具有更好的PFS(9.3个月vs. 6.0个月,P=0.006),且联合治疗组NLR变化更为显著(P=0.034)。Cox多因素分析表明治疗前NLR、NLR变化幅度及合并化疗与否是晚期尿路上皮癌免疫治疗PFS的独立预测因素(P<0.05)。结论 治疗前高NLR及PLR水平预示着不良预后,一线免疫联合化疗能显著降低NLR,延长患者PFS,而NLR及其动态变化是晚期尿路上皮癌免疫治疗的独立预测因素。

      • 0+1
      • 1+1
      • 2+1
    • 不同年龄段嗜铬细胞瘤患者临床病理特点及围术期临床特征分析

      2023, 48(8):971-977. DOI: 10.13406/j.cnki.cyxb.003294

      摘要 (77) HTML (65) PDF 1.90 M (590) 评论 (0) 收藏

      摘要:目的 探寻不同年龄段之间嗜铬细胞瘤患者的临床病理特点及围术期临床特征,为临床嗜铬细胞瘤患者个体化治疗提供更多的理论基础。方法 回顾性收集2012年至2022年入住重庆医科大学附属第一医院经病理证实且接受手术治疗的213例嗜铬细胞瘤患者的临床病理特征及围术期资料,根据年龄差异分成青年、中年、老年3组。并对3组嗜铬细胞瘤患者的临床病理指标及围术期特征进行比较分析。结果 病灶大小、术中出血量、体质指数、术前合并症、入院症状、术中血压波动及病理特征的分布在3组间差异均有统计学意义(P<0.05)。其中,老年患者病灶直径最大,术后活检病理特征为NSE阳性的比例最高,且术后更易出现营养相关性并发症;青年组增殖细胞核抗原(proliferation cell nuclear antigen,Ki-67)阳性率最高,在入院时伴发嗜铬细胞瘤相关症状的比例最高,且易发生高血压危象和术中出血;中年组更易出现术中血压波动,但总住院时间相对较短。结论 不同年龄段嗜铬细胞瘤患者在术后并发症、入院症状、术中血压波动等方面具有差异性,因此应针对不同年龄段患者进行个体化治疗。

      • 0+1
      • 1+1
      • 2+1
      • 3+1
      • 4+1
    • 影响T1期肾癌患者肾部分切除术疗效的因素分析

      2023, 48(8):978-981. DOI: 10.13406/j.cnki.cyxb.003295

      摘要 (79) HTML (42) PDF 502.08 K (486) 评论 (0) 收藏

      摘要:目的 分析影响T1期肾癌患者肾部分切除术(partial nephrectomy,PN)疗效的因素。方法 回顾性分析重庆医科大学附属第一医院2020年9月至2022年5月行PN的219例T1期肾癌患者的资料。依据肿瘤分期将患者分为2组:T1a期组和T1b期组。分析患者的一般资料、肿瘤特征、术中和术后资料。将同时满足手术切缘阴性、肾脏热缺血时间<30 min、无3级及以上术后并发症且未中转为肾根治性切除术四项要素的PN视为疗效好的PN,并以此为观察终点对影响手术疗效的因素做logistic回归分析。结果 2组患者的肿瘤最大直径、RENAL评分(the RENAL nephrometry score)、手术时间、估计出血量、肾脏热缺血时间、中转为肾根治性切除例数、肌酐上升值、满足4项要素例数等存在统计学差异。logistic回归分析显示,RENAL评分是影响手术疗效的主要因素。结论 RENAL评分是T1期肾癌患者PN疗效的关键影响因素。

    • 机器人辅助腹腔镜与腹腔镜肾部分切除术治疗复杂性肾肿瘤的疗效研究

      2023, 48(8):982-985. DOI: 10.13406/j.cnki.cyxb.003289

      摘要 (71) HTML (32) PDF 508.67 K (517) 评论 (0) 收藏

      摘要:目的 比较机器人辅助腹腔镜肾部分切除术(robot-assisted laparoscopic partial nephrectomy,RAPN)与腹腔镜肾部分切除术(laparoscopic partial nephrectomy,LPN)治疗复杂性肾肿瘤(R.E.N.A.L评分≥7分)患者的临床疗效。方法 收集2015年1月至2022年9月在重庆医科大学附属第一医院泌尿外科施行的RAPN及LPN治疗复杂性肾肿瘤的患者临床资料,依据手术方式不同分为RAPN组(n=91)与LPN组(n=92)。比较2组患者的临床病理特征及围术期结果。结果 183例肾肿瘤手术均成功完成,RAPN组与LPN组手术时间、术后血清肌酐变化百分比、输血率及切缘阳性率等比较,差异无统计学意义(P>0.05)。RAPN组在住院总时间[(11.3±4.3) d vs. (14.3±4.2) d]、术后住院时间[(5.0±2.6) d vs. (7.4±2.9) d]、术中出血量[(193.0±103.2) mL vs. (231.6±105.0) mL]及热缺血时间[(23.9±6.0) min vs. (28.1±6.6) min]均低于LPN组(P<0.05)。结论 机器人辅助手术系统拥有三维高清视野及灵活的机械臂,操作更为精细、准确,RAPN用于治疗复杂性肾肿瘤可减少术中出血量、缩短热缺血时间、缩短患者住院时间。

    • 乳头状肾细胞癌预后预测模型的构建与验证:一项基于SEER数据库的回顾性研究

      2023, 48(8):986-994. DOI: 10.13406/j.cnki.cyxb.003308

      摘要 (95) HTML (50) PDF 1.89 M (546) 评论 (0) 收藏

      摘要:目的 建立一个用于评估乳头状肾细胞癌(papillary renal cell carcinoma,PRCC)预后的列线图。方法 获取SEER(Surveillance,Epidemiology,and End Results)数据库的6 028例PRCC患者的临床数据,并将其随机分为训练队列(n=4 220)和验证队列(n=1 808)。使用Cox比例风险回归分析来筛选与PRCC预后相关的临床病理特征。基于Cox模型,构建一个列线图预测PRCC患者的预后,用受试者操作特征曲线及C指数检测模型的区分度,用校准图来评估列线图的预测准确性。结果 从SEER数据库中检索到6 028例PRCC患者的数据。Cox比例风险回归分析结果显示,诊断时的年龄、级别、肿瘤淋巴结转移分期(TNM,AJCC,第7版)、手术治疗、肿瘤数量和婚姻状况是重要的独立预后变量。将所有变量合并以建立列线图。在训练和验证队列中,列线图模型的C指数分别为0.807(95%CI=0.779~0.834)和0.800(95%CI=0.759~0.841),而AJCC TNM分期的C指数分别为0.686(95%CI=0.667~0.706)和0.668(95%CI=0.638~0.697),表明与AJCC TNM分期系统相比,列线图在训练和验证队列中都表现出了良好的总生存率(overall survival,OS)预测能力。校准曲线显示列线图的生存率预测与实际生存率之间高度一致。结论 本研究构建的列线图显示出良好的预测性能,有助于临床评估PRCC患者OS,从而为患者制定个体化的治疗策略提供依据。

      • 0+1
      • 1+1
      • 2+1
      • 3+1
      • 4+1
      • 5+1
      • 6+1
      • 7+1
      • 8+1
    • 腹腔镜保留肾单位肾肿瘤切除术对肾细胞癌患者肾功能和预后的影响

      2023, 48(8):995-999. DOI: 10.13406/j.cnki.cyxb.003315

      摘要 (72) HTML (26) PDF 504.68 K (471) 评论 (0) 收藏

      摘要:目的 分析肾细胞癌患者接受腹腔镜保留肾单位肾肿瘤切除术治疗对其肾功能及预后的影响。方法 收集2017年1月至2022年3月重庆医科大学附属第一医院泌尿外科接诊的肾细胞癌患者182例作为研究对象,采取随机法将患者进行分组,一组应用腹腔镜根治性肾切除术进行治疗,共91例为对照组,另一组应用腹腔镜保留肾单位肾肿瘤切除术进行治疗,共91例为研究组,对比两组患者术后肾功能及预后效果差异性。结果 研究组患者术后住院时间(P=0.011)优于对照组,对照组患者手术期间出血量(P<0.001)及手术时间(P=0.019)优于研究组,差异均有统计学意义;研究组患者手术后24 h血清肌酐水平(P=0.013)低于对照组,差异有统计学意义;研究组患者术后认知功能(P=0.018)、躯体功能(P=0.021)、社会功能(P=0.025)、情绪功能(P=0.032)及总体生活质量(P=0.033)等各维度评分高于对照组,差异有统计学意义。结论 临床中为肾细胞癌患者提供腹腔镜保留肾单位肾肿瘤切除术进行治疗可以缓解对患者肾功能造成的影响,提升患者手术治疗后的生活质量水平。

    • 维迪西妥单抗和术后化疗用于治疗人表皮生长因子受体2阳性的局限性尿路上皮癌患者的临床疗效分析

      2023, 48(8):1000-1004. DOI: 10.13406/j.cnki.cyxb.003298

      摘要 (94) HTML (30) PDF 548.74 K (1838) 评论 (0) 收藏

      摘要:目的 初步探索人表皮生长因子受体2(human epidermal growth factor receptor 2,Her-2)阳性的局限性尿路上皮癌患者术后辅助使用维迪西妥单抗的效果。方法 回顾性分析32例术后辅助使用维迪西妥单抗的局限性尿路上皮癌患者(维迪西妥组)和104例术后使用传统化疗的患者(术后化疗组)临床资料,随访患者的复发情况,对比分析2组患者的复发率和不良反应率。结果 2组患者的基线数据和术前术后的相关数据没有统计学差异(P>0.05)。维迪西妥组患者术后1人复发,其复发率(9.4%)远远低于术后化疗组(20.2%)(P=0.007)。同时,维迪西妥组不良反应发生率(12.5%)低于术后化疗组(20.2%)(P=0.022)。结论 术后治疗的12个月内,维迪西妥组患者与接受传统化疗的患者相比,复发率和不良反应率相对更低,提示维迪西妥在降低尿路上皮癌患者术后复发率和延缓疾病进展方面有探究意义。

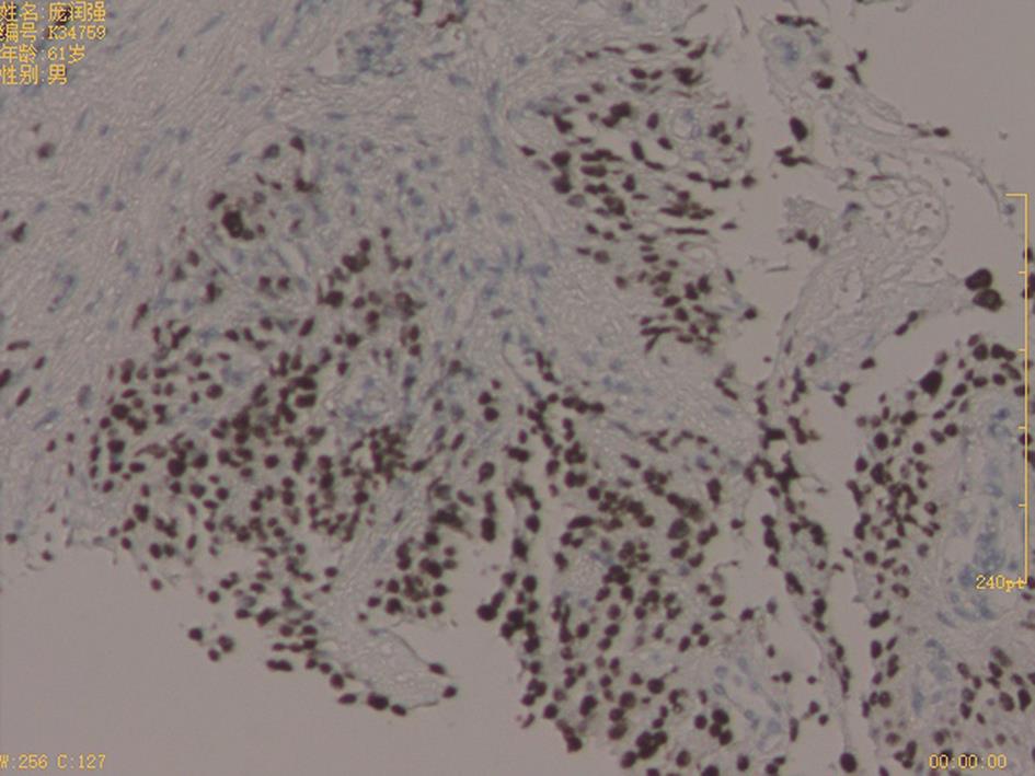
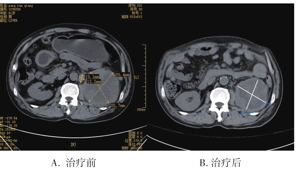
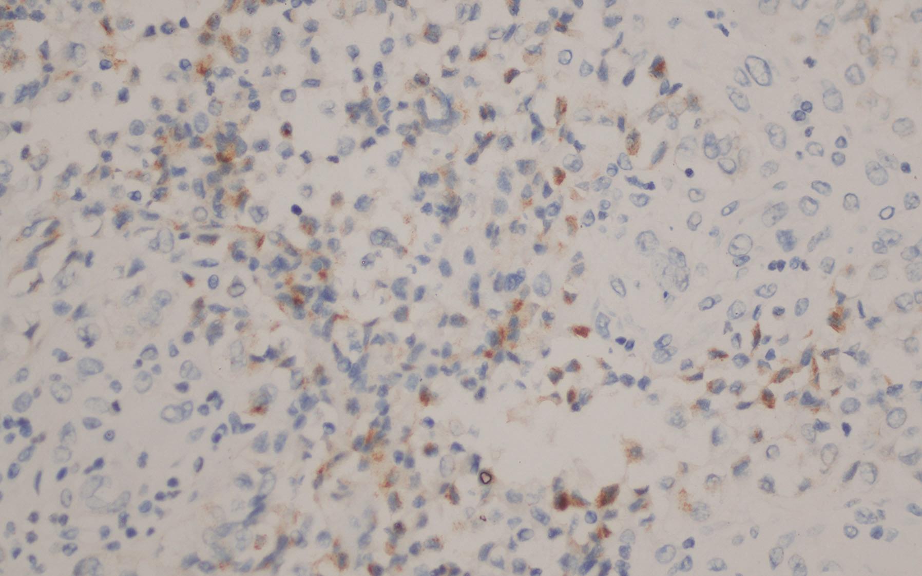
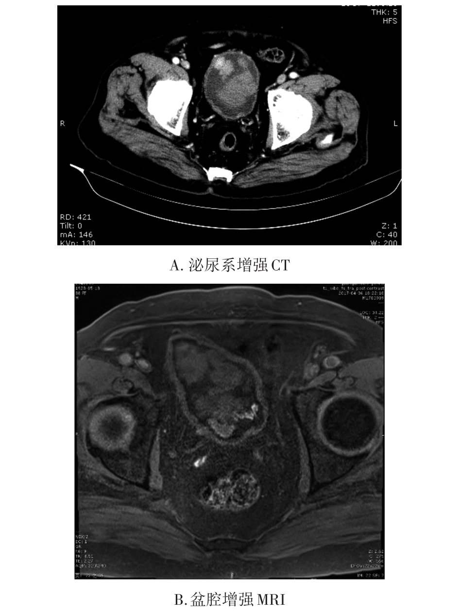
    • 转移性上尿路上皮癌在维迪西妥单抗联合替雷利珠单抗新辅助治疗后行根治性肾盂癌切除术1例报道

      2023, 48(8):1005-1008. DOI: 10.13406/j.cnki.cyxb.003299

      摘要 (52) HTML (36) PDF 2.16 M (1929) 评论 (0) 收藏

      摘要:

      • 0+1
      • 1+1
      • 2+1
      • 3+1
      • 4+1
      • 5+1
      • 6+1
      • 7+1
      • 8+1
      • 9+1
      • 10+1
      • 11+1
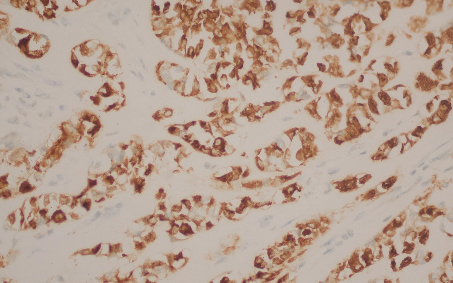
    • 肾黏液小管和梭形细胞癌2例报道

      2023, 48(8):1009-1010. DOI: 10.13406/j.cnki.cyxb.003288

      摘要 (368) HTML (25) PDF 1.59 M (186) 评论 (0) 收藏

      摘要:

      • 0+1
      • 1+1
    • >临床治疗
    • 后腹腔镜下经肾周脂肪囊外/内入路肾上腺手术的对比研究

      2023, 48(8):1011-1016. DOI: 10.13406/j.cnki.cyxb.003304

      摘要 (88) HTML (29) PDF 1.78 M (1927) 评论 (0) 收藏

      摘要:目的 探讨后腹腔镜下经肾周脂肪囊外和经周脂肪囊内途径肾上腺手术的安全性及有效性,为经后腹腔肾上腺肿瘤切除提供经验及依据。方法 收集2017年12月至2023年3月重庆医科大学附属第一医院497例后腹腔镜下肾上腺手术患者的临床资料,回顾性分析2组患者的基本特征及围术期指标的变化。结果 共纳入233例经肾周脂肪囊内途径(intra perinephric fat approach,IPFA)患者,其中腹腔镜手术224例,机器人手术9例,以及264例经肾周脂肪囊外途径(extra perinephric fat approach,EPFA)患者,其中腹腔镜手术253例,机器人手术11例。2组患者的肿瘤大小、估计失血量和手术时间都具有可比性。EPFA组肿瘤大小为(30.47±15.83) mm,与IPFA组相比明显较大(P=0.000)。IPFA组的手术时间长于EPFA组(P=0.000),而IPFA组的估计失血量[(119.07±82.32) mL]低于EPFA组[(158.88±106.94) mL],差异有统计学意义(P=0.000)。在输血率和住院时间方面,2组之间没有统计学差异。结论 后腹腔镜肾上腺切除术是一种安全有效的手术,可以通过肾周脂肪囊外和肾周脂肪囊内的入路。IPFA在估计失血量及术后输血率比EPFA更少,而EPFA的手术时长则优于IPFA。手术方式的选择可能主要取决于外科医生的经验、肾上腺肿瘤的特征和肾周脂肪的性质。

      • 0+1
      • 1+1
      • 2+1
      • 3+1
      • 4+1
      • 5+1
      • 6+1
    • 两种术式在缓解恶性输尿管梗阻疗效中的对比研究

      2023, 48(8):1017-1021. DOI: 10.13406/j.cnki.cyxb.003310

      摘要 (76) HTML (43) PDF 534.14 K (1490) 评论 (0) 收藏

      摘要:目的 探讨恶性输尿管梗阻(malignant ureteral obstruction,MUO)现有的临床治疗方案和经验,讨论恶性输尿管梗阻时使用经皮肾脏穿刺引流(percutaneous nephrostomy,PN)或输尿管支架置入术(ureteral stenting,US)的临床适用范围,明确2种术式在缓解恶性输尿管梗阻时肾功能损伤的有效性。方法 回顾性纳入重庆医科大学附属第一医院泌尿外科2021年1月至2023年5月诊断为恶性输尿管梗阻的患者,严格筛选纳入及排除标准后共有76例患者入组并随机分为PN组(n=22)与US组(n=54),对患者基本特征及围术期、术后半年随访数据进行病例对照研究以反映肾功能在2组中的差异,采用SPSS 21.0版本对数据进行处理分析。结果 2组患者在性别(P=0.017)、手术侧肾积水程度(P=0.000)的比较,差异有统计学意义。2组患者术前3 d比较尿素氮(P=0.002)、血肌酐(P=0.003),术后1 d尿素氮(P=0.017)、血肌酐(P=0.005),差异有统计学意义。术后3 d与术后6个月2组患者在肾功能比较中差异均无统计学意义。结论 恶性输尿管梗阻以宫颈癌多发,其次为位膀胱癌、结直肠癌等。US可选择梗阻或积水较轻、慢性输尿管梗阻、肾功能损伤较轻的患者,可作为缓解输尿管梗阻的首选治疗方案。PN临床常对中至重度肾积水、肾功能损伤较重或者急性肾功能不全的恶性输尿管梗阻患者进行治疗,可作为US失败的替代方案。

    • 造瘘口切口辅助技术在腹腔镜膀胱根治性切除及回肠通道术中的应用

      2023, 48(8):1022-1025. DOI: 10.13406/j.cnki.cyxb.003286

      摘要 (77) HTML (18) PDF 1.14 M (1951) 评论 (0) 收藏

      摘要:目的 探讨造瘘口切口辅助技术(通过造瘘口切口取标本,行肠吻合及输尿管吻合)在腹腔镜膀胱根治性切除及回肠通道术中的安全性、实用性。方法 将60例需行膀胱根治性切除及回肠通道术的患者随机分为造瘘口切口辅助技术组(试验组)及传统下腹正中切口辅助技术组(对照组),比较2组患者尿流改道手术时间、术中出血量、并发症发生率、术后住院日、术后疼痛评分的差异。结果 试验组尿流改道手术时间少于对照组[(105.0±18.9) min vs. (117.0±17.7) min,P<0.05];术后疼痛评分低于对照组(4.03±1.50 vs. 5.40±1.69,P<0.05);术后住院时间少于对照组[(8.27±1.86) d vs.(9.70±1.87) d,P<0.05];术中出血量2组间差异无统计学意义[试验组:(260±155) mL,对照组:(271±154) mL,P=0.784]。试验组并发症发生4例,其中2例为肠梗阻,1例造瘘口旁疝,1例尿路感染;对照组并发症发生6例,其中肠梗阻3例,切口感染2例,尿路感染1例。组间总体并发症发生率无明显统计学差异。结论 造瘘口切口辅助技术应用于腹腔镜膀胱根治性切除及回肠通道术安全可行,在术后快速康复中有良好的应用前景。

      • 0+1
      • 1+1
      • 2+1
      • 3+1
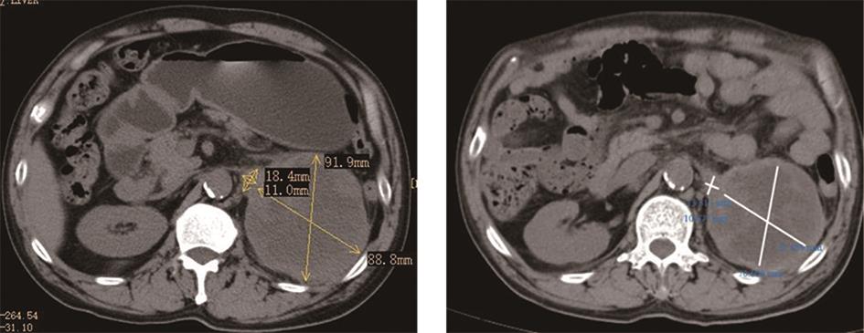
    • 腹腔镜下改良肾部分切除术治疗巨大囊性肾肿物

      2023, 48(8):1026-1030. DOI: 10.13406/j.cnki.cyxb.003291

      摘要 (71) HTML (49) PDF 4.22 M (1283) 评论 (0) 收藏

      摘要:目的 探讨腹腔镜下联合吸引的改良肾部分切除术治疗巨大囊性肾肿物的疗效与安全性。方法 共收治11例巨大囊性肾肿物患者,肿瘤最大径60~130 mm,平均(83±23) mm,影像学检查诊断为Bosniak分级Ⅲ~Ⅳ级。术中在经腹膜后或经腹腔入路腹腔镜视野下操作,分离出肾动脉备用,并尽可能分离肿物表面,然后在菲薄处用针状吸引杆吸净囊液,并将针孔处密闭。进一步完整游离出肿瘤,阻断肾动脉,行肾部分切除术。采用双层连续缝合技术,缝合肾脏创面。收集患者围手术期资料及术后随访情况。结果 所有手术均顺利完成,无中转开放或根治。平均手术时间(162±42) min,平均热缺血时间(24.0±5.3) min,平均出血量(107±79) mL,术后平均住院时间(6.7±1.7) d。病理结果显示透明细胞肾细胞癌7例、乳头状肾细胞癌1例、黄色肉芽肿性肾盂肾炎1例、良性复杂囊肿2例。术后中位随访时间21个月,无肿瘤复发或转移,肾功能情况良好。结论 腹腔镜下联合吸引的改良肾部分切除术治疗巨大囊性肾肿物的安全有效,适合以囊性成分为主、分隔较少的Bosniak Ⅲ~Ⅳ级的病例。

      • 0+1
      • 1+1
      • 2+1
      • 3+1
      • 4+1
      • 5+1

主管单位 :重庆市教育委员会

主办单位 :重庆医科大学

编辑部 :《重庆医科大学学报》编辑部

主编:黄爱龙

编辑部主任 :唐秋姗

国际标准刊号:ISSN 0253-3626

国内统一刊号:CN 50-1046/R

  • 浏览排行
  • 引用排行
  • 下载排行
按检索
检索词