• 2023年第48卷第9期文章目次
    全 选
    显示方式: |
    • >下丘脑垂体与创面修复疾病
    • 鞍区占位性疾病与性激素替代治疗

      2023, 48(9):1031-1035. DOI: 10.13406/j.cnki.cyxb.003330

      摘要 (616) HTML (67) PDF 597.37 K (260) 评论 (0) 收藏

      摘要:中枢性获得性性腺功能减退病因较多,其中鞍区占位性疾病是重要原因。性腺激素替代治疗可以恢复性功能、改善代谢、提高生活质量和增强自信心。本文将鞍区占位性疾病分为雌激素受体阳性或者雌激素相关肿瘤、雌激素受体阴性或者不明确的肿瘤、非肿瘤性鞍区占位性疾病3类。就鞍区各种类型占位性疾病及其治疗干预对性腺功能的影响,以及不同情况下性激素替代治疗的注意事项进行文献回顾,以期为该类疾患患者治疗提供意见和帮助。同时,也就目前一些问题提出思考,召唤更多的临床观察和基础研究进一步完善鞍区占位性疾病患者的性激素替代治疗策略。

    • 男性泌乳素腺瘤肿瘤生物学行为的研究进展

      2023, 48(9):1036-1041. DOI: 10.13406/j.cnki.cyxb.003329

      摘要 (562) HTML (54) PDF 1.62 M (276) 评论 (0) 收藏

      摘要:泌乳素腺瘤占所有垂体神经内分泌肿瘤的32%~66%,大多数泌乳素腺瘤属于良性肿瘤,且女性常见。然而,男性泌乳素腺瘤更具有进袭性,主要表现在术后反复复发、多巴胺激动剂耐药和放疗后肿瘤进展,以及更易发生垂体癌变。本文综述了近年来有关男性泌乳素腺瘤在肿瘤生物学特性方面的文献。文献表明,芳香化酶、SF3B1基因突变、E-钙黏蛋白/β-连环蛋白复合体受损、转化生长因子β1系统、特定基因和不稳定基因组的表达通过不同信号通路直接或间接导致男性泌乳素腺瘤在细胞增殖、上皮间充质转化、血管生成和对多巴胺激动剂抵抗等方面较女性泌乳素腺瘤具有独特的特征。未来还需要更多的研究进一步阐明男性泌乳素腺瘤进袭性的深层机制,将为有效的靶向治疗提供更全面、精准的理论依据。

      • 0+1
      • 1+1
    • 高泌乳素血症诊治若干临床问题探讨

      2023, 48(9):1042-1045. DOI: 10.13406/j.cnki.cyxb.003337

      摘要 (562) HTML (124) PDF 600.26 K (248) 评论 (0) 收藏

      摘要:高泌乳素血症是继发性性腺功能减退的常见原因,影响男性及女性的生殖功能,目前高泌乳素血症的诊治存在较多挑战。在激素测定方面存在低估激素真实水平的“钩状效应”,无症状或与症状不相符的高泌乳素水平为特点的巨泌乳素血症;在诊断时应注意鉴别生理性、病理性或药物性这三大常见原因从而减少误诊、漏诊;多巴胺受体激动剂是一线治疗,但对于耐药的高泌乳素血症应在全面评估病情后选择外科手术、放疗及其他药物的试验性治疗(如替莫唑胺)等;妊娠阶段是泌乳素生理性分泌增加的时期,不建议孕期应用泌乳素测定评价病情,主要通过有无肿瘤占位效应及病情危急情况决定是否需要启动药物或手术治疗。对于耐药/难治性高泌乳素血症及妊娠期高泌乳素血症的诊疗建议在有经验的多学科诊疗团队支持下进行。

    • 儿童脑肿瘤治疗后长期存活患者下丘脑垂体功能早期破坏的诊治研究进展

      2023, 48(9):1046-1050. DOI: 10.13406/j.cnki.cyxb.003335

      摘要 (515) HTML (46) PDF 722.69 K (226) 评论 (0) 收藏

      摘要:儿童脑肿瘤是最常见的儿童肿瘤之一,其严重影响儿童健康。不同类型儿童脑肿瘤经过治疗后生存情况发生变化。鞍区肿瘤、颅后窝肿瘤及垂体外肿瘤经过治疗后长期存活患儿,所面临的主要并发症之一是内分泌功能障碍。早期识别儿童脑肿瘤下丘脑垂体功能破坏并及时治疗,对患儿的生长、发育及预后非常重要。针对早期生长激素缺乏,下丘脑-垂体-甲状腺、肾上腺、性腺3条靶腺轴功能损伤,结合患儿生长发育情况,积极开展内分泌功能实验,借助神经外科、内分泌科、影像科、儿科等科室合作,开展多学科诊疗模式,探索建立一套内分泌功能障碍监测和重建系统,以正确调节各种代谢激素的相互作用,来满足儿童生长发育的个性化需求,提高患儿应对术后肿瘤复发风险的能力,准确评估儿童代谢紊乱程度,辅以精确治疗,全面提高患儿预后和生活质量。

      • 0+1
    • 垂体柄增粗的病因与临床诊疗进展

      2023, 48(9):1051-1055. DOI: 10.13406/j.cnki.cyxb.003326

      摘要 (626) HTML (131) PDF 1.36 M (308) 评论 (0) 收藏

      摘要:垂体柄系连接下丘脑与垂体重要结构,生理意义重大。多种原因可导致垂体柄增粗(pituitary stalk thickening,PST)改变。不同病因治疗手段不同,误诊、漏诊对患者的预后有显著影响,及时准确的病因诊断有助于患者得到恰当的治疗,改善预后。

      • 0+1
    • 内皮高表达脂多糖相关因子1通过影响NF-κB信号通路促进糖尿病小鼠皮肤创面愈合的研究

      2023, 48(9):1056-1062. DOI: 10.13406/j.cnki.cyxb.003324

      摘要 (130) HTML (76) PDF 5.76 M (252) 评论 (0) 收藏

      摘要:目的 探讨内皮高表达脂多糖相关因子1(endothelial-overexpressed lipopolysaccharide-associated factor 1,EOLA1)对2型糖尿病小鼠皮肤创面促愈合效果及机制。方法 选取SPF级6周龄db/db糖尿病小鼠,构建全层皮肤创面模型,在创口周边注射EOLA1高表达慢病毒。小鼠分为正常对照组、空载体慢病毒组、EOLA1慢病毒组。除正常对照组外,拍照记录不同时期小鼠创口愈合情况,造模第15天取创口及周边皮肤,HE染色观察创面肉芽组织及炎性浸润,Masson染色观察创面胶原纤维沉积,免疫荧光检测ARG1、iNOS观察巨噬细胞分型,Western blot及Real-time PCR检测NF-κB信号通路IκB-α、p-IκB-α、p65蛋白表达和EOLA1、TLR4、TNF-α、IL-1β基因表达水平。结果 与空载慢病毒组相比,EOLA1慢病毒组小鼠皮肤伤口愈合速度加快,肉芽组织及胶原纤维形成增多。EOLA1慢病毒组M2型巨噬细胞标志物ARG1表达升高,M1型巨噬细胞标志物iNOS表达降低。EOLA1慢病毒组IκB-α蛋白表达升高,p-IκB-α蛋白表达降低,TNF-α、IL-1β基因表达水平下调。结论 EOLA1可抑制糖尿病小鼠皮肤创面局部炎症,加速创面愈合,其机制可能为通过上调巨噬细胞内IκB-α表达,封闭p65活性,从而抑制炎症因子TNF-α、IL-1β的释放,巨噬细胞的表型也表现为从促炎症的M1型向促愈合的M2型转变。提示EOLA1在糖尿病创面具有抗炎促愈的潜力。

      • 0+1
      • 1+1
      • 2+1
      • 3+1
    • 单核细胞/淋巴细胞比值与糖尿病足患者下肢动脉病变的相关性研究

      2023, 48(9):1063-1068. DOI: 10.13406/j.cnki.cyxb.003322

      摘要 (94) HTML (34) PDF 685.11 K (220) 评论 (0) 收藏

      摘要:目的 探讨单核细胞/淋巴细胞比值(monocytes to lymphocytes ratio,MLR)与糖尿病足患者下肢动脉病变(lower extremity arterial disease,LEAD)的相关性。方法 选取2020年4月至2023年4月于陆军军医大学第一附属医院住院治疗的2 型糖尿病足患者243例,分为下肢动脉病变组(LEAD,n=103)和非下肢动脉病变组(non-lower extremity arterial disease,NLEAD,n=140),分析MLR与LEAD的相关性。结果 LEAD组MLR显著高于NLEAD组[0.46(0.29,0.63) vs. 0.38(0.26,0.58)(P<0.05)]。logistic回归分析结果显示,MLR、年龄、胆固醇、血肌酐是糖尿病足患者发生下肢血管病变的影响因素(P<0.05)。受试者工作特征曲线分析表明,MLR预测糖尿病足患者下肢血管病变的最佳切点为0.34,敏感度和特异度分别为69.9%和46.4%。结论 MLR与2型糖尿病足患者LEAD的发生相关。

      • 0+1
    • 解毒生肌膏调控GSK-3β/β-catenin减轻炎症反应促糖尿病SD大鼠慢性创面修复的影响

      2023, 48(9):1069-1077. DOI: 10.13406/j.cnki.cyxb.003338

      摘要 (130) HTML (44) PDF 8.87 M (269) 评论 (0) 收藏

      摘要:目的 从GSK-3β/β-catenin角度探讨炎症反应对糖尿病SD大鼠慢性创面修复的影响。方法 使用高脂饲料喂养联合腹腔注射链脲霉素(Streptozocin,STZ)及手术制备全层皮肤缺损的方法建立糖尿病SD大鼠创面模型,成模后随机分为模型组(n=15),磺胺嘧啶银组(n=15)及解毒生肌膏组(n=15),并设立正常创面组(n=15)。磺胺嘧啶银组创面和解毒生肌膏组创面予以磺胺嘧啶银软膏和解毒生肌膏外敷,每日1次,模型组与正常创面组不予干预。给药后第3天、7天和14天肉眼观察各组大鼠的创面愈合情况,计算创面愈合率;HE观察组织基本形态;Masson检测胶原生成情况;超微电镜观察内质网结构差异;免疫组织化学法检测肿瘤坏死因子-α(Tumor necrosis factor-α,TNF-α)和白细胞介素-6(Interleukin-6,IL-6)表达;蛋白质免疫印迹法检测糖原合成酶激酶-3β(glycogen synthase kinase-3β,GSK-3β)蛋白和β-连环蛋白(β-catenin)蛋白表达。结果 给药后3天解毒生肌膏组创面愈合率高于模型组(P<0.05);给药后14天解毒生肌膏组创面愈合率高于磺胺嘧啶银组(P<0.05)。HE结果 给药后3、7天解毒生肌膏组创面较其他组肿胀程度较小,毛细血管数量丰富;14天,解毒生肌膏组和正常创面组出现皮肤附属器新生,组织结构完整度好。Masson结果 解毒生肌膏组较其他各组胶原纤维分布均匀,排列结构较为整齐,新生胶原纤维更为粗壮,分布均匀,排列整齐。电镜结果:解毒生肌膏组内质网丰富,数量较多,形态结构趋于正常。免疫组织化学法结果:与模型组相比,各组TNF-α、IL-6表达水平明显降低;解毒生肌膏组TNF-α表达水平低于正常创面组;解毒生肌膏组TNF-α、IL-6表达低于磺胺嘧啶银组。Western blot法结果显示:与正常创面组相比,各组β-catenin表达量均上调(P<0.05),解毒生肌膏组上调表达量最少;与正常创面组相比,各组GSK-3β蛋白表达含量明显下调(P<0.05);给药后7天,磺胺嘧啶银组和解毒生肌膏组GSK-3β蛋白表达含量上调(P<0.05),但仍低于正常创面组。结论 解毒生肌膏作用糖尿病大鼠创面修复机制通过调控GSK-3β和β-catenin表达,使炎症因子IL-6和TNF-α表达下调,最终达到糖尿病大鼠慢性创面愈合。

      • 0+1
      • 1+1
      • 2+1
      • 3+1
      • 4+1
      • 5+1
      • 6+1
      • 7+1
      • 8+1
      • 9+1
      • 10+1
      • 11+1
      • 12+1
    • 颅咽管瘤的复发危险因素概况分析

      2023, 48(9):1078-1083. DOI: 10.13406/j.cnki.cyxb.003334

      摘要 (97) HTML (32) PDF 558.65 K (204) 评论 (0) 收藏

      摘要:颅咽管瘤(craniopharyngioma,CP)是一种慢性疾病,目前正在发展成为一种以控制疾病和提高生存质量为目标的多模式治疗方法,因此患者需要由经验丰富的多学科团队进行终身持续随访观察。在长期随访过程中,肿瘤复发是CP的一个常见特征,复发导致患者生存质量下降,故明确CP肿瘤复发危险因素至关重要。本文从多方面、多因素进行总结,以期综合性分析CP复发高危因素,为进一步探索并预测复发风险提供依据。

    • 垂体卒中患者的临床特点和治疗效果观察:1项单中心回顾性研究

      2023, 48(9):1084-1088. DOI: 10.13406/j.cnki.cyxb.003318

      摘要 (100) HTML (52) PDF 1000.70 K (209) 评论 (0) 收藏

      摘要:目的 探讨垂体卒中(pituitary apoplexy,PA)患者的症状、内分泌和影像学特点、临床转归及预后。方法 回顾性分析四川大学华西医院2015年1月1日—2021年12月31日期间诊断为“垂体卒中”患者资料。PA的诊断基于临床、影像学和病理组织学报告。总结其临床症状和体征、神经影像学、病理学和内分泌学结果,并分析临床转归及预后。结果 一共46名PA患者,其中20名男性(43.5%),平均年龄为47.05(15.81)岁,女性26名,平均年龄为31.96(14.78)岁。大多数人出现头痛(n=38,82.6%)和不同程度激素缺乏,其中最常见的垂体-性腺轴受累(28例,60.9%),其次是垂体-甲状腺轴受累(21例,45.7%);垂体-肾上腺轴受累(19例,41.3%);生长激素(growth hormone,GH)/胰岛素样生长因子-1(insulin-like growth factor 1,IGF-1)轴受累5例(10.9%);垂体后叶受累(尿崩症)8例(17.4%)。所有垂体卒中患者都有核磁共振成像(magnetic resonance imaging,MRI)上的特征性改变,部分卒中患者的垂体MRI存在典型的液平。9例(19.6%)接受抗血栓治疗,12例接受手术治疗的患者随访中的7例存在垂体腺瘤复发,但无患者在急性病程中死亡。在随访期间(5.2±1.9)年,大部分患者存在垂体-靶腺激素低下,均予以激素替代治疗。结论 PA属于神经内分泌危急重症,症状早期认识和及时治疗,尤其是内分泌紊乱的纠正对于避免严重并发症至关重要。临床医师需要重视PA的垂体前叶功能减退,以避免潜在的风险。

      • 0+1
    • 垂体腺瘤患者术前HPA及HPT轴功能低下危险因素及术后疗效分析

      2023, 48(9):1089-1093. DOI: 10.13406/j.cnki.cyxb.003325

      摘要 (94) HTML (45) PDF 590.98 K (205) 评论 (0) 收藏

      摘要:目的 下丘脑垂体肾上腺轴(hypothalamic-pituitary-adrenal,HPA)和下丘脑垂体甲状腺轴(hypothalamic-pituitary-thyroid,HPT)是人体最重要的生命激素轴,本文旨在研究垂体腺瘤患者术前发生HPA功能低下和HPT功能低下的危险因素,以及该部分患者术后相应激素轴恢复情况。方法 回顾性分析2018年1月至2022年12月于陆军军医大学新桥医院神经外科同一治疗组接受治疗的垂体腺瘤患者,根据纳入排除标准,共纳入504例。对比分析HPA功能及HPT功能正常患者(功能正常组)和至少一个轴功能低下患者的差异性临床因素,采用多因素logistic回归分析术前垂体功能低下的危险因素,随访术前功能低下组并给予手术治疗的患者术后1年内垂体功能恢复情况。结果 功能正常组患者434例,功能低下组70例。功能低下组患者年龄较功能正常组偏大(P=0.049),男性患者占比更高(P=0.001)。并发症方面,功能低下组高血压病占比更低(P=0.037),而高脂血症占比却更高(P=0.033)。肿瘤特征对比发现,功能低下组肿瘤体积较功能正常组明显增大(P<0.001);肿瘤向鞍内生长比例较功能正常组更小(P=0.012);内分泌分型对比发现,功能低下组中无功能型腺瘤占比较正常组明显增高(P<0.001);其余临床变量两组间无明显差异。多因素logistic回归分析显示男性、临床无功能腺瘤、肿瘤体积较大是垂体腺瘤患者HPA及HPT轴低下的独立危险因素(P<0.05)。ROC曲线分析显示肿瘤体积为6.350 cm3最能预测HPA及HPT轴低下(AUC=0.7)。功能低下组手术治疗68例,其中HPA功能低下者41例、HPT功能低下者53例、两个轴功能均低下者26例,术后1年内HPA轴功能恢复率为36.6%、HPT轴功能恢复率为39.6%,两个轴均低下患者1年内均恢复比例为38.5%。结论 男性、肿瘤体积较大、无功能垂体腺瘤是垂体腺瘤患者并发HPA、HPT轴功能低下的高危因素;手术有助于术前HPA及HPT轴功能低下患者不同程度恢复。

      • 0+1
    • 利拉鲁肽联合二甲双胍在超重或肥胖PCOS患者中的临床疗效观察

      2023, 48(9):1094-1099. DOI: 10.13406/j.cnki.cyxb.003321

      摘要 (98) HTML (63) PDF 602.66 K (213) 评论 (0) 收藏

      摘要:目的 回顾性分析利拉鲁肽联合二甲双胍治疗超重或肥胖多囊卵巢综合征(polycystic ovarian syndrome,PCOS)患者的临床疗效。方法 选取2018年6月至2023年4月在陆军军医大学第二附属医院就诊符合入选标准的125例PCOS患者作为研究对象,根据体质指数(body mass index,BMI)≥24 kg/m2分为超重组(n=56)和肥胖组(n=69)。2组受试者均给予利拉鲁肽联合二甲双胍治疗12周,评估治疗后的临床疗效。结果 ①治疗后,2组体质量、BMI、腰围、臀围、谷丙转氨酶较前下降(P<0.05)。肥胖组体质量、体质指数下降更显著(P<0.05);治疗后,2组糖脂代谢指标均较前下降(P<0.05),但2组间绝对值变化差异无统计学意义(P>0.05);治疗后,2组性激素球蛋白较前上升,总睾酮、游离雄激素指数、促黄体生成素、促黄体生成素/促卵泡激素较前下降(P<0.05),且超重组下降更显著(P<0.05)。治疗后2组月经恢复率、优势卵泡形成率较前改善,卵巢多囊样改变较前减少(P<0.05)。②安全性评价2组中最常见的不良反应是恶心和腹泻、消化不良。所有的不良反应都在用药后4周内逐渐减少。结论 利拉鲁肽联合二甲双胍在减轻超重或肥胖PCOS患者体质量、BMI,改善糖脂代谢紊乱及卵巢功能均有较好的疗效,尤其对于肥胖型PCOS患者在降低体质量方面获益更多,超重型PCOS患者在改善性激素水平方面更具优势,且安全性尚可。

    • 促甲状腺激素腺瘤的生长抑素受体表达与肿瘤侵袭性及相关性分析:系列报道

      2023, 48(9):1100-1106. DOI: 10.13406/j.cnki.cyxb.003323

      摘要 (118) HTML (40) PDF 1.60 M (206) 评论 (0) 收藏

      摘要:目的 垂体促甲状腺激素腺瘤(thyroid stimulating hormone adenoma,TSHoma)的术后缓解率在不同研究间存在较大差异,本研究拟初步探究生长抑素受体(SSTRs)表达与TSH瘤形态特点、肿瘤侵袭性、术后缓解率间的相关性。方法 本研究回顾性分析了2015年10月至2019年4月于陆军军医大学第二附属医院诊断为10例TSH瘤患者的临床资料,9例患者接受了经鼻蝶或经颅垂体瘤切除术的。通过调阅磁共振成像图像详细评估肿瘤体积、侵袭性和T2加权信号强度重点区域(region of interests,ROI)信号强度。针对海绵窦侵袭性(cavernous sinus invasion score,CSIS)、蝶窦侵犯(sphenoid sinus invasion score,SSIS)、鞍上扩展(suprasellar extension score,SSES)进行评分,并计算累积评分(cumulative score,CS)。另外,对患者的垂体组织切片进行生长抑素受体(subtype-specific somatostatin receptors,SSTR)免疫组织化学染色,并用半定量免疫评分法进行评分。根据评分中位数,将患者分为高评分组(≥中位数)、低评分组(<中位数),比较临床资料间的差异。结果 10例TSH瘤患者年龄中位数为32.5岁,男女比为3∶2,均为大腺瘤,多向鞍上、鞍旁、海绵窦侵袭性生长,体积差异大(0.50~93.20 mL)。TSH瘤SSTRs染色评分呈现出如下趋势:SSTR2>SSTR5=SSTR3>SSTR1。进一步分析,高SSTR2评分组的TSH水平、肿瘤体积、knosp分级和侵袭性评分高于低评分组,而缓解率低于低评分组;与之相反的是,高SSTR5/SSTR2比值组的甲状腺激素水平、促甲状腺激素水平、肿瘤体积、knosp分级和海绵窦侵袭性评分低于低SSTR5/SSTR2组,而缓解率更高。遗憾的是,本研究中TSH瘤的侵袭性程度与肿瘤体积、甲状腺激素水平、TSH水平、ROI信号强度之间没有相关性。结论 SSTR2的表达量、SSTR5/SSTR2比值与侵袭性、生化水平有相关性,可能影响手术预后。

      • 0+1
      • 1+1
    • 垂体多激素腺瘤病例报道:单中心研究

      2023, 48(9):1107-1113. DOI: 10.13406/j.cnki.cyxb.003320

      摘要 (104) HTML (38) PDF 1.67 M (196) 评论 (0) 收藏

      摘要:目的 加强对于同时产生生长激素(growth hormone,GH)和促甲状腺激素(thyroidstimulatinghormone,TSH)的垂体腺瘤的认识,防止误诊、漏诊、延诊,并探讨其治疗。方法 回顾性分析5例在四川大学华西医院确诊为垂体GH+TSH 瘤患者的临床表现、激素生化检查、影像学检查、治疗方式以及预后情况。结果 ①5例GH+TSH瘤占四川大学华西医院同期诊断的垂体瘤的2.9%(4/172);其中2例患者病理提示:TSH+GH+PRL为阳性,另外3例病理提示:TSH+GH为阳性。②鞍区MRI扫描5例均为大腺瘤(直径≥1 cm),无小腺瘤。③术前4例患者(病例2、3、4、5)GH基线水平明显升高(随机值>2.5 ng/mL),其中2例不被高糖抑制,2例患者未行高糖抑制实验;病例1因既往已多次反复治疗,目前GH已完全生化缓解。4例患者(病例1、2、4、5)FT4升高且TSH不被抑制,其中2例患者存在甲状腺毒症;2例患者性腺轴水平下降。5例患者中4例为经鼻内镜鞍区占位切除术,其术后大部分GH、TSH、FT4均明显下降(其中2例恢复到正常范围,另有1例GH水平有下降,但未完全缓解,TSH、FT4水平恢复正常,另1例GH、TSH、FT4均无明显变化)。余病例1既往伽玛刀治疗后给予药物治疗,第3次复发采用手术治疗后GH水平缓解,但TSH、FT4仍未得到缓解;术后性激素结果提示:2例患者性腺功能减退患者性腺功能未立即恢复正常。5例患者术前、术后垂体-肾上腺轴功能均正常。结论 垂体GH+TSH混合瘤临床发病率低,起病隐匿,多因甲状腺毒症而被误诊,易错过最佳治疗时机,手术治疗仍是该病的一线治疗方式。

      • 0+1
    • 多巴胺受体激动剂治疗巨大垂体催乳素细胞腺瘤伴垂体卒中1例

      2023, 48(9):1114-1115. DOI: 10.13406/j.cnki.cyxb.003319

      摘要 (82) HTML (44) PDF 548.80 K (215) 评论 (0) 收藏

      摘要:

      • 0+1
      • 1+1
      • 2+1
    • 长效生长抑素类似物治疗垂体促甲状腺激素腺瘤1例并文献复习

      2023, 48(9):1116-1121. DOI: 10.13406/j.cnki.cyxb.003336

      摘要 (120) HTML (37) PDF 677.52 K (209) 评论 (0) 收藏

      摘要:

      • 0+1
      • 1+1
      • 2+1
    • >临床研究
    • 基于人工智能的高血压性脑出血医疗文本信息自动识别系统

      2023, 48(9):1122-1127. DOI: 10.13406/j.cnki.cyxb.003332

      摘要 (139) HTML (40) PDF 1.01 M (230) 评论 (0) 收藏

      摘要:目的 构建基于人工智能的高血压性脑出血医疗文本信息自动识别系统,快速识别和分析患者临床信息,高效地输出正确的诊疗方案。方法 基于国内外最新高血压性脑出血诊疗指南,经多位高年资神经外科医生和专业人工智能团队共同讨论,构建基于语言表征模型和专家模块的高血压性脑出血医疗文本信息自动识别及决策系统(即H系统)。随后将收集到的高血压性脑出血病例分为训练集、测试集和验证集,以数据库中病例的真实治疗方案为金标准,先总体评价H系统的准确性,再将其与神经外科医生进行对比,分析H系统的判读效率。结果 在测试集中,H系统所输出的治疗方案的准确率为94.0%(91.5%~96.5%),特异度为91.8%(86.3%~97.3%),灵敏度为95.5%(89.3%~98.2%),曲线下面积(area under the curve,AUC)值为0.936(0.922~0.950)(P=0.000);在验证集中,H系统所输出的治疗方案的准确率为93.3%(89.5%~97.1%),特异度为 89.9%(83.4%~96.4%),灵敏度为95.8%(92.3%~99.3%),AUC值为0.928(0.891~0.966)(P=0.000)。在处理同样的70例病例时,H系统用时(334.60±4.46)s,而神经外科医生用时(12 550.28±95.45)s;在50 min内,H系统处理的病例数为(383±3)例,而神经外科医生处理的病例数为(11±4)例。结论 本研究所构建的H系统能够对高血压性脑出血患者的急诊病例进行自动识别和分析,并快速输出准确的诊疗方案,可协助医生对高血压脑出血进行急诊诊疗。

      • 0+1
      • 1+1
      • 2+1
      • 3+1
    • 非阻塞性冠状动脉疾病患者动态血压升高与运动性高血压相关性研究

      2023, 48(9):1128-1132. DOI: 10.13406/j.cnki.cyxb.003327

      摘要 (97) HTML (19) PDF 575.38 K (221) 评论 (0) 收藏

      摘要:目的 运动性高血压(hypertensive response to exercise,HRE)与不良心血管事件有关,早期识别和适当干预HRE对预防心血管事件非常重要。本研究旨在探讨非阻塞性冠状动脉疾病(non-obstructive coronary artery disease,NOCAD)患者动态血压升高与HRE之间的潜在联系。方法 纳入517名疑似冠心病的患者,行冠状动脉造影术判断冠状动脉的狭窄程度。选取其中的NOCAD患者,根据心肺运动试验(cardiopulmonary exercise testing,CPET)期间的血压情况诊断HRE。使用logistic回归模型分析动态血压升高和HRE之间的关系。结果 最终共有347名NOCAD患者纳入统计分析。患者的平均年龄为(61.15±9.14)岁,其中42.4%为男性。约51.3%的患者有高血压,13.8%的患者有糖尿病。logistic分析结果显示,动态血压升高是HRE的危险因素(OR=2.163,95%CI=1.094~4.275,P=0.026)。在按性别分层进行亚组分析后,发现在女性NOCAD患者中,动态血压升高是发生HRE的危险因素(OR=3.310,95%CI=1.387~7.902,P=0.007),而在男性NOCAD患者中,没有发现动态血压升高与HRE相关(OR=1.154,95%CI=0.370~3.603,P=0.805)。结论 在NOCAD患者特别是女性NOCAD患者中,动态血压升高与发生HRE相关。这一发现可能有助于早期诊断HRE,并进一步指导这些患者在心脏康复时进行适当的有氧运动。

      • 0+1
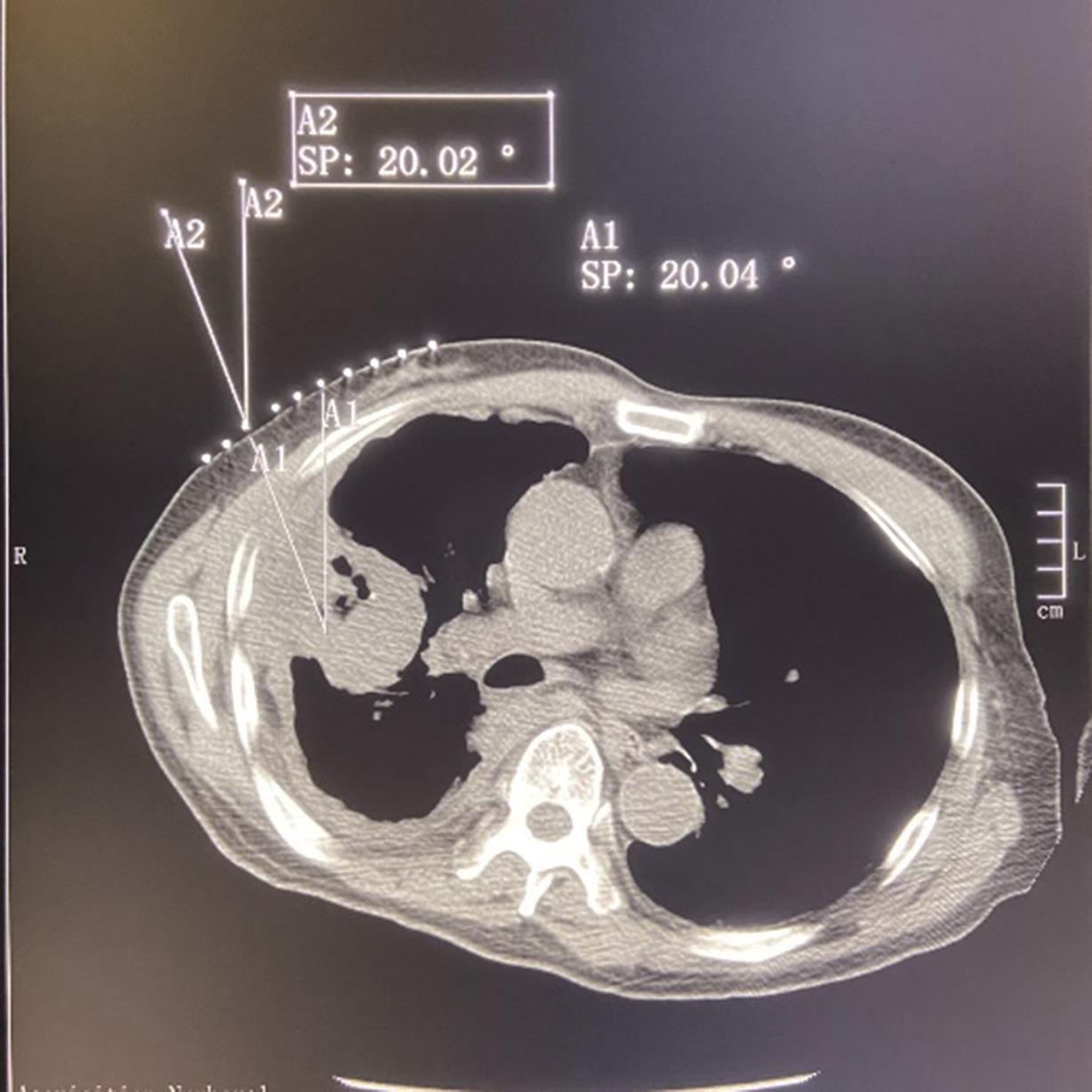
    • 靶点靶线体表描记法在CT引导经皮肺穿刺活检术中的应用

      2023, 48(9):1133-1137. DOI: 10.13406/j.cnki.cyxb.003328

      摘要 (93) HTML (23) PDF 2.14 M (224) 评论 (0) 收藏

      摘要:目的 旨在探讨靶点靶线体表描记法在CT引导经皮肺穿刺活检术中的技术要点及应用价值。方法 选取2021年8月至2022年4月进行肺穿刺活检的病例152例,随机分为A组(77例,采用靶点靶线体表描记法穿刺)和B组(75例,常规穿刺法),比较2组首次进针成功率、CT扫描次数、诊断准确率、术后并发症及手术时间以评估2种手术方法效果。结果 2组均穿刺成功并取得标本,穿刺成功率均为100%。首次进针成功:A组64例,B组62例,2组间无统计学差异(χ=0.005,P=0.941);CT扫描次数超标:A组18例,B组54例,2组间有统计学差异(χ=36.030,P<0.05);诊断准确:A组70例,B组68例,2组间无统计学差异(χ=0.003,P=0.959);咯血:A组12例,B组9例,2组间无统计学差异(χ=0.410,P=0.522);气胸:A组10例,B组11例,2组间无统计学差异(χ=0.090,P=0.764);手术时间:A组平均(19.88±4.47) min,B组平均(32.23±4.95) min,2组间有统计学差异(t检验,P<0.05)。结论 CT引导肺穿刺术中应用靶点靶线体表描记法简单易行,能准确指导CT引导肺穿刺术中穿刺角度的把握,减少术中CT扫描次数,值得在临床中推广。

      • 0+1
      • 1+1
      • 2+1
      • 3+1
      • 4+1
      • 5+1
      • 6+1
      • 7+1
    • 新型凝血、纤溶标志物在慢性肾脏疾病中的表达变化分析

      2023, 48(9):1138-1142. DOI: 10.13406/j.cnki.cyxb.003333

      摘要 (99) HTML (48) PDF 818.42 K (209) 评论 (0) 收藏

      摘要:目的 分析慢性肾病(chronic kidney disease,CKD)患者血浆凝血、纤溶标志物的表达变化趋势,为CKD相关凝血性疾病的诊断和治疗提供依据。方法 从2021年5月到2022年5月就诊于陕西省中医医院的CKD患者和体检人员中根据纳入标准获得CKD患者123名,依据肾小球滤过率(estimated glomerular filtration rate,eGFR)分组,健康体检者40名设为对照组(health control,HC组),分别检测凝血酶调节蛋白(thrombomodulin,TM)、凝血酶-抗凝血酶复合物(thrombin-antithrombin complex,TAT)、纤溶酶-α2抗纤溶酶复合物(plasmin-α2-antiplasmin complex,PIC)、组织型纤溶酶原激活物抑制剂-1复合物(tissue plasminogen activator inhibitor complex,t-PAIC)、凝血酶原时间(prothrombin time,PT)、活化部分凝血酶原时间(activated partial thromboplastin time,APTT)、凝血酶时间(thrombin time,TT)、纤维蛋白原(fibrinogen,FIB)、纤维蛋白降解产物[fibrin(-ogen) degradation products,FDP]、D-二聚体(D-dimer,DD)水平以及白蛋白、血肌酐(serum creatinine,SCr a)及尿素氮(blood urea nitrogen,BUN)的表达水平。结果 PT、APTT和TT在各组间的差异无统计学意义(P>0.05),CKD组中FIB、DD和TAT高于HC组(P<0.001);DD在CKD5期高于CKD1、2期(P<0.05);FDP在CKD2-5期均高于HC组(P<0.05)且CKD5期高于CKD1、2期;PIC在CKD 3-5期高于HC组,CKD4期高于CKD1、2期(P<0.001);tPAIC在CKD1-4期高于HC组(P<0.05);TM在CKD2-5期高于HC组,CKD4-5期高于其他分期(P<0.001);CKD各组TAT/PIC比值高于HC组,CKD1-3组与HC组的差异有统计学意义(P<0.001),TAT/PIC对CKD和HC的鉴别进行受试者工作曲线(receiver operating characteristic curve,ROC)分析,曲线下面积(area under curve,AUC)为0.716。结论 CKD患者体内普遍存在高凝状态,新凝血标志物反映凝血功能变化的能力更优秀。

      • 0+1
      • 1+1
      • 2+1
    • 肠菌移植治疗炎症性肠病14例临床观察

      2023, 48(9):1143-1148. DOI: 10.13406/j.cnki.cyxb.003331

      摘要 (118) HTML (35) PDF 2.74 M (233) 评论 (0) 收藏

      摘要:目的 观察肠菌移植治疗炎症性肠病的安全性和有效性,评价对治疗后炎症指标、疾病评分及肠道菌群组成的影响。方法 选取2018年12月至2021年12月于医院肛肠科行肠菌移植治疗炎症性肠病的14例患者,比较治疗前后患者炎症指标、疾病评分及治疗效果,16s rDNA检测肠道菌群变化。结果 经肠菌移植后,第15周临床有效率为85.71%(13/15);患者炎症指标、Mayo及疾病评分、肠道菌群多样性及相对丰度较前改善,差异具有统计学意义(P<0.05)。结论 肠菌移植治疗炎症性肠病疗效显著,不良反应少,安全性高,值得临床推广应用。

      • 0+1
      • 1+1
      • 2+1
      • 3+1
      • 4+1

主管单位 :重庆市教育委员会

主办单位 :重庆医科大学

编辑部 :《重庆医科大学学报》编辑部

主编:黄爱龙

编辑部主任 :唐秋姗

国际标准刊号:ISSN 0253-3626

国内统一刊号:CN 50-1046/R

  • 浏览排行
  • 引用排行
  • 下载排行
按检索
检索词