• 2024年第49卷第1期文章目次
    全 选
    显示方式: |
    • >文献综述
    • 非嗜酸性粒细胞哮喘诊治进展

      2024, 49(1):1-7. DOI: 10.13406/j.cnki.cyxb.003403

      摘要 (201) HTML (78) PDF 1.32 M (227) 评论 (0) 收藏

      摘要:哮喘是全球最常见的慢性呼吸系统疾病之一,非嗜酸性粒细胞哮喘(non-eosinophilic asthma,NEA)是哮喘的一种特殊表型,其气道炎症的特征是细胞浸润以中性粒细胞为主,缺乏嗜酸性粒细胞。NEA发病与环境及宿主因素均有关,例如职业暴露、环境污染、吸烟、感染和肥胖,上述风险因素单独或联合作用可以激活特定的细胞和分子途径,导致NEA发生。NEA的临床特征是对标准哮喘治疗的反应不佳,尤其是对吸入性皮质类固醇,导致疾病更严重和难以控制的哮喘。虽然NEA不是最普遍的哮喘表型,但重度哮喘患者中NEA比例高,其重要性不容忽视。本文就近年来NEA的流行病学现状、致病因素、发病机制和治疗现状作一综述。

      • 0+1
    • 超声弹性成像评估淋巴结的研究进展

      2024, 49(1):8-11. DOI: 10.13406/j.cnki.cyxb.003410

      摘要 (78) HTML (34) PDF 494.39 K (148) 评论 (0) 收藏

      摘要:淋巴结作为人体免疫系统的重要组成部分,分布于全身各个部位,各种良性和恶性疾病都可能导致淋巴结病变,而良恶性淋巴结的鉴别诊断对于预后和分期非常重要。超声弹性成像(ultrasound elastography,UE)作为一种非侵入性技术,在临床上,可以显示出淋巴结皮质和髓质的硬度和均匀性,并能发现早期局限性恶性浸润。因此,本文主要讨论超声弹性成像的原理和优缺点,以及对淋巴结肿大相关疾病的应用进展。

    • 维生素D与女性生育力及生殖系统疾病的研究进展

      2024, 49(1):12-17. DOI: 10.13406/j.cnki.cyxb.003405

      摘要 (242) HTML (132) PDF 591.36 K (158) 评论 (0) 收藏

      摘要:维生素D受体在女性生殖器官中广泛表达,维生素D与维生素D受体结合调节体内骨和钙稳态,参与炎症、细胞介导免疫、细胞周期和凋亡等多种信号通路。维生素D对卵泡发育和卵巢储备、子宫内膜容受性有调节作用;维生素D缺乏与多囊卵巢综合征病理进程有关;补充维生素D对预防卵巢早衰、子宫肌瘤、子宫内膜异位症和卵巢癌有重要意义;体内维生素D水平与体外受精结局也有一定相关性。维生素D缺乏是一个主要公共卫生问题,合理补充维生素D,有益于维护女性生殖健康。

    • >临床研究
    • 2型糖尿病心脏自主神经病变合并视网膜病变和肾病的临床研究

      2024, 49(1):18-23. DOI: 10.13406/j.cnki.cyxb.003416

      摘要 (105) HTML (45) PDF 603.69 K (187) 评论 (0) 收藏

      摘要:目的 探讨2型糖尿病心脏自主神经病变合并视网膜病变和肾病的患病率及危险因素。方法 选取2022年5月至2023年5月于云南省第一人民医院内分泌科住院的2型糖尿病(type 2 diabetes mellitus,T2DM)患者203例,以心血管反射试验(cardiovascular autonomic reflex tests,CARTs)结合评分判定糖尿病心脏自主神经病变(diabetic cardiac autonomic neuropathy,CAN),按照是否合并糖尿病视网膜病变(diabetic retinopathy,DR)、糖尿病肾脏病变(diabetic kidney disease,DKD)分为单纯CAN组、CAN合并DR组、CAN合并DKD组及CAN合并DR、DKD组,收集所有受试者的临床相关资料。采用SPSS 26.0软件进行统计学分析。结果 ①203例T2DM患者中,CAN的患病率为58.62%,CAN合并DR、CAN合并DKD及CAN合并DR、DKD的患病率分别为10.08%、7.56%、10.92%。②在4组中年龄、糖化血红蛋白(glycosylated hemoglobin,HbA1c)、估算肾小球滤过率(estimated glomerular filtration rate,eGFR)、乳酸脱氢酶(lactate dehydrogenase,LDH)、直接胆红素(direct bilirubin,DBIL)、72 h动态血糖葡萄糖在目标范围内时间(72 hours dynamic blood glucose within the target range of time,TIR)等因素差异有统计学意义(P<0.05)。③Logistic回归分析结果:HbA1c(OR=2.948,95%CI=1.015~8.560,P=0.047)、LDH(OR=1.151,95%CI=1.035~1.280,P=0.010)为CAN合并DR、DKD发生发展的促进因素;DBIL(OR=0.057,95%CI=0.005~0.658,P=0.022)、eGFR(OR=0.700,95%CI=0.513~0.955,P=0.025)、TIR(OR=0.877,95%CI=0.775~0.992,P=0.037)、年龄(OR=0.550,95%CI=0.349~0.868,P=0.010)的水平与CAN合并DR、DKD的发生发展相关。结论 较低的eGFR、TIR、DBIL、年龄与CAN合并DR、DKD的发生呈负相关,较高的HbA1c、LDH与CAN合并DR、DKD的发生呈正相关,故在eGFR、TIR、DBIL、年龄相对偏低和(或)HbA1c、LDH相对偏高的糖尿病人群中需更注重CAN合并DR、DKD的筛查。

    • 适碘地区老年人甲状腺结节的患病率及危险因素调查

      2024, 49(1):24-30. DOI: 10.13406/j.cnki.cyxb.003406

      摘要 (90) HTML (47) PDF 585.41 K (119) 评论 (0) 收藏

      摘要:目的 调查江苏适碘地区农村老年人群甲状腺结节和甲状腺癌的患病率,并分析甲状腺结节患病的危险因素。方法 采用整群抽样的方法对江苏适碘地区进行横断面调查研究,选取2 590例60岁及以上的常驻居民进行体检与生化检查,采用甲状腺影像学报告及数据系统(Thyroid Imaging Reporting And Data System,TI-RADS)分类方法对甲状腺结节进行分类评估,并对部分甲状腺结节进行超声引导下活检病理检查,采用Logistic回归分析甲状腺结节的危险因素。结果 2 590例受者中共检出甲状腺结节883例,总体患病率为34.09%(883/2 590),女性患病率明显高于男性(χ2=27.885,P=0.000),有甲状腺结节组和无甲状腺结节组相比,身高、体质指数、空腹血糖、糖化血红蛋白、空腹胰岛素、甘油三酯、25羟维生素D差异有统计学意义(分别为t=5.337、P=0.000,t=-5.160、P=0.000,t=-2.341、P=0.019,t=-4.993、P=0.000,t=-2.384、P=0.020,t=-2.940、P=0.003,t=6.432,P=0.000)。男性甲状腺结节的患病率随年龄的增加而增加。老年人甲状腺癌的总体检出率为0.34%。Logistic回归分析结果显示,体质指数和糖化血红蛋白是甲状腺结节患病的危险因素(OR=1.054,95%CI=1.028~1.081,P<0.01;OR=1.257,95%CI=1.117~1.414,P<0.01)。结论 甲状腺结节是老年人常见的甲状腺疾病,但甲状腺癌的患病率总体较低。糖脂代谢紊乱与甲状腺结节的患病密切相关。

    • 生活方式与家族史对心血管代谢疾病的交互作用分析

      2024, 49(1):31-36. DOI: 10.13406/j.cnki.cyxb.003400

      摘要 (57) HTML (33) PDF 560.01 K (149) 评论 (0) 收藏

      摘要:目的 探讨生活方式与心血管代谢疾病家族史(以下简称家族史)对心血管代谢疾病患病的影响及两者的交互作用,指导疾病防控。方法 按照纳入排除标准选取合川区3 009例30~79岁常住居民作为调查对象,进行问卷调查、体格检查及实验室检测。运用SPSS 26.0进行χ2检验和多因素logistic回归分析,采用相乘模型和相加模型分析生活方式与家族史对心血管代谢疾病患病的交互作用。结果 生活方式和家族史对心血管代谢疾病患病,既不存在相乘交互作用(ORint=1.22,95%CI=0.86~1.73),也不存在相加交互作用,相对超危险度比(the relative excess risk due to interaction,RERI)、归因比(attributable risk percent,AP)、交互作用指数(S)分别为0.69(95%CI=-3.98~5.36)、0.21(95%CI=-0.95~1.37)、1.44(95%CI=0.16~13.03)。生活方式不健康且有家族史者,患心血管代谢疾病的风险高于生活方式健康且无家族史者(OR=3.26,95%CI=2.52~4.23),男性(OR=5.16,95%CI=3.12~8.52)远高于女性(OR=2.72,95%CI=1.96~3.77)。结论 生活方式和家族史对心血管代谢疾病患病风险不存在交互作用,但存在联合作用。有家族史者保持健康生活方式,有利于控制心血管代谢疾病患病。

    • 冠心病患者sST2、Gal-3水平与心肌纤维化的相关性研究

      2024, 49(1):37-43. DOI: 10.13406/j.cnki.cyxb.003378

      摘要 (65) HTML (54) PDF 722.30 K (151) 评论 (0) 收藏

      摘要:目的 探讨冠心病(coronary artery disease,CAD)患者可溶性生长刺激表达基因2蛋白(soluble growth stimulation expressed gene 2,sST2)、半乳糖凝集素-3(galectin-3,Gal-3)与心肌纤维化(myocardial fibrosis,MF)的关系,指导临床缺血性MF的评估。方法 以顺序入选2021年9月至2022年9月在重庆医科大学附属第二医院科住院的冠心病受试者56例非冠心病患者31例为研究对象,根据心血管磁共振-延迟钆增强(cardiovascular magnetic resonance-late gadolinium enhancement,CMR-LGE)将冠心病组分为心肌纤维化(LGE阳性)亚组和非心肌纤维化(LGE阴性)亚组。收集所有受试者的一般临床资料。所有受试者均通过酶联免疫吸附法测定血清sST2、Gal-3水平。分析sST2、Gal-3与CMR-LGE结果的相关性。结果 ①CAD组患者sST2、Gal-3、血压、肌酐、尿酸、室间隔厚、糖化血红蛋白、CAS评分高于非CAD组患者(P<0.05),而肾小球滤过率、高密度脂蛋白低于非CAD患者(P<0.05)。②LGE阳性亚组sST2、Gal-3、B型利钠肽原水平较LGE阴性亚组高(P<0.05),高密度脂蛋白较LGE阴性亚组低(P<0.05)。③LGE与sST2(rs=0.338,P=0.011)、Gal-3(rs=0.428,P=0.001)、B型利钠肽原(rs=0.364,P=0.006)呈正相关,与高密度脂蛋白(rs=-0.339,P=0.011)呈负相关,纳入控制变量进行偏相关分析得出LGE与sST2(r=0.312,P=0.037)、Gal-3(r=0.419,P=0.004)独立相关。④sST2、Gal-3以及两者联合检测心肌纤维化的敏感度分别是65%、87%、70%,特异度分别是81%、56%、87%,sST2、Gal-3预测有无心肌纤维化的最佳临界值分别是36.01 ng/mL、13.04 ng/mL。结论 sST2、Gal-3可用于预测缺血性心肌纤维化,与CMR-LGE评估心肌纤维化具有高度一致性。

      • 0+1
    • 肌肉超声回声联合血浆炎性因子对ICUAW诊断及预后评估的价值研究

      2024, 49(1):44-49. DOI: 10.13406/j.cnki.cyxb.003415

      摘要 (54) HTML (66) PDF 2.34 M (122) 评论 (0) 收藏

      摘要:目的 探讨重症监护病房(intensive care unit,ICU)获得性肌无力(ICU acquired weakness,ICUAW)患者肌肉超声回声与血浆炎性因子的相关性,以及其对ICUAW的诊断价值和预后的预测价值。方法 选择重庆市急救医疗中心ICU住院患者,分别在第1、3、7天使用床旁超声检测患者肌肉回声,获得的总体肌肉回声评分(global muscle echogenicity score,GEM),测定血清白细胞介素-6(interleukin-6,IL-6)和降钙素原(procalcitonin,PCT)浓度,采用医学研究理事会肌力评分法(medical research council scales,MRC-ss)评估肌肉力量。根据患者入ICU第7天MRC-ss评分将患者分为ICUAW组和非ICUAW组,分析比较2组患者GEM、IL-6、PCT的差异及各指标的相关性。利用受试者工作特征(receiver operator characteristic,ROC)曲线分析以上参数对ICUAW诊断效能,分析GEM、IL-6、PCT对ICUAW患者的预测预后价值。结果 ICUAW组第3天GEM、第7天IL-6浓度、GEM高于非ICUAW组(P<0.05)。GEM与第7天IL-6水平呈正相关(r=0.221),第7天GEM与MRC-ss评分呈负相关(r=-0.581)。ROC曲线分析显示,第7天GEM对ICUAW有诊断预测价值,ROC曲线下面积(area under the curve,AUC)为0.838,使用GEM、IL-6、PCT联合诊断,AUC=0.885(P<0.05)。ICUAW组Barthel指数评分(Barthel index,BI)低于非ICUAW组,ICUAW组中总体肌肉超声回声评分(global muscle echogenicity score,GEM)高的患者BI低于GEM低的患者(P<0.05)。结论 ICU住院患者GEM与IL-6、PCT浓度相关,其对ICUAW具有一定的诊断价值,并能够预测ICUAW患者的预后。

      • 0+1
      • 1+1
      • 2+1
    • 胎盘生长因子、可溶性fms样酪氨酸激酶-1及糖基化纤连蛋白在子痫前期预测中的应用价值

      2024, 49(1):50-54. DOI: 10.13406/j.cnki.cyxb.003412

      摘要 (86) HTML (47) PDF 684.39 K (163) 评论 (0) 收藏

      摘要:目的 探讨胎盘生长因子(placental growth factor,PLGF)、可溶性fms样酪氨酸激酶-1(soluble fms-like tyrosine kinase-1,SFLT-1)和糖基化纤连蛋白(glycosylated fibronectin,GLYFN)检测对子痫前期的预测价值。方法 选择在无锡市妇幼保健院就诊的188例孕妇,分154例正常孕妇(对照组)和34例子痫前期患者(子痫组),应用免疫荧光法分别检测其在孕16~18周血清中PLGF、SFLT-1和GLYFN的浓度,比较子痫前期组和对照组各标志物的水平,并使用受试者操作特征曲线(receiver operating characteristic,ROC)对3种标志物的预测价值进行效能评估。结果 在妊娠中期,子痫前期组血清PLGF浓度低于对照组,SFLT-1及GLYFN浓度均高于对照组,3种标志物的差异均有统计学意义(3指标P=0.000)。95%置信区间的ROC曲线下面积(areas under the ROC curve,AUC)为,PLGF为0.941(0.907~0.974),SFLT-1为0.881(0.800~0.962),GLYFN为0.951(0.918~0.985),联合指标SFLT-1和GLYFN、3项指标联合检测在ROC曲线下面积(areas under the ROC curve,AUC)分别为0.968、0.986。结论 PLGF、SFLT-1、GLYFN 3种标志物水平在对照组和子痫前期组均存在明显差异,对子痫前期的发病具有一定的预测价值,SFLT-1联合PLGF、SFLT-1联合GLYFN、3项指标联合检测对子痫前期的预测价值高于任一单项指标。

      • 0+1
    • 肢端肥大症合并高血压、糖代谢异常患者的心脏超声改变研究

      2024, 49(1):55-59. DOI: 10.13406/j.cnki.cyxb.003408

      摘要 (41) HTML (41) PDF 523.65 K (122) 评论 (0) 收藏

      摘要:目的 探讨肢端肥大症合并高血压、糖代谢异常患者的超声心动图改变。方法 回顾性收集2016年4月至2021年8月在陆军军医大学第二附属医院确诊的肢端肥大症患者120例,根据是否合并高血压和(或)糖代谢异常分为A组(无合并高血压和糖代谢异常),B组(仅合并糖代谢异常),C组(仅合并高血压)和D组(同时合并高血压及糖代谢异常),比较各组超声心动图参数的差异,以分析肢端肥大症患者合并症对心脏结构及功能的影响。结果 各组右心超声参数差异无统计学意义;左心超声参数结果显示:D组左心室质量指数、室间隔厚度明显高于A组、B组,二尖瓣口舒张充盈早期与晚期峰值速度比值(E/A)明显低于A组、B组,差异有统计学意义(P<0.05)。D组发生左心室肥厚、左心房扩大、左心室E/A比值异常的概率更高(OR=3.40,P=0.005;OR=4.14,P=0.009;OR=5.95,P<0.001)。结论 通过超声心动图能敏感发现且准确评估肢端肥大症合并高血压和(或)糖代谢异常的心脏改变。

    • AI辅助下医生对骨龄评估的效能提升

      2024, 49(1):60-64. DOI: 10.13406/j.cnki.cyxb.

      摘要 (64) HTML (93) PDF 2.04 M (118) 评论 (0) 收藏

      摘要:目的 比较放射科医师在人工智能(artificial intelligence,AI)骨龄评价系统辅助前后对儿童左手X线摄影的骨龄评估效能。方法 回顾性分析在我院就诊的300例患儿左手X线平片。骨龄评测采用中华-05骨龄评定标准,两位低年资医师(医师1及医师2)分别在有无AI辅助下分别记录左手各骨质的骨龄发育等级,并记录时间。以两位高年资放射医师分别在有无AI系统辅助下评估结果的均值为参考标准,计算骨龄测评的准确率、均方根误差(root mean square error,RMSE)、测评时间。结果 无AI辅助下,医师1及医师2分析差值在6个月及12个月诊断准确率分别为77.3%和83%、88.7%和93.7%,RMSE值分别为9和8。在AI辅助下,医师1及医师2分析差值在6个月及12个月诊断准确率分别为88.7%和90.3%、97%和97.3%,RMSE值分别为6和6;差异均具有统计学意义。无AI辅助下,实验组医师和标准组医师,平均评测耗时分别为124.79 s和89.13 s;有AI辅助下实验组医师和标准组医师,平均评测耗时分别为86.10 s和63.87 s,在AI辅助下平均评测耗时均有较大幅度减少(P=0.000)。结论 AI辅助骨龄评价系统可显著提高医师工作效率,减少阅片时间。

      • 0+1
      • 1+1
    • 3种不同入路腔镜手术治疗甲状腺微小癌的疗效及并发症对比研究

      2024, 49(1):65-69. DOI: 10.13406/j.cnki.cyxb.003411

      摘要 (47) HTML (30) PDF 573.06 K (122) 评论 (0) 收藏

      摘要:目的 探究3种不同入路腔镜手术治疗甲状腺微小癌的疗效及并发症发生情况。方法 回顾性选取2020年1月至2023年3月于皖南医学院第一附属医院弋矶山医院接受腔镜手术治疗的240例甲状腺微小癌患者为对象,根据手术入路方式分为经口组(经口腔前庭入路,n=71)、经腋窝组(经腋窝入路,n=73)和经胸乳组(经胸乳入路,n=96)。比较各组一般临床资料、围术期指标,评估患者术后疼痛情况、切口美观度和患者满意度,记录术后并发症发生情况。结果 经腋窝组的手术时间明显短于经口组、经胸乳组(均P<0.001);各组切口总长度比较:经口组<经胸乳组<经腋窝组(均P<0.001);经口组中央区淋巴结清扫数量多于经腋窝组、经胸乳组,清扫时间短于经腋窝组、经胸乳组(均P<0.001)。术后6 h、12 h、24 h和48 h,经口组、经腋窝组的视觉模拟评分(visual analogue scale,VAS)均小于经胸乳组(均P<0.001)。经口组、经腋窝组的切口美观度、患者满意度评分均明显高于经胸乳组(均P<0.001)。3组患者并发症总发生率比较,差异无统计学意义(P=0.491)。结论 3种入路腔镜手术治疗甲状腺微小癌的临床疗效相当,术后并发症无差别,但经腋窝入路手术时间最短,经口腔前庭入路清除中央区淋巴结效果更好,用时更短,在保证疗效的同时,美容效果更佳,临床可根据患者实际情况选择合适的入路方式。

    • 机器人辅助腹腔镜与传统腹腔镜关于全子宫切除术在不同体质指数患者中的对比研究

      2024, 49(1):70-74. DOI: 10.13406/j.cnki.cyxb.003401

      摘要 (56) HTML (19) PDF 518.20 K (125) 评论 (0) 收藏

      摘要:目的 比较机器人辅助腹腔镜与传统腹腔镜关于全子宫切除术在不同体质指数患者中的安全性及可行性。方法 回顾性收集2016年2月至2021年4月于重庆医科大学附属第一医院接受了机器人辅助腹腔镜全子宫切除术(n=416)和传统腹腔镜全子宫切除术(n=725)患者的病例资料。按照不同等级体质指数(body mass index,BMI)对患者进行分层(非超重、超重和肥胖),比较2组中各BMI亚组间患者的围术期情况、术中及术后并发症。结果 机器人组中超重亚组的手术时间短于传统腹腔镜组[(125.37±50.92) min vs. (135.68±44.55) min],机器人组中3个BMI亚组的术中出血量均少于传统腹腔镜组[(60.46±45.20) mL vs. (92.88±105.13) mL、(72.01±62.03) mL vs. (115.02±123.38) mL及(65.59±37.92) mL vs. (125.16±96.07) mL],机器人组中超重亚组和肥胖亚组的首次排气时间均短于传统腹腔镜组[(2.04±0.83) d vs. (2.19±0.63) d和(1.97±0.54) d vs. (2.19±0.54) d],差异均有统计学意义(P<0.05)。机器人组中各BMI亚组术中及术后总体并发症发生率仍低于腹腔镜组,但差异无统计学意义(P>0.05)。结论 超重和肥胖患者的全子宫切除术,机器人辅助腹腔镜相较于传统腹腔镜在围术期降低并发症等方面有一定优势。

    • 不同靶点脑深部电极植入术治疗Meige综合征的疗效评价

      2024, 49(1):75-79. DOI: 10.13406/j.cnki.cyxb.003413

      摘要 (53) HTML (28) PDF 702.69 K (142) 评论 (0) 收藏

      摘要:目的 探讨不同靶点脑深部电极植入术(deep brains stimulate,DBS)治疗Meige综合征的疗效。方法 回顾性分析重庆医科大学第一附属医院神经外科自2019年3月至2022年4月行不同靶点DBS治疗的8例患者的临床资料。8例原发性Meige综合征患者分别接受了双侧丘脑底核(subthalamic nucleus,STN)或苍白球内侧部(globus pallidus internus,GPI)脑深部电刺激术。采用肌张力障碍评定量表(Burke-Fahn-Marsden dystonia rating scale,BFMDRS)、汉密尔顿焦虑量表(Hamilton anxiety scale,HAMA)和汉密尔顿抑郁量表(Hamilton depression scale,HAMD)分别对患者术前和术后肌张力、肢体运动功能及精神情况进行评估并记录术后相关并发症。结果 术后12个月8例患者的BFMDRS平均改善率为(77.17±11.63)%,且接受GPI刺激与接受STN刺激患者之间平均运动评分改善率分别是76.49%、77.85%,两个靶点均能有效改善患者症状,差异无统计学意义(P>0.05)。另HAMA量表、HAMD量表各项评分较术前均有不同程度改善。结论 不同靶点的DBS治疗均能有效、安全改善Meige综合征的临床症状,可作为药物、肉毒素局部注射治疗无效情况下的替代性方案。

      • 0+1
      • 1+1
      • 2+1
      • 3+1
      • 4+1
    • 宫颈LEEP术后发生宫颈管粘连风险模型构建及验证

      2024, 49(1):80-84. DOI: 10.13406/j.cnki.cyxb.003404

      摘要 (66) HTML (40) PDF 766.27 K (131) 评论 (0) 收藏

      摘要:目的 分析子宫颈环形电切术(loop electrosurgical excision procedure,LEEP)术后发生宫颈管粘连的危险因素,建立并验证风险预测模型。方法 本研究前瞻性选取2021年9月至2022年4月遵义市第一人民医院子宫颈鳞状上皮内病变(cervical squamous intraepithelial lesion,SIL)且行LEEP治疗的200例患者作为研究对象。根据LEEP术后有无发生宫颈管粘连分为粘连组(n=45)和未粘连组(n=155),采用单因素和多因素logistic回归分析LEEP术后发生宫颈管粘连的影响因素,基于筛选得到的危险因素建立列线图模型,并对模型的精准度进行验证。结果 年龄(OR=1.152,95%CI=1.063~1.249)、创面出血(OR=6.602,95%CI=2.652~16.436)、创口感染(OR=6.288,95%CI=2.357~16.772)、切除深度(OR=3.383,95%CI=1.367~8.373)是宫颈管粘连发生的独立危险因素。验证结果:一致性指数(concordance index,CI)为0.904;Hosmer-Lemeshow提示该列线图模型预测LEEP术后发生宫颈管粘连的风险预测值与实际观测值比较,差异未显示统计学意义(χ2=1.810,P=0.840);列线图模型预测LEEP术后发生宫颈管粘连的校正曲线趋近于理想曲线,验证前后的平均绝对误差为0.033;列线图模型预测LEEP术后发生宫颈管粘连的校正曲线和受试者工作特征(receiver operating characteristic curve,ROC)曲线下的面积(area under the curve,AUC)为0.904(95%CI=0.858~0.950),灵敏度为0.933,特异度为0.768。结论 本研究构建的SIL行LEEP术后患者宫颈管粘连发生风险预测模型效果良好,可以有效预测宫颈管粘连的发生,可为早期对患者采取预防性干预措施提供参考。

      • 0+1
      • 1+1
      • 2+1
    • 胎儿心脏定量分析技术评价妊娠期肝内胆汁淤积症孕妇胎儿心室收缩功能

      2024, 49(1):85-90. DOI: 10.13406/j.cnki.cyxb.003377

      摘要 (50) HTML (24) PDF 1.70 M (137) 评论 (0) 收藏

      摘要:目的 探讨妊娠期肝内胆汁淤积症(intrahepatic cholestasis of pregnancy,ICP)对胎儿心室收缩功能的影响,为临床早期发现ICP胎儿心功能异常提供依据。方法 选取2022年7月至2023年4月于川北医学院附属医院就诊孕妇67例,孕周27~40周,其中ICP孕妇29例(ICP组),正常孕妇38例(对照组)。应用胎儿心脏定量分析(fetal heart quantification,Fetal HQ)软件测量胎儿心室收缩功能,包括纵向收缩功能:左、右心室整体纵向应变(global strain,GLS)、间隔壁应变(sept wall strain,SWS)、侧壁应变(free wall strain,FWS);横向收缩功能:左、右心室24节段短轴缩短率(fractional shortening,FS);整体收缩功能:左、右心室面积变化分数(fetal area change,FAC)、左心室射血分数(ejection fraction,EF)。结果 ICP组纵向收缩功能指标左、右心室GLS、SWS、FWS均低于对照组,差异有统计学意义(P<0.05);两组间横向收缩功能指标左、右心室24节段FS比较,差异均无统计学意义(P>0.05);ICP组整体收缩功能指标左、右心室FAC均低于对照组,差异有统计学意义(P<0.05),而两组间左心室EF比较,差异无统计学意义(P>0.05)。结论 在宫内高胆汁酸环境下,ICP胎儿心脏左、右心室整体及纵向收缩功能明显受损,横向收缩功能未见明显改变;并且与传统心脏功能评价指标左心室EF相比,FAC可以更加敏感地反映胎儿心脏整体功能的改变。

      • 0+1
      • 1+1
      • 2+1
      • 3+1
      • 4+1
    • >个案报道
    • 慢性活动性EB病毒感染合并多部位出血1例报道

      2024, 49(1):91-93. DOI: 10.13406/j.cnki.cyxb.003407

      摘要 (53) HTML (19) PDF 862.96 K (141) 评论 (0) 收藏

      摘要:

      • 0+1
      • 1+1
    • 重庆市首例新型布尼亚病毒感染案例报道

      2024, 49(1):94-96. DOI: 10.13406/j.cnki.cyxb.003414

      摘要 (42) HTML (20) PDF 5.55 M (125) 评论 (0) 收藏

      摘要:

      • 0+1
      • 1+1
      • 2+1
      • 3+1
      • 4+1
      • 5+1
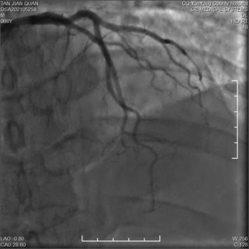
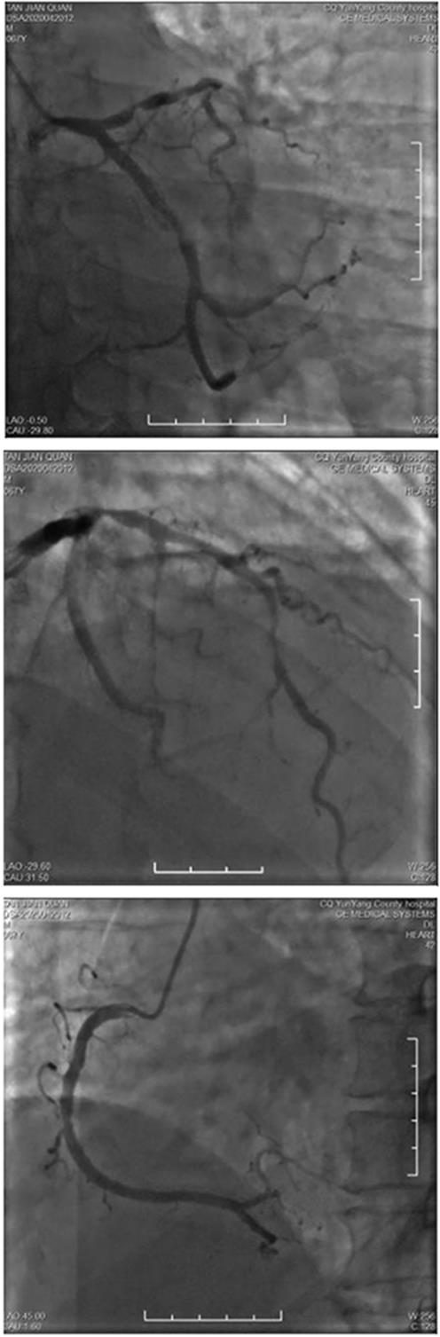
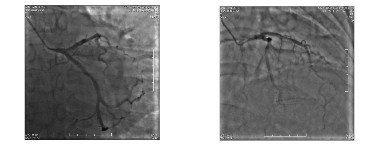
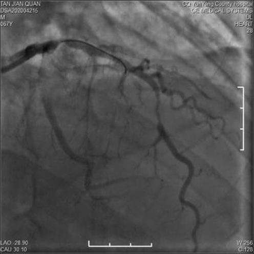
    • 疑似雷帕霉素药物洗脱支架术后Kounis综合征1例

      2024, 49(1):97-100. DOI: 10.13406/j.cnki.cyxb.003409

      摘要 (42) HTML (15) PDF 1.14 M (104) 评论 (0) 收藏

      摘要:

      • 0+1
      • 1+1
      • 2+1
      • 3+1
      • 4+1
      • 5+1
      • 6+1
      • 7+1
      • 8+1
      • 9+1
      • 10+1
      • 11+1
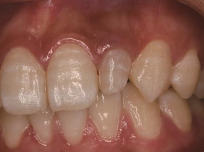
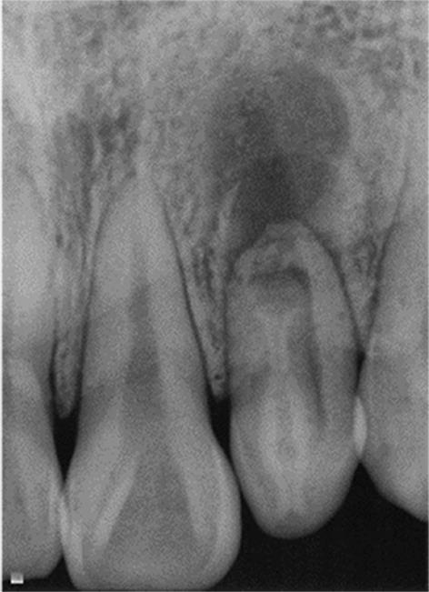
    • 显微根尖手术治疗上颌侧切牙Oehlers Ⅲ型牙内陷1例

      2024, 49(1):101-104. DOI: 10.13406/j.cnki.cyxb.003375

      摘要 (34) HTML (13) PDF 9.96 M (122) 评论 (0) 收藏

      摘要:

      • 0+1
      • 1+1
      • 2+1
      • 3+1
      • 4+1
      • 5+1
      • 6+1

主管单位 :重庆市教育委员会

主办单位 :重庆医科大学

编辑部 :《重庆医科大学学报》编辑部

主编:黄爱龙

编辑部主任 :唐秋姗

国际标准刊号:ISSN 0253-3626

国内统一刊号:CN 50-1046/R

  • 浏览排行
  • 引用排行
  • 下载排行
按检索
检索词