• 2024年第49卷第2期文章目次
    全 选
    显示方式: |
    • >综述
    • 卵巢储备功能减退与肠道及生殖道微生物相关性研究进展

      2024, 49(2):105-108. DOI: 10.13406/j.cnki.cyxb.003434

      摘要 (558) HTML (111) PDF 617.15 K (214) 评论 (0) 收藏

      摘要:卵巢储备功能减退是女性生育力降低的重要原因之一,病因复杂、具体机制尚不明确,是生殖领域的难题之一。近年研究发现肠道和生殖道微生物对卵巢储备功能减退的发病机制起到关键性作用。因此本文将聚焦于卵巢储备功能减退与肠道、生殖道微生物相关研究的新进展,为卵巢储备功能减退的机制研究提供新思路。

      • 0+1
    • 机械应力影响细胞焦亡的机制研究进展

      2024, 49(2):109-113. DOI: 10.13406/j.cnki.cyxb.003428

      摘要 (469) HTML (95) PDF 995.02 K (173) 评论 (0) 收藏

      摘要:细胞焦亡是一种由炎性小体传感器激活引起的细胞死亡,最终导致细胞膜的完整性丧失。细胞焦亡导致其胞内容物泄漏至胞外空间诱导趋化和炎症,因此在炎症和疾病的发生发展中具有重要作用。细胞长期处在复杂的机械环境中,机械刺激可来源于微环境,也可来自外力。适宜的机械应力有助于细胞正常生理活动的进行,但过度的机械应力会激活应激信号通路,如死亡通路,从而引起细胞组织损伤和炎症反应,因此本文就细胞焦亡的分子机制及机械应力影响细胞焦亡的具体机制进行文献回顾及综述,旨在为研究焦亡相关疾病提供依据。

      • 0+1
    • 活体共聚焦显微镜在不同类型干眼检查中的应用进展

      2024, 49(2):114-117. DOI: 10.13406/j.cnki.cyxb.003430

      摘要 (508) HTML (70) PDF 483.06 K (149) 评论 (0) 收藏

      摘要:干眼发病机制复杂,各种病因最终都会导致角结膜损伤而引起一系列眼部不适症状,了解干眼患者眼表病理改变对疾病诊治有重要意义。近年来,活体共聚焦显微镜(in vivo confocal microscopy,IVCM)越来越多地用于研究干眼的微观世界。IVCM是一种非侵入性成像工具,可无创实时检查角膜细胞及神经纤维的变化、评估睑板腺等各种结构,为了解干眼的发病机制和细胞组织层面变化提供更好的帮助。本文总结了不同类型干眼在IVCM下的眼表改变,以期进一步了解各类型干眼的病理改变,辅助临床诊疗。

    • >基础研究
    • 乙酰辅酶A羧化酶2通过调控细胞周期促进肝癌细胞增殖

      2024, 49(2):118-124. DOI: 10.13406/j.cnki.cyxb.003438

      摘要 (132) HTML (88) PDF 3.58 M (176) 评论 (0) 收藏

      摘要:目的 研究乙酰辅酶A羧化酶2(acetyl-co carboxylase 2,ACC2)对肝癌细胞增殖、迁移能力的影响以及其潜在的作用机制。方法 通过TCGA、GEO、CPTAC数据库对ACC2在肝癌(hepatocellular carcinoma,HCC)患者肝脏组织中的表达和预后价值进行分析。采用CRISPR-Cas9系统构建了ACC2敲低肝癌细胞系,观察肝癌细胞增殖、迁移能力以及细胞周期的变化,Western blot实验检测细胞周期相关蛋白的表达。结果 ACC2在肝癌组织中低表达(P<0.05)且与预后不良相关(P<0.05)。体外细胞功能学实验表明降低ACC2表达显著促进肝癌细胞增殖、迁移能力(P<0.05)。细胞周期流式分析显示敲低ACC2促进肝癌细胞周期G1/S期的转变(P<0.05),细胞周期相关蛋白中CyclinE2和p21的表达降低,而CyclinA2和p-RB的表达升高。结论 ACC2可以促进肝癌细胞增殖和迁移的能力,对细胞增殖的促进作用是通过加速肝癌细胞周期G1向S期的转化实现的。

      • 0+1
      • 1+1
      • 2+1
      • 3+1
      • 4+1
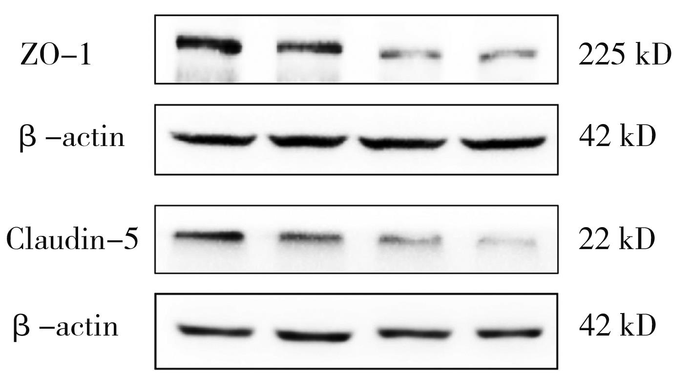
    • TNF-α下调大鼠肺微血管内皮细胞紧密连接蛋白ZO-1、Claudin-5的表达

      2024, 49(2):125-131. DOI: 10.13406/j.cnki.cyxb.003423

      摘要 (184) HTML (44) PDF 1.54 M (122) 评论 (0) 收藏

      摘要:目的 研究肿瘤坏死因子-α(tumor necrosis factor-α,TNF-α)对大鼠肺微血管内皮细胞紧密连接蛋白1(zonula occludens-1,ZO-1)、Claudin-5表达的影响,探讨TNF-α对大鼠肺血管屏障的损伤机制。方法 将体外培养的大鼠肺微血管内皮细胞分为对照组、TNF-α 24 h、48 h和72 h组(TNF-α 10 mg/L)。透射电镜观察大鼠肺微血管内皮细胞超微结构。MTT法及流式细胞仪分别测定各组细胞的增殖抑制率及凋亡率。免疫荧光法测定ZO-1及Claudin-5的分布。RT-qPCR及Western blot测定各组细胞ZO-1及Claudin-5的mRNA及蛋白表达。结果 对照组内皮细胞含有大量的线粒体及内质网等结构,结构正常。TNF-α各组细胞线粒体数量减少,线粒体肿胀,嵴溶解,核固缩,凋亡细胞增多,细胞增殖抑制率及凋亡率较对照组增加(均P<0.05),呈时间依赖性。ZO-1及Claudin-5呈线状荧光分布于内皮细胞间连接部位。与对照组比较,TNF-α各组细胞ZO-1的转录及表达水平均降低(均P<0.05)。TNF-α各组Claudin-5的转录水平较对照组明显降低(均P<0.05),TNF-α 48 h、72 h组Claudin-5的蛋白表达水平较对照组降低(均P<0.05),TNF-α 24 h组与对照组比较差异无统计学意义(P>0.05)。结论 TNF-α下调大鼠微血管内皮细胞ZO-1及Claudin-5的表达,诱导细胞损伤及凋亡,破坏肺屏障,导致肺损伤。

      • 0+1
      • 1+1
      • 2+1
      • 3+1
      • 4+1
      • 5+1
      • 6+1
      • 7+1
      • 8+1
      • 9+1
      • 10+1
      • 11+1
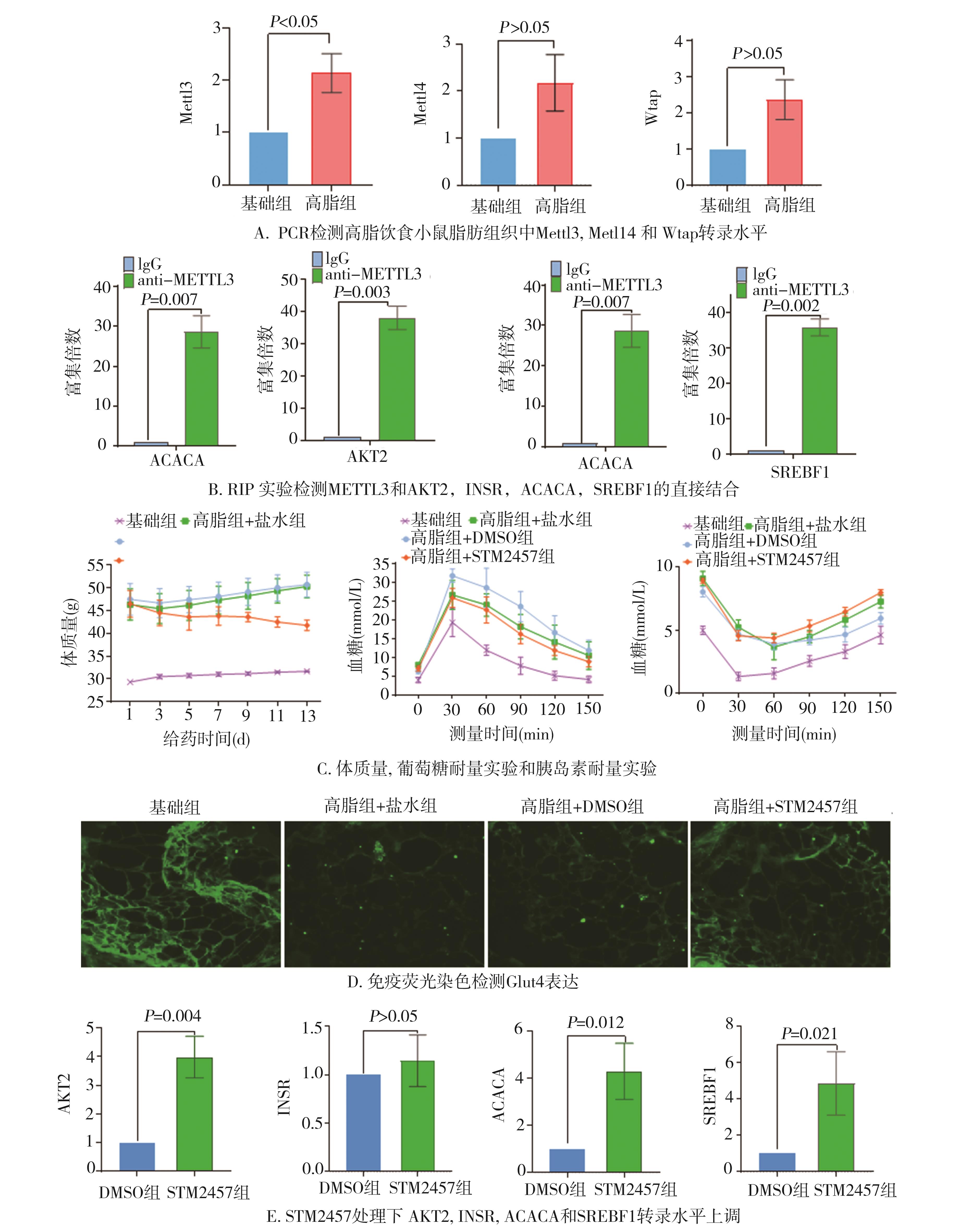
    • RNA m6A甲基化修饰在脂肪细胞胰岛素抵抗中的作用机制

      2024, 49(2):132-140. DOI: 10.13406/j.cnki.cyxb.003432

      摘要 (93) HTML (66) PDF 4.53 M (106) 评论 (0) 收藏

      摘要:目的 探讨RNA m6A甲基化修饰在脂肪细胞胰岛素抵抗中的作用及机制。方法 收集2型糖尿病患者术中赘余皮下脂肪组织,以非2型糖尿病患者同样组织为对照,检测组间RNA m6A水平。高脂饮食诱导C57BL/6J小鼠构建胰岛素抵抗(insulin resistance,IR)模型(HFD组,n=5,60%高脂饲料喂养16周),对照组10%低脂饲料喂养16周(CD组,n=5)。模型构建成功后,取附睾周围脂肪组织行表观转录组学m6A甲基化修饰芯片检测,并借助MeRIP-qPCR实验、RT-qPCR以及RNA结合蛋白免疫沉淀测定(RNA Binding Protein Immunoprecipitation Assay,RIP)实验验证胰岛素信号转导相关基因变化;进一步观察METTL3小分子抑制剂STM2457对高脂饮食诱导下小鼠胰岛素信号转导基因的影响。结果 2型糖尿病患者和小鼠IR模型脂肪组织中总体m6A修饰水平均升高(患者200 ng RNA t=-8.375,P<0.001;患者100 ng RNA t=-3.722,P=0.006;患者50 ng RNA t=-4.937;P=0.001;小鼠100 ng RNA t=-3.590,P=0.023;小鼠50 ng RNA t=-2.760,P=0.025)。表观转录组学检测证实IR的脂肪组织中1 175个基因发生高m6A修饰,55个基因发生低m6A修饰,同时有182个基因呈现高m6A修饰且低表达,包括AKT2、INSR、PIK3R1、ACACA、SREBF1等5个胰岛素信号转导关键基因,其中AKT2、INSR、ACACA、SREBF1等4个基因被确证并证实其与METTL3存在直接结合,其m6A修饰水平受METTL3正向调控。STM2457作用下,胰岛素敏感性提高,且AKT2、INSR、ACACA、SREBF1转录水平上调,提示IR表型改善明显。结论 高脂饮食通过METTL3诱导脂肪细胞胰岛素信号转导基因AKT2、INSR、ACACA、SREBF1发生m6A高甲基化修饰,诱导其低表达,阻滞胰岛素信号转导,进而参与诱发IR。

      • 0+1
      • 1+1
      • 2+1
      • 3+1
      • 4+1
      • 5+1
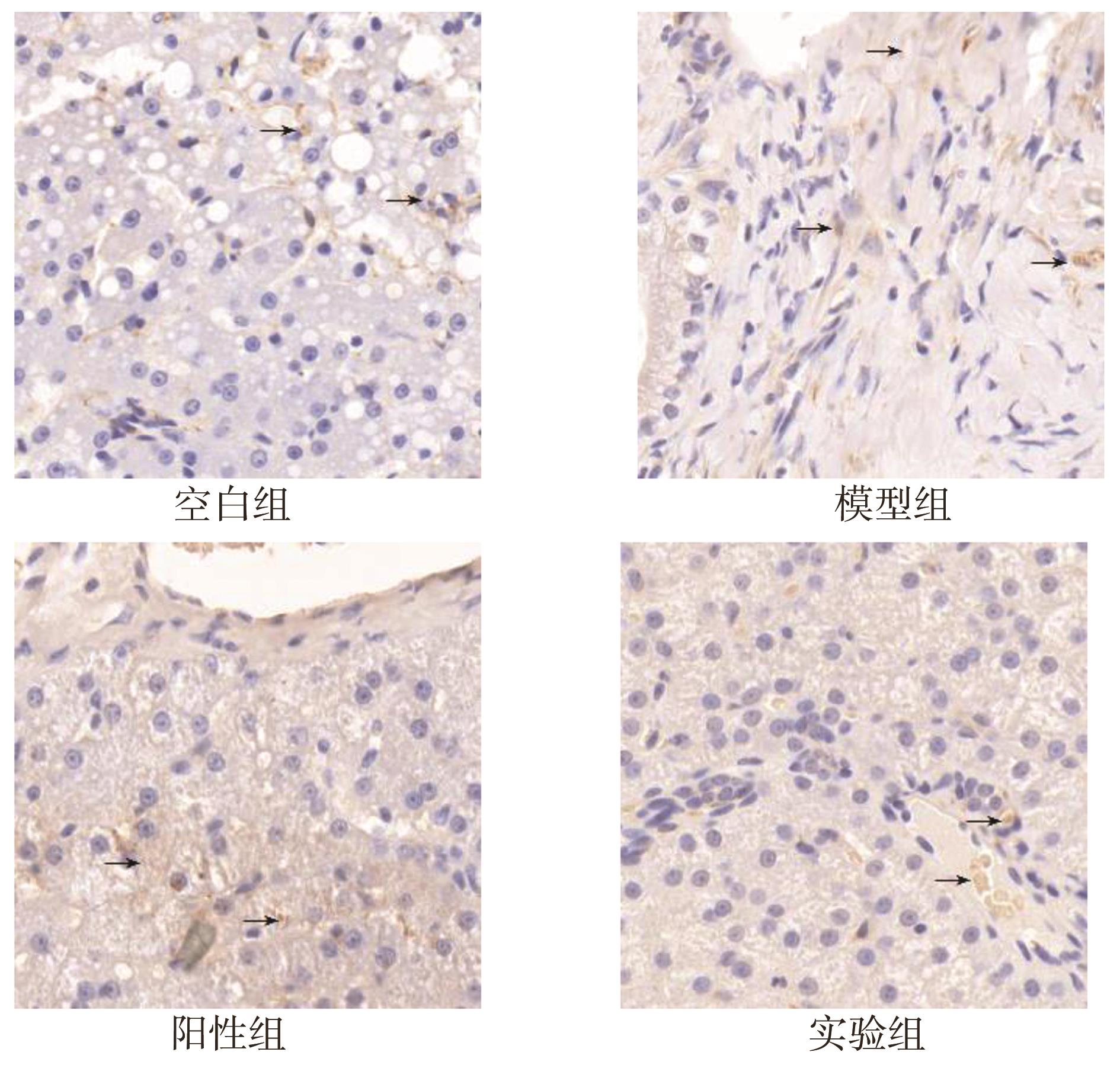
    • 人参皂苷 Rg3对骨质疏松大鼠骨代谢及肠钙吸收功能的影响

      2024, 49(2):141-146. DOI: 10.13406/j.cnki.cyxb.003425

      摘要 (70) HTML (27) PDF 2.45 M (94) 评论 (0) 收藏

      摘要:目的 探究人参皂苷Rg3对骨质疏松(osteoporosis,OP)大鼠骨代谢及肠钙吸收功能的影响。方法 60只SPF级雌性Wistar大鼠,按照随机数字法分为空白组、模型组、阳性组、实验组,每组大鼠各15只。除空白组外,其他大鼠均采用去势(OVX法)法制备OP大鼠模型。造模成功后,空白组及模型组生理盐水灌胃[10 mL/(kg·d)],阳性组给予阿仑膦酸钠维D3灌服(每周6.25 mg/kg),实验组给予人参皂苷Rg3[80 mg/(kg·d)]灌胃治疗,连续干预治疗12周。检测各组股骨、胫骨骨密度变化,酶联免疫法检测大鼠血清中骨保护素(osteoclastogenesis inhibitory factor,OPG)、Ⅰ型前胶原氨基末端肽(procollagen type Ⅰ N-terminal propeptide,PINP)、抗酒石酸酸性磷酸酶(tartrate resistant acid phosphatase,TRACP)、I型胶原交联C-末端肽(Type Ⅰcollagen carboxy-terminal peptide,CTX-I)含量变化;原位末端标记法(TdT-mediated dUTP nick end labeling,TUNEL)法分析各组肠黏膜组织细胞凋亡情况;Masson法分析各组肠黏膜组织纤维病理改变;免疫组化法检测各组肠黏膜组织中维生素D膜相关快速反应结合蛋白(membrane-associated rapid response steroid-binding,1,25-D3-MARRS)蛋白表达;蛋白免疫印迹法及RT-PCR法检测各组Jagged1、Notch1、Hes1蛋白及mRNA表达水平。结果 大鼠造模后股骨、胫骨骨密度明显下降,血清中OPG、PINP、TRACP及CTX-I含量明显变化(P<0.05);肠黏膜组织病理发生明显改变,组织纤维化增强,细胞凋亡程度增加;肠黏膜组织1,25-D3-MARRS蛋白表达降低(P<0.05)。治疗后与模型组对比,阳性组及实验组大鼠股骨、胫骨骨密度明显升高,血清中OPG、PINP、TRACP及CTX-I含量明显改善(P<0.05);肠黏膜组织病理发生明显改善,纤维化降低,细胞凋亡程度降低;肠黏膜组织中Jagged1、Notch1、Hes1蛋白及mRNA表达明显改善(P<0.05)。结论 人参皂苷 Rg3能够提高OP大鼠骨密度,减轻肠黏膜组织细胞凋亡及组织纤维化,增加肠黏膜1,25D3-MARRS蛋白表达,改善肠道钙吸收。

      • 0+1
      • 1+1
      • 2+1
      • 3+1
      • 4+1
    • 补中益气汤协同Siβ-catenin调控Wnt/β-catenin信号通路干预肺腺癌顺铂耐药性的分子机制研究

      2024, 49(2):147-152. DOI: 10.13406/j.cnki.cyxb.003420

      摘要 (90) HTML (40) PDF 1.47 M (100) 评论 (0) 收藏

      摘要:目的 探讨补中益气汤含药血清协同Siβ-catenin调控Wnt/β-catenin信号通路干预A549/DDP细胞顺铂耐药性的分子机制研究。方法 采用siRNA干扰沉默β-catenin的表达,Western blot检测正常血清组、顺铂组、siCTNNB1-235组、siCTNNB1-510组、siCTNNB1-547组A549/DDP细胞的β-catenin蛋白的相对表达量;干扰β-catenin后,Western blot检测各组A549/DDP细胞β-catenin和Survivin的蛋白表达量,MTT法检测各组A549/DDP细胞对顺铂的IC50,Annexin V/PI染色法检测各组A549/DDP细胞顺铂诱导的凋亡率。结果 相较于正常血清组(1.00),siCTNNB1-235组(0.323±0.021)对β-catenin表达抑制率达67%(P=0.000)。RNAi技术沉默β-catenin后,与正常血清组(1.00)相比,补中益气汤联合顺铂组的Survivin(0.247±0.015)和β-catenin(0.257±0.015)蛋白的表达下调更为明显(P=0.000,P=0.000)。IC50和正常血清组(28.330±1.029) μmol/L相比,单独补中益气汤含药血清(20.350±1.155) μmol/L或单独瞬时转染siCTNNB1-235组(15.577±1.535) μmol/L均可降低A549/DDP细胞顺铂的IC50P=0.000,P=0.000),2者联合(10.453±0.999) μmol/L使用可进一步降低顺铂的IC50P=0.000)。与正常血清组(9.130±0.384)%相比,瞬时转染siCTNNB1-235联合顺铂组(64.393±0.244)%和补中益气汤联合顺铂组(70.120±0.400)%的总凋亡率均升高(P=0.000,P=0.000)。结论 补中益气汤含药血清和瞬时转染siβ-catenin在抑制Wnt/β-catenin信号通路改善肺腺癌顺铂耐药性方面具有协同效应,且补中益气汤具有siβ-catenin瞬时转染样效应。

      • 0+1
      • 1+1
      • 2+1
      • 3+1
      • 4+1
      • 5+1
      • 6+1
      • 7+1
    • M1表型的小胶质细胞外泌体对血脑屏障功能的影响

      2024, 49(2):153-157. DOI: 10.13406/j.cnki.cyxb.003419

      摘要 (115) HTML (48) PDF 1.85 M (104) 评论 (0) 收藏

      摘要:目的 研究M1表型的小胶质细胞外泌体(M1 microglia-derived exosome,M1-exo)对体外血脑屏障(blood-brain barrier,BBB)功能及血管内皮细胞间紧密连接蛋白表达的影响。方法 用脂多糖(lipopolysaccharide,LPS)刺激小鼠小胶质细胞来源的细胞系BV2细胞,流式技术检测其向M1型极化情况,分离提取外泌体。用小鼠脑微血管内皮细胞系b.End3细胞与原代培养的小鼠星形胶质细胞构建体外BBB模型,随机分为3组:b.End3细胞正常培养组(b.End3组)、b.End3细胞+25 μg/mL正常BV2细胞来源外泌体(BV2-derived exosome,BV2-exo)组(b.End3+BV2-exo组)、b.End3细胞+25 μg/mL M1表型的小胶质细胞来源外泌体组(b.End3+M1-exo组)。按实验分组将不同来源外泌体与BBB模型共培养,检测各组的跨膜电阻(trans-endothelial electrical resistance,TEER)、荧光黄通过率,免疫印迹法(Western blot,WB)检测紧密连接复合物蛋白Claudin-1、Occludin、ZO-1及JAM蛋白的表达。结果 ①小胶质细胞向M1型极化成功,其细胞标志物CD16/32阳性率较对照组明显升高(P=0.023);②与M1-exo共培养后,体外BBB模型的TEER明显下降(P=0.000),对荧光黄的透过率明显增加(P=0.000);③与b.End3组和b.End3 + BV2-exo组相比,b.End3+M1-exo组的Claudin-1、Occludin及ZO-1蛋白的表达水平明显下降。结论 M1-exo可以破坏BBB的完整性,影响其功能。

      • 0+1
      • 1+1
      • 2+1
      • 3+1
      • 4+1
    • PSME1/2通过抑制CDK15的表达促进子宫内膜癌细胞的增殖和侵袭

      2024, 49(2):158-164. DOI: 10.13406/j.cnki.cyxb.003435

      摘要 (76) HTML (36) PDF 2.47 M (94) 评论 (0) 收藏

      摘要:目的 探索人类蛋白酶体激活剂(proteasome activator subunit,PSME)1/2在子宫内膜癌(endometrial carcinoma,EC)中的表达水平及其对EC细胞增殖和侵袭的影响。方法 检测子宫内膜细胞系和原代细胞中PSME1/2和细胞周期蛋白依赖性激酶15(cyclin-dependentkinase 15,CDK15)的表达,以敲低株分析PSME1/2与CDK15的表达相关性及其对肿瘤增殖和侵袭影响。比较PSME1/2和CDK15在EC组织和癌旁组织中的表达水平差异,并分析其对EC患者预后的影响。结果 与人正常子宫内膜细胞系相比,PMSE1/2在HEC1B(human endometrial adenocarcinoma cells,HEC1B)及原代细胞中mRNA(messenger RNA,mRNA)高表达和蛋白高表达,CDK15蛋白表达量下降。与对照组和双敲组比,CDK15在HEC1B系PSME1/2敲低株的蛋白表达升高,提示CDK15可能受PSME1/2抑制。在EC组织PMSE1/2高表达,CDK15低表达。PSME1/2表达与患者临床资料如年龄、术后诊断分型、分化程度、术后分期等差异无统计学意义(P>0.05)。PSME1/2、CDK15的表达与EC患者的不良预后无明显相关性(P>0.05)。结论 PSME1/2抑制CDK15的表达而促进EC细胞的增殖和侵袭,PSME1/2具有促EC作用。

      • 0+1
      • 1+1
      • 2+1
      • 3+1
      • 4+1
    • >临床研究
    • 后入路胸腰椎结核患者术后切口愈合不良的危险因素分析:1项单中心回顾性观察队列研究

      2024, 49(2):165-172. DOI: 10.13406/j.cnki.cyxb.003437

      摘要 (79) HTML (20) PDF 1.27 M (114) 评论 (0) 收藏

      摘要:目的 分析胸腰椎结核患者术后切口愈合不良(poor wound healing,PWH)的风险因素。方法 回顾性纳入重庆医科大学附属第一医院骨科2019年1月至2021年10月接受后入路胸腰椎结核病灶清除+植骨融合内固定术的124例患者,其中16例发生PWH,108例未发生PWH。根据术后是否出现PWH分为PWH组和非PWH组。对比研究2组患者术前资料,包括:性别、年龄、吸烟/饮酒史、是否合并高血压/肺结核/糖尿病、手术固定节段数、体质指数(body mass index,BMI)、平均红细胞体积(mean corpuscular volume,MCV)、平均红细胞血红蛋白含量(mean corpuscular hemoglobin,MCH)、平均红细胞血红蛋白浓度(mean corpuscular hemoglobin concentration,MCHC)、血红蛋白(hemoglobin,Hb)、血小板(platelet,PLT)、中性粒细胞计数和百分比、淋巴细胞计数和百分比、单核细胞计数和百分比、血红蛋白、前白蛋白、白蛋白、红细胞沉降率(erythrocyte sedimentation rate,ESR)和C反应蛋白(C-reactive protein,CRP)。采用单变量分析、多因素二元逻辑回归及受试者工作特征(receiver operating characteristic,ROC)曲线分析探讨影响因素。结果 单变量分析结果发现:合并肺结核(χ2=5.458,P=0.019)、手术固定节段数(Z=-3.407,P=0.001)、PLT(Z=-2.766,P=0.006)、MCV(Z=2.957,P=0.004)、MCH(Z=-3.001,P=0.003)、MCHC(Z=2.379,P=0.019)、中性粒细胞绝对值(Z=-3.723,P<0.001)、中性粒细胞百分比(Z=-3.678,P<0.001)、淋巴细胞百分比(Z=3.798,P<0.001)、Hb(Z=-3.225,P=0.001)、前白蛋白(Z=3.988,P<0.001)、白蛋白(Z=-3.562,P<0.001)、ESR(Z=-2.971,P=0.003)、CRP(Z=-4.305,P<0.001)为明显危险因素。经多因素二元logistic回归分析得出:手术固定节段数、术前中性粒细胞百分比、术前中性粒细胞绝对值、术前淋巴细胞百分比和CRP为胸腰椎结核患者术后PWH的独立危险因素。ROC曲线分析显示,手术固定节段数、术前中性粒细胞百分比、术前中性粒细胞绝对值、术前淋巴细胞百分比和 CRP最佳临界值分别为5个节段、71.5%、5.29×109/L、19.45%和40.95 mg/L。结论 缩短切口长度以减少手术创伤,术前监测中性粒细胞、淋巴细胞以及CRP水平,可减少胸腰椎结核患者术后发生PWH的风险。

      • 0+1
      • 1+1
    • 肌筋膜松解手法联合针刺对脑卒中后下肢痉挛的疗效观察

      2024, 49(2):173-178. DOI: 10.13406/j.cnki.cyxb.003379

      摘要 (153) HTML (48) PDF 589.37 K (109) 评论 (0) 收藏

      摘要:目的 观察肌筋膜松解手法联合针刺对脑卒中后下肢痉挛的疗效。方法 纳入脑卒中后下肢痉挛患者45例,随机分为对照组(22例)和试验组(23例)。2组均给予针刺治疗,试验组在此基础上增加肌筋膜松解手法治疗。为期6周的治疗后,比较2组临床康复疗效,观察相关指标变化。采用改良Ashworth量表(modified Ashworth scale,MAS)评定屈膝肌群肌张力大小,降低即为治疗有效。采用Fugl-Meyer下肢运动功能评定量表(Fugl-Meyer assessment of lower extremity,FMA-LE)评定下肢运动功能;采用临床痉挛指数(clinic spasticity index,CSI)评定痉挛程度;检测血清同型半胱氨酸(homocysteine,Hcy)水平。结果 治疗后试验组有效率明显高于对照组(P<0.05);2组屈膝肌群MAS得分、血清Hcy水平显著降低,FMA-LE评分、CSI评分显著增高(P<0.05);试验组患者MAS得分、血清Hcy水平均低于对照组,FMA-LE评分、CSI均高于对照组(P<0.05)。结论 肌筋膜松解手法联合针刺可有效降低脑卒中下肢痉挛患者肌张力,减轻痉挛程度,改善下肢运动功能,降低血清Hcy水平。

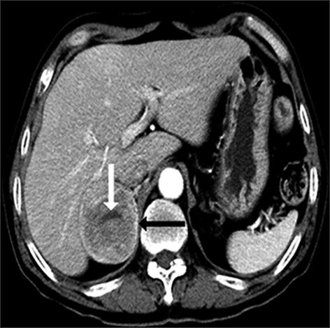
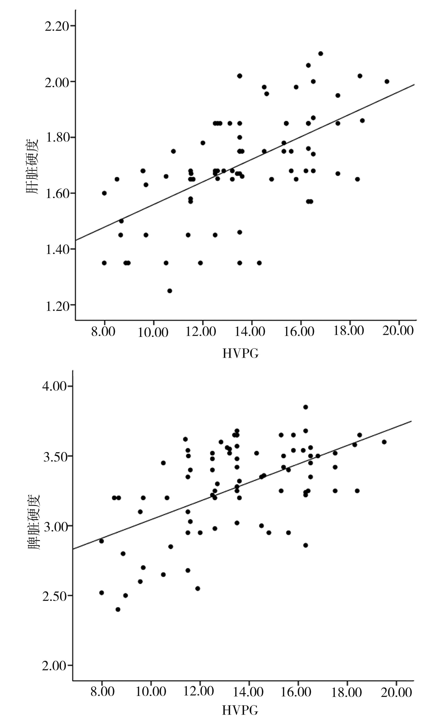
    • 病毒性肝硬化患者肝脾脏硬度变化及与肝静脉压力梯度的相关性分析

      2024, 49(2):179-182. DOI: 10.13406/j.cnki.cyxb.003422

      摘要 (99) HTML (28) PDF 683.01 K (104) 评论 (0) 收藏

      摘要:目的 探究病毒性肝硬化患者肝脾脏硬度变化及与肝静脉压力梯度的相关性。方法 将2020年9月至2021年12月在兰州市第二人民医院超声科进行病毒性肝硬化治疗的82例患者作为研究对象,检测患者肝静脉压力梯度(hepatic venous pressure gradient,HVPG)和肝脾硬度。采用Pearson相关性分析评估病毒性肝硬化患者肝脾脏硬度变化与肝静脉压力梯度的相关性;并采用受试者工作特征(receiver operating characteristic,ROC)曲线评估肝脾脏硬度对肝硬化患者HVPG≥12 mmHg的预测价值。结果 病毒性肝硬化Child-pugh B级和Child-pugh C级患者HVPG(F=16.643,P<0.001)、肝脏硬度(F=14.403,P<0.001)、脾脏硬度(F=11.775,P<0.001)明显高于Child-pugh A级患者。患者HVPG与肝脏硬度和脾脏硬度均呈正相关(r=0.591,0.502,P<0.001)。肝脏硬度、脾脏硬度及联合分析预测肝硬化患者HVPG≥12 mmHg的ROC曲线下面积(area under the curve,AUC)分别为0.866、0.821、0.914。结论 病毒性肝硬化患者肝脾脏硬度与HVPG呈正相关,且对门静脉高压的无创诊断有一定预测价值。

      • 0+1
      • 1+1
    • 胃管引导下经肛减压管置入在直肠癌肠梗阻患者中的应用

      2024, 49(2):183-187. DOI: 10.13406/j.cnki.cyxb.003421

      摘要 (58) HTML (24) PDF 3.40 M (101) 评论 (0) 收藏

      摘要:目的 探讨胃管引导下经肛减压管置入治疗直肠癌合并肠梗阻的可行性。方法 回顾分析2018年1月至2022年2月收治的55例直肠癌肠梗阻的患者资料,该55例患者采用胃管引导下经肛置入减压管,统计其成功率、肠梗阻的临床缓解率以及出血、穿孔等并发症的发生率,记录术后1年的随访情况。结果 55例患者有51例置管成功,技术成功率92.7%;临床完全缓解47例、临床部分缓解2例、临床无缓解2例,临床成功率96.1%;1例置管后3 d因不慎牵扯导致管道脱落,再重新成功置入;无出血、穿孔等并发症;1例置管失败和2例因置管后减压效果差患者行急诊开放手术;52例行择期手术,其中1例开放手术、51经腹腔镜辅助下手术;术后1年随访发现肝转移1例,其余54例无局部复发及远处转移,无死亡病例。结论 一次性胃管引导下可更加高效、安全地经肛置入减压管,有效地解除直肠癌导致的肠梗阻,适合在没有消化内镜设备的基层医疗单位推广使用。

      • 0+1
      • 1+1
      • 2+1
      • 3+1
      • 4+1
    • 腹主动脉球囊阻断与子宫动脉栓塞作为剖宫产瘢痕妊娠术前预处理的临床研究

      2024, 49(2):188-192. DOI: 10.13406/j.cnki.cyxb.003426

      摘要 (70) HTML (26) PDF 706.06 K (91) 评论 (0) 收藏

      摘要:目的 对比腹主动脉球囊阻断与子宫动脉栓塞作为剖宫产瘢痕妊娠(cesarean scar pregnancy,CSP)术前预处理的安全性和有效性。方法 回顾性分析2018年1月至2019年12月成都市妇女儿童中心医院收治的临床和影像学确诊并在治疗前行预处理的CSP患者104例,其中47例患者在手术治疗前采用腹主动脉球囊阻断,57例患者在手术治疗前采用子宫动脉栓塞(uterine artery embolization,UAE)。结果 2组患者基本情况及治疗效果差异无统计学意义(P>0.05)。2组患者在住院费用、介入术后疼痛、X线透视下介入操作辐射时间和体表辐射剂量、术后月经改变差异有统计学意义(P=0.034)。结论 腹主动脉球囊阻断和UAE作为CSP术前预处理均可有效控制CSP患者术中出血,相较于UAE使医务人员及患者接受辐射的时间和辐射剂量减少,患者无严重盆腔痛,术后出现月经量及闭经的并发症减少,未发现对子宫和卵巢功能的近期影响,但是价格相对较高。

      • 0+1
    • 原发性肺癌患者结核分枝杆菌感染调查及Notch信号通路表达分析

      2024, 49(2):193-197. DOI: 10.13406/j.cnki.cyxb.003431

      摘要 (53) HTML (32) PDF 584.72 K (94) 评论 (0) 收藏

      摘要:目的 探究原发性肺癌患者结核分枝杆菌(Mycobacterium tuberculosis,MTB)感染调查及Notch信号通路表达情况。方法 选取2022年1月至2022年6月在重庆大学附属肿瘤医院接受根治术治疗的96例原发性肺癌患者为研究对象,采用原位分子杂交技术和抗酸染色法对肺组织的MTB及其L型进行检测,药敏试验分析其耐药性,测序鉴定靶基因位点突变情况,蛋白印迹法检测肺组织Notch1、Notch2和Notch3蛋白表达。结果 96例原发性肺癌组织标本MTB-L型阳性率为38.54%(37/96),阳性患者痰标本共分离出MTB-L菌株68株;分离MTB-L型菌株对一线抗结核药物耐药率为60.29%(41/68),其中对异烟肼、链霉素、利福平及乙胺丁醇联合使用耐药率最高(22.06%);分离MTB-L型菌株对二线抗结核药物耐药率为36.76%(25/68),其中对氧氟沙星单一用药耐药率最高(14.70%);MTB-L型菌株药物靶基因突变率前3位分别为异烟肼靶基因katG S315T(45.58%)、链霉素靶基因rpsL K43R(42.65%)、利福平靶基因rpoB S450L(20.59%);MTB-L型感染阳性患者肺组织中Notch1、Notch2、Notch3蛋白相对表达量高于MTB-L型阴性者(P<0.05)。结论 原发性肺癌患者MTB感染类型主要为L型,其耐药形势严峻,合并MTB-L型感染患者存在Notch信号通路的异常激活。

    • 双能量CT非线性融合和噪声优化的虚拟单能量图像技术在喉鳞状细胞癌中的应用

      2024, 49(2):198-202. DOI: 10.13406/j.cnki.cyxb.003436

      摘要 (45) HTML (20) PDF 939.69 K (104) 评论 (0) 收藏

      摘要:目的 探讨双能量CT线性融合图像(linear blending imaging,LBI)、非线性融合图像(nonlinear blending image,NBI)和噪声优化的虚拟单能量图像(noise-optimized virtual monoenergetic image,VMI+)技术在喉鳞状细胞癌中的应用价值。方法 回顾性分析2019年6月至2022年3月61例经病理证实为喉鳞状细胞癌患者的双能量CT资料。双能量图像采用LBI[融合系数为1(80 kV)和0.6(M0.6)]、NBI和VMI+(40 keV、55 keV)技术重建。比较5组图像的客观图像质量[对比噪声比(contrast-to-noise ratio,CNR)、肿瘤CT值、噪声]和主观图像质量(肿瘤边界评分和整体图像质量评分)。结果 40 keV的CNR、肿瘤CT值和肿瘤边界评分均明显高于80 kV、M0.6、NBI和55 keV,差异均有统计学意义(均P<0.05)。NBI的整体图像质量评分明显高于80 kV、M0.6、40 keV和55 keV,差异均有统计学意义(均P<0.05)。NBI的噪声明显低于80 kV、40 keV和55 keV,差异均有统计学意义(均P<0.05)。结论 在喉鳞状细胞癌的双能量CT中,采用VMI+技术(40 keV)能提供更好的CNR、肿瘤CT值和肿瘤边界,采用NBI技术能提供更低的噪声和更好的整体图像质量。

      • 0+1
      • 1+1
      • 2+1
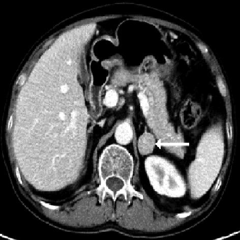
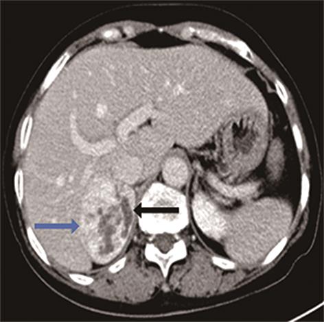
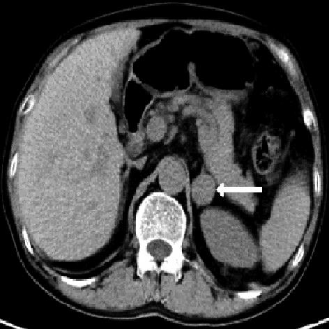
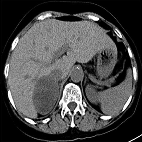
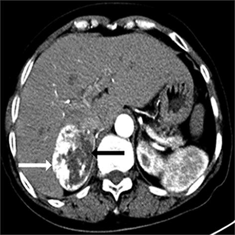
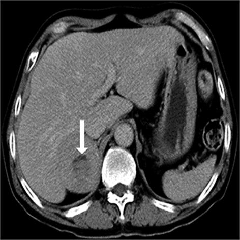
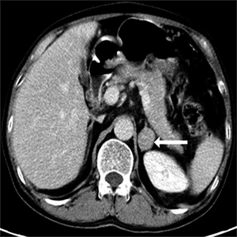
    • 嗜铬细胞瘤及副神经节瘤不同生化表型的CT征象对比研究

      2024, 49(2):203-209. DOI: 10.13406/j.cnki.cyxb.003433

      摘要 (51) HTML (33) PDF 3.10 M (96) 评论 (0) 收藏

      摘要:目的 分析生化阴性嗜铬细胞瘤及副神经节瘤(pheochromocytomas and paragangliomas,PPGLs)的电子计算机断层扫描(computed tomography,CT)征象是否有别于生化阳性PPGLs,同时了解生化阳性PPGLs不同表型的CT征象是否存在差异。方法 回顾性分析131例PPGLs患者的术前腹部增强CT图像,包括肿瘤位置、大小、形态、囊变坏死、液-液分层、钙化、向心结节状强化、肿瘤内粗大血管、强化包膜、绝对廓清率及相对廓清率。根据生化水平,将患者分为生化阳性组和阴性组,阳性组进一步分为去甲肾上腺素型、肾上腺素型及多巴胺型。比较各组及各表型间的CT征象差异。结果 相较于生化阴性组,阳性组PPGLs更大(Z=-2.064,P=0.039)、囊变坏死(χ2=6.610,P=0.010)及向心结节状强化(χ2=3.909,P=0.048)的比例更高;相较于去甲肾上腺素型,肾上腺素型PPGLs更大(Z=-2.036,P=0.042)、强化包膜比例更高(χ2=7.242,P=0.007)。结论 肿瘤大小、囊变坏死及向心结节状强化的CT征象有助于术前诊断生化阴性PPGLs,肿瘤大小及强化包膜有助于解释去甲肾上腺素型及肾上腺素型PPGLs不同临床表现产生的机制。

      • 0+1
      • 1+1
      • 2+1
      • 3+1
      • 4+1
      • 5+1
      • 6+1
      • 7+1
      • 8+1
      • 9+1
      • 10+1
      • 11+1
      • 12+1
      • 13+1
      • 14+1
      • 15+1
      • 16+1
      • 17+1
      • 18+1
      • 19+1
      • 20+1
      • 21+1
    • 基于混合研究的成骨不全症患儿生存质量分析

      2024, 49(2):210-216. DOI: 10.13406/j.cnki.cyxb.003424

      摘要 (80) HTML (27) PDF 612.32 K (85) 评论 (0) 收藏

      摘要:目的 调查西南地区成骨不全症儿童的生存质量现状,分析影响因素,为拟定家庭疾病管理方案提供参考。方法 采用混合研究调查成骨不全症患儿的生存质量。质性研究采用现象学研究,对20名来自某三甲儿童医院的成骨不全症照顾者进行半结构式访谈,运用Colaizzi 7步分析法对访谈资料进行整理分析。量性研究采用儿童生存质量普适性量表评估西南地区34名成骨不全症患儿的生存质量,并将同龄健康儿童作为对照组;采用单因素及多元线性回归分析确定影响因素。结果 ①生存质量主题,担心骨折,疼痛耐受性高,辅助行走器械缺乏,同伴交往减少,学校氛围良好。②成骨不全症患儿生存质量低于健康人群,总分(t=-6.732,P<0.001)、生理功能(P=0.000)和社交维度(P=0.000)差异有统计学意义;多元线性回归显示独立行走能力(t=3.490,P=0.001)和固定玩伴(t=3.164,P=0.003)进入回归方程(P<0.05),共解释生存质量得分变异的40.9%。结论 提升成骨不全症儿童的生存质量需建立家庭疾病管理能力。医务人员需从知识普及、就医指导、未来规划、规避潜在问题等方面建立其慢病管理能力。

    • 前后循环梗死评分系统:1种评估急性缺血性卒中患者预后的新方法

      2024, 49(2):217-221. DOI: 10.13406/j.cnki.cyxb.003427

      摘要 (46) HTML (38) PDF 1.32 M (77) 评论 (0) 收藏

      摘要:目的 开发并验证一种新型急性缺血性脑卒中(acute ischemic stroke,AIS)评分系统-前后循环梗死评分系统(anterior and posterior circulation infarction image score,APCIIS)。方法 回顾性分析2020年6月至2021年6月在重庆医科大学附属第一医院收治的163例急性缺血性卒中患者的临床资料。将患者分为前循环AIS组(n=109)及后循环AIS组(n=54)。利用单因素和多因素分析影响前循环AIS及后循环AIS患者预后情况的危险因素。以血栓负荷评分(the clot burden score,CBS)及基底动脉闭塞评分(the basilar artery on computed tomography angiography score,BATMAN)为参考,绘制受试者工作特征曲线,分析该新型评分(APCIIS)预后评估的价值。结果 在前循环AIS组,APCIIS的预后评估价值虽然未能优于CBS,但显示出相对更高的敏感度86.8%、特异度90.1%及曲线下面积0.939。在后循环AIS组,APCIIS的预后价值优于BATMAN评分。结论 APCIIS是预测急性缺血性脑卒中患者预后的1种方便可靠的办法。

      • 0+1
      • 1+1
      • 2+1
      • 3+1
    • MTAP在前列腺癌中的表达及对免疫细胞的影响初探

      2024, 49(2):222-230. DOI: 10.13406/j.cnki.cyxb.003429

      摘要 (67) HTML (47) PDF 7.36 M (96) 评论 (0) 收藏

      摘要:目的 探究甲硫腺苷磷酸化酶(methylthioadenosine phosphorylase,MTAP)在前列腺癌不同临床阶段的表达差异及其对免疫细胞的影响。方法 从TCGA和GTEx数据库中获取MTAP的表达谱数据,利用生物信息学方法进行泛癌分析。免疫组化验证上述结论并探究MTAP与临床病理指标之间的关联。RT-qPCR和Western blot检测MTAP在不同前列腺癌细胞系中的表达水平,分析MTAP与肿瘤恶性程度之间的关联。生物信息学方法分析前列腺癌中MTAP与免疫细胞的关联并进行免疫组化验证。结果 在前列腺癌中,MTAP的表达在肿瘤发生早期升高后逐渐降低,与T分期和Gleason评分呈负相关(rs=-0.576,P=0.000,rs=-0.284,P=0.020)。MTAP与多种免疫细胞存在相关关系,其中MTAP与CD4+T细胞呈正相关(r=0.643,P=0.000),与NK CD56bright细胞呈负相关(r=-0.570,P=0.000)。结论 前列腺癌中,MTAP的表达呈现早期升高后逐渐下降的趋势,与T分期和Gleason评分呈负相关。MTAP对免疫细胞的浸润和细胞功能的发挥有调节作用,是一种潜在的生物学标志物和免疫治疗靶点。

      • 0+1
      • 1+1
      • 2+1
      • 3+1

主管单位 :重庆市教育委员会

主办单位 :重庆医科大学

编辑部 :《重庆医科大学学报》编辑部

主编:黄爱龙

编辑部主任 :唐秋姗

国际标准刊号:ISSN 0253-3626

国内统一刊号:CN 50-1046/R

  • 浏览排行
  • 引用排行
  • 下载排行
按检索
检索词