• 2024年第49卷第4期文章目次
    全 选
    显示方式: |
    • >综述
    • 维利西呱在心力衰竭中应用进展

      2024, 49(4):357-361. DOI: 10.13406/j.cnki.cyxb.003463

      摘要 (542) HTML (163) PDF 491.83 K (6782) 评论 (0) 收藏

      摘要:心力衰竭的发生、发展涉及血管内皮功能障碍、炎症和氧化应激,这一病理生理过程会影响一氧化氮(nitric oxide,NO)-可溶性鸟苷酸环化酶(soluble guanylate cyclase,sGC)-环磷酸鸟苷-(cyclic guanosine monophosphate,cGMP)信号通路活性。维利西呱可通过刺激sGC提高cGMP水平,cGMP作为第二信使激活蛋白激酶、磷酸二酯酶和下游的信号通路,不仅舒张血管,改善冠状动脉血流量,而且可抑制炎症、心肌纤维化的进展,从而改善心衰患者的预后。目前维利西呱在射血分数降低的心力衰竭(heart failure with reduced ejection fraction,HFrEF)和射血分数保留的心力衰竭(heart failure with preserved ejection fraction,HFpEF)中均进行数个临床研究,其治疗心衰患者的安全性已被广泛证实,但有效性在不同类型的心衰患者有所差别。本文对心衰发生中的NO-sGC-cGMP通路的改变、维利西呱的作用机制及在心衰中的治疗进展进行综述。

    • 针刺调节神经元程序性细胞死亡的机制研究进展

      2024, 49(4):362-369. DOI: 10.13406/j.cnki.cyxb.003461

      摘要 (346) HTML (232) PDF 621.56 K (6503) 评论 (0) 收藏

      摘要:神经系统疾病的发生和发展过程中常伴随着异常的神经元程序性细胞死亡。针刺作为神经系统疾病的常用防治手段,其调控失衡的神经元程序性细胞死亡的作用值得深入探讨。针刺主要可通过调控神经元凋亡、焦亡、自噬、铁死亡来治疗脑缺血、脑出血、颅脑外伤、脊髓损伤、阿尔茨海默病等疾病。故本文就针刺之于神经元程序性细胞死亡的作用机制进行综述,以期挖掘针刺在多种神经系统疾病治疗过程中的共同生物学机制,为深入开展相关研究提供新思路。

    • 血浆炎性因子吸附在脓毒症治疗中的应用研究进展

      2024, 49(4):370-375. DOI: 10.13406/j.cnki.cyxb.003479

      摘要 (289) HTML (110) PDF 529.59 K (6416) 评论 (0) 收藏

      摘要:脓毒症和脓毒性休克是重症监护室常见病种,全球每年有超过1 800万严重脓毒症病例。国外流行病学调查显示,脓毒症的病死率已经超过心肌梗死,成为重症监护室非心脏病人的死亡主要原因。医学的进步带来越来越多治疗脓毒症的创新治疗方式,连续血液净化逐渐成为脓毒症患者早期治疗的重要手段,同时体外血液吸附在脓毒症患者中的治疗价值也逐渐受到重视。本文旨在总结近些年血浆炎性因子吸附在脓毒症治疗中应用的研究进展,对现有研究报道或已在临床应用的常见的几种体外血液吸附技术及其相关研究进展进行总结,以期为更好认识其在临床治疗中的运用价值及对预后的改善提供参考,从而为脓毒症及脓毒症休克患者治疗提供帮助。

    • >基础研究
    • 建立腰椎动静力不稳山羊模型用于椎间盘退变研究

      2024, 49(4):376-383. DOI: 10.13406/j.cnki.cyxb.003468

      摘要 (215) HTML (123) PDF 5.45 M (6386) 评论 (0) 收藏

      摘要:目的 建立有应用价值的腰椎动静力不稳的山羊模型,模拟人体局部因素的影响和病理生理的应力负荷对椎间盘退变(intervertebral disc degeneration,IVDD)的作用。方法 通过腰椎动静力不稳手术(lumbar dynamic and static instability,LDSI)破坏山羊脊柱的后柱结构,包括离断竖脊肌、背阔肌、腰最长肌、棘肌等破坏腰椎动态力学稳定,离断腰椎棘突、棘上韧带、棘间韧带等破坏腰椎静态力学稳定,使腰椎产生动态力和静态力的失衡,造成脊柱后柱稳定性的丧失。以生物力学稳定性为突破点,而不破坏椎间盘结构的完整性,建立腰椎动静力不稳的山羊模型,并通过52周的术后随访,利用腰椎X线片、磁共振以及组织病理学变化等技术手术评估山羊的椎间盘高度指数 (disc height index,DHI),Pfirrmann MRI分级和Masuda组织学评分等。结果 LDSI组山羊腰椎的DHI在术前0周(0.184±0.015),术后26周(0.105±0.006)和术后52周(0.075±0.007)存在差异(0周 vs. 26周,P<0.05;26周 vs. 52周,P<0.05)。LDSI组山羊腰椎的Pfirrmann分级在术前0周(1.167±0.408),术后26周(2.333±0.516)和术后52周(3.667±0.817)存在差异(0周 vs. 26周,P<0.05;26周 vs. 52周,P<0.05)。LDSI组山羊腰椎的Masuda组织学评分在术前0周(3.500±0.577),术后26周(6.250±0.957)和术后52周(8.000±0.816)存在差异(0周 vs. 26周,P<0.05;26周 vs. 52周,P<0.05)。结论 LDSI能够造成山羊椎间盘高度降低、终板边界模糊和含水量降低,在不破坏椎间盘结构完整的基础上模拟了人体长期反复劳损而导致的IVDD,更符合人体实际,有助于其发病机制的研究。

      • 0+1
      • 1+1
      • 2+1
      • 3+1
    • NLRP6基因敲除对小鼠生长繁育和实质器官的影响

      2024, 49(4):384-394. DOI: 10.13406/j.cnki.cyxb.003471

      摘要 (225) HTML (78) PDF 8.77 M (6419) 评论 (0) 收藏

      摘要:目的 NOD样受体热蛋白结构域相关蛋白6(NOD-like receptor thermal protein domain associated protein 6,NLRP6)是新发现的寡聚化核苷酸结合结构域样受体家族成员,广泛表达于肠道、肝脏、肾脏、脾脏和肌肉等组织器官,在炎症、焦亡和自噬等多种生物过程发挥广泛的调节作用。近期研究表明,NLRP6在应激条件下对多种组织器官的疾病表型具有重要影响。然而,NLRP6对组织器官生长发育的影响尚未可知。方法 采用CRISPR/Cas9基因编辑技术构建NLRP6基因敲除小鼠,饲养并记录小鼠的生长和繁殖情况。将小鼠的脾、肝、心、肾、脑、四肢和后背皮肤等组织器官进行解剖和切片染色,以评估NLRP6基因敲除对实质器官的宏观发育影响和对组织结构的微观影响。结果 在自然状态下,NLRP6基因敲除缩短了雄鼠的性成熟期并使成年雄鼠的睾丸发生不可逆的破溃与萎缩。在四肢发育上,NLRP6基因敲除诱导成年雄鼠后肢横纹肌断裂,导致后肢明显萎缩。在脾脏发育上,NLRP6基因敲除不仅显著增加了雄鼠的脾脏体积(P<0.01)还诱导雄鼠脾脏出现炎性细胞浸润。在后背皮肤上,NLRP6基因敲除引发雄鼠后背皮肤出现明显的溃疡损伤、胶原纤维增生和炎性细胞浸润。结论 在自然生长发育条件下,NLRP6基因敲除选择性影响小鼠的生殖器发育与性成熟期、后肢肌肉发育、脾脏大小及其炎症免疫状态以及后背皮肤的结构完整性,而且这一作用具有明显的雄激素依赖性。

      • 0+1
      • 1+1
      • 2+1
      • 3+1
      • 4+1
      • 5+1
    • 颗粒蛋白前体对脓毒症急性肺损伤小鼠肺组织核转录因子-κB的表达的影响

      2024, 49(4):395-400. DOI: 10.13406/j.cnki.cyxb.003481

      摘要 (201) HTML (60) PDF 2.30 M (6413) 评论 (0) 收藏

      摘要:目的 探讨颗粒蛋白前体(progranulin,PGRN)对脓毒症急性肺损伤(acute lung injury,ALI)的影响及可能机制。方法 将C57BL/6小鼠随机分为对照组(Control组)、急性肺损伤组(CLP组)、颗粒蛋白前体治疗组(CLP+PGRN组)。采用盲肠结扎穿刺术(cecal ligation and puncture,CLP)构建小鼠脓毒症ALI模型,CLP+PGRN组在CLP处理半小时后使用PGRN腹腔注射。24 h后麻醉并处死小鼠,取小鼠肺HE染色观察肺组织病理损伤;TUNEL法检测肺部细胞凋亡情况;免疫荧光染色检测肺组织中核转录因子-κB(nuclear factor kappa B,NF-κB)水平;Western blot法检测NF-κB、总p65和磷酸化p65表达水平;RT-qPCR检测NF-κB和炎症细胞因子水平。结果 和Control组相比,CLP组和CLP+PGRN组肺损伤加重,促炎细胞因子升高,肺组织中细胞凋亡增加,NF-κB、p65和p-p65的表达水平明显增加;与CLP组相比,CLP+PGRN组肺组织损伤和凋亡减轻,促炎细胞因子降低,抑炎细胞因子升高,NF-κB、p65和p-p65的表达明显减少。结论 PGRN可以减轻脓毒症小鼠急性肺损伤,其机制可能与抑制NF-κB、p65表达和p65磷酸化有关。

      • 0+1
      • 1+1
      • 2+1
      • 3+1
      • 4+1
      • 5+1
      • 6+1
    • 基于双硫死亡的心肌缺血再灌注损伤相关风险基因筛选及分析

      2024, 49(4):401-408. DOI: 10.13406/j.cnki.cyxb.003478

      摘要 (335) HTML (102) PDF 8.26 M (6379) 评论 (0) 收藏

      摘要:目的 筛选基于双硫死亡的心肌缺血再灌注损伤(myocardial ischemia reperfusion injury,MIRI)相关风险基因及探索其可能的作用途径。方法 用R语言limma分析并筛选MIRI相关风险基因24 h组与Control组之间的差异表达基因。基于GO和KEGG数据库利用 R语言cluterProfiler包对其进行功能富集分析。根据双硫死亡基因集以及GSE160516的表达数据,利用R语言GSVA包中的ssgsea法对其进行富集分析,并利用Venn图获得心肌缺血再灌注中双硫死亡相关基因的表达。用R语言psych包中的corr.test计算双硫死亡相关基因与凋亡因子、线粒体、铁死亡及炎症等相关基因的相关性,并绘制热图。利用R语言Mfuzz包来进行不同时间点心肌缺血再灌注转录组数据的表达模式聚类分析并利用Venn图获取时序性差异表达的双硫死亡基因。结果 本研究共筛选出17个差异表达双硫死亡相关基因,经过双硫死亡相关基因与炎症、凋亡、铁死亡、线粒体基因相关性分析,以及双硫死亡相关基因与心肌缺血再灌注时序性分析的差异表达基因筛选,最终得到双硫死亡相关基因Flna、Myl6、Tln1在MIRI不同时间的特异性表达。结论 Flna、Myl6、Tln1在MIRI中可能起着关键作用,其基于双硫死亡同时与线粒体相关基因密切相关,可作为MIRI患者风险因素的筛选指标。

      • 0+1
      • 1+1
      • 2+1
      • 3+1
      • 4+1
      • 5+1
    • Homer1b/c“支架”在CTNND2-/-自闭症模型鼠中的作用研究

      2024, 49(4):409-414. DOI: 10.13406/j.cnki.cyxb.003472

      摘要 (122) HTML (43) PDF 3.57 M (6324) 评论 (0) 收藏

      摘要:目的 观察CTNND2-/-自闭症模型鼠前额叶皮层中支架蛋白荷马1b/c(homer protein homolog 1b and 1c,Homer1b/c)与三磷酸肌醇受体(inositol 1,4,5-trisphosphate receptor,IP3R)、代谢型谷氨酸受体5(metabotropic glutamate receptor 5,mGluR5)和香克3蛋白(sh3 and multiple ankyrin repeat domains 3,Shank3)蛋白相关复合体的变化;前额叶皮层中常见氨基酸的变化,发现自闭症模型鼠中可能参与疾病发生的关键靶点。方法 蛋白免疫印迹法(Western blot,WB)法检测CTNND2-/-自闭症模型鼠前额叶皮层中支架蛋白Homer1b/c、突触后密度蛋白-95(postsynaptic density protein 95,PSD-95)、突触素蛋白(synaptophysin,SYP)、囊泡谷氨酸转运体1(vesicular glutamate transporter 1,vGluT1)的表达的变化;通过免疫荧光(immunofluorescence,IF)观察Homer1b/c与IP3R、mGluR5和Shank3蛋白的表达与共定位;免疫共沉淀(co-immunoprecipitation,CO-IP)技术分别观察Homer1b/c与IP3R、mGluR5或Shank3结合的变化;使用液相色谱(liquid chromatography,LC)观察前额叶皮层中常见氨基酸的变化。结果 与对照组相比,CTNND2-/-模型鼠前额叶皮层中Homer1b/c(P=0.003)、PSD-95(P=0.003)以及SYP蛋白(P=0.046)的表达均明显降低;同时,Homer1b/c与IP3R、mGluR5、Shank3蛋白相互之间结合减少;前额叶皮层中常见的兴奋性神经递质谷氨酸(glutamate,Glu)和抑制性神经递质γ-氨基丁酸(γ-aminobutyric acid,GABA)的表达无明显变化(P=0.366,P=0.355),组氨酸(histidine,His)(P=0.036),酪氨酸(tyrosine,Tyr)(P=0.030)表达则明显增高。结论 CTNND2-/-自闭症模型鼠中Homer1b/c蛋白低表达,同时Homer1b/c与IP3R、Shank3、mGluR5蛋白复合物的形成减少,并推测低表达的Homer1b/c可能是导致自闭症神经元突触异常发育的关键靶点。

      • 0+1
      • 1+1
      • 2+1
      • 3+1
    • 基于DNA提取方法优化转基因小鼠基因分型研究

      2024, 49(4):415-420. DOI: 10.13406/j.cnki.cyxb.003462

      摘要 (99) HTML (52) PDF 1.31 M (6306) 评论 (0) 收藏

      摘要:目的 探讨DNA提取方法优化后对转基因小鼠基因分型结果的影响,并比较分析与业内常用试剂盒基因型鉴定结果的差异。方法 在团队前期专利基础上,改进了DNA裂解液的配方和实验流程,并以新型转录因子Musculin和增强型绿色荧光蛋白(enhanced green fluorescent protein,EGFP)转基因小鼠为例,对基因分型结果进行了比较研究和验证。结果 DNA提取时现配裂解液配方为100 μL 0.025 N NaOH工作液、160 μL 0.5 M EDTA工作液和40 mL超纯水;每个样本加入180 μL裂解液,100 ℃ 30 min。与相关领域常用的基因分型试剂盒相比,该DNA提取优化方案能够在确保鉴定准确的前提下有效缩短基因分型时间,而且裂解液配置方法简单,反应次数多,步骤更简便,可大幅降低试剂成本和工作量。结论 本研究提供1种适用于转基因小鼠基因分型的经济、简单、可靠的DNA提取技术,具有较好的应用和推广价值。

      • 0+1
      • 1+1
      • 2+1
      • 3+1
    • Maresin1通过Sirt1抑制Caspase11/GSDMD通路减轻小肠缺血再灌注损伤的研究

      2024, 49(4):421-427. DOI: 10.13406/j.cnki.cyxb.003470

      摘要 (190) HTML (56) PDF 2.21 M (6359) 评论 (0) 收藏

      摘要:目的 探讨巨噬素1(Maresin1,Mar1)在小鼠肠缺血再灌注(ischemia-reperfution,IR)中的作用及其可能机制。方法 通过夹闭肠系膜上动脉(superior mesenteric artery,SMA)建立小肠IR模型。第一部分①组12只小鼠随机分为Control组、IR组和IR+Mar1组。第二部分②组20只小鼠随机分为Control组、IR组、IR+Mar1组、IR+EX527组、IR+Mar1+EX527组。Mar1于术前30 min采用5 μg/kg腹腔注射。EX527于术前1 d 10 mg/kg经腹腔注射。Control组仅分离SMA而不夹闭。其余模型组均用无损伤血管夹夹闭SMA根部,45 min后松开血管夹形成小肠IR模型。各组小鼠均于再灌注后4 h采集静脉血和回肠标本。检测①组小鼠肠组织超氧化物歧化酶(superoxide dismutase,SOD)、丙二醛(malondialdehyde,MDA)、谷胱甘肽(glutathione,GSH)含量;检测血清4 kd荧光素异硫氰酸酯-葡聚糖(FITC-Dextran 4000,FD-4)含量;免疫荧光染色检测肠Occludin蛋白表达,HE染色观察肠组织病理形态。Western blot检测①、②组肠组织Sirt1、P-NF-κB p65(P-p65)、Caspase11、GSDMD-N蛋白表达。结果 ①组中与Control组相比,IR组肠组织MDA水平,血清FD-4含量,病理学损伤程度均升高(P<0.01);SOD、GSH水平,Sirt1蛋白表达下降;P-p65、Caspase11、GSDMD-N蛋白表达增加。与IR组比较,IR+Mar1组肠组织MDA水平及血清FD-4含量,病理组织学损伤程度均下降(P<0.05);SOD、GSH水平,Sirt1蛋白表达增加;P-p65、Caspase-11、GSDMD-N蛋白表达减少。②组中与IR+Mar1组比较,IR+Mar1+EX527组Sirt1蛋白表达下降;P-p65、Caspase11、GSDMD-N蛋白表达增加。而IR+EX527组与IR+Mar1+EX527组蛋白表达差异无统计学意义。结论 Mar1预处理通过Sirt1抑制Caspase11/GSDMD通路减少肠组织缺血再灌注损伤。

      • 0+1
      • 1+1
      • 2+1
      • 3+1
      • 4+1
      • 5+1
    • 线粒体靶向抗氧化剂Mito-Tempo对脓毒症小鼠急性肝损伤的保护作用

      2024, 49(4):428-435. DOI: 10.13406/j.cnki.cyxb.003475

      摘要 (167) HTML (56) PDF 3.95 M (6336) 评论 (0) 收藏

      摘要:目的 探讨线粒体靶向抗氧化剂Mito-Tempo对脓毒症小鼠急性肝损伤的影响及可能机制。方法 将C57BL/6小鼠随机分为对照组(Control组)、盲肠结扎穿刺组(CLP组)、Mito-Tempo治疗组(CLP+Mito-Tempo组)。采用盲肠结扎穿刺术(cecal ligation and puncture,CLP)构建小鼠脓毒症急性肝损伤模型,CLP+Mito-Tempo组在CLP处理前1 h使用Mito-Tempo腹腔注射进行预处理。24 h后麻醉并处死小鼠,取小鼠肝脏组织进行HE染色观察肝组织病理损伤;ELISA法监测血清中炎症因子,免疫荧光染色检测肝组织中活性氧(reactive oxygen species,ROS)的水平;电镜观察线粒体形态,Western blot法检测细胞焦亡相关蛋白剪切型含半胱氨酸的天冬氨酸蛋白水解酶-1(cleaved cysteinyl aspartate specific proteinase 1,cleaved-Caspases-1)、剪切型焦孔素D(cleaved-gasdermin D,GSDMD)、白细胞介素-1α(interleukin 1α,IL-1α)、白细胞介素-1β(interleukin 1β,IL-1β)的表达水平。结果 与Control组相比,CLP组肝损伤加重,ROS水平增加,线粒体形态出现破坏,细胞焦亡相关蛋白cleaved-Caspase-1、cleaved-GSDMD、IL-1α、IL-1β的表达水平增加;与CLP组相比,CLP+Mito-Tempo组肝组织损伤程度减轻,ROS水平降低,线粒体形态部分恢复,细胞焦亡相关蛋白cleaved-Caspase-1、cleaved-GSDMD、IL-1α、IL-1β的表达水平降低。结论 Mito-Tempo可以减轻脓毒症小鼠急性肝损伤,其机制可能与降低氧化应激水平抑制细胞焦亡的发生有关。

      • 0+1
      • 1+1
      • 2+1
      • 3+1
      • 4+1
      • 5+1
      • 6+1
    • 基于生物信息学分析探索种植体周围炎的免疫特征基因及其对免疫细胞的调控机制

      2024, 49(4):436-443. DOI: 10.13406/j.cnki.cyxb.003480

      摘要 (193) HTML (81) PDF 4.34 M (6394) 评论 (0) 收藏

      摘要:目的 基于生物信息学分析探究种植体周围炎(peri-implantitis)疾病发展中明显浸润的免疫细胞及关键的免疫相关基因。方法 整合美国国家生物技术信息中心基因表达数据库(gene expression omnibus,GEO)中的GSE106090、GSE33774及GSE57631数据集,通过单样本基因集富集分析(single-sample gene set enrichment analysis,ssGSEA)评估种植体周围炎及健康牙龈组织中的免疫细胞浸润分数,并利用套索算法(least absolute shrinkage and selection operator,LASSO)筛选关键的免疫基因。结果 整合3个数据集并去批次效应后,使用“ClusterProfiler”包实现种植体周围炎的基因本体论(gene ontology,GO)及京都基因与基因组百科全书(kyoto encyclopedia of genes and genomes,KEGG)数据库的富集分析,以识别在种植体周围炎中主要上调和下调的信号通路及生物学过程。本研究进一步将差异基因与ImmPort数据库中获得的免疫相关基因取交集,通过LASSO回归筛选变量后,成功鉴定关键的疾病免疫特征性基因,包括趋化因子CC配体18(C-C motif chemokine ligand 18,CCL18)、白细胞介素-1β(interleukin 1 beta,IL-1β)、补体C3(complement C3,C3)、白细胞介素-6(interleukin 6,IL6)、利钠肽受体-3(natriuretic peptide receptor 3,NPR3)、肽酶抑制因子-3(peptidase inhibitor 3,PI3)、白细胞免疫球蛋白样受体-B3(leukocyte immunoglobulin like receptor B3,LILRB3)、富亮氨酸重复序列G蛋白偶联受体-4(leucine rich repeat containing G protein-coupled receptor 4,LGR4)。随后,本研究进行与ssGSEA免疫浸润分数的相关性分析,这些基因与种植体周围软组织内明显增加的23种免疫细胞呈现出不同程度的相关性。通过GO和KEGG数据库的富集分析,发现IL1B、IL6、CCL18、C3、LGR4、PI3、LILRB3等基因主要参与体液免疫、适应性免疫、白细胞迁移以及皮肤表皮发育等生物过程,而NPR3主要与白细胞增殖和体液水平调节等生物过程相关。结论 通过运用生物信息学的方法对免疫相关差异基因进行筛选,本研究成功识别出8个关键的免疫特征性基因,参与了种植体周围炎免疫应答及炎症响应的多个环节,并对种植体周围炎疾病背景具有较高敏感性。这些免疫特征性基因的识别为深入理解种植体周围炎的发病机制以及开发新的治疗策略提供重要的分子靶标。

      • 0+1
      • 1+1
      • 2+1
      • 3+1
      • 4+1
      • 5+1
      • 6+1
      • 7+1
      • 8+1
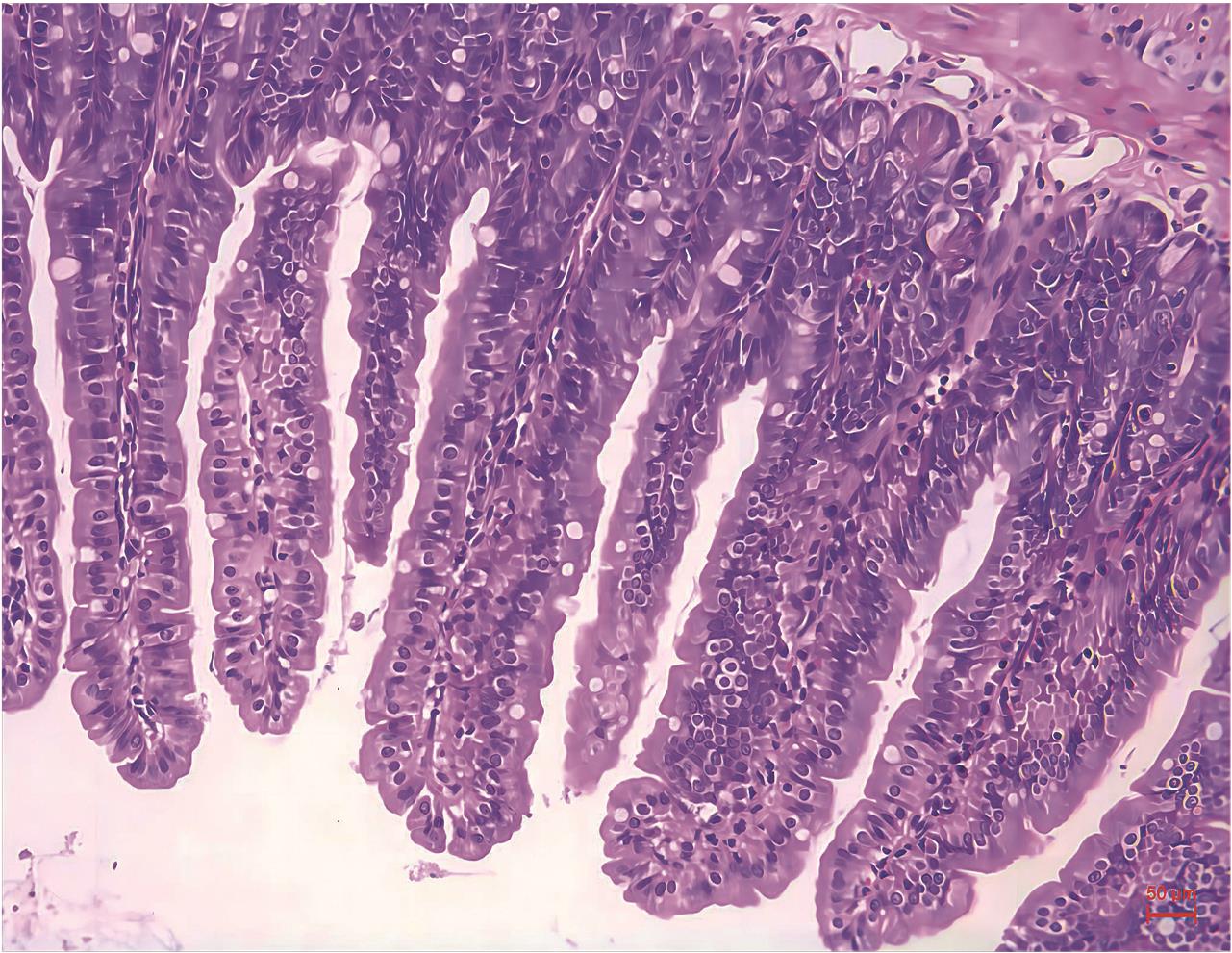
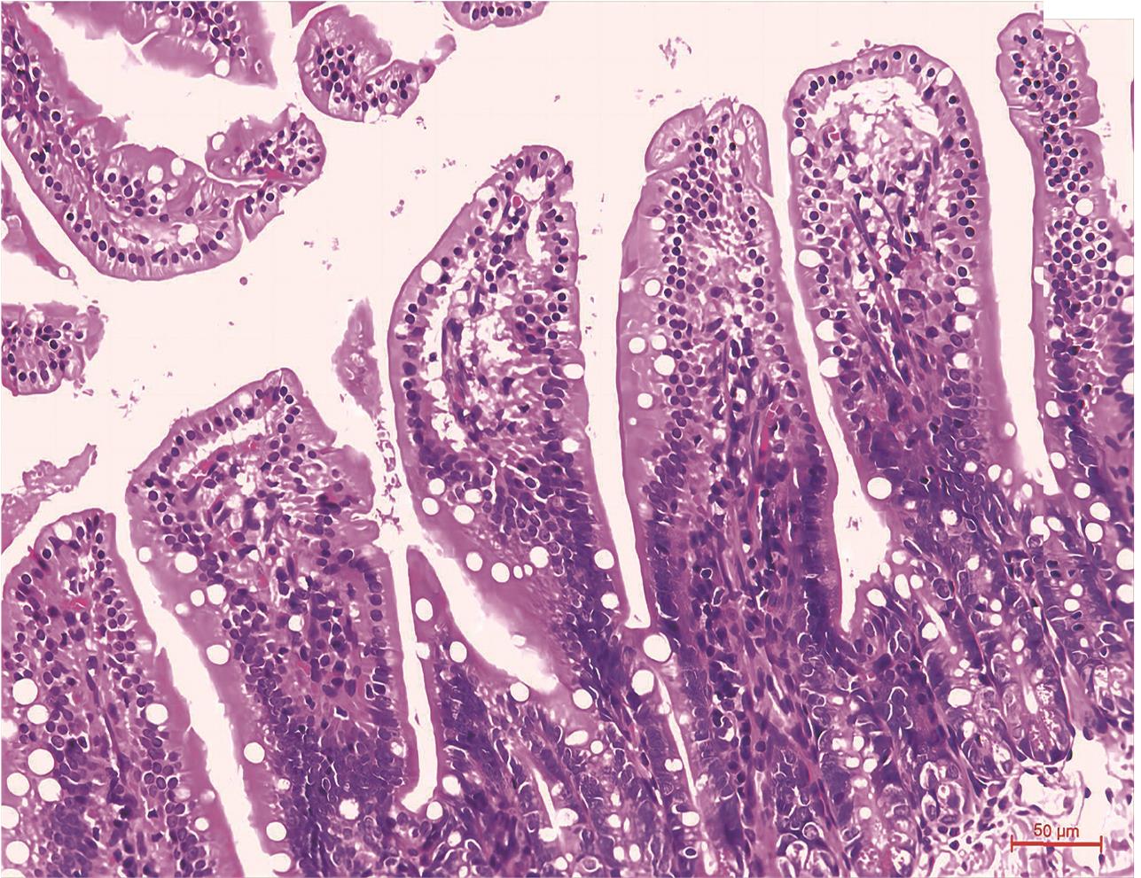
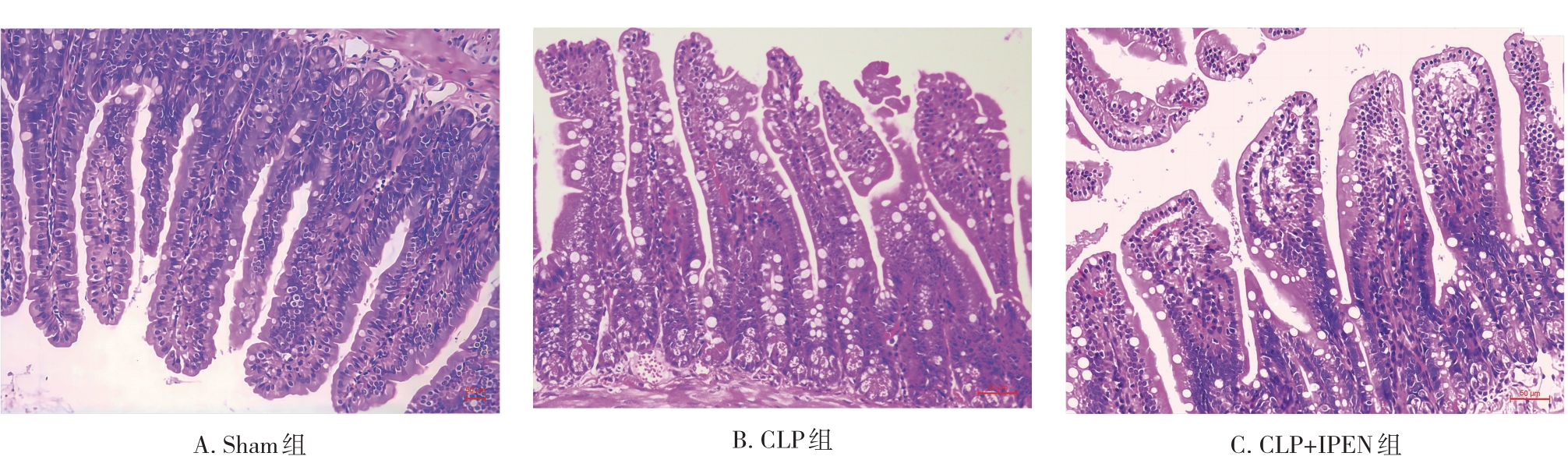
    • 整蛋白型肠内营养制剂改善脓毒症肠损伤代谢紊乱的机制研究

      2024, 49(4):444-450. DOI: 10.13406/j.cnki.cyxb.003474

      摘要 (169) HTML (62) PDF 1.92 M (6351) 评论 (0) 收藏

      摘要:目的 利用代谢组学方法研究脓毒症中整蛋白营养制剂引起的代谢紊乱,为脓毒症的临床治疗提供了新的理论和实验基础。方法 8~12周龄雄性小鼠随机分为3组:假手术组(Sham组)、脓毒症组(CLP组)和脓毒症+整蛋白组(CLP+IPEN组),每组6只小鼠。CLP组采用盲肠结扎和穿刺诱导脓毒症,而Sham组仅行剖腹手术,未行结扎穿刺。CLP+IPEN组术后接受额外的整蛋白肠内营养制剂。每天监测体质量变化7 d,并在建模和喂养3 d后采集样本。染色观察回肠组织病理学变化,实时荧光定量聚合酶链式反应(quantitative real-time PCR)检测不同目的基因mRNA的表达。根据特定的标准,筛选整蛋白营养制剂治疗脓毒症的差异代谢物。结果 CLP组与CLP+IPEN组进行比较,发现有15种差异代谢物。在CLP+IPEN组中,3-甲基-1,3,5-戊三醇(dimethyl 3-hydroxy-3-methylpentane-1,5-dioate)、丙二酸(malonic acid)、苯酰胺(l-Serine,n-methoxycarbonyl-methyl ester)等5种代谢物的含量比CLP组有所增加(P<0.05)。在整个实验过程中,3组小鼠的体质量均逐渐减轻,其中CLP组在4 d的体质量减轻最为明显(P<0.05)。这表明,整蛋白营养制剂可以减轻脓毒症小鼠的体质量减轻。CLP+IPEN组的Chiu评分明显低于CLP组(P<0.05),提示肠黏膜损伤明显减少。CLP组和Sham组中闭合蛋白(occludin)、紧密连接蛋白1(zonula occludens-1,ZO-1)和结肠黏蛋白(recombinant mucin 2,MUC2)的表达均升高,提示脓毒症导致肠道屏障功能受损。与CLP组相比,CLP+IPEN组中Occludin、ZO-1和MUC2的表达明显降低(P<0.05)。结论 本研究通过代谢组学方法深入研究整蛋白营养制剂中脓毒症引起的代谢紊乱。整蛋白肠内营养制剂可以通过调节亚油酸代谢、不饱和脂肪酸生物合成、脂肪酸生物合成和细胞色素P450物质的代谢来改善脓毒症相关肠道损伤的代谢紊乱。此外,这些制剂在增强肠道屏障功能、减轻小鼠体质量减轻和减轻肠道损伤严重程度方面具有潜力,从而为增强脓毒症治疗功效奠定了基础。

      • 0+1
      • 1+1
      • 2+1
      • 3+1
      • 4+1
      • 5+1
      • 6+1
      • 7+1
    • 逍遥散对皮质酮诱导的PC12损伤模型保护作用及神经保护成分分析验证研究

      2024, 49(4):451-458. DOI: 10.13406/j.cnki.cyxb.003473

      摘要 (163) HTML (75) PDF 3.30 M (6398) 评论 (0) 收藏

      摘要:目的 通过探究逍遥散的神经保护作用及其化学组成,发现逍遥散中可能发挥神经保护作用的有效活性成分。方法 采用水提法提取逍遥散,通过高分辨质谱-液相色谱质谱联用仪分析提取液的化学成分;制备逍遥散含药血清;构建皮质酮(Corticosterone,CORT,400 μmol/L)诱导PC12细胞损伤模型,检测含药血清对PC12细胞增殖率的影响;用SIMCA软件进行细胞增殖率-成分含量相关性分析,找到逍遥散中可能具有神经保护作用的化合物。结果 与模型组相比,逍遥散含药血清可减轻CORT诱导的细胞损伤,并促进细胞增殖(P=0.000)。液质谱图结合软件分析比对发现,主要药效化合物有:芍药苷、甘草酸、甘草苷、迷迭香酸、没食子酸、2-苯基乙醛、(15Z)-9,12,13-Trihydroxy-15-octadecenoic acid、丹酚酸B、甘草皂苷G2等,单体验证结果显示苯乙醛具有一定的神经保护作用(P=0.000)。结论 证明逍遥散具有神经保护作用,分析并鉴定出55种化合物有可能是其发挥作用的主要成分,发现逍遥散中未曾报道的7种可能具有神经保护作用的化合物,并验证出苯乙醛具有神经保护作用且此前从未报道。本研究成果将为阐明逍遥散神经保护作用的物质基础提供参考,也为拓展逍遥散的临床应用提供数据支撑。

      • 0+1
      • 1+1
      • 2+1
      • 3+1
      • 4+1
      • 5+1
    • MK8719激活STAT6并促进抗炎型小胶质细胞活化在缺血性脑损伤大鼠中发挥保护作用的研究

      2024, 49(4):459-464. DOI: 10.13406/j.cnki.cyxb.003465

      摘要 (167) HTML (61) PDF 3.21 M (6411) 评论 (0) 收藏

      摘要:目的 观察氧连接N-乙酰葡萄糖胺(O-linked N-acetylglucosamine,O-GlcNAc)水解酶抑制剂MK8719在脑缺血损伤大鼠中的作用。方法 建立大鼠大脑中动脉梗塞模型模拟脑缺血再灌注损伤,通过2,3,5-三苯基氯化四氮唑(2,3,5-Triphenyltetrazolium chloride,TTC)染色评估脑梗死体积,并通过改良的神经损伤评分量表评估大鼠的神经运动障碍减轻,HE和尼式染色用于评估脑损伤后组织改变,组织免疫荧光染色用于评估抗炎型小胶质细胞活化情况。体外培养BV2小胶质细胞并建立氧糖剥夺/复糖复氧模型模拟缺血缺氧再灌注损伤,Western blotting检测总蛋白及核蛋白中的信号转导及转录激活蛋白6(signal transducer and activator of transcription 6,STAT6)、磷酸化STAT6及O-GlcNAc糖基化STAT6表达。酶联免疫吸附检测(Enzyme linked immunosorbent assay,ELISA)评估小胶质细胞释放的炎性因子白细胞介素-6(interleukin-6,IL-6)、白细胞介素-1β(interleukin-1β,IL-1β)、白细胞介素-10(interleukin-10,IL-10)和转化生长因子-β(transforming growth factor-β,TGF-β)量。结果 MK8719给药组大鼠梗死灶体积减小,神经运动障碍,抗炎型小胶质细胞比例增加;在体外培养的小胶质细胞中,MK8719组的O-GlcNAc糖基化STAT6、磷酸化STAT6及核STAT6表达增加(P<0.001),促炎因子(IL-6及IL-1β)释放减少(P<0.001),抗炎因子(IL-10及TGF-β)释放增加(P<0.001)。结论 MK8719对脑缺血损伤大鼠有保护作用,其作用机制可能与STAT6激活诱导的抗炎型小胶质细胞活化有关。

      • 0+1
      • 1+1
      • 2+1
      • 3+1
    • Maresin-1改善青少年期抑郁小鼠的抑郁样行为和神经炎症

      2024, 49(4):465-470. DOI: 10.13406/j.cnki.cyxb.003469

      摘要 (137) HTML (63) PDF 1.90 M (6368) 评论 (0) 收藏

      摘要:目的 阐明Maresin-1(MaR1)对慢性社交挫败(chronic social defeated stress,CSDS)诱导青少年期(5~8周)小鼠抑郁样行为的影响,验证其在CSDS诱导的神经炎症中的作用,为理解抑郁症的分子机制和探索生物标志物提供参考。方法 利用多种方法来检测CSDS诱导10 d后C57BL/6J小鼠的抑郁样行为和神经炎症。并每2 d注射1次MaR1(5 μg/kg)治疗小鼠,以观察其对CSDS诱导的抑郁样行为和神经炎症的影响。行为学实验后进行PET-CT扫描并对PET图像进行定量分析;收集小鼠脑组织样本进行免疫荧光染色,采用Image J对海马区域Iba-1细胞、 TSPO免疫荧光强度进行统计;将小鼠海马体在冰上分离,并立即在液氮中快速冷冻,然后储存在-80 ℃下进行随后的RNA提取,试剂盒检测肿瘤坏死因子-α(tumor necrosis factor-α,TNF-α)、白细胞介素1β(interleukin-1 beta,IL-1β)和IL-4含量。结果 与对照组相比,CSDS应激后,小鼠表现出低糖水偏好比(P=0.003)低社会交互比(P=0.000)、更长的不动时间(P=0.002),在海马区域,小胶质细胞活化,表现为SUV值升高(P=0.020),Iba-1和TSPO的免疫荧光强度增强(P=0.000)和促炎细胞因子IL-1β和TNF-α升高(P=0.016、0.036)。而MaR1改善了上述CSDS诱导的抑郁样行为,抑制小胶质细胞的激活和减少促炎因子的表达。结论 MaR1能够缓解CSDS诱导的青少年期小鼠抑郁样行为,抑制小胶质细胞的活化。神经炎症是青少年抑郁症的潜在致病因素,具有抗炎特性的药物如MaR1有潜力作为临床相关的抗抑郁药,需要进一步地研究。

      • 0+1
      • 1+1
      • 2+1
      • 3+1
    • >临床研究
    • 脑肿瘤三维可视化模型自动重建技术的开发及临床应用

      2024, 49(4):471-477. DOI: 10.13406/j.cnki.cyxb.003476

      摘要 (213) HTML (78) PDF 3.53 M (6415) 评论 (0) 收藏

      摘要:目的 研究和开发一种基于头颅多模态核磁共振成像(magnetic resonance imaging,MRI)的影像学数据,自动重建常见脑肿瘤及其周围重要结构的三维可视化模型,并验证其效能及临床适用性。方法 收集常见脑肿瘤头颅多模态核磁共振影像数据,并将其分为训练集、验证集和临床测试集。在训练及验证中,通过3D深度卷积神经网络的算法训练系统自动分割并重建出脑肿瘤及周围结构的能力;在临床测试集中分别用系统及人工手动的方法完成重建,比较本系统自动重建与手动重建之间的重建效率及图像质量。结果 在完成1例肿瘤及周围结构一体化模型重建的时间花费上面,系统用时由人工用时的(5 442±623) s减少至(657±78) s,差异有统计学意义(t=27.530,P=0.000)。且系统重建出的模型与原始影像学图像具有高度一致性(Dice系数为0.92),系统重建出的图像与人工重建的图像在质量方面并无明显差异。结论 基于多模态影像学数据,运用深度学习等算法对脑肿瘤及周围结构进行自动分割及全自动三维可视化重建,具有准确、高效、可靠的优点,对于脑肿瘤的诊断和手术计划的制定具有重要意义。

      • 0+1
      • 1+1
      • 2+1
      • 3+1
      • 4+1
      • 5+1
      • 6+1
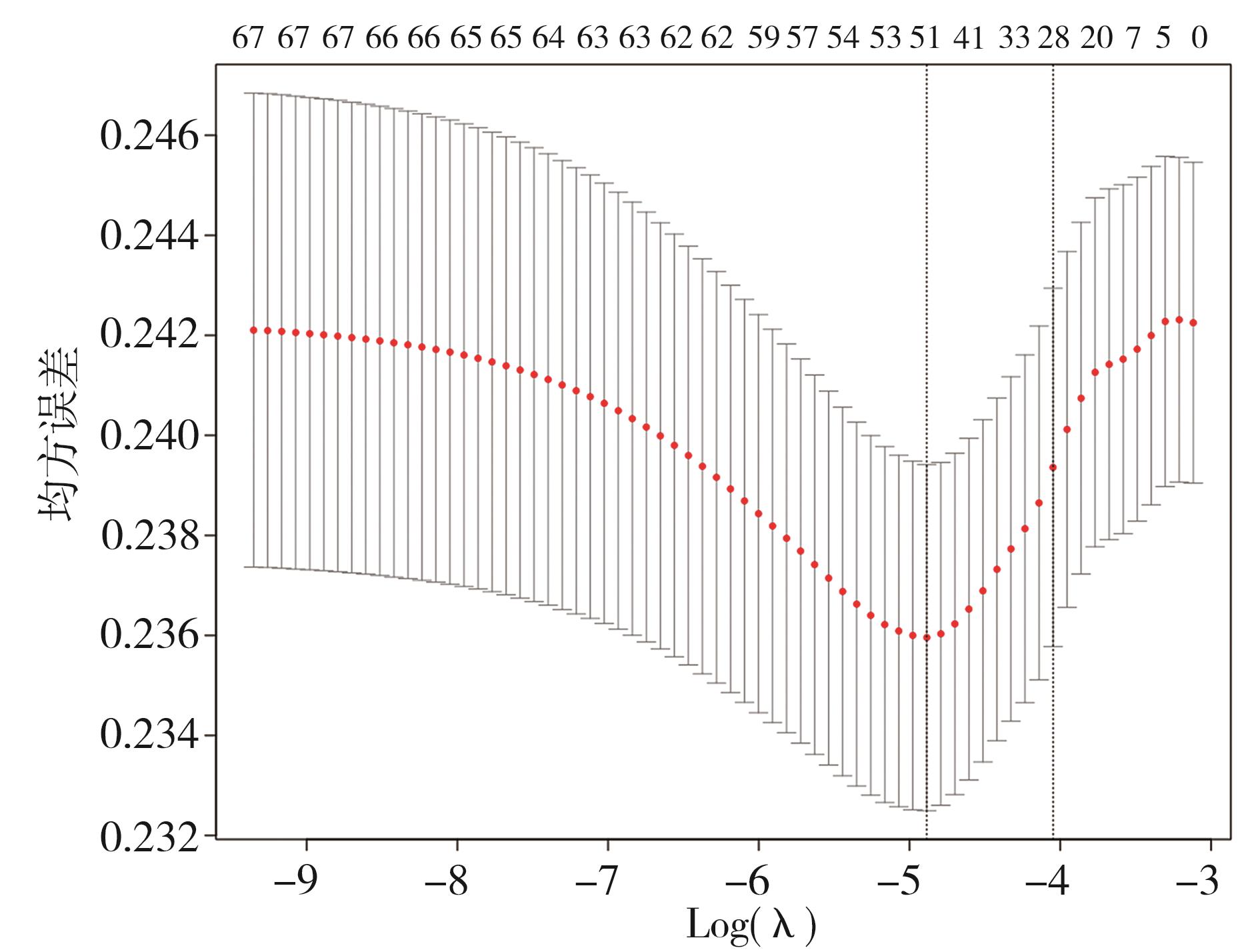
    • 基于机器学习预测模型探究薄型子宫内膜患者接受IVF/ICSI-ET治疗的早期流产风险因素

      2024, 49(4):478-485. DOI: 10.13406/j.cnki.cyxb.003464

      摘要 (153) HTML (57) PDF 1.96 M (207) 评论 (0) 收藏

      摘要:目的 基于多种机器学习方法,探讨薄子宫内膜患者在新鲜胚胎移植中发生早期流产的影响因素,并建立预测模型,为预防薄子宫内膜患者在进行新鲜胚胎移植中发生早期流产提供合理的指导思路。方法 纳入了首次进行新鲜胚胎移植的薄子宫内膜患者1153例,通过LASSO回归和随机森林递归特征消除(recursive feature elimination,RFE)筛选特征,建立6种机器学习模型,通过交叉验证、准确度、敏感性、召回率、f1值、ROC曲线下面积及校准曲线比较不同模型的性能。SHAP图用于解释影响早期流产的因素。结果 通过LASSO回归和随机森林RFE筛选出29个特征变量纳入六种机器学习模型,其中多层感知机模型对早期流产的区分度最佳,ROC曲线下面积为0.803(95%CI=0.772~0.834)。随机森林、XGBoost和AdaBoost模型的ROC曲线下面积都高于0.7。结论 开发了薄子宫内膜患者在新鲜胚胎移植中是否发生早期流产的机器学习预测模型,各种评价指标的验证表明该模型的性能良好,有助于临床医生对该人群患者的早期诊断,为未来改善早期流产高危患者的妊娠结局提供指导思路。

      • 0+1
      • 1+1
      • 2+1
      • 3+1
      • 4+1
      • 5+1
      • 6+1
      • 7+1
    • 妊娠期糖尿病产妇初乳的菌群分析

      2024, 49(4):486-492. DOI: 10.13406/j.cnki.cyxb.003466

      摘要 (171) HTML (47) PDF 1.93 M (158) 评论 (0) 收藏

      摘要:目的 前瞻性研究妊娠期糖尿病(gestational diabetes mellitus,GDM)与正常产妇初乳菌群的丰度以及对其多样性进行评估分析。方法 选取符合纳入标准的30例GDM产妇作为实验组,30例健康产妇作为对照组,分娩方式均为剖宫产。从所有受试者乳汁标本中分离获得DNA,在Illumina MiSeq平台进行16s rRNA基因V3~V4区扩增子高通量测序结果 正常组与GDM组之间评估菌群的丰度指数的Ace指数有统计学差异(P=0.039)。2组研究对象的菌群在除Ace指数外的Alpha多样性上无差异,但在Beta多样性,差异有统计学意义(P=0.001)。GDM产妇母乳中厚壁菌门和变形菌门、链球菌科和孪生球菌科、链球菌属和罗斯氏菌属的相对丰度平均值均低于对照组,而放线菌门、葡萄球菌科、葡萄球菌属的相对丰度平均值较对照组水平更高。结论 GDM产妇与健康产妇初乳菌群的丰度以及多样性均有差异,GDM母乳中厚壁菌门以及变形菌门相对丰度的减少,可能对其子代早期肠道菌群的建立及早期的生长发育产生影响。定量母乳菌群的构成对该人群及其子代有特殊意义。

      • 0+1
      • 1+1
      • 2+1
      • 3+1
      • 4+1
    • 机器学习结合CT影像组学预测2型糖尿病患者椎体脆性骨折

      2024, 49(4):493-499. DOI: 10.13406/j.cnki.cyxb.003467

      摘要 (166) HTML (55) PDF 1.80 M (180) 评论 (0) 收藏

      摘要:目的 探讨机器学习结合CT影像组学特征构建模型预测2型糖尿病(type 2 diabetes mellitus,T2DM)患者椎体脆性骨折的准确性。方法 回顾性收集140例(新发椎体脆性骨折的T2DM患者70例,对照组70例)患者CT图像和临床资料。另收集18例(椎体脆性骨折的T2DM患者16例,对照组2例)患者的前次CT图像和临床资料作为外部验证集。应用单因素分析、Pearson相关分析、最小冗余度最大相关度算法、二元logistic回归分析和最小绝对值收缩和选择算子模型筛选出最佳特征。基于支持向量机、多层感知器、极端梯度提升(eXtreme Gradient Boosting,XGBoost)构建预测模型。应用受试者工作特征曲线下面积(area under the curve,AUC)对模型效能进行评估。结果 从每例患者的CT图像中提取了1 037个影像组学特征,然后精简为14个影像组学特征。17个临床特征中性别、年龄、体质指数是预测结果的独立因素。其中XGBoost分类器表现最好,训练集中XGBoost模型的AUC分别为1.000、0.929、1.000;测试集中分别为0.954、0.862、0.969。结论 基于临床及影像组学特征构建的XGBoost模型可作为预测T2DM患者椎体脆性骨折的一种无创性辅助工具。

      • 0+1
      • 1+1
      • 2+1
      • 3+1
    • PET/CT在原发性醛固酮增多症功能定位诊断中的应用价值

      2024, 49(4):500-506. DOI: 10.13406/j.cnki.cyxb.003477

      摘要 (206) HTML (57) PDF 1.66 M (152) 评论 (0) 收藏

      摘要:目的 探讨靶向CXC趋化因子受体4型(CXC chemokine receptor type 4,CXCR4)的68Ga-Pentixafor PET/CT核素显像在原发性醛固酮增多症(primary aldosteronism,PA)的优势侧功能定位以及预后的应用价值。方法 选取2022年3月至2023年5月重庆医科大学附属第一医院确诊为PA的66例住院患者。所有患者均接受PET/CT及肾上腺静脉取血(adrenal vein sample,AVS),且行腹腔镜下单侧或部分肾上腺切除术,分析比较PET/CT和AVS对PA分侧诊断的符合率;根据术后随访血压、用药改善情况及血钾水平,判断PET/CT对PA优势侧功能定位诊断的准确率及病灶最大标准化摄取值(maximum standardized uptake value,SUVmax)对患者术后预后的预测价值。结果 66例手术患者中行单侧肾上腺切除术63例、部分肾上腺切除术3例,术后病理检查结果中有腺瘤58例、增生8例,PET/CT和AVS对PA分侧诊断的符合率83.3%(55/66);以术后临床获益为标准,PET/CT对PA优势侧功能定位诊断的准确率为88.14%(52/59),AVS对PA优势侧功能定位诊断的准确率为93.22%(55/59);术后治愈患者病灶SUVmax[14.70(8.75~19.45)]要高于术后好转患者[10.90(6.65~14.10)],差异有统计学意义(P=0.026)。术前病灶SUVmax与术后醛固酮降低值、术后血浆醛固酮肾素比(aldosterone-to-renin ratio,ARR)降低值和术后血钾升高值呈正相关(r=0.267、0.365、0.392,P=0.034、0.003、0.001)。结论 靶向CXCR4的68Ga-Pentixafor PET/CT对PA优势侧定位诊断的准确率与AVS接近,但更具有可重复、无创等优势;病灶SUVmax 越高,术后临床获益越明显,有一定的预后预测价值。

      • 0+1
      • 1+1

主管单位 :重庆市教育委员会

主办单位 :重庆医科大学

编辑部 :《重庆医科大学学报》编辑部

主编:黄爱龙

编辑部主任 :唐秋姗

国际标准刊号:ISSN 0253-3626

国内统一刊号:CN 50-1046/R

  • 浏览排行
  • 引用排行
  • 下载排行
按检索
检索词