• 2024年第49卷第5期文章目次
    全 选
    显示方式: |
    • >导读
    • 从临床队列着手努力提升我国神经精神疾病的治疗水平

      2024, 49(5):507-507. DOI: 10.13406/j.cnki.cyxb.003482

      摘要 (72) HTML (20) PDF 478.74 K (35) 评论 (0) 收藏

      摘要:

      • 0+1
      • 1+1
    • >脑血管疾病的治疗
    • 急性缺血性卒中急性期药物治疗进展

      2024, 49(5):508-514. DOI: 10.13406/j.cnki.cyxb.003488

      摘要 (81) HTML (77) PDF 586.88 K (82) 评论 (0) 收藏

      摘要:卒中是我国成人致死、致残的第一位病因。急性缺血性卒中(acute ischemic stroke,AIS)是卒中最常见的类型,严重影响患者生活质量,造成沉重的疾病负担,其防治是医学领域亟待解决的重大问题。AIS的发病机制复杂,治疗上应基于对患者的整体评估进行综合决策,并遵循规范的诊治流程。目前针对AIS急性期的治疗策略主要有两方面,一是尽早开通阻塞血管恢复脑组织灌注,挽救缺血半暗带;二是多靶点抑制缺血性病理生理级联反应,保护脑细胞。近年来,AIS在溶栓、抗血小板以及细胞保护各领域的药物治疗发展迅速,本文结合目前国内外的相关研究成果,对AIS急性期药物治疗进展做一综述,为更多有效治疗药物的研发提供科学依据和思路。

      • 0+1
      • 1+1
      • 2+1
    • 非动脉硬化性脑小血管病的治疗进展

      2024, 49(5):515-521. DOI: 10.13406/j.cnki.cyxb.003487

      摘要 (57) HTML (75) PDF 558.49 K (71) 评论 (0) 收藏

      摘要:脑小血管病(cerebral small vessel disease,CSVD)是导致卒中和痴呆的常见原因。而除了常见的小动脉硬化性脑小血管病,非动脉硬化性脑小血管病的防治也不容忽视,目前这类疾病尚缺乏特异的治疗药物,且机制未明、异质性较强,但临床对症治疗方面已有部分证据,在深入挖掘机制的同时也探索出潜在疗法。现旨在对该领域治疗进展予以综述。

    • >神经系统变性疾病的治疗
    • 阿尔茨海默病的药物治疗新进展

      2024, 49(5):522-525. DOI: 10.13406/j.cnki.cyxb.003505

      摘要 (68) HTML (106) PDF 529.77 K (73) 评论 (0) 收藏

      摘要:近年来,随着以β淀粉样蛋白(β-Amyloid,Aβ)单抗为代表的疾病修饰治疗(disease-modifying therapies,DMT)药物的出现,阿尔茨海默病(Alzheimer's disease,AD)的药物治疗进入了一个全新的阶段,目前已经有2种靶向淀粉样蛋白的抗体-阿杜卡单抗和伦卡纳单抗相继上市,在全世界引起了广泛关注;同时非Aβ非tau蛋白治疗靶点的药物研发也取得明显进展。本文拟对AD新型药物的研发和应用,包括临床试验阶段和已获批上市的药物治疗进展进行一全面分析和阐述。

    • 阿尔茨海默病相关生活质量量表中文版信效度分析

      2024, 49(5):526-530. DOI: 10.13406/j.cnki.cyxb.003507

      摘要 (91) HTML (108) PDF 529.75 K (72) 评论 (0) 收藏

      摘要:目的 翻译并修订阿尔茨海默病相关生活质量量表(Alzheimer’s disease-related quality of life scale,ADRQL),并对其进行信度和效度评价。方法 采用Brislin跨文化研究翻译模式对英文版ADRQL量表进行翻译;通过专家小组讨论和预调查对翻译量表进行文化调适;采用便利抽样方法,对2022年12月至2023年6月在上海瑞金医院和多家社区卫生中心就诊的阿尔茨海默病及其他类型痴呆患者照护者221人进行调查。采用Cronbach’s α系数测量结果相关性评价量表的信度;采用专家评定法评价量表的内容效度,运用探索性因子分析评价量表的结构效度。结果 中文版ADRQL量表Bartlett’s球形检验χ2=2 466.634,P<0.001,KMO为0.727,探索性因子分析提取8个公因子,累计方差贡献率为47.37%;量表水平的内容效度指数为0.99,条目水平内容效度指数为0.83~1.00;总量表的Cronbach’s α系数为0.809,分半信度系数0.860。结论 中文版ADRQL具有较好的信效度,可用于评估我国阿尔茨海默病及其他类型痴呆患者的相关生活质量评估。

    • 额颞叶痴呆治疗进展

      2024, 49(5):531-535. DOI: 10.13406/j.cnki.cyxb.003496

      摘要 (121) HTML (71) PDF 526.18 K (66) 评论 (0) 收藏

      摘要:额颞叶痴呆(frontotemporal dementia,FTD)是一组临床表型多样,遗传因素复杂,神经病理高度异质的以进行性人格行为改变,执行功能障碍及言语障碍为特征的神经退行性疾病。目前尚无有效治疗方法可以治愈或者逆转FTD进展,临床常采用对症治疗策略改善FTD患者神经精神、运动及认知症状。随着FTD发病机制的深入研究,越来越多靶向FTD突变基因及神经病理的药物正进入临床试验,以实现疾病的早期管理,精准治疗。本文主要就FTD治疗进展进行综述,有助于临床医师了解FTD最新治疗信息,提高FTD疾病管理。

    • 肌萎缩侧索硬化的药物治疗进展

      2024, 49(5):536-541. DOI: 10.13406/j.cnki.cyxb.003504

      摘要 (63) HTML (125) PDF 585.33 K (70) 评论 (0) 收藏

      摘要:肌萎缩侧索硬化(amyotrophic lateral sclerosis,ALS)是一种以上、下运动神经元选择性丢失为主要特征,进行性加重的神经系统变性疾病,目前尚无有效的治愈方法。随着ALS疾病机制和遗传学的研究深入,以及基因调控策略的创新,为ALS疗法开发创造了有希望的新选择。本文围绕反义寡核苷酸疗法、腺病毒相关病毒介导的基因治疗和细胞治疗在ALS中的研究进展进行综述。

    • >运动障碍性疾病的治疗
    • 帕金森病药物治疗研究进展

      2024, 49(5):542-547. DOI: 10.13406/j.cnki.cyxb.003498

      摘要 (86) HTML (147) PDF 561.68 K (82) 评论 (0) 收藏

      摘要:目前帕金森病(Parkinson’s disease,PD)药物治疗依然是以多巴胺替代治疗为主线的症状治疗,长期用药带来的运动并发症及神经精神症状、平衡步态障碍等问题限制了很多中晚期患者的治疗效果。近年来PD药物治疗领域也取得一些进展。在症状治疗方面,一批左旋多巴制剂新剂型和多巴胺受体激动剂新剂型,新型单胺氧化酶-B和儿茶酚胺氧位甲基转移酶抑制剂,多种非多巴胺能药物陆续进入临床或即将进入临床。目前虽然尚无疾病修饰治疗药物在临床使用,但一批针对不同PD发病机制靶点疾病修饰治疗药物正在开展早期临床试验研究,有些药物显示较好的应用前景。一些已在临床使用的药物被再开发用于PD治疗。本文对该领域新进展做一综述。

    • 帕金森病步态障碍的侵入性神经调控治疗进展

      2024, 49(5):548-551. DOI: 10.13406/j.cnki.cyxb.003486

      摘要 (43) HTML (104) PDF 497.30 K (69) 评论 (0) 收藏

      摘要:步态障碍是帕金森病(Parkinson's disease,PD)最常见的中轴症状之一,严重损害患者活动能力和生活质量。神经调控是PD步态障碍药物、运动和康复治疗之外的重要疗法,其中侵入性手术是常采用的调控手段。鉴于步态障碍的高发病率和现有疗法的疗效局限性,近年来侵入性神经调控出现了许多针对新靶点和新模式的研究。本文对侵入性神经调控在治疗PD步态障碍方面取得的一些进展进行综述和展望。

    • 亨廷顿病基因治疗的进展

      2024, 49(5):552-557. DOI: 10.13406/j.cnki.cyxb.003503

      摘要 (61) HTML (98) PDF 769.26 K (64) 评论 (0) 收藏

      摘要:亨廷顿病是一种常染色体显性遗传病,近年来多项针对mRNA水平的干预策略相继开展临床试验,同时随着聚集的规律性间隔短回文重复序列(clustered regularly interspersed short palindromic repeats,CRISPR)/CRISPR关联基因(CRISPR associated gene,Cas)系统的日渐成熟,针对致病基因组的基因编辑策略也屡有报道。本文将围绕亨廷顿病基因治疗的临床现状、研究进展、临床评估的改进做简要综述。

      • 0+1
    • 脑白质病变与帕金森病患者临床症状的相关性研究

      2024, 49(5):558-562. DOI: 10.13406/j.cnki.cyxb.003502

      摘要 (64) HTML (41) PDF 517.88 K (70) 评论 (0) 收藏

      摘要:目的 探讨脑白质病变(white matter lesions,WML)对帕金森病(Parkinson’s disease,PD)患者运动症状、认知功能和情绪的影响。方法 纳入2018年1月至2023年12月就诊于安徽医科大学第二附属医院神经内科PD患者123例,应用年龄相关的白质改变(age‐related white matter changes,ARWMC)量表评估患者头颅MRI影像学的脑白质病变程度,根据评分结果将患者分为轻度WML组(46例),中重度WML组(77例);使用帕金森病统一评定量表第三部分、Hoehn & Yahr(H‐Y)分级量表评定运动症状及疾病严重程度,简易精神状态检查(mini‐mental state examination,MMSE)评估PD的认知功能,汉密尔顿抑郁量表,汉密尔顿焦虑量表评定情绪状态,Barthel指数评定患者日常生活功能状态。比较两组患者的运动症状、认知及情绪评分等差异,应用Logistic回归分析PD患者的WML与临床症状的关系。结果 中重度WML组的高血压发生率(41.6% vs. 23.9%,P<0.05)高于轻度WML组。中重度WML组的H‐Y分级高于轻度WML组[2.5(1.5,3.0) vs. 2.0(1.5,2.5),P<0.05],UPDRS‐Ⅲ评分高于轻度WML组[(34.0±16.5) vs. (24.09±11.04),P<0.01]。此外,中重度WML组的MMSE评分低于轻度WML组[24.0(18.5,27.0) vs. 26.0(23.8,27.0),P<0.01],Barthel得分亦低于轻度WML组[(77.4±17.4) vs. (83.5±11.7),P<0.05],差异有统计学意义。相关分析显示,ARWMC总分与HY及UPDRS‐Ⅲ得分呈正相关,与年龄亦呈正相关。ARWMC总分与MMSE得分及Barthel评分呈负相关。Logistic回归分析显示,重度WML损害与认知障碍有相关性(回归系数β=1.072,95%CI=1.078~7.918,P=0.035)。结论 WML与PD运动障碍、认知功能损害及生活质量下降相关。

    • >神经系统发作性疾病与癫痫的治疗
    • 抗癫痫发作药物的应用进展

      2024, 49(5):563-569. DOI: 10.13406/j.cnki.cyxb.003501

      摘要 (46) HTML (57) PDF 614.51 K (74) 评论 (0) 收藏

      摘要:癫痫是神经系统中第二大常见疾病,在我国有超过900万的患者。尽管目前已经有超过20种抗癫痫发作药物,仍然有大约1/3的患者对抗癫痫发作药物治疗表现出耐药性。近年来,癫痫治疗领域取得了明显的进展,引入了新的抗癫痫发作药物,为患者提供了更多治疗选择。这些药物不仅在控制癫痫发作方面发挥着作用,而且在减轻药物不良反应和提高患者生活质量方面取得了明显的改善。本文旨在综述近15年来上市的抗癫痫发作药物,以提升临床医师对新上市抗癫痫发作药物的了解,并加深对它们在临床实践中的应用认知水平。

    • 难治性癫痫的外科治疗进展

      2024, 49(5):570-576. DOI: 10.13406/j.cnki.cyxb.003497

      摘要 (127) HTML (89) PDF 571.42 K (70) 评论 (0) 收藏

      摘要:在癫痫患者中,药物难治性癫痫一直占据相当比例。这部分患者在经过精确的评估后或可通过外科治疗的手段达到发作缓解。本文阐述了难治性癫痫的术前神经电生理和影像评估方法,并结合最新临床研究进展,针对不同类型癫痫总结手术治疗方案,补充阐述了无创治疗方法,且在此基础上探讨了癫痫外科治疗未来发展趋势。

      • 0+1
    • 偏头痛急性治疗药物新进展及优化策略

      2024, 49(5):577-582. DOI: 10.13406/j.cnki.cyxb.003491

      摘要 (50) HTML (89) PDF 517.55 K (64) 评论 (0) 收藏

      摘要:偏头痛患者的急性治疗旨在快速缓解头痛和伴随症状,是偏头痛防治主要的手段之一。近年来偏头痛急性治疗药物取得了一些新进展,目的是提高治疗的有效性和安全性。过度使用急性治疗药物和急性治疗效果不佳是偏头痛慢性化的重要危险因素。不同的急性治疗药物对偏头痛慢性化的影响可能不同。偏头痛的急性治疗仍有很大的优化空间,临床医生应根据患者自身情况制定个体化治疗方案,提高急性治疗效果,预防偏头痛慢性化。本文对偏头痛急性治疗的现状、策略以及急性治疗与偏头痛慢性化之间的关系进行综述。

      • 0+1
    • 常见3种神经痛的机制与治疗进展

      2024, 49(5):583-587. DOI: 10.13406/j.cnki.cyxb.003493

      摘要 (54) HTML (60) PDF 583.89 K (77) 评论 (0) 收藏

      摘要:神经痛指由神经系统疾病或损伤而导致的剧烈疼痛。神经痛的特点为具有强烈的痛苦感和慢性发作,给患者造成极大的身心折磨,降低患者生活质量。因此,探究神经痛的机制及规范诊疗方案十分重要。目前神经痛的治疗方案包括药物治疗、介入治疗等多种方式。本文对目前神经痛新机制及新治疗方案进行综述,以加深临床医师对神经痛新进展的认识。

    • >神经免疫性疾病的治疗
    • 多发性硬化疾病修正治疗进展

      2024, 49(5):588-592. DOI: 10.13406/j.cnki.cyxb.003485

      摘要 (229) HTML (71) PDF 515.47 K (70) 评论 (0) 收藏

      摘要:疾病修正治疗(disease-modifying therapy,DMT)是多发性硬化(multiple sclerosis,MS)缓解期减少复发、改善预后的标准治疗。目前多种不同作用靶点和机制的DMT药物已在国内获批上市。随着对MS疾病机制的认识不断加深,对MS治疗目标的不断提高,多种新型药物也在积极开展临床试验,以追求更佳的疗效,更好的安全性。本文将对国内已获批DMT药物的作用机制、临床试验结果进行介绍,并对几种新型DMT药物的研究现状进行综述。

    • 水通道蛋白4抗体阳性的视神经脊髓炎谱系疾病的防复发治疗

      2024, 49(5):593-596. DOI: 10.13406/j.cnki.cyxb.003495

      摘要 (60) HTML (69) PDF 479.14 K (62) 评论 (0) 收藏

      摘要:视神经脊髓炎谱系疾病(neuromyelitis optica spectrum disorders,NMOSD)是一种自身免疫介导的主要以视神经炎和横贯性脊髓炎为特征的中枢神经系统疾病。NMOSD的发病主要由水通道蛋白4(aquaporin-4,AQP4)抗体引起,具有高复发、高致残的特点,每次复发都可能导致神经损伤和残疾逐步累积,因此应尽早使用有效的预防复发的药物,从而减少复发率、改善患者的长期预后。目前,随着对NMOSD致病机制的研究不断深入,新兴治疗靶点单克隆抗体药物不断涌现。本文主要就AQP4抗体阳性的NMOSD的慢性期防复发治疗展开综述。

    • 多发性硬化的治疗进展

      2024, 49(5):597-602. DOI: 10.13406/j.cnki.cyxb.003500

      摘要 (50) HTML (32) PDF 564.55 K (74) 评论 (0) 收藏

      摘要:多发性硬化(multiple sclerosis,MS)是一种慢性中枢神经系统炎症性脱髓鞘疾病,随着人们对MS发病机制了解的深入,MS的治疗手段也在不断更新。近年来,新上市的疾病修饰治疗(disease-modifying therapy,DMT)药物层出不穷,临床研究显示出良好的疗效及安全性。治疗策略及目标也在更新。本文主要对近年来新上市的DMT药物的作用机制、疗效以及安全性进行综述,此外对治疗策略、治疗目标以及正在研发的新药也做了简要介绍,以期为临床决策的制定提供参考。

    • 重症肌无力的免疫靶向治疗进展

      2024, 49(5):603-609. DOI: 10.13406/j.cnki.cyxb.003483

      摘要 (86) HTML (125) PDF 584.07 K (69) 评论 (0) 收藏

      摘要:重症肌无力(myasthenia gravis,MG)是由神经肌肉接头处的特异性自身抗体引起的自身免疫性疾病。MG的传统免疫治疗药物包括糖皮质激素、免疫抑制剂、静脉注射免疫球蛋白等。虽然这些免疫抑制剂对大多数MG患者有效,但所带来的不良反应或并发症仍为MG治疗中的难题。此外,非特异性免疫抑制剂通常起效较慢,且存在骨髓抑制、增加感染及肿瘤发生的风险。随着多种新型靶向生物制剂的涌现,MG的治疗进入分子免疫时代,为患者和临床医生提供了更多的治疗选择。本文重点综述了分别作用于MG病理生理过程中不同靶点的3类新型生物制剂,包括B细胞耗竭剂、末端补体C5抑制剂以及新生儿Fc受体(FcRn)抑制剂等。与传统的免疫制剂相比,此类靶向药物在MG治疗中的副作用更少,起效更快,而且具有潜在的长期持续疾病缓解能力。

    • >脑损伤和神经系统少罕见病的治疗
    • 放射性脑损伤的治疗进展

      2024, 49(5):610-616. DOI: 10.13406/j.cnki.cyxb.003490

      摘要 (115) HTML (111) PDF 2.33 M (69) 评论 (0) 收藏

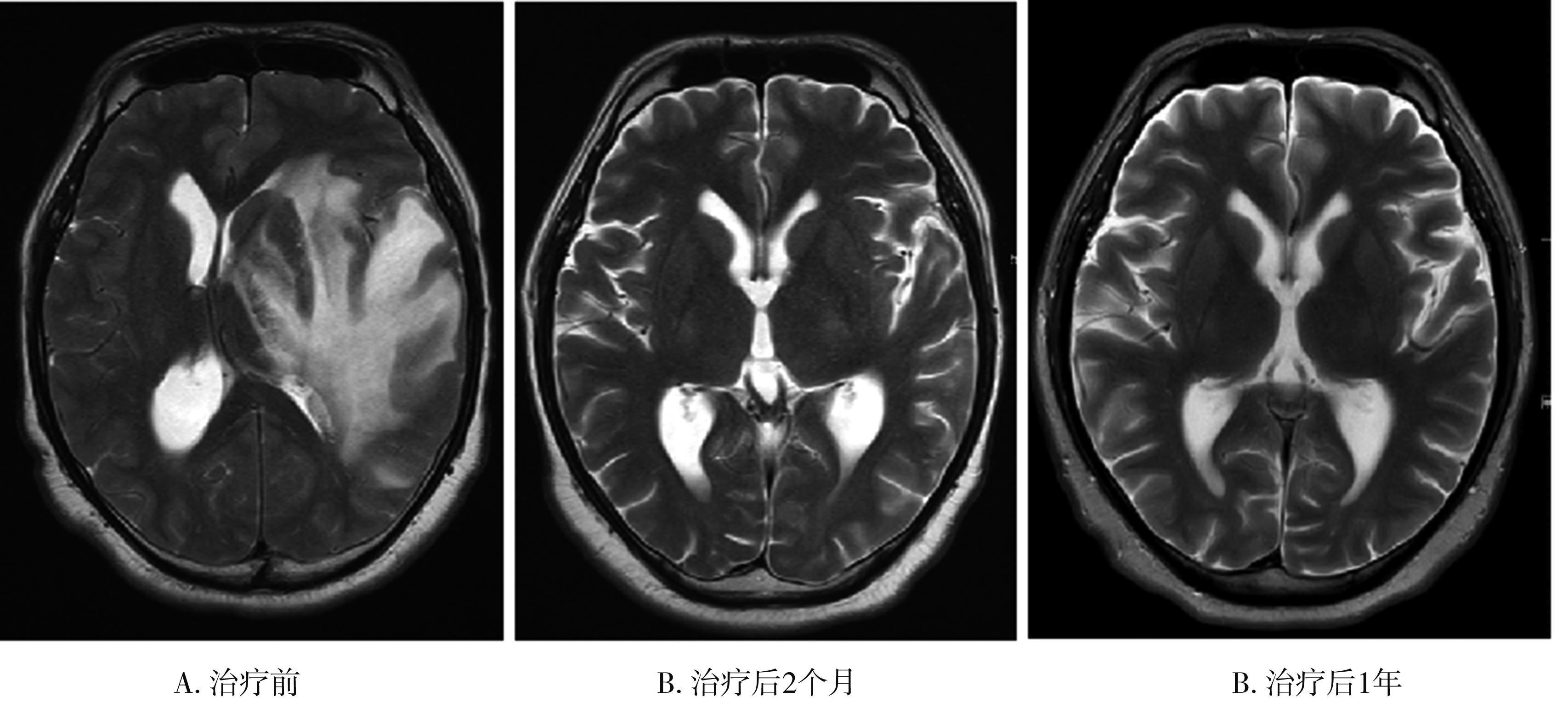
      摘要:放射治疗在控制头颈部肿瘤提高患者生存率的同时,对周围正常脑组织也造成不同程度的损伤,引起放射性脑坏死和认知功能下降,其发生率最高可达90%,严重影响患者的生活质量。研究人员近年来在多个层面上对放射性脑损伤的潜在病因进行了探索,通过筛查和鉴定不同干预靶点,为预防和治疗放射性损伤提供了新的策略。本文对放射性脑损伤的发生发展机制进行了综述,并回顾了现有的药物及非药物干预手段,提出了目前该领域面临的挑战及未来的研究方向。

      • 0+1
      • 1+1
      • 2+1
      • 3+1
    • 神经系统罕见病的孤儿药治疗进展

      2024, 49(5):617-620. DOI: 10.13406/j.cnki.cyxb.003489

      摘要 (57) HTML (41) PDF 525.87 K (68) 评论 (0) 收藏

      摘要:罕见病是一类患病率低、病因不明、症状严重、治疗效果差的疾病。用于预防、治疗和诊断罕见病的药品常被称为孤儿药。因罕见病患病人数少和企业研发资金有限等问题,导致其药品种类稀缺,价格常年居高不下。但近年随着公众对罕见疾病的认识不断提高,激励性政策的出台及研究投入的增加,孤儿药的研发进展迅速,其中肿瘤、儿科和神经系统疾病的孤儿药所占比例明显增加。很多的罕见病都会累及神经和肌肉系统。因此,本文将围绕神经系统罕见疾病的治疗药物进行综述。

    • 以张口受限为首发表现糖原贮积症1例报道

      2024, 49(5):621-624. DOI: 10.13406/j.cnki.cyxb.003499

      摘要 (34) HTML (7) PDF 1.08 M (68) 评论 (0) 收藏

      摘要:

      • 0+1
      • 1+1
      • 2+1
    • >精神疾病及功能性神经疾病的治疗
    • 精神分裂症的药物治疗进展

      2024, 49(5):625-630. DOI: 10.13406/j.cnki.cyxb.003492

      摘要 (203) HTML (110) PDF 974.11 K (74) 评论 (0) 收藏

      摘要:精神分裂症是导致严重精神残疾的重性疾病之一,给社会、患者及其家属带来了重大负担。随着科技进步,不仅传统药物有了新的用法,而且新型药物的涌现也提供了更个体化和有效的治疗选择,如占诺美林-曲司氯铵(xanomeline-trospium,KarXT)、Emraclidine和微量胺相关受体1(trace-amine-associated receptor 1,TAAR1)调节剂等。本文将深入研究这些药物的临床应用疗效及治疗机制,以及新药物引入也带来治疗领域的挑战,如药物的停药时间、不良反应和药物预测动物模型的建立等,并在最后提出这些挑战并展望未来研究方向。本文旨在探讨精神分裂症药物治疗方面的最新进展,为研究者和临床医生提供最新的参考。

      • 0+1
      • 1+1
      • 2+1
    • 抑郁症的药物治疗新进展

      2024, 49(5):631-637. DOI: 10.13406/j.cnki.cyxb.003506

      摘要 (64) HTML (143) PDF 608.32 K (70) 评论 (0) 收藏

      摘要:抑郁症(major depression disorder,MDD)是一种常见的精神障碍,严重困扰患者并影响其生活质量,并对社会造成沉重的负担。药物治疗作为抑郁症的主要治疗手段,在抑郁症治疗中发挥着重要作用,随着对抑郁症研究的深入,抗抑郁药物的类型与治疗理念也在不断发展。现基于国内外相关文献及研究资料,对抑郁症药物治疗的进展进行论述。

    • 功能性神经疾病治疗进展

      2024, 49(5):638-642. DOI: 10.13406/j.cnki.cyxb.003494

      摘要 (99) HTML (138) PDF 536.01 K (80) 评论 (0) 收藏

      摘要:功能性神经系统疾病(functional neurological disorders,FND)是指临床表现为神经系统疾病症状,但无相应器质性病因的一类疾病。临床上,此类疾病诊断困难,患者及家属对诊断的认可程度低,治疗缺乏统一规范性指南指导,本文从药物、心理、康复、中医、功能神经外科等多种治疗手段进行综述,建议开展多学科诊疗模式,制定个体化治疗计划,以期造福更多患者。

    • 精神障碍类疾病神经调控新进展

      2024, 49(5):643-648. DOI: 10.13406/j.cnki.cyxb.003484

      摘要 (48) HTML (60) PDF 955.71 K (70) 评论 (0) 收藏

      摘要:精神障碍类疾病是一类涉及认知、情感、思维和行为的疾病,其临床表现各异,致病机制复杂,病因尚未被彻底阐明,目前仍无有效的针对性治疗方案,是当前医学领域的难点之一。近年研究结果表明,以电、磁、光、声为基础开发的新型神经调控手段可以有效的治疗或缓解各类药物难治性精神类疾病的临床症状。因此本文将聚焦于总结和回顾各类新型神经调控手段的研发与应用进展,为精神障碍类疾病治疗方案的更新提供新思路。

      • 0+1

主管单位 :重庆市教育委员会

主办单位 :重庆医科大学

编辑部 :《重庆医科大学学报》编辑部

主编:黄爱龙

编辑部主任 :唐秋姗

国际标准刊号:ISSN 0253-3626

国内统一刊号:CN 50-1046/R

  • 浏览排行
  • 引用排行
  • 下载排行
按检索
检索词